Click here to close
Hello! We notice that you are using Internet Explorer, which is not supported by Xenbase and may cause the site to display incorrectly.
We suggest using a current version of Chrome,
FireFox, or Safari.
???displayArticle.abstract???
Previous gain-of-function assays in Xenopus have demonstrated that Xwnt-3a can pattern neural tissue by reducing the expression of anterior neural genes, and elevating the expression of posterior neural genes. To date, no loss-of-function studies have been conducted in Xenopus to show a requirement of endogenous Wnt signaling for patterning of the neural ectoderm along the anteroposterior axis. We report that expression of a dominant negative Wnt in Xenopus embryos causes a reduction in the expression of posterior neural genes, and an elevation in the expression of anterior neural genes, thereby confirming the involvement of endogenous Wnt signaling in patterning the neural axis. We further demonstrate that the ability of Xwnt-3a to decrease expression of anterior neural genes in noggin-treated explants is dependent upon a functional FGF signaling pathway, while the elevation of expression of posterior neural genes does not require FGF signaling. The previously reported ability of FGF to elevate the expression of posterior neural genes in noggin-treated explants was found to be dependent on endogenous Wnt signaling. We conclude that neural induction occurs initially in a Wnt-independent manner, but that generation of complete anteroposterior neural pattern requires the cooperative actions of Wnt and FGF pathways.
Fig. 1. Effects of dnXwnt-8 on anteroposterior neural pattern in whole embryos. (A,B) Whole-mount in situ hybridization of the anterior pituitary marker,
Xanf-2; (C,D) the forebrain marker, Otx-A; (E,F) and a combination of the markers for the midbrain/hindbrain border, En-2 and the marker for rhombomeres
3 and 5 of the hindbrain, Krox-20. Control embryos (A,C,E) at stage 14 show endogenous levels of the axial markers when compared to embryos previously
injected with dnXwnt-8 RNA (B,D,F). Arrowheads designate specific in situ staining.
Fig. 2. RT-PCR analysis of the effects of dnXwnt-8 RNA on anteroposterior neural pattern. (A) Whole embryos injected with control or dnXwnt-8 RNA and
analyzed when sibling control embryos reached stage 16/17. (B) Keller explants dissected from dnXwnt-8 injected embryos, analyzed at stage 20/23. Both
samples were processed using the following set of regionally restricted neural markers, depicted with anterior to the top and posterior to the bottom: Xag-1,
cement gland; Xanf-2, anterior pituitary gland; Otx-A, forebrain; En-2, midbrain/hindbrain border; Krox-20, rhombomeres 3 and 5; HoxB9 (previously known
as Xlhbox-6), posterior spinal cord; muscle actin, axial mesoderm; Ef-1a, RNA loading control. Control lane (lane 1) contains cDNA from whole embryos or
Keller explants injected with control RNAs, dnXwnt-8 lane (lane 2) are from embryos injected with dnXwnt-8 RNA, while minus RT lane (lane 3) are control
PCR reactions without reverse transcriptase.
Fig. 3. Localization of Xwnt-3a transcripts during early neural development
using whole-mount in situ hybridization. (A) Vegetal view of an
early gastrula embryo (stage 10.5). Xwnt-3a transcripts are localized to
the involuting dorsal marginal zone, above the blastopore lip (arrowhead
bp). (B) Posterior view of an early neurula embryo (stage 13), dorsal is up.
Xwnt-3a expression occurs along the lateral margins of the future neural
plate and in a diffuse ring surrounding the closing blastopore (arrowhead
bp). (C) Mid-neurula embryo (stage 14/15) elevation of the neural folds is
apparent (arrowhead nf), dorsal is up. Xwnt-3a expression is maintained
along the length of the neural fold and increases in the dorsal and lateral
margins of the blastopore (arrowhead bp). (D). Posterior view of a late
neurula embryo (stage 19/20) after neural tube closure. Xwnt-3a expression
along the dorsal ridge of the neural fold persists (arrowhead, nf), as
well as expression surrounding the blastopore (arrowhead, bp). (E) Sagital
view of a stage 16/17 neurula embryo, anterior is to the left. Strong
expression is seen in the neural ectoderm (ne) and throughout the dorsal
mesoderm (dm). Xwnt-3a transcripts are also present in the dorsal part of
the circumblastoporal collar (cb). arch, archenteron.
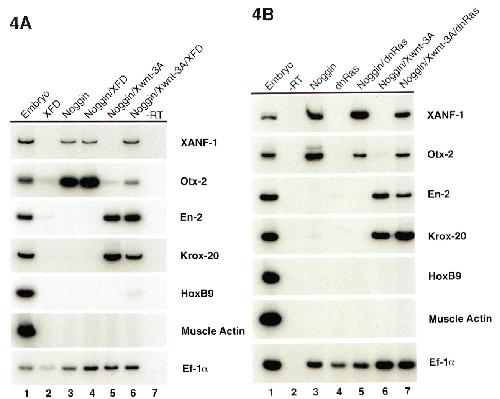
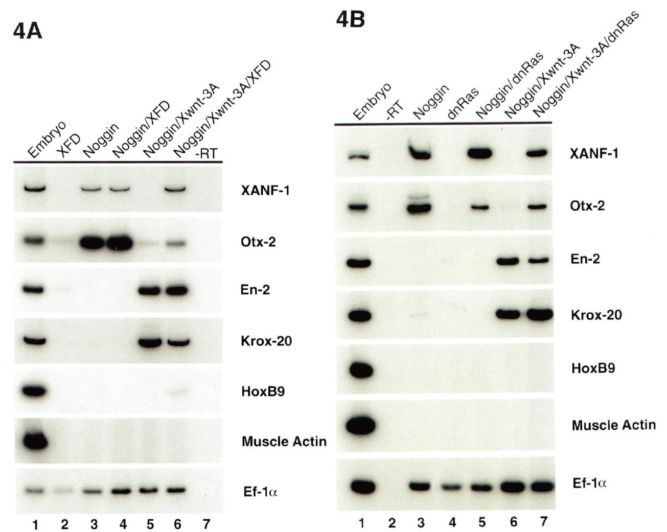
Fig. 4. Effects of inhibition of FGF signaling on the pattern of neural genes induced in explants by noggin and Xwnt-3a. RNAs were injected into the two
dorsal blastomeres at the 4-cell stage, blastula caps were isolated and cultured until sibling embryos reached stage 20, then total RNA was isolated and
processed for RT-PCR using the same set of regional neural markers as in Fig. 2A. (A) Inhibition of FGF signaling with the dominant negative FGF receptor,
XFD. Lane 1, Whole embryo RNA serves as a positive control for each of the RT-PCR primers; while omission of reverse transcriptase (lane 7) serves as a
negative control. Lane 2, XFD very weakly induces Otx-2. Lane 3, noggin induces the two most anterior genes, Xanf-1 and Otx-2. Lane 4, XFD does not
change the induction of neural genes by noggin. Lane 5, noggin and Xwnt-3a RNAs induce the expression of En-2 and Krox-20 and reduces the expression of
more anterior genes. Lane 6, XFD perturbs the neural patterning activity of Xwnt-3a by preventing inhibition of expression of the anterior genes, without
affecting induction of the more posterior genes, En-2 and Krox-20. (B) Inhibition of FGF signaling by dominant negative Ras, dnRas. Lane 3, In separate
experiments noggin induces the two anterior genes. Lane 4, dnRas does not induce expression of the neural genes. Lane 5, dnRas does not significantly alter
neural gene induction by noggin. Lane 6, Xwnt-3a and noggin suppresses the anterior genes, and induces the more posterior neural genes En-2 and Krox-20.
Lane 6, Addition of dnRas to noggin and Xwnt-3a antagonizes the ability of Xwnt-3a to suppress the anterior neural genes, without affecting induction of En-2
or Krox-20.
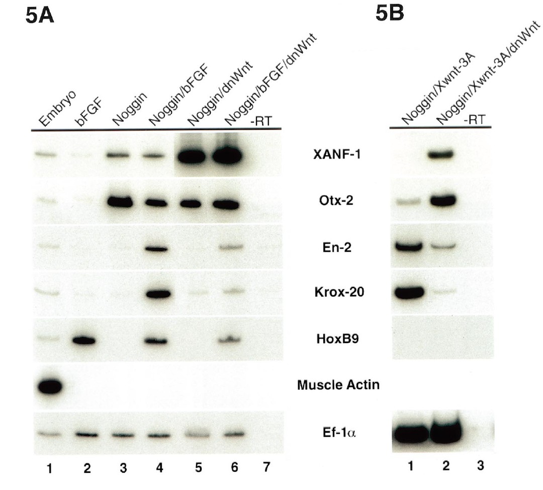
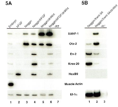
Fig. 5. Effects of dnXwnt-8 on the neural pattern induced by noggin and bFGF. (A) Ectoderm from early gastrula embryos was treated with bFGF, cultured to
stage 20 and harvested for RT-PCR analysis. Lane 1, Whole embryo control. Lane 2, Explants taken from uninjected embryos induce the spinal cord marker,
HoxB9 in response to bFGF treatment. Lane 3, Explants taken from embryos injected with noggin RNA induce anterior neural markers. Lane 4, The
combination of noggin and bFGF induces the expression of the complete anteroposterior range of neural markers. Lane 5, Injection of both dnXwnt-8 and
noggin RNA increases the level of expression of Xanf-1 compared to noggin alone, lane 3. Lane 6, The combination of noggin and dnXwnt-8 RNAs followed
by treatment with bFGF results in a decrease of the posterior markers En-2, Krox-20 and HoxB9 and an increase in the anterior marker Xanf-1 compared to
noggin and bFGF, lane 4. Lane 7, Minus reverse transcriptase control. (B) Effects of dnXwnt-8 RNA on the neural pattern induced by noggin and Xwnt-3a.
Lane 1, In a separate set of experiments, animal cap ectoderm from stage 8 embryos injected with noggin and Xwnt-3a. Lane 2, Animal cap ectoderm from
embryos injected with noggin, Xwnt-3a and dnXwnt-8 RNA. Animal caps were excised, cultured to stage 20 and harvested for RT-PCR analysis as in (A),
with lane 3 showing the minus reverse transcriptase control.