XB-ART-1558
Nucleic Acids Res
2005 Aug 01;3313:4357-67. doi: 10.1093/nar/gki746.
Show Gene links
Show Anatomy links
An Oct-1 binding site mediates activation of the gata2 promoter by BMP signaling.
Oren T, Torregroza I, Evans T.
???displayArticle.abstract???
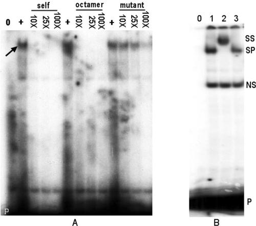
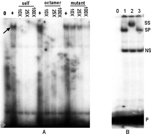
The gata2 gene encodes a transcription factor implicated in regulating early patterning of ectoderm and mesoderm, and later in numerous cell-specific gene expression programs. Activation of the gata2 gene during embryogenesis is dependent on the bone morphogenetic protein (BMP) signaling pathway, but the mechanism for how signaling controls gene activity has not been defined. We developed an assay in Xenopus embryos to analyze regulatory sequences of the zebrafish gata2 promoter that are necessary to mediate the response to BMP signaling during embryogenesis. We show that activation is Smad dependent, since it is blocked by expression of the inhibitory Smad6. Deletion analysis identified an octamer binding site that is necessary for BMP-mediated induction, and that interacts with the POU homeodomain protein Oct-1. However, this element is not sufficient to transfer a BMP response to a heterologous promoter, requiring an additional more proximal cooperating element. Based on recent studies with other BMP-dependent promoters (Drosophila vestigial and Xenopus Xvent-2), our studies of the gata2 gene suggest that POU-domain proteins comprise a common component of the BMP signaling pathway, cooperating with Smad proteins and other transcriptional activators.
???displayArticle.pubmedLink??? 16061939
???displayArticle.pmcLink??? PMC1182169
???displayArticle.link??? Nucleic Acids Res
???displayArticle.grants??? [+]
Species referenced: Xenopus
Genes referenced: babam2 bmp4 gata2 gnl3 pou2f1 smad1 smad6 smad9 ventx2.2
???attribute.lit??? ???displayArticles.show???
References [+] :
Bertwistle,
GATA factors and the origins of adult and embryonic blood in Xenopus: responses to retinoic acid.
1996, Pubmed,
Xenbase
Bertwistle, GATA factors and the origins of adult and embryonic blood in Xenopus: responses to retinoic acid. 1996, Pubmed , Xenbase
Brewer, Nuclear translocation of a maternal CCAAT factor at the start of gastrulation activates Xenopus GATA-2 transcription. 1995, Pubmed , Xenbase
Cao, The POU factor Oct-25 regulates the Xvent-2B gene and counteracts terminal differentiation in Xenopus embryos. 2004, Pubmed , Xenbase
Certel, Restricted patterning of vestigial expression in Drosophila wing imaginal discs requires synergistic activation by both Mad and the drifter POU domain transcription factor. 2000, Pubmed
Chen, Smad4 and FAST-1 in the assembly of activin-responsive factor. 1997, Pubmed , Xenbase
Chen, A transcriptional partner for MAD proteins in TGF-beta signalling. 1996, Pubmed , Xenbase
Dale, Bone morphogenetic protein 4: a ventralizing factor in early Xenopus development. 1992, Pubmed , Xenbase
Detrich, Intraembryonic hematopoietic cell migration during vertebrate development. 1995, Pubmed
Dosch, Bmp-4 acts as a morphogen in dorsoventral mesoderm patterning in Xenopus. 1997, Pubmed , Xenbase
Evans, An erythrocyte-specific DNA-binding factor recognizes a regulatory sequence common to all chicken globin genes. 1988, Pubmed
Fleenor, Comparison of human and Xenopus GATA-2 promoters. 1996, Pubmed , Xenbase
Fortuno, The amino terminus of Smads permits transcriptional specificity. 2001, Pubmed , Xenbase
Friedle, Cooperative interaction of Xvent-2 and GATA-2 in the activation of the ventral homeobox gene Xvent-1B. 2002, Pubmed , Xenbase
Groves, Differential regulation of transcription factor gene expression and phenotypic markers in developing sympathetic neurons. 1995, Pubmed
Hata, OAZ uses distinct DNA- and protein-binding zinc fingers in separate BMP-Smad and Olf signaling pathways. 2000, Pubmed , Xenbase
Hata, Smad6 inhibits BMP/Smad1 signaling by specifically competing with the Smad4 tumor suppressor. 1998, Pubmed , Xenbase
Henningfeld, Autoregulation of Xvent-2B; direct interaction and functional cooperation of Xvent-2 and Smad1. 2002, Pubmed , Xenbase
Henningfeld, Smad1 and Smad4 are components of the bone morphogenetic protein-4 (BMP-4)-induced transcription complex of the Xvent-2B promoter. 2000, Pubmed , Xenbase
Herr, The POU domain: versatility in transcriptional regulation by a flexible two-in-one DNA-binding domain. 1995, Pubmed
Heyworth, A GATA-2/estrogen receptor chimera functions as a ligand-dependent negative regulator of self-renewal. 1999, Pubmed
Imai, The homeobox genes vox and vent are redundant repressors of dorsal fates in zebrafish. 2001, Pubmed , Xenbase
Imamura, Smad6 inhibits signalling by the TGF-beta superfamily. 1997, Pubmed
Ishida, Smad6 is a Smad1/5-induced smad inhibitor. Characterization of bone morphogenetic protein-responsive element in the mouse Smad6 promoter. 2000, Pubmed
Karaulanov, Transcriptional regulation of BMP4 synexpression in transgenic Xenopus. 2004, Pubmed , Xenbase
Kelley, Ventral expression of GATA-1 and GATA-2 in the Xenopus embryo defines induction of hematopoietic mesoderm. 1994, Pubmed , Xenbase
Kim, Drosophila Mad binds to DNA and directly mediates activation of vestigial by Decapentaplegic. 1997, Pubmed
Korchynskyi, Identification and functional characterization of distinct critically important bone morphogenetic protein-specific response elements in the Id1 promoter. 2002, Pubmed
Kusanagi, Characterization of a bone morphogenetic protein-responsive Smad-binding element. 2000, Pubmed
Lawson, GATA factors are essential for activity of the neuron-specific enhancer of the gonadotropin-releasing hormone gene. 1996, Pubmed
López-Rovira, Direct binding of Smad1 and Smad4 to two distinct motifs mediates bone morphogenetic protein-specific transcriptional activation of Id1 gene. 2002, Pubmed
Maeno, The role of BMP-4 and GATA-2 in the induction and differentiation of hematopoietic mesoderm in Xenopus laevis. 1996, Pubmed , Xenbase
Massagué, TGF-beta signal transduction. 1998, Pubmed
Massagué, How cells read TGF-beta signals. 2000, Pubmed
Meng, Promoter analysis in living zebrafish embryos identifies a cis-acting motif required for neuronal expression of GATA-2. 1997, Pubmed
Minegishi, Alternative promoters regulate transcription of the mouse GATA-2 gene. 1998, Pubmed , Xenbase
Miyanaga, A maternal Smad protein regulates early embryonic apoptosis in Xenopus laevis. 2002, Pubmed , Xenbase
Nagai, Transcription factor GATA-2 is expressed in erythroid, early myeloid, and CD34+ human leukemia-derived cell lines. 1994, Pubmed
Nakayama, Smad6 functions as an intracellular antagonist of some TGF-beta family members during Xenopus embryogenesis. 1998, Pubmed , Xenbase
Nohe, The mode of bone morphogenetic protein (BMP) receptor oligomerization determines different BMP-2 signaling pathways. 2002, Pubmed
Nony, Alternate promoters and developmental modulation of expression of the chicken GATA-2 gene in hematopoietic progenitor cells. 1998, Pubmed , Xenbase
Oh, Activin receptor-like kinase 1 modulates transforming growth factor-beta 1 signaling in the regulation of angiogenesis. 2000, Pubmed
Park, Bone morphogenetic protein-2 (BMP-2) transactivates Dlx3 through Smad1 and Smad4: alternative mode for Dlx3 induction in mouse keratinocytes. 2002, Pubmed
Persons, Enforced expression of the GATA-2 transcription factor blocks normal hematopoiesis. 1999, Pubmed
Phillips, The virtuoso of versatility: POU proteins that flex to fit. 2000, Pubmed
Rastegar, Transcriptional regulation of Xvent homeobox genes. 1999, Pubmed , Xenbase
Rosenfeld, Multistep signaling and transcriptional requirements for pituitary organogenesis in vivo. 2000, Pubmed
Schuler-Metz, The homeodomain transcription factor Xvent-2 mediates autocatalytic regulation of BMP-4 expression in Xenopus embryos. 2000, Pubmed , Xenbase
Shi, Mechanisms of TGF-beta signaling from cell membrane to the nucleus. 2003, Pubmed
Shi, Crystal structure of a Smad MH1 domain bound to DNA: insights on DNA binding in TGF-beta signaling. 1998, Pubmed
Shimizu, A quantitative analysis of signal transduction from activin receptor to nucleus and its relevance to morphogen gradient interpretation. 1999, Pubmed , Xenbase
Strausberg, Generation and initial analysis of more than 15,000 full-length human and mouse cDNA sequences. 2002, Pubmed
Sturm, The ubiquitous octamer-binding protein Oct-1 contains a POU domain with a homeo box subdomain. 1988, Pubmed
Sykes, Suppression of GATA factor activity causes axis duplication in Xenopus. 1998, Pubmed , Xenbase
Tiso, BMP signalling regulates anteroposterior endoderm patterning in zebrafish. 2002, Pubmed
Trindade, DNA-binding specificity and embryological function of Xom (Xvent-2). 1999, Pubmed , Xenbase
Tsai, An early haematopoietic defect in mice lacking the transcription factor GATA-2. 1994, Pubmed
Veenstra, Dynamic and differential Oct-1 expression during early Xenopus embryogenesis: persistence of Oct-1 protein following down-regulation of the RNA. 1995, Pubmed , Xenbase
Verrijzer, The oct-1 homeo domain contacts only part of the octamer sequence and full oct-1 DNA-binding activity requires the POU-specific domain. 1990, Pubmed
Verrijzer, POU proteins bend DNA via the POU-specific domain. 1991, Pubmed
Verrijzer, The DNA binding specificity of the bipartite POU domain and its subdomains. 1992, Pubmed
Walmsley, Negative control of Xenopus GATA-2 by activin and noggin with eventual expression in precursors of the ventral blood islands. 1994, Pubmed , Xenbase
Wilson, Concentration-dependent patterning of the Xenopus ectoderm by BMP4 and its signal transducer Smad1. 1997, Pubmed , Xenbase
Winnier, Bone morphogenetic protein-4 is required for mesoderm formation and patterning in the mouse. 1995, Pubmed
Wrana, The Smad pathway. 2000, Pubmed
Yue, Cloning and expression of a rat Smad1: regulation by TGFbeta and modulation by the Ras/MEK pathway. 1999, Pubmed
Zhang, Regulation of Hex gene expression by a Smads-dependent signaling pathway. 2002, Pubmed
Zhang, BMP-like signals are required after the midblastula transition for blood cell development. 1996, Pubmed , Xenbase
