Click here to close
Hello! We notice that you are using Internet Explorer, which is not supported by Xenbase and may cause the site to display incorrectly.
We suggest using a current version of Chrome,
FireFox, or Safari.
???displayArticle.abstract???
Cytoskeletal proteins such as actin and myosin are important constituents of the nucleoplasm. Spectrin is an actin binding protein typically related to plasma membrane; recently, it has been found that it is widespread and forms distinct membrane protein domains in such organelles as the Golgi. In this paper, the large germinal vesicle of amphibian oocytes was chosen as a particularly suitable system to investigate the presence and location of spectrin in the nucleus. We manually isolated the germinal vesicles of both Discoglossus pictus and Xenopus laevis oocytes, and processed them for SDS-PAGE, immunoblotting and immunoprecipitation. By the use of an antibody against the general form of brain beta spectrin (betaIIsigma1) and of an anti-alpha brain spectrin (alphaIIsigma*), a band of 230 kDa was identified as a nuclear spectrin-like molecule. Moreover the 230 kDa protein was extracted from the nuclei by 1 M KCl, similarly to spectrin in other systems. In oocyte sections and nuclear spreads incubated with anti-alphaIIsigma* and/or anti-betaIIsigma1 antibodies, the immunostain was localised in the nucleoplasm and in the outer shell of the round bodies abundantly present in the germinal vesicle. Sections of the same oocytes, stained with a monoclonal antibody against nucleolar fibrillarin and anti-alphaIIsigma*, showed co-localisation of the two antibodies. It was concluded that, in the germinal vesicle of amphibian oocytes, a spectrin-like molecule is a part of the outer shell of nucleoli. It is hypothesised that spectrin, together with actin, might be instrumental in keeping nucleoli attached to the inner nuclear membrane, as nucleoli migrate during oogenesis to the inner aspect of the nuclear envelope, where they are stably kept until the end of their growth. Furthermore, these results strongly suggest that the 230 kDa band might comprise both an alpha and a beta chain of the same apparent molecular mass, thus constituting a novel form of a spectrin-like molecule.
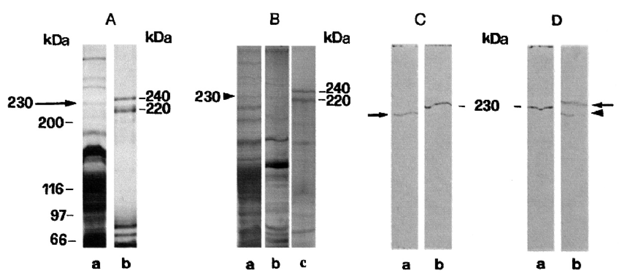
Fig. 1. Samples of oocyte
GVs and human erythrocyte
ghosts were analysed on 5%
SDS-PAGE and stained with
Coomassie Blue or
transferred to nitrocellulose
membrane. (A) Gels stained
with 1% Coomassie Blue.
Molecular mass standards are
indicated on the left. Lane a,
total GV preparation. The
arrow points to a faint
molecule of about 230 kDa.
Lane b, 240 and 220 kDa
bands are indicated,
corresponding to a and b
erythroid spectrin subunits in
human erythrocyte ghosts.
(B) GV extracted in 1 M KCl
containing buffer. Lane a, soluble extract. The 230 kDa band is indicated. Lane b, pellet; the band is undetectable. Lane c, erythrocyte ghosts.
(C) Western blot with anti-bIIS1 spectrin antibodies showing the immunoreactivity of the GV 230 kDa band and of the spectrin b chain (arrow
in a), as control. Lane a, erythrocyte ghosts. Lane b, GV. (D) Western blot with anti-aIIS* incubation. Lane a, the 230 kDa band is
immunoreactive. Lane b, in human erythrocyte ghosts the spectrin a chain is reactive, while the b spectrin subunit is only slightly positive
(arrowhead).
Fig. 2. GV immunoprecipitation with anti-bIIS1 antibody. Lane a,
immunoblots of the immunoprecipitate transferred onto NC and
exposed to anti-bIIS1 antibody. The 230 kDa protein is indicated by
the arrow. Lane b, human ghost erythrocyte incubated with the same
antibody; b spectrin is immunoreactive.
Fig. 3. (A-C) Immunofluorescence of
frozen sections of D. pictus oocytes at an
early stage of vitellogenesis (about 320 mm
in diameter). (A,B) Anti-bIIS1 antibody
incubation. (A) The immunostain is present
in the cortex and in the surrounding ovarian
tissue (arrow). Furthermore, the
fluorescence is located in the GV content,
particularly surrounding dark spherical
organelles. The nuclear envelope is
immunoreactive (double small arrows).
´310. (B) The GV matrix is fluorescent.
Round bodies are surrounded by a rim of
immunostain (arrows), or fully stained,
when tangentially sectioned (double
arrows) ´500. (C) Control section
incubated with rabbit IgG. Immunostain is
absent. ´500. (D) GV Ipreparation spread
on a microslide and incubated with anti-
bIIS1 antibody. Immunostain is present on
the numerous round bodies. ´500.
(E) Fluorescence is located around these
bodies. ´500. (F) Control GV preparation.
Immunostain is absent. ´500. Bars: 50 mm
(A,B); 20 mm (C-F).
Fig. 4. Frozen sections of D.
pictus oocytes at early stages of
oogenesis. (A) Section of an
oocyte of about 300 mm
incubated with anti-aIIS*. The
arrows indicate the rim of
immunostain surrounding the
round bodies. ´310; (B)
Incubation with anti-fibrillarin.
Immunostain surrounds spherical
bodies thus identified as nucleoli
(arrows). ´310. (C) Control
section exposed to anti-aIIS*
preabsorbed with erythroid a
and b spectrin; the immunostain
is absent. (D) Light microscopy
of the same section as in B. The
round bodies are indicated
(arrows). The section is lightly
stained by p-phenylenediamine
present in the glycerol-PBS
mixture. ´310. (E,F) Serial
sections of the same GV from a
500 mm oocyte. (E) Incubated
with anti-aIIS* antibody; (F)
incubated with anti-fibrillarin.
Corresponding labels (arrow,
double small arrows, star, small
arrow) indicate the same nucleoli
immunostained by both
antibodies. ´500. Bars: 50 mm
(A-C); 20 mm (E,F).
Fig. 5. Xenopus laevis GV preparation (lane b) and human
erythrocyte ghost (lane a) after western blot with anti-bIIS1
antibody. Lane a, immunoreactivity at the 220 kDa b spectrin. Lane
b, the GV preparation shows immunoreactivity of the 230 kDa band.
Lane c, SDS-PAGE of the GV preparation stained with silver stain.
The 230 kDa band is indicated.
Fig. 6. Frozen oocyte sections of X. laevis. (A) A
350 mm oocyte section incubated with anti-bIIS1
spectrin. Immunostain is in the ovarian tissue in
the GV content and surrounds nucleoli (arrows).
´310. (B) Control section incubated with a
fraction of rabbit IgG, showing a slight
background of positivity. ´310. (C) A 450 mm
oocyte section incubated with anti-
aIIS*spectrin. In the GV, several nucleoli, as
recognised by the corresponding staining with
anti-fibrillarin (D), are immunostained.
(D) Corresponding labels of C,D (arrows, stars,
small arrow) indicate that the same nucleoli are
immunostained by this antibody and anti-bIIS1.
(C,D) ´500. Bars: 50 mm (A,B); 20 mm (C,D).