Click here to close
Hello! We notice that you are using Internet Explorer, which is not supported by Xenbase and may cause the site to display incorrectly.
We suggest using a current version of Chrome,
FireFox, or Safari.
???displayArticle.abstract???
To understand the role of microtubule-associated proteins (MAPs) in the regulation of microtubule (MT) dynamics we have characterized MAPs prepared from Xenopus laevis eggs (Andersen, S.S.L., B. Buendia, J.E. Domínguez, A. Sawyer, and E. Karsenti. 1994. J. Cell Biol. 127:1289-1299). Here we report on the purification and characterization of a 310-kD MAP (XMAP310) that localizes to the nucleus in interphase and to mitotic spindle MTs in mitosis. XMAP310 is present in eggs, oocytes, a Xenopus tissue culture cell line, testis, and brain. We have purified XMAP310 to homogeneity from egg extracts. The purified protein cross-links pure MTs. Analysis of the effect of this protein on MT dynamics by time-lapse video microscopy has shown that it increases the rescue frequency 5-10-fold and decreases the shrinkage rate twofold. It has no effect on the growth rate or the catastrophe frequency. Microsequencing data suggest that XMAP230 and XMAP310 are novel MAPs. Although the three Xenopus MAPs characterized so far, XMAP215 (Vasquez, R.J., D.L. Gard, and L. Cassimeris. 1994. J. Cell Biol. 127:985-993), XMAP230, and XMAP310 are localized to the mitotic spindle, they have distinct effects on MT dynamics. While XMAP215 promotes rapid MT growth, XMAP230 decreases the catastrophe frequency and XMAP310 increases the rescue frequency. This may have important implications for the regulation of MT dynamics during spindle morphogenesis and chromosome segregation.
Figure 1. XMAP310 localization in XL177 cells (Miller and Daniel, 1977) during the cell cycle. XL177 cells were stained with: Hoechst (a, d, g), a rabbit anti-tubulin pAb (b, e, h, j, l), and the Q4 mAb (c, f, i, k, m). Interphase (a–c), metaphase/early anaphase after pr-extraction with 0.5% TX-100 (d–f), late anaphase (g–i), late telophase without preextraction (j and k), late telophase with preextraction (l and m). Bar: (a–k) 10 μm; (l and m) 12.5 μm.
Figure 2. (Top) XMAP310 localization in the mitotic spindle: MTs stained with a rabbit anti-tublin pAb in the rhodamine channel (Tubulin), XMAP310 in the fluorescein channel (XMAP310) and in overlay (Overlay). (Bottom) XMAP230 and XMAP310 colocalize (Overlay) to the central region of the mitotic spindle in XL177 cells. Images were obtained by confocal microscopy. Bar, 2.5 μm.
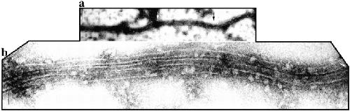
Figure 4. Electron micrographs showing cross-linked MTs in bundles formed in the presence of XMAP310. After spontaneous assembly in the presence XMAP310, MTs were spotted onto carbon grids and visualized by negative stain and electron microscopy. (a) A long bundle consisting of three cross-linked MTs (b) magnification of the arrow-outlined area in a, note the uniform short spacing of the MTs. Bars: (a) 200 nm; (b) 60 nm.
Figure 5. MT dynamics visualized by video microscopy. MTs are nucleated by a centrosome (center of the MT asters). (a) MTs polymerized in the absence of XMAP310. (b–d) MTs polymerized with XMAP310. The MT indicated with an arrow experienced a catastrophe shortly after the frame shown in b, and shrank to the length shown in c where it was rescued and continued to grow, as shown in d. Time since transfer to 37°C is indicated by xx:xx:xx, which represents hours:minutes:seconds, respectively. Bar, 10 μm.
Figure 6. Model for how XMAP310 may promote rescues and MT cross-linking. (Top) Plane-projection of a depolymerizing (shrinking) MT in the absence (Control) or presence of XMAP310 (+XMAP310), with protofilaments (lines) peeling off the MT by out-wards curvature (arrows). Note the more blunt MT end in the presence of XMAP310 which could be promoted if cross-linking of protofilaments by XMAP310 prevents the outwards curvature of protofilaments. (Bottom) Magnifications of the boxed areas, showing part of the MTs at two different time points, t1 and t2. In the Control, the MT is shrinking both at t1 and t2, by loss of GDP-tubulin (arrows). In the presence of XMAP310 the MT is shrinking at t1. At t2 the MT has been rescued. A depolymerizing MT (t1) will meet resistance towards depolymerization due to the cross-linking of protofilaments/MTs, but XMAP310 does not dramatically prevent the loss of the tubulin dimers from the depolymerizing ends (little effect on vs). Eventually depolymerization of the MT is blocked long enough to maintain the depolymerizing MT-GDP-lattice in a straight conformation allowing new GTP-tubulin subunits to be added to the end, and the MT has been rescued (arrows indicate the direction of the flux of tubulin subunits).
Andersen,
Mitotic chromatin regulates phosphorylation of Stathmin/Op18.
1997, Pubmed,
Xenbase
Andersen,
Mitotic chromatin regulates phosphorylation of Stathmin/Op18.
1997,
Pubmed
,
Xenbase Andersen,
Effect on microtubule dynamics of XMAP230, a microtubule-associated protein present in Xenopus laevis eggs and dividing cells.
1994,
Pubmed
,
Xenbase Belmont,
Identification of a protein that interacts with tubulin dimers and increases the catastrophe rate of microtubules.
1996,
Pubmed
,
Xenbase Belmont,
Real-time visualization of cell cycle-dependent changes in microtubule dynamics in cytoplasmic extracts.
1990,
Pubmed
,
Xenbase Bonifacino,
A widely distributed nuclear protein immunologically related to the microtubule-associated protein MAP1 is associated with the mitotic spindle.
1985,
Pubmed Bornens,
Structural and chemical characterization of isolated centrosomes.
1987,
Pubmed
,
Xenbase Bulinski,
Purification and characterization of ensconsin, a novel microtubule stabilizing protein.
1994,
Pubmed Charrasse,
Characterization of the cDNA and pattern of expression of a new gene over-expressed in human hepatomas and colonic tumors.
1995,
Pubmed Chen,
Projection domains of MAP2 and tau determine spacings between microtubules in dendrites and axons.
1992,
Pubmed Chrétien,
Structure of growing microtubule ends: two-dimensional sheets close into tubes at variable rates.
1995,
Pubmed Cleveland,
NuMA: a protein involved in nuclear structure, spindle assembly, and nuclear re-formation.
1995,
Pubmed Collins,
Reversible assembly purification of taxol-treated microtubules.
1991,
Pubmed Compton,
Identification of novel centromere/kinetochore-associated proteins using monoclonal antibodies generated against human mitotic chromosome scaffolds.
1991,
Pubmed Cormier,
Molecular cloning of Xenopus elongation factor 1 gamma, major M-phase promoting factor substrate.
1991,
Pubmed
,
Xenbase Dogterom,
Influence of M-phase chromatin on the anisotropy of microtubule asters.
1996,
Pubmed
,
Xenbase Drechsel,
Modulation of the dynamic instability of tubulin assembly by the microtubule-associated protein tau.
1992,
Pubmed Evans,
Influence of the centrosome on the structure of nucleated microtubules.
1985,
Pubmed Feick,
Immunolocalization and molecular properties of a high molecular weight microtubule-bundling protein (syncolin) from chicken erythrocytes.
1991,
Pubmed Gard,
A microtubule-associated protein from Xenopus eggs that specifically promotes assembly at the plus-end.
1987,
Pubmed
,
Xenbase Heald,
Self-organization of microtubules into bipolar spindles around artificial chromosomes in Xenopus egg extracts.
1996,
Pubmed
,
Xenbase Hershey,
Translational control in mammalian cells.
1991,
Pubmed Hirokawa,
Microtubule organization and dynamics dependent on microtubule-associated proteins.
1994,
Pubmed Hirokawa,
Tau proteins: the molecular structure and mode of binding on microtubules.
1988,
Pubmed Holy,
Dynamic instability of microtubules as an efficient way to search in space.
1994,
Pubmed Hyman,
Morphogenetic properties of microtubules and mitotic spindle assembly.
1996,
Pubmed Hyman,
Preparation of modified tubulins.
1991,
Pubmed Inoué,
Force generation by microtubule assembly/disassembly in mitosis and related movements.
1995,
Pubmed Itoh,
Microtubule-stabilizing activity of microtubule-associated proteins (MAPs) is due to increase in frequency of rescue in dynamic instability: shortening length decreases with binding of MAPs onto microtubules.
1994,
Pubmed Izant,
A microtubule-associated protein in the mitotic spindle and the interphase nucleus.
1982,
Pubmed Jensen,
Delayed extraction improves specificity in database searches by matrix-assisted laser desorption/ionization peptide maps.
1996,
Pubmed Karsenti,
Respective roles of centrosomes and chromatin in the conversion of microtubule arrays from interphase to metaphase.
1984,
Pubmed
,
Xenbase Kirschner,
Beyond self-assembly: from microtubules to morphogenesis.
1986,
Pubmed Mandelkow,
Microtubule dynamics and microtubule caps: a time-resolved cryo-electron microscopy study.
1991,
Pubmed Mandelkow,
Microtubules and microtubule-associated proteins.
1995,
Pubmed Mangan,
A muscle-specific variant of microtubule-associated protein 4 (MAP4) is required in myogenesis.
1996,
Pubmed Masson,
Binding of E-MAP-115 to microtubules is regulated by cell cycle-dependent phosphorylation.
1995,
Pubmed Mastronarde,
Interpolar spindle microtubules in PTK cells.
1993,
Pubmed Matus,
Microtubule-associated proteins.
1990,
Pubmed McNally,
Katanin, the microtubule-severing ATPase, is concentrated at centrosomes.
1996,
Pubmed Merdes,
A complex of NuMA and cytoplasmic dynein is essential for mitotic spindle assembly.
1996,
Pubmed
,
Xenbase Miller,
Comparison of in vivo and in vitro ribosomal RNA synthesis in nucleolar mutants of Xenopus laevis.
1977,
Pubmed
,
Xenbase Nguyen,
Overexpression of full- or partial-length MAP4 stabilizes microtubules and alters cell growth.
1997,
Pubmed Olmsted,
Microtubule-associated proteins.
1986,
Pubmed Olmsted,
Cell cycle-dependent changes in the dynamics of MAP 2 and MAP 4 in cultured cells.
1989,
Pubmed Ookata,
Cyclin B interaction with microtubule-associated protein 4 (MAP4) targets p34cdc2 kinase to microtubules and is a potential regulator of M-phase microtubule dynamics.
1995,
Pubmed Pepper,
Studies of a microtubule-associated protein using a monoclonal antibody elicited against mammalian mitotic spindles.
1984,
Pubmed Pereira,
Genetic analysis of a Drosophila microtubule-associated protein.
1992,
Pubmed Pryer,
Brain microtubule-associated proteins modulate microtubule dynamic instability in vitro. Real-time observations using video microscopy.
1992,
Pubmed Reinsch,
Orientation of spindle axis and distribution of plasma membrane proteins during cell division in polarized MDCKII cells.
1994,
Pubmed Sato-Yoshitake,
Microtubule-associated protein 1B: molecular structure, localization, and phosphorylation-dependent expression in developing neurons.
1989,
Pubmed Saunders,
The Drosophila gene abnormal spindle encodes a novel microtubule-associated protein that associates with the polar regions of the mitotic spindle.
1997,
Pubmed Sawin,
Microtubule flux in mitosis is independent of chromosomes, centrosomes, and antiparallel microtubules.
1994,
Pubmed
,
Xenbase Saxton,
Tubulin dynamics in cultured mammalian cells.
1984,
Pubmed Shiina,
Regulation of a major microtubule-associated protein by MPF and MAP kinase.
1992,
Pubmed
,
Xenbase Shiina,
A novel homo-oligomeric protein responsible for an MPF-dependent microtubule-severing activity.
1992,
Pubmed
,
Xenbase Simon,
The structure of microtubule ends during the elongation and shortening phases of dynamic instability examined by negative-stain electron microscopy.
1990,
Pubmed Sobel,
Stathmin: a relay phosphoprotein for multiple signal transduction?
1991,
Pubmed Toso,
Kinetic stabilization of microtubule dynamic instability in vitro by vinblastine.
1993,
Pubmed Tournebize,
Distinct roles of PP1 and PP2A-like phosphatases in control of microtubule dynamics during mitosis.
1997,
Pubmed
,
Xenbase Trinczek,
Domains of tau protein, differential phosphorylation, and dynamic instability of microtubules.
1995,
Pubmed Vale,
Severing of stable microtubules by a mitotically activated protein in Xenopus egg extracts.
1991,
Pubmed
,
Xenbase Vasquez,
XMAP from Xenopus eggs promotes rapid plus end assembly of microtubules and rapid microtubule polymer turnover.
1994,
Pubmed
,
Xenbase Verde,
Regulation of microtubule dynamics by cdc2 protein kinase in cell-free extracts of Xenopus eggs.
1990,
Pubmed
,
Xenbase Verde,
Control of microtubule dynamics and length by cyclin A- and cyclin B-dependent kinases in Xenopus egg extracts.
1992,
Pubmed
,
Xenbase Walker,
Dynamic instability of individual microtubules analyzed by video light microscopy: rate constants and transition frequencies.
1988,
Pubmed Wang,
Removal of MAP4 from microtubules in vivo produces no observable phenotype at the cellular level.
1996,
Pubmed Waters,
Pathways of spindle assembly.
1997,
Pubmed Wiche,
Molecular structure and function of microtubule-associated proteins.
1991,
Pubmed Wilhelm,
Purification of recombinant cyclin B1/cdc2 kinase from Xenopus egg extracts.
1997,
Pubmed
,
Xenbase Zhai,
Microtubule dynamics at the G2/M transition: abrupt breakdown of cytoplasmic microtubules at nuclear envelope breakdown and implications for spindle morphogenesis.
1996,
Pubmed Zieve,
Proteins specifically associated with the microtubules of the mammalian mitotic spindle.
1982,
Pubmed