Click here to close Hello! We notice that you are using Internet Explorer, which is not supported by Xenbase and may cause the site to display incorrectly. We suggest using a current version of Chrome, FireFox, or Safari.
XB-ART-16228
J Cell Biol 1997 Jul 28;1382:239-53.
Show Gene links Show Anatomy links

Xlrbpa, a double-stranded RNA-binding protein associated with ribosomes and heterogeneous nuclear RNPs.

Eckmann CR, Jantsch MF.


???displayArticle.abstract???
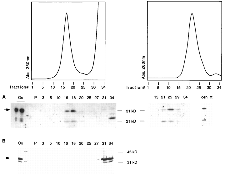
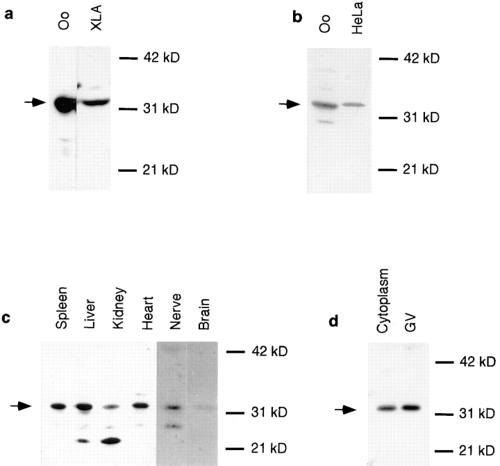
We have cloned and characterized Xlrbpa, a double-stranded RNA-binding protein from Xenopus laevis. Xlrbpa is a protein of 33 kD and contains three tandemly arranged, double-stranded RNA-binding domains (dsRBDs) that bind exclusively to double-stranded RNA in vitro, but fail to bind either single-stranded RNA or DNA. Sequence data and the overall organization of the protein suggest that Xlrbpa is the Xenopus homologue of human TAR-RNA binding protein (TRBP), a protein isolated by its ability to bind to human immunodeficiency virus (HIV) TAR-RNA. In transfection assays, TRBP has also been shown to inhibit the interferon-induced protein kinase PKR possibly by direct physical interaction. To determine the function of Xlrbpa and its human homologue we studied the expression and intracellular distribution of the two proteins. Xlrbpa is ubiquitously expressed with marked quantitative differences amongst all tissues. Xlrbpa and human TRBP can be detected in the cytoplasm and nucleus by immunofluorescence staining and Western blotting. Sedimentation gradient analyses and immunoprecipitation experiments suggest an association of cytoplasmic Xlrbpa with ribosomes. In contrast, a control construct containing two dsRBDs fails to associate with ribosomes in microinjected Xenopus oocytes. Nuclear staining of Xenopus lampbrush chromosome preparations showed the association of the protein with nucleoli, again indicating an association of the protein with ribosomal RNAs. Additionally, Xlrbpa could be located on lampbrush chromosomes and in snurposomes. Immunoprecipitations of nuclear extracts demonstrated the presence of the protein in heterogeneous nuclear (hn) RNP particles, but not in small nuclear RNPs, explaining the chromosomal localization of the protein. It thus appears that Xlrbpa is a general double-stranded RNA-binding protein which is associated with the majority of cellular RNAs, ribosomal RNAs, and hnRNAs either alone or as part of an hnRNP complex.

???displayArticle.pubmedLink??? 9230068
???displayArticle.pmcLink??? PMC2138193



Species referenced: Xenopus laevis
Genes referenced: eif2ak2 hnrnpc myc ncoa6 pmp2


???attribute.lit??? ???displayArticles.show???
References [+] :
Adam, mRNA polyadenylate-binding protein: gene isolation and sequencing and identification of a ribonucleoprotein consensus sequence. 1986, Pubmed