Click here to close
Hello! We notice that you are using Internet Explorer, which is not supported by Xenbase and may cause the site to display incorrectly.
We suggest using a current version of Chrome,
FireFox, or Safari.
Development
1997 Jul 01;12413:2553-60. doi: 10.1242/dev.124.13.2553.
Show Gene links
Show Anatomy links
Xmsx-1 modifies mesodermal tissue pattern along dorsoventral axis in Xenopus laevis embryo.
Maeda R, Kobayashi A, Sekine R, Lin JJ, Kung H, Maéno M.
???displayArticle.abstract???
This study analyzes the expression and the function of Xenopus msx-1 (Xmsx-1) in embryos, in relation to the ventralizing activity of bone morphogenetic protein-4 (BMP-4). Expression of Xmsx-1 was increased in UV-treated ventralized embryos and decreased in LiCl-treated dorsalized embryos at the neurula stage (stage 14). Whole-mount in situ hybridization analysis showed that Xmsx-1 is expressed in marginal zone and animal pole areas, laterally and ventrally, but not dorsally, at mid-gastrula (stage 11) and late-gastrula (stage 13) stages. Injection of BMP-4 RNA, but not activin RNA, induced Xmsx-1 expression in the dorsal marginal zone at the early gastrula stage (stage 10+), and introduction of a dominant negative form of BMP-4 receptor RNA suppressed Xmsx-1 expression in animal cap and ventral marginal zone explants at stage 14. Thus, Xmsx-1 is a target gene specifically regulated by BMP-4 signaling. Embryos injected with Xmsx-1 RNA in dorsal blastomeres at the 4-cell stage exhibited a ventralized phenotype, with microcephaly and swollen abdomen. Histological observation and immunostaining revealed that these embryos had a large block of muscletissue in the dorsal mesodermal area instead of notochord. On the basis of molecular marker analysis, however, the injection of Xmsx-1 RNA did not induce the expression of alpha-globin, nor reduce cardiac alpha-actin in dorsal marginal zone explants. Furthermore, a significant amount of alpha-actin was induced and alpha-globin was turned off in the ventral marginal zone explants injected with Xmsx-1. These results indicated that Xmsx-1 is a target gene of BMP-4 signaling, but possesses a distinct activity on dorsal-ventral patterning of mesodermal tissues.
Fig. 1. Expression of Xmsx-1 in ventralized and dorsalized embryos.
Embryos were treated with UV irradiation (30 or 40 seconds) or with
LiCl (30 or 40 minutes) as described in Materials and Methods. The
RNA was extracted from stage 14 embryos and 10 mg total RNA was
electrophoresed in each lane for northern blot analysis. For RNA
loading control, the same blot was rehybridized with EF-1a probe.
Fig. 2. Expression of Xmsx-1 in gastrula- and
neurula-stage embryos. Whole-mount in situ
hybridization was performed using albino
embryos. (A) At the early gastrula stage
(stage 101/4), faint staining was observed in
animal hemisphere. (B,C) At mid-gastrula
stage (stage 11), staining was detected in
marginal zone and animal pole area, laterally
and ventrally, but not dorsally. Lateral (B)
and animal (C) views. d, dorsal. (D,E) At late
gastrula stage (stage 13), message was
strongest in dorsal-lateral region and was
completely absent in the presumptive neural
area. Dorsal-lateral (D) and dorsal (E) views.
a, anterior. (F) At neurula stage (stage 15),
expression is obviously restricted to the
ridges of neural fold and anteriorlateral
edges of neural region, where the neural crest
precursors exist. Bar in A indicates 500 mm.
Fig. 3. Expression of Xmsx-1 is specifically regulated by BMP-4.
(A) BMP-4 or activin RNA at the concentration indicated was injected
into dorsal two blastomeres at 4-cell stage, and dorsal marginal zone
(DMZ) tissues were excised at early gastrula (stage 10+). Total RNA
from 10-15 explants were subjected to RT-PCR analysis to detect
Xmsx-1 and EF-1a mRNAs. (B) The densitometric analysis was
performed with a scanning imager (Personal Densitometer, Molecular
Dynamics Japan, Tokyo, Japan). The relative density of each sample
was normalized by the densitometric values of uninjected DMZ
explants. Note that BMP-4, but not activin, was able to enhance the
expression of Xmsx-1 in a dose-dependent manner.
Fig. 4. DN-TFR11 RNA blocks the expression of Xmsx-1.
(A) The expression of Xmsx-1 in staged whole embryos.
Northern blot analysis was performed as described in Fig. 1. 7
mg total RNA was loaded in each lane. For RNA loading control,
28S ribosomal RNA stained with ethidium bromide is shown
below. (B) Inhibition of Xmsx-1 expression in explants and
embryo injected with DN-TFR11 RNA. Animal pole area (AP)
at 2-cell stage or ventral marginal zone (VMZ) at 4-cell stage
were injected with capped DN-TFR11 RNA (5ng/embryo), and
each region was cultured from stage 10+ to stage 14. 2 mg total
RNA was electrophoresed in each lane.
Fig. 5. Morphological views of whole embryos injected with
Xmsx-1 RNA. Dorsal two blastomeres at 4-cell stage were
injected with capped Xmsx-1 RNA (5 ng/embryo), and these
embryos (B,D,F) or control uninjected embryos (A,C,E)
were allowed to develop to stage 35/36. The embryos
injected with Xmsx-1 exhibit microcephaly with small eye
capsules and swollen abdomens. Some embryos were
immunostained with anti-N-CAM antibody, 4d (C,D) or
with anti-notochord antibody, MZ-15 (E, F), showing significant
reduction of both markers in injected embryos (D,
F). Arrowhead in F shows a trace of notochord in Xmsx-1-
injected embryo. Bar in A indicates 1 mm.
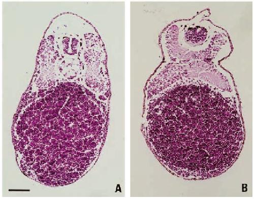
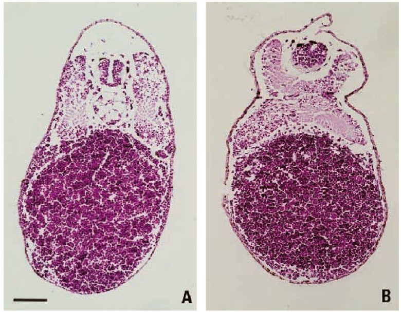
Fig. 6. Histological views of whole embryos injected with Xmsx-1
RNA. Transverse sections through mid-trunk region of a control uninjected
embryo (A) and an embryo injected with Xmsx-1 (B). The same
embryos shown in Fig. 5A and 5B were used for histological examination.
A large block of muscle tissue was observed in dorsal mesodermal
area of the embryo injected with Xmsx-1 RNA. Bar in A
indicates 100 mm.
Fig. 7. Morphological and histological
views of dorsal marginal zone
(DMZ) explants injected with Xmsx-
1 RNA. Dorsal two blastomeres at 4-
cell stage were injected with capped
Xmsx-1 RNA (5 ng/embryo) and
DMZ tissues of the control (A) and
injected (B) embryos were excised at
early gastrula (stage 10+) for subsequent
culture for 2 days. (C) Control
(left) or Xmsx-1-injected (right) DMZ
explants were immunostained with
anti-N-CAM antibody, 4d. Histological
observation of control (E) and
Xmsx-1-injected (D,F) DMZ explants
shows that cement gland, neural
tissue and notochord were absent,
and mesenchymal tissue and muscle
were present in the injected explants.
Bars in A,C and D indicate 500 mm,
500 mm and 100 mm, respectively. m,
muscle; me, mesenchyme; n,
notochord; nt, neural tissue.
Fig. 8. Summary of tissue types in the
dorsal marginal zone explants (DMZ)
with or without injection of capped
Xmsx-1 RNA (5 ng/embryo). Serial
sections from each explant were
prepared and the percentage of explants
containing each tissue in total explants
(n=11) is represented.
Fig. 9. The distinct ventralizing activities in inducing mesodermal
tissues raised by BMP-4 and Xmsx-1. Dorsal, lateral or ventral two
blastomeres at 4-cell stage were injected with Xmsx-1 or BMP-4 RNA
(5 ng /embryo), and dorsal/lateral/ventral marginal zone
(DMZ/LMZ/VMZ) tissues were excised at early gastrula (stage 10+)
for subsequent culture for 2 days. Total RNA from 10-15 explants
were extracted and 2 mg RNA was electrophoresed in each lane for
northern blot analysis to detect a-actin, a-globin and EF-1a. Note
that Xmsx-1 induced the expression of a-actin and inhibited the
expression of a-globin in VMZ explants.