Click here to close
Hello! We notice that you are using Internet Explorer, which is not supported by Xenbase and may cause the site to display incorrectly.
We suggest using a current version of Chrome,
FireFox, or Safari.
???displayArticle.abstract???
To determine whether the remodeling of the well-organized intestinal epithelium during amphibian metamorphosis is regionally regulated along the anteroposterior axis of the intestine, we raised a polyclonal antibody against the Xenopus laevis intestinal fatty acid-binding protein (IFABP), which is known to be specifically expressed in intestinal absorptive cells, and examined immunohistochemically the differentiation, proliferation, and apoptosis of the epithelial cells throughout X. laevis small intestine. During pre- and prometamorphosis, IFABP-immunoreactive (ir) epithelial cells were localized only in the anterior half of the larval intestine. At the beginning of metamorphic climax, apoptotic cells detected by nick end-labeling (TUNEL) suddenly increased in number in the entire larval epithelium, concurrently with the appearance of adult epithelial primordia. Subsequently, the adult primordia in the anterior part of the intestine developed more rapidly by active cell proliferation than those in the posterior part, and replaced the larval epithelial cells earlier than those in the posterior part. IFABP-ir cells in the adult epithelium were first detectable at the tips of newly formed folds in the proximal part of the intestine. Thereafter, IFABP expression gradually progressed both in the anteroposterior direction and in the crest-trough direction of the folds. These results suggest that developmental processes of the adult epithelium in the X. laevis intestine are regionally regulated along the anteroposterior axis of the intestine, which is maintained throughout metamorphosis, and along the trough-crest axis of the epithelial folds, which is newly established during metamorphosis. Furthermore, the regional differences in IFABP expression along the anteroposterior axis of the intestine were reproduced in organ cultures in vitro. In addition, IFABP expression was first down-regulated and then reactivated in vitro when the anterior part, but not the posterior part, of the larval intestine was treated with thyroid hormone (TH) for extended periods. Therefore, it seems that, in addition to TH, an endogenous factor(s) localized in the intestine itself with an anteroposterior gradient participates in the development of the adult epithelium during amphibian metamorphosis.
FIG. 1. Northern blot showing that IFABP gene is first activated around stages 33/34, immediately prior to hatching at stages 35/36, during embryonic stages. The mRNA is then maintained at high levels throughout tadpole development and subsequently downregulated during metamorphic climax (stages 60â62). The mRNA levels are again upregulated toward the end of metamorpho-sis (from stages 64â66). Equal loading was confirmed by staining the membrane for total RNA (not shown). Developmental stages 9, 10/11, 16/17, and 23/24 correspond to midblastula transition, gastrula, neurula and early tailbud stages, respectively. The posi-tions of 18 and 28S RNA are indicated.
FIG. 2. Western blot analysis shows that IFABP protein levels are also downregulated during metamorphic climax. (A) The anti-IFABP antibody recognizes specifically X. laevis IFABP overexpressed in E. coli. Equally amounts of the uninduced (0) and IPTG induced (/) protein extracts from E. coli transformed with the IFABP overexpression vector were loaded onto an SDSâprotein gel and analyzed by Western blotting. (B) Regulation of IFABP protein levels in the intestine during development. Twenty micrograms of total proteins from the intestine of tadpoles at different stages and adult frogs was analyzed using the IFABP antibody by Western blotting. Membrane staining with ponceau S indicated that similar amounts of the proteins were present in each lane (not shown). The IFABP proteins (arrows) are of the expected sizes with the fusion protein (A) slightly larger than the native protein (B).
FIG. 3. Immunohistochemical detection of IFABP in X. laevis small intestine during metamorphosis. (A) Longitudinal section, at stage
51, between the proximal part of the intestine including the typhlosole (Ty), which runs longitudinally on the side of pancreas (Pa), and
the gastric region (Ga). Only the larval intestinal epithelium (LE) facing the lumen (L) is strongly positive. Before metamorphic climax
(at stage 57) the staining of the epithelium is intense in the proximal part of the intestine (B), very weak (arrows) in the middle part (C),
and not detectable in the distal part (D). At stage 60, in the proximal part of the intestine (E), the larval epithelial cells remain positive,
but the adult epithelial primordia (arrowheads) in the epithelial basal region facing the connective tissue (CT) are negative. Then, in the
proximal part at stage 61 (F), only a small number of the larval epithelial cells localized at the tip of the typhlosole remain positive, but
the adult epithelium (AE) is negative. (G) Longitudinal section between the proximal (P) and distal (D) parts of the intestine at stage 63.
Positive cells are detectable only in the adult epithelium of the proximal part (arrows). In the proximal part at this stage (H), the staining
is the strongest at the tips of developing intestinal folds (arrows). Bars, 20 mm.
FIG. 4. Apoptosis detected by TUNEL in the small intestine during metamorphosis. At stage 60, in both the proximal (A) and distal
parts (B) of the small intestine, labeled nuclei and nuclear fragments with various sizes (arrows) are numerous in the larval epithelium
(LE) facing the lumen (L). At stage 62, in the proximal part of the intestine (C), almost all of the epithelial cells are adult-type (AE), and
the labeling becomes very rare. On the other hand, in the distal part at this stage (D), the labeling is detected in the larval epithelial cells
(arrows) which are localized in the upper region of developing folds (Fo). Bars, 20 mm.
FIG. 5. Development of the adult intestinal epithelium during metamorphosis, stained with methyl green–pyronin Y. In both the
proximal (A) and distal parts (B) of the small intestine at stage 60, small primordia of adult epithelium (arrows) appear as round islets
between the larval epithelium (LE) facing the lumen (L) and the connective tissue (CT). Then, at stage 61, the adult epithelium (AE) in
the proximal part of the intestine (C) grows more rapidly and is larger than that (arrows) in the distal part (D). At stage 63 the adult
epithelium completely replaces the larval epithelium and becomes simple columnar in the proximal part of the intestine (E), whereas the
larval epithelium remains in the crests of developing folds (Fo) in the distal part (F). Bars, 20 mm.
FIG. 7. Distribution pattern of IFABP in X. laevis small intestine just after the completion of metamorphosis (stage 66). (A) The proximal
part of the intestine. Only the epithelial absorptive cells (AE) facing the lumen (L) are strongly positive except for the troughs (Tr) of
newly formed intestinal folds (Fo). The other types of cells such as goblet cells (Go) and connective tissue cells (CT) are negative. The
staining of the epithelial absorptive cells is much weaker in the middle part (B), and not detectable in the distal part (C). Bars, 20 mm.
FIG. 8. Correlation between the epithelial replacement and expression of IFABP in X. laevis small intestine during spontaneous metamorphosis.
Around stage 60, the adult epithelial primordia appear as small islets throughout the intestine. During stages 61–63, the epithelial
replacement progresses in the anterior-to-posterior direction and in the crest-to-trough direction of developing intestinal folds. In the
larval epithelium, IFABP is distributed with an anteroposterior gradient. On the other hand, IFABP in the adult epithelial cells becomes
detectable at stage 63 in the crests of the developing folds in the proximal part of the intestine. Then, IFABP expression propagates toward
the middle part of the intestine and toward the lower region of the folds.
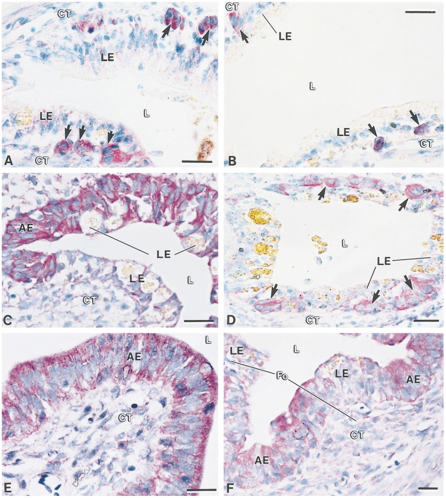
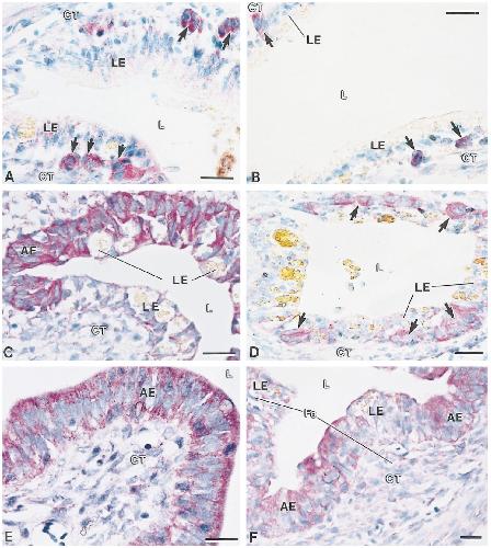
FIG. 9. In vitro detection of IFABP in intestinal explants organotypically cultured in the absence (AâD) and the presence of TH (EâG).
On the fifth day of cultivation, both the larval (LE) and adult epithelia (AE) isolated from the proximal part of the larval intestine at stage
57 (A) and the adult intestine at stage 66 (B), respectively, remain positive. In contrast, both the larval and adult epithelia isolated from
the distal part of the intestines at stage 57 (C) and at stage 66 (D), respectively, remain negative. In the TH-treated explant isolated from
the proximal part of the larval intestine at stage 57 (E), the epithelial cell replacement is taking place on the fifth day; the larval cells are
positive, but the adult epithelial cells are negative. Thereafter, on the seventh day (F), the adult epithelial cells completely replace the
larval cells and begin to express IFABP. In contrast, in the TH-treated explant isolated from the distal part of the intestine at stage 57
(G), no positive cells are detected in the epithelium (E) throughout 7 days of cultivation. CT, connective tissue. Bars, 20 mm.