XB-ART-15711
J Cell Biol
1997 Nov 17;1394:1033-46. doi: 10.1083/jcb.139.4.1033.
Show Gene links
Show Anatomy links
Antagonism of cell adhesion by an alpha-catenin mutant, and of the Wnt-signaling pathway by alpha-catenin in Xenopus embryos.
Sehgal RN, Gumbiner BM, Reichardt LF.
???displayArticle.abstract???
In Xenopus laevis development, beta-catenin plays an important role in the Wnt-signaling pathway by establishing the Nieuwkoop center, which in turn leads to specification of the dorsoventral axis. Cadherins are essential for embryonic morphogenesis since they mediate calcium-dependent cell-cell adhesion and can modulate beta-catenin signaling. alpha-catenin links beta-catenin to the actin-based cytoskeleton. To study the role of endogenous alpha-catenin in early development, we have made deletion mutants of alphaN-catenin. The binding domain of beta-catenin has been mapped to the NH2-terminal 210 amino acids of alphaN-catenin. Overexpression of mutants lacking the COOH-terminal 230 amino acids causes severe developmental defects that reflect impaired calcium-dependent blastomere adhesion. Lack of normal adhesive interactions results in a loss of the blastocoel in early embryos and ripping of the ectodermal layer during gastrulation. The phenotypes of the dominant-negative mutants can be rescued by coexpressing full-length alphaN-catenin or a mutant of beta-catenin that lacks the internal armadillo repeats. We next show that coexpression of alphaN-catenin antagonizes the dorsalizing effects of beta-catenin and Xwnt-8. This can be seen phenotypically, or by studying the effects of expression on the downstream homeobox gene Siamois. Thus, alpha-catenin is essential for proper morphogenesis of the embryo and may act as a regulator of the intracellular beta-catenin signaling pathway in vivo.
???displayArticle.pubmedLink??? 9362521
???displayArticle.pmcLink??? PMC2139960
???displayArticle.link??? J Cell Biol
???displayArticle.grants??? [+]
Species referenced: Xenopus laevis
Genes referenced: actl6a ctnnb1 mrc1 myc sia1 wnt8a
???attribute.lit??? ???displayArticles.show???
|
|
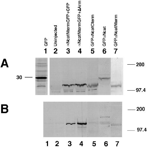
Figure 2. Expression of α-cateninâGFP fusion proteins in Xenopus embryos and the localization of the β-catenin binding site. (A) Expression of proteins detected by anti-GFP. (B) After immunoprecipitations with antiâβ-catenin, associated α-catenin was detected using anti-GFP. In both A and B, the numbering is as follows: lane 1, GFP injected; lane 2, uninjected; lane 3, αNcatNtermGFP + GFP; lane 4, αNcatNtermGFP + ÎArm; lane 5, GFPαNcatCterm; lane 6, GFPαNcat; lane 7, GFPαNcatNterm. Note that GFPαNcatCterm, the protein lacking the NH2 terminus of αN-catenin, does not bind to β-catenin (B, lane 5). Results show that the presence of GFP does not prevent α-catenin binding to β-catenin, provided that the NH2-terminal binding domain is present. In addition, coexpression of ÎArm does not affect expression levels. In each case, 1.5 ng total RNA was injected into one blastomere at the two-cell stage. |
|
|
Figure 3. Mutants lacking the COOH terminus of αN-catenin result in severe gastrulation defects. (A) GFPαNcat-injected embryos develop normally. (B) GFPαNcatCterm-expressing embryos develop normally. (C and D) Both αNcatNtermGFP- and GFPαNcatNterm-injected mRNAs induce defects beginning at stage 10, here shown by rips (arrows) occurring at the dorsal lips of the embryos. Embryos are shown with the ventral side toward the top. mRNA was injected into the animal pole of one cell of two-cell embryos. |
|
|
Figure 4. ΔArm binds α-catenin– GFP fusion proteins. The 9E10 monoclonal antibody that recognizes the myc tag on ΔArm was used to immunoprecipitate, and anti-GFP was used with subsequent immunoblotting to detect α-catenin–GFP fusion proteins in the precipitates. Embryos were coinjected with 0.3 ng of the first mRNA and 1.2 ng of the second. First lane, GFP + ΔArm; second lane, αNcatNtermGFP + ΔArm; third lane, uninjected. |
|
|
Figure 5. ΔArm and GFPαNcat rescue the defects caused by dominant-negative α-catenin mutants. (A, B, and C) αNcatNtermGFP + GFP, ΔArm, or GFPαNcat, respectively. (D–F) GFPαNcatNterm + GFP, ΔArm, or GFPαNcat. In all cases, 0.3 ng of αNcatNtermGFP or GFPαNcatNterm mRNA was coinjected with 1.2 ng of the second mRNA. Mutants in A and D do not develop further than gastrulation. Rescued mutants gastrulate (B and C, and E and F) and continue to develop normally. mRNA was injected into the animal pole of one cell of two-cell embryos. |
|
|
Figure 6. Histology of gastrulating embryos expressing α-catenin– GFP fusion proteins. Stage 10–11 embryos were fixed in MEMFA and imbedded in paraplast (A and C) or plastic (B, D, E, and F) for sectioning. Arrowheads point to the blastocoel (bc). The abbreviation dl denotes the presumptive dorsal side of the embryos. (A) An uninjected normal embryo. (B) An embryo injected with GFPαNcatCterm mRNA, (C) αNcatNtermGFP, and (D) GFPαNcatNterm. Embryos expressing αNcatNtermGFP completely lack the blastocoel and are disorganized compared to normal embryos. Also noticeable is the lack of integrity of the ectodermal layers in the two mutants. Higher magnification emphasizes the disorganization of cells in an embryo expressing αNcatNtermGFP compared to a normal embryo expressing GFPαNcatCterm. mRNA was injected into the animal pole of both cells of two cell embryos. Bars: (A–D) 200 μm; (E and F) 100 μm. |
|
|
Figure 7. Redistribution of GFPαNcatNterm and αNcatNtermGFP from the glycoprotein fraction to the soluble fraction by ΔArm. (A) Soluble fractions immunoblotted with the anti-GFP polyclonal antibody. (B) Glycoprotein fractions immunoblotted with the anti-GFP polyclonal antibody. Lanes in both cases are 1, uninjected; 2, GFP injected; 3, GFPαNcatCterm injected; 4, αNcatNtermGFP + GFP; 5, αNcatNtermGFP + ΔArm; 6, GFPαNcatNterm + GFP; 7, GFPαNcatNterm + ΔArm; 8, GFPαNcat. Note the decrease in B between lanes 4 and 5 and lanes 6 and 7, implying that ΔArm acts by binding to the α-catenin mutants, keeping them from binding to the cadherin complex. When coinjections were done, 0.3 ng of the first mRNA was coninjected with 1.2 ng of the second mRNA. |
|
|
Figure 8. Levels of endogenous Xenopus α-catenin bound to cadherins decrease in embryos expressing the dominant-negative mutants αNcatNtermGFP or GFPαNcatNterm. Embryos were lysed in NP-40 buffer and immunoprecipitated using the monoclonal antibody to C-cadherin 6B6. The immunoprecipitates were immunoblotted with the polyclonal anti–αN-catenin antibody (CME). The lanes correspond to embryos injected with mRNA for 1, uninjected; 2, GFP; 3, αNcatNtermGFP; 4, GFPαNcatNterm; 5, uninjected. Lane 5 represents uninjected embryos subjected to immunoprecipitation with an anti-myc epitope antibody (9E10) as a negative control. Embryos were injected into both cells at the two-cell stage to obtain protein expression in the highest possible number of cells. Notice that the levels of endogenous α-catenin decrease significantly in lanes 3 and 4 compared to lanes 1 and 2. |
|
|
Figure 9. Animal cap assays reveal the dissociated nature of blastomeres expressing dominant-negative α-catenin. (A) Animal caps in 1× MMR normally heal and involute after 1 h as shown in GFPαNcat-injected embryos. (B) αNcatNtermGFP-expressing animal caps fail to involute, and dissociated blastomeres disperse after 1 h. (C) Dissociated GFP-expressing animal caps reaggregate in 2 mM Ca2+, whereas in D animal caps expressing αNcatNtermGFP do not. mRNA was injected into the animal pole of both cells of two-cell embryos. |
|
|
Figure 10. Coexpression of α-catenin diminishes the dorsalizing effects of Xwnt-8 and β-catenin. (A) Noninjected normal tadpoles. (B) Embryos expressing GFP + GFPαNcat. (C) Embryos expressing Xwnt-8 + GFP. (D) Xwnt-8 + GFPαNcat. (E) β-catenin + GFPαNcatCterm. (F) β-catenin + GFPαNcat. Embryos coexpressing α-catenin with Xwnt-8 develop longer trunks and are less dorsalized than embryos coexpressing GFP. Embryos ventrally expressing GFPαNcat + GFP develop normally (B). GFPαNcat antagonizes the induction of a secondary dorsoanterior axis by β-catenin (F). In BâD, embryos were coinjected with 0.125 ng of the first mRNA and 3 ng of the second. In E and F, 0.2 ng of β-catenin mRNA was coinjected with 3.0 ng of the αN-catenin constructs. One ventral blastomere was injected in each four-cell embryo. 1-mm glass beads hold the embryos upright. |
|
|
Figure 11. Full-length α-catenin can antagonize the endogenous induction of a dorsoanterior axis when expressed in dorsal blastomeres. 3.0 ng of either GFPαNcatCterm, which does not bind to β-catenin, or GFPαNcat, the full-length construct, were injected into both dorsal blastomeres of four-cell embryos. Embryos expressing GFPαNcat often develop the ventralized phenotypes illustrated here (B and D), with no anterior head structures present. Embryos expressing high levels of GFPαNcatCterm develop normally (A and C). Two stages are shown. |
|
|
Figure 12. (A) α-Catenin inhibits the induction of the homeobox-containing gene, Siamois, by full-length β-catenin or Xwnt-8 in animal caps. One cell of two-cell embryos was injected in the animal hemisphere, and animal cap explants were taken at stage 9 and allowed to develop to stage 10.5, when total RNA was prepared. In lanes 2â6, coinjections were with 0.125 ng of the first mRNA and 3.0 ng of the second. Lane 1, uninjected whole embryos; lane 2, full-length β-catenin + GFP; lane 3, full-length β-catenin + αNcatNtermGFP; lane 4, full-length β-catenin + GFPαNcat; lane 5, GFP + αNcatNtermGFP; lane 6, GFP + GFPαNcat; lane 7, 0.125 ng Xwnt-8 + 3.0 ng GFPαNcatCterm; lane 8, 0.125 ng Xwnt-8 + 3.0 ng GFPαNcat; lane 9, 0.125 ng Xwnt-8 + 1.5 ng GFP; lane 10, 0.125 ng Xwnt-8 + 3 ng GFP; lane 11, 0.125 ng Xwnt-8 + 0.75 ng GFPαNcat; lane 12, 0.125 ng Xwnt-8 + 1.5 ng GFPαNcat; lane 13, 0.125 ng Xwnt-8 + 3 ng GFPαNcat; 14, 0.125 ng GFP + 3 ng GFPαNcat. The ubiquitously expressed elongation factor 1α (EF1α) was included as a loading control. RNAse protection assays show that either full-length αN-catenin (GFPαNcat) or the dominant-negative αN-catenin (αNcatNtermGFP) decrease the levels of Siamois mRNA induced in animal caps by β-catenin or Xwnt-8. Moreoever, increasing concentrations of GFPαNcat result in proportionate decreases in Siamois induction by Xwnt-8. (B) α-Catenin inhibits the endogenous expression of Siamois when injected into dorsal blastomeres at the four-cell stage. Both dorsal blastomeres were injected with mRNA, and embryos were extracted for total RNA at stage 10.5. Lane 1, 1.5 ng GFPαNcat; lane 2, 3.0 ng GFPαNcat; lane 3, 3.0 ng GFPαNcatCterm; lane 4, uninjected embryos. Embryos injected with GFPαNcat mRNA (which develop into ventralized embryos) express lower levels of Siamois than normal embryos or embryos injected with GFPαNcatCterm (which develop normally). |
References [+] :
Aberle,
Single amino acid substitutions in proteins of the armadillo gene family abolish their binding to alpha-catenin.
1996, Pubmed
Aberle, Single amino acid substitutions in proteins of the armadillo gene family abolish their binding to alpha-catenin. 1996, Pubmed
Behrens, Functional interaction of beta-catenin with the transcription factor LEF-1. 1996, Pubmed , Xenbase
Bradley, Expression of Wnt-1 in PC12 cells results in modulation of plakoglobin and E-cadherin and increased cellular adhesion. 1993, Pubmed
Brannon, Activation of Siamois by the Wnt pathway. 1996, Pubmed , Xenbase
Brieher, Regulation of C-cadherin function during activin induced morphogenesis of Xenopus animal caps. 1994, Pubmed , Xenbase
Broders, Contribution of cadherins to directional cell migration and histogenesis in Xenopus embryos. 1995, Pubmed , Xenbase
Brunner, pangolin encodes a Lef-1 homologue that acts downstream of Armadillo to transduce the Wingless signal in Drosophila. 1997, Pubmed
Carnac, The homeobox gene Siamois is a target of the Wnt dorsalisation pathway and triggers organiser activity in the absence of mesoderm. 1996, Pubmed , Xenbase
Cornell, FGF is a prospective competence factor for early activin-type signals in Xenopus mesoderm induction. 1995, Pubmed , Xenbase
DeMarais, The armadillo homologs beta-catenin and plakoglobin are differentially expressed during early development of Xenopus laevis. 1992, Pubmed , Xenbase
Dominguez, Role of glycogen synthase kinase 3 beta as a negative regulator of dorsoventral axis formation in Xenopus embryos. 1995, Pubmed , Xenbase
Dufour, Differential perturbations in the morphogenesis of anterior structures induced by overexpression of truncated XB- and N-cadherins in Xenopus embryos. 1994, Pubmed , Xenbase
Fagotto, Binding to cadherins antagonizes the signaling activity of beta-catenin during axis formation in Xenopus. 1996, Pubmed , Xenbase
Fagotto, Induction of the primary dorsalizing center in Xenopus by the Wnt/GSK/beta-catenin signaling pathway, but not by Vg1, Activin or Noggin. 1997, Pubmed , Xenbase
Funayama, Embryonic axis induction by the armadillo repeat domain of beta-catenin: evidence for intracellular signaling. 1995, Pubmed , Xenbase
Gumbiner, Signal transduction of beta-catenin. 1995, Pubmed , Xenbase
Heasman, Overexpression of cadherins and underexpression of beta-catenin inhibit dorsal mesoderm induction in early Xenopus embryos. 1994, Pubmed , Xenbase
Herrenknecht, The uvomorulin-anchorage protein alpha catenin is a vinculin homologue. 1991, Pubmed , Xenbase
Hinck, Wnt-1 modulates cell-cell adhesion in mammalian cells by stabilizing beta-catenin binding to the cell adhesion protein cadherin. 1994, Pubmed
Hinck, Dynamics of cadherin/catenin complex formation: novel protein interactions and pathways of complex assembly. 1994, Pubmed
Hirano, Identification of a neural alpha-catenin as a key regulator of cadherin function and multicellular organization. 1992, Pubmed
Huber, Cadherins and catenins in development. 1996, Pubmed
Huber, Nuclear localization of beta-catenin by interaction with transcription factor LEF-1. 1996, Pubmed , Xenbase
Hülsken, E-cadherin and APC compete for the interaction with beta-catenin and the cytoskeleton. 1994, Pubmed
Jou, Genetic and biochemical dissection of protein linkages in the cadherin-catenin complex. 1995, Pubmed
Kao, The entire mesodermal mantle behaves as Spemann's organizer in dorsoanterior enhanced Xenopus laevis embryos. 1988, Pubmed , Xenbase
Karnovsky, Anterior axis duplication in Xenopus induced by the over-expression of the cadherin-binding protein plakoglobin. 1995, Pubmed , Xenbase
Kemler, From cadherins to catenins: cytoplasmic protein interactions and regulation of cell adhesion. 1993, Pubmed
Kintner, Regulation of embryonic cell adhesion by the cadherin cytoplasmic domain. 1992, Pubmed , Xenbase
Knudsen, Interaction of alpha-actinin with the cadherin/catenin cell-cell adhesion complex via alpha-catenin. 1995, Pubmed
Kofron, The roles of maternal alpha-catenin and plakoglobin in the early Xenopus embryo. 1997, Pubmed , Xenbase
Korinek, Constitutive transcriptional activation by a beta-catenin-Tcf complex in APC-/- colon carcinoma. 1997, Pubmed
Kypta, Association between a transmembrane protein tyrosine phosphatase and the cadherin-catenin complex. 1996, Pubmed
Lemaire, Expression cloning of Siamois, a Xenopus homeobox gene expressed in dorsal-vegetal cells of blastulae and able to induce a complete secondary axis. 1995, Pubmed , Xenbase
Levine, Selective disruption of E-cadherin function in early Xenopus embryos by a dominant negative mutant. 1994, Pubmed , Xenbase
Miller, Signal transduction through beta-catenin and specification of cell fate during embryogenesis. 1996, Pubmed
Molenaar, XTcf-3 transcription factor mediates beta-catenin-induced axis formation in Xenopus embryos. 1996, Pubmed , Xenbase
Morin, Activation of beta-catenin-Tcf signaling in colon cancer by mutations in beta-catenin or APC. 1997, Pubmed
Munemitsu, Regulation of intracellular beta-catenin levels by the adenomatous polyposis coli (APC) tumor-suppressor protein. 1995, Pubmed
Nagafuchi, The roles of catenins in the cadherin-mediated cell adhesion: functional analysis of E-cadherin-alpha catenin fusion molecules. 1994, Pubmed
Nagafuchi, The 102 kd cadherin-associated protein: similarity to vinculin and posttranscriptional regulation of expression. 1991, Pubmed
Papkoff, Regulation of complexed and free catenin pools by distinct mechanisms. Differential effects of Wnt-1 and v-Src. 1997, Pubmed
Papkoff, Wnt-1 regulates free pools of catenins and stabilizes APC-catenin complexes. 1996, Pubmed
Peifer, Beta-catenin as oncogene: the smoking gun. 1997, Pubmed
Riese, LEF-1, a nuclear factor coordinating signaling inputs from wingless and decapentaplegic. 1997, Pubmed
Rimm, Alpha 1(E)-catenin is an actin-binding and -bundling protein mediating the attachment of F-actin to the membrane adhesion complex. 1995, Pubmed
Rubinfeld, Stabilization of beta-catenin by genetic defects in melanoma cell lines. 1997, Pubmed
Rubinfeld, Association of the APC gene product with beta-catenin. 1993, Pubmed
Rubinfeld, Binding of GSK3beta to the APC-beta-catenin complex and regulation of complex assembly. 1996, Pubmed
Rupp, Xenopus embryos regulate the nuclear localization of XMyoD. 1994, Pubmed , Xenbase
Schneider, Catenins in Xenopus embryogenesis and their relation to the cadherin-mediated cell-cell adhesion system. 1993, Pubmed , Xenbase
Smith, Injected Xwnt-8 RNA acts early in Xenopus embryos to promote formation of a vegetal dorsalizing center. 1991, Pubmed , Xenbase
Sokol, Injected Wnt RNA induces a complete body axis in Xenopus embryos. 1991, Pubmed , Xenbase
Su, Association of the APC tumor suppressor protein with catenins. 1993, Pubmed
Tao, beta-Catenin associates with the actin-bundling protein fascin in a noncadherin complex. 1996, Pubmed , Xenbase
Torres, Activities of the Wnt-1 class of secreted signaling factors are antagonized by the Wnt-5A class and by a dominant negative cadherin in early Xenopus development. 1996, Pubmed , Xenbase
Torres, An alpha-E-catenin gene trap mutation defines its function in preimplantation development. 1997, Pubmed
van de Wetering, Armadillo coactivates transcription driven by the product of the Drosophila segment polarity gene dTCF. 1997, Pubmed
Vleminckx, Adenomatous polyposis coli tumor suppressor protein has signaling activity in Xenopus laevis embryos resulting in the induction of an ectopic dorsoanterior axis. 1997, Pubmed , Xenbase
Watabe, Induction of polarized cell-cell association and retardation of growth by activation of the E-cadherin-catenin adhesion system in a dispersed carcinoma line. 1994, Pubmed
Yost, The axis-inducing activity, stability, and subcellular distribution of beta-catenin is regulated in Xenopus embryos by glycogen synthase kinase 3. 1996, Pubmed , Xenbase
