Click here to close
Hello! We notice that you are using Internet Explorer, which is not supported by Xenbase and may cause the site to display incorrectly.
We suggest using a current version of Chrome,
FireFox, or Safari.
???displayArticle.abstract???
Cyclin-dependent kinase 5, coupled with its activator p35, is required for normal neuronal differentiation and patterning. We have isolated a novel member of the p35 family, Xp35.1, from Xenopus embryos which can activate cdk5. Xp35.1 is expressed in both proliferating and differentiated neural and mesodermal cells and is particularly high in developing somites where cdk5 is also expressed. Using dominant-negative cdk5 (cdk5 DN), we show that cdk5 kinase activity is required for normal somitic muscle development; expression of cdk5 DN results in disruption of somitic muscle patterning, accompanied by stunting of the embryos. Using explants of animal pole tissue from blastula embryos, which will differentiate into mesoderm in response to activin, we show that blocking cdk5 kinase activity down-regulates the expression of the muscle marker muscle actin in response to activin, whereas the pan-mesodermal marker Xbra is unaffected. Expression of MyoD and MRF4 (master regulators of myogenesis) is suppressed in the presence of cdk5 DN, indicating that these myogenic genes may be a target for cdk5 regulation, whereas the related factor Myf5 is largely unaffected. In addition, overexpression of Xp35.1 disrupts muscle organization. Thus, we have demonstrated a novel role for cdk5 in regulating myogenesis in the early embryo.
???displayArticle.pubmedLink???
9192869 ???displayArticle.link???Genes Dev
Figure 1. Xp35.1 is a novel member of the cdk5 activator family. LA1 The full sequence of Xp35.1. Both DNA and aligned amino acid
sequences are shown. (B) Amino acid alignment between Xp35.1 and human p35. Note that the highest degree of homology exists at
the amino- and carboxyl termini of the protein while the central domain is shorter in Xp35.1 than in human p35 and shows the greatest
divergence.
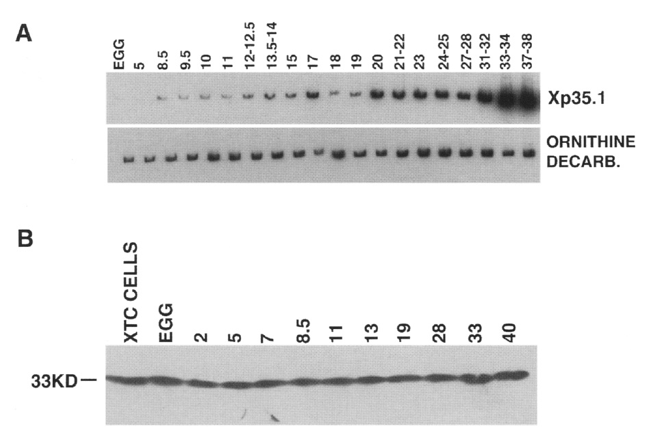
Figure 2. Developmental expression of Xp35.1
and Xcdk5. (A) Two micrograms of RNA from
developmentally staged embryos was reverse
transcribed in a 20-~1 reaction. One microliter per
lane was used for RT-PCR analysis using primers
specific for Xp35.1, (see Materials and Methods).
Ornithine decarboxylase, expressed constantly
through development, was also assayed as a loading
control. Lanes are labeled according to developmental
stage (Nieuwkoop and Faber 1967). (B}
Extracts from XTC cells and developmentally
staged embryos were separated by SDS-PAGE,
Western blotted, and probed with a monoclonal
antibody specific for cdk5 (DC17). Lanes are labeled
according to developmental stage (Nieuwkoop
and Faber 1967).
Figure 3. (A) Xp35.1 is expressed in both nerve and muscletissue. Albino embryos were hybridized with a digoxygenin-labeled Xp35.1
antisense probe (panels i, ii, vi, and vii) or antisense probes for myoDb (iii), NCAM (iv), or Xotch (v), visualized in purple/brown.
Embryonic stages are vegetal views of late blastula (i, lower right) or early gastrula (top left); dorsal view of late neural plate (ii, iii, iv,
v); lateral view of early neural tube (vi) and tailbud (vii). (B) cdk5 is expressed in many embryonic tissues and is in the nuclei of somites.
Embryos were stained with an antibody against the carboxyl terminus of cdk5, visualized in purple/blue. (panel i) A late tailbud
embryo with the epidermis stripped away to reveal staining of the eye, ear, and somites (som), as labeled. (ii) a cdk5-stained embryo
was sectioned to reveal extensive cdk5 expression including the neural tube in.t), the notochord (noto), and the somites (som). (iii) A
higher magnification of somites stained for cdk5 showing expression in the nuclei that align down the center of the somite (nuc; arrow
points to aligned nuclei) and the intersomitic boundaries, the membranous boarder between somites (isb and arrow).
Figure 4. Xp35.1 can activate endogenous cdk5 kinase activity.
Two-cell embryos were injected with the following
amounts of RNA. (Lane 1) Uninjected; (lane 2) 2 ng of cdk5 WT
HA with 3 ng of Xp35.1 carboxy-terminal region; (lane 3) 2 ng of
cdk5 DN HA with 3 ng of Xp35.1 carboxy-terminal region; (lane
41 3 ng of cdk5 DN HA with 2 ng of Xp35.1 carboxy-terminal
region; (lane 5} 3 ng of ~3-gal with 2 ng of Xp35.1 carboxy-terminal
region; (lane 6) 5 ng of f3-gal. Embryos were allowed to develop
to stage 9, and extracts were prepared and immunoprecipitated
with antibodies recognizing the HA tag on the ectopically
expressed human cdk5 RNAs (lanes 1-3) or the carboxyl
terminus of endogenous cdk5 (lanes 4-6), as described in Materials
and Methods. Immunoprecipitates were assayed for their
ability to phosphorylate histone HI, using ['¢-'~2P]ATP.
Figure 5. Embryos expressing cdk5 DN are stunted. Embryos
were injected with 5 ng of total RNA encoding wild-type cdk5
(cdk5 WT) or cdk5 dominant negative (cdk5 DN} or 5 ng of both,
as labeled, into the marginal zone of both cells of a two-cell
embryo. Embryos were allowed to develop until stage 26/27 and
immunostained with mAb 12/101 for mature muscle. Typical
embryos were cleared for viewing.
Figure 6. Blocking cdk5 kinase activity specifically
disrupts somitic muscle formation. (A) Somite
disruption is specific for regions expressing
cdk5 DN. RNA was injected into one cell of a
two-cell embryo. {Panels i,iv) 2 ng of cdk5 WT
with 0.5 ng of 13-gal; (ii, v} uninjected side; (iii, vi)
2 ng of cdk5 DN with 0.5 ng of [3-gal. Embryos
were allowed to develop to the early tailbud
stage, then were fixed and stained for 13-gal expression
{turquoise; see Materials and Methods)
and mature muscle with mAb 12/101 (in dark
blue/purple). Embryos were sectioned and shown
at lower magnification (i,ii,iii) and at higher magnification
liv.v.vi) of the myotomes. (B) Four-cell
embryos were injected in the marginal zone of
each blastomere with 5 ng {total} of RNA encoding
cdk5 WT (i,iii) or cdk5 DN (ii,iv). Embryos
were allowed to develop to the early tailbud stage
and then stained in whole mount for keratin sulfate
expression, using the mAb MZ15, specific
for the notochord at this stage (dark blue). Embryos
were sectioned to view the notochord at
low {i.ii) and high magnification {iii,iv).
Figure 7. (A) Animal caps treated with activin have high H1
kinase activity. Animal caps from uninjected embryos (lanes
1-3) or from embryos injected with 5 ng of cdk5 DN RNA (lane
4) were cut from stage 9 embryos and assayed either immediately
(lane 1 ), or after incubation without (lane 2) or with activin
at 2 ng/ml (lanes 3,4) until parallel embryos had reached stage
21 (early tailbud). Extracts from caps were subjected to immunoprecipitation
with the cdk5 carboxy-terminal antibody C8,
and cdk5 kinase activity was assayed using histone H1 as substrate.
(B) cdk5 DN blocks animal cap elongation in response to
activin. Animal caps described above were photographed to record
morphology when parallel embryos had reached stage 2t.
(Panel i) Uninjected caps, untreated (see Fig. 6A, lane 2); (ii)
uninjected caps, activin treated (see Fig. 6A, lane 3); (iii) cdk5
DN-injected caps, activin treated (see Fig. 6A, lane 4).
Figure 8. Blocking cdk5 kinase activity in animal cap explants
down-regulates the expression of muscle markers in response to
activin. Embryos were left uninjected (lanes 1,2), or injected at
the two-cell stage with 5 ng of cdk5 WT (lane 3), 5 ng of cdk5
DN tlane 4), 5 ng of cdk5 WT with 5 ng of cdk5 DN (lane 5), 5
ng of cdk5 DN with 5 ng of Xp35.1 carboxy-terminal portion
(lane 6). Ten animal caps were cut and incubated in buffer (lane
1) or in buffer containing 1.25 ng/ml purified activin A (lanes
2-6) for 2 hr, and then transferred to buffer alone. Caps were
cultured until parallel embryos had reached stage 18, and then
harvested and analyzed for marker gene expression, as shown,
by RT-PCR, described in Materials and Methods. (Lane 7) RNA
from a parallel stage 18 embryo.
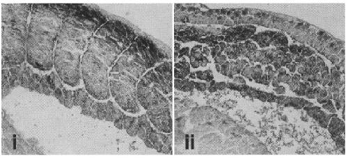
Figure 9. Xp35.1 overexpression disrupts embryonic muscle
organization. One cell of a two-cell embryo was left uninjected
lpanel i) or injected with 2 ng of full-length Xp3S. 1 with 600 pg
of f3-gal RNA (ii}. Embryos were fixed at early tailbud stage and
stained for [3-gal expression to distinguish the injected side and
for mature muscle using mAb 12/101 (appears dark here). Embryos
were sectioned to look at internal morphology.