Click here to close
Hello! We notice that you are using Internet Explorer, which is not supported by Xenbase and may cause the site to display incorrectly.
We suggest using a current version of Chrome,
FireFox, or Safari.
???displayArticle.abstract???
An association has been noted previously in chick, mouse and frog embryos between asymmetric nodal-related gene expression and embryonic situs, implying an evolutionarily conserved role in left-right specification. Of the four Xenopus nodal-related genes expressed during gastrulation, only Xnr-1 is re-expressed unilaterally in the leftlateral plate mesoderm at neurula/tailbud stages. Here, we show that the asymmetric expression of Xnr-1 can be made bilaterally symmetric by right-sided microinjection of RNA encoding active Xenopus hedgehog proteins. Moreover, we provide the first evidence that Xnr-1 expression per se is a causal factor in left-right axis determination. When plasmids expressing Xnr-1 were delivered unilaterally to the right side of Xenopus embryos, a reversed laterality of both the heart and gut (homotaxic reversal) was induced in 40% of surviving embryos, while an additional 10-20% showed reversal of the heart or gut alone (heterotaxia). This effect on laterality was specific to Xnr-1, since neither Xnr-2 nor Xnr-3 plasmids had this activity. In addition, we find that Xnr-1 and Xnr-2, which have both been defined as mesoderm inducers from overexpression studies, show quantitative differences in their ability to induce dorsal mesoderm. Together, these findings suggest that the various Xnrs perform substantially different functions during Xenopus embryogenesis. Moreover, they strongly support the hypothesis that leftlateral plate expression of nodal-related genes is a causative factor in the determination of asymmetry in vertebrate embryos.
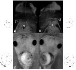
Fig. 1. In situ hybridization for Xnr-1 in Xenopus hedgehog RNAinjected
embryos. The embryos shown are dorsal views at stage 21,
left and right are indicated in (A). (A) Xnr-1 expression in the left
lateral plate mesoderm, as seen in normal embryos. (B) Bilateral
Xnr-1 expression in the left and right lateral plate mesoderm caused
by right side injection of Xbhh-N RNA. (C) Right side expression of
Xnr-1 caused by Xshh-N RNA. (D) Xnr-1 expression absent from
both sides of an Xbhh-N RNA-injected embryo.
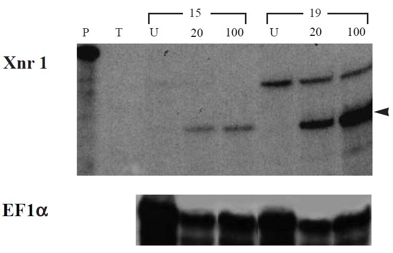
Fig. 2. Endogenous versus plasmid-encoded Xnr-1 expression at
neurula/tailbud stages. RNase protection assays were used to analyze
Xnr-1 transcript levels at neurula (stage 15) and tailbud (stage 19),
either in uninjected embryos (U), or in embryos injected with 20 pg
or 100 pg of pXEX/Xnr-1 (lanes labeled 20 and 100). The 420
nucleotide product represents endogenous transcripts and the 370
product (arrowhead) those derived from pXEX/Xnr-1. EF-1a was
used as a loading control. P, 480 bp Xnr-1 probe; T, tRNA control.
Fig. 3. Reversal of heart and gut looping in pCSKA/Xnr-1 injected embryos. The upper panels are
ventral views of stage 45 embryos injected with pCSKA/Xnr-1 with normal looping of the heart
(A), or reversed looping (B), visualized by indirect immunofluorescence with the muscle-specific
MF20 antibody. The arrowhead indicates the outflow tract; v indicates the ventricle. The shape of
the heart is diagrammatically represented by the outline drawings. The lower two panels are
ventral views of the same embryos showing intestinal looping in pCSKA/Xnr-1-injected embryos:
(C) normal looping, (D) reversed looping. Arrows indicate the direction of looping on the outline
drawings.
Fig. 4. Differences in mesoderm induction by Xnr-1 and Xnr-2. RTPCR
analysis of animal cap explants from embryos injected with 10,
50 or 150 pg of Xnr-1, compared to 10 or 50 pg of Xnr-2 RNA,
showing expression of the pan-mesodermal marker, Xbra, the dorsal
mesodermal marker, Gsc, and the constitutive marker, FGFR. NAM
lane represents uninjected explants cultured in normal amphibian
medium.