Click here to close
Hello! We notice that you are using Internet Explorer, which is not supported by Xenbase and may cause the site to display incorrectly.
We suggest using a current version of Chrome,
FireFox, or Safari.
???displayArticle.abstract???
We have identified a localized RNA component of Xenopus germ plasm. This RNA, Xdazl (Xenopus DAZ-like), encodes a protein homologous to human DAZ (Deleted in Azoospermia), vertebrate DAZL and Drosophila Boule proteins. Human males deficient in DAZ have few or no sperm and boule mutant flies exhibit complete azoospermia and male sterility. Xdazl RNA was detected in the mitochondrial cloud and vegetal cortex of oocytes. In early embryos, the RNA was localized exclusively in the germ plasm. Consistent with other organisms, Xdazl RNA was also expressed in the spermatogonia and spermatocytes of frog testis. Proteins in the DAZ-family contain a conserved RNP domain implying an RNA-binding function. We have shown that Xdazl can function in vitro as an RNA-binding protein. To determine if the function of Xdazl in spermatogenesis was conserved, we introduced the Xdazl cDNA into boule flies. This resulted in rescue of the boule meiotic entry phenotype, including formation of spindles, phosphorylation of histone H3 and completion of meiotic cell division. Overall, these results suggest that Xdazl may be important for primordial germ cell specification in the early embryo and may play a role analogous to Boule in promoting meiotic cell division.
Fig. 1. Analysis of the predicted Xdazl amino acid sequence. (A) Amino acid
sequence of Xdazl derived from the full-length cDNA. (B) Diagram showing domains
and features of the Xdazl protein. N and C indicate the amino and carboxyl termini
respectively, numbers show positions of amino acids beginning with the first in frame
methionine. The gray box delineates the RNP domain, while the black stripes show the
positions of the RNP-2 hexamer and RNP-1 octamer amino acid motifs respectively.
The striped region represents the position of the putative DAZ repeat. Expanded above
is the Xdazl sequence in that region compared to a consensus DAZ repeat. Periods
indicate gaps in the sequence alignment. The table below the diagram shows the
homology of Xdazl to other DAZ-family proteins in percent amino acid identity and
similarity. (C) Sequence alignment of the Xdazl RNP domain. Identical residues are
shaded black; similar residues are shaded gray. Periods indicate gaps in the alignment.
The RNP-1 and RNP-2 motifs are indicated below and above the alignment,
respectively. The GenBank accession number for the sequence reported in this paper is
AF017778.
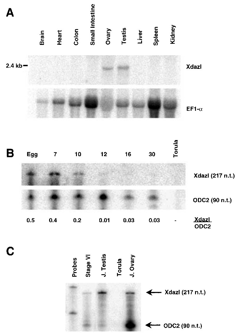
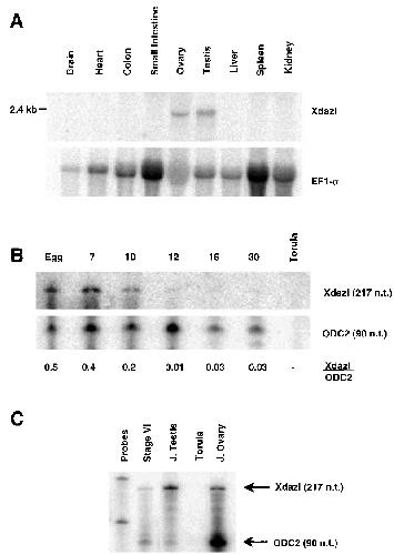
Fig. 2. Molecular analysis of Xdazl mRNA expression. (A) Northern
blot of Xdazl RNA expression in adult tissues. Xdazl is shown in the
top panel, below is the same membrane stripped and reprobed with
EF1-a as a loading control. In the top panel, the size of the Xdazl
band is shown at the left. The tissues tested are labeled above each
lane. (B) RNase protection assay of Xdazl expression during
embryogenesis. RNA from four embryo equivalents of the indicated
stages was extracted and analyzed. Stages tested are indicated at the
top of each lane. Torula (yeast) total RNA was included as a negative
control. A probe for ODC2 was included as a loading control. The
ratio of Xdazl:ODC2 relative band intensities as determined by
Phosphorimager quantitation is shown below each lane. (C) RNase
protection assay of Xdazl mRNA expression in juvenile testis (J.
Testis) and ovary (J. Ovary). Positions of the Xdazl and ODC2
protected fragments are indicated by arrows. Included here are
examples of undigested probes (Probes) and two equivalents of
positive control stage VI oocytes. Arrows indicate the positions of
the protected fragments.
Fig. 3. Localization of Xdazl
mRNA during oogenesis.
Xdazl DIG-labeled antisense
RNA probes were hybridized
to previously sectioned
material of postmetamorphic
froglets (A), juvenile ovary
(B), adult ovary (D,E), or
defolliculated stage VI
oocytes (F).
(A) Postmetamorphic froglet
ovary. Arrows indicate
oocytes stained for Xdazl
mRNA, arrowheads show
adjacent oocytes lacking in
Xdazl signal. (B) Stage I
oocyte from a juvenile ovary.
Arrow shows Xdazl
localization in the
mitochondrial cloud. (C) Stage I oocytes from the same tissue sample as (B) hybridized with mtLrRNA to show presence of mitochondrial
clouds. (D) Stage I oocyte from adult probed for Xdazl. (E) Xdazl probed stage II oocyte from adult showing Xdazl localization in the
fragmenting mitochondrial cloud (arrow) (F) Xdazl probed adult stage VI oocyte. Arrows show islands of Xdazl staining at the vegetal pole (vg)
of the oocyte. Scale bars, 200 mm (A-E), 62.5 mm (F). mc, mitochondrial cloud; n, nucleus.
Fig. 4. Expression of Xdazl mRNA
during early embryogenesis analyzed
by whole-mount in situ hybridization.
(A) Vegetal view of albino embryos at
the 2-cell stage hybridized with Xdazl
probe, showing staining in discrete
patches. (B) Vegetal view of 4-cell
embryos. (C) Vegetal view of stage 6
albino embryos. Xdazl is localized in a
few cells at the extreme vegetal pole.
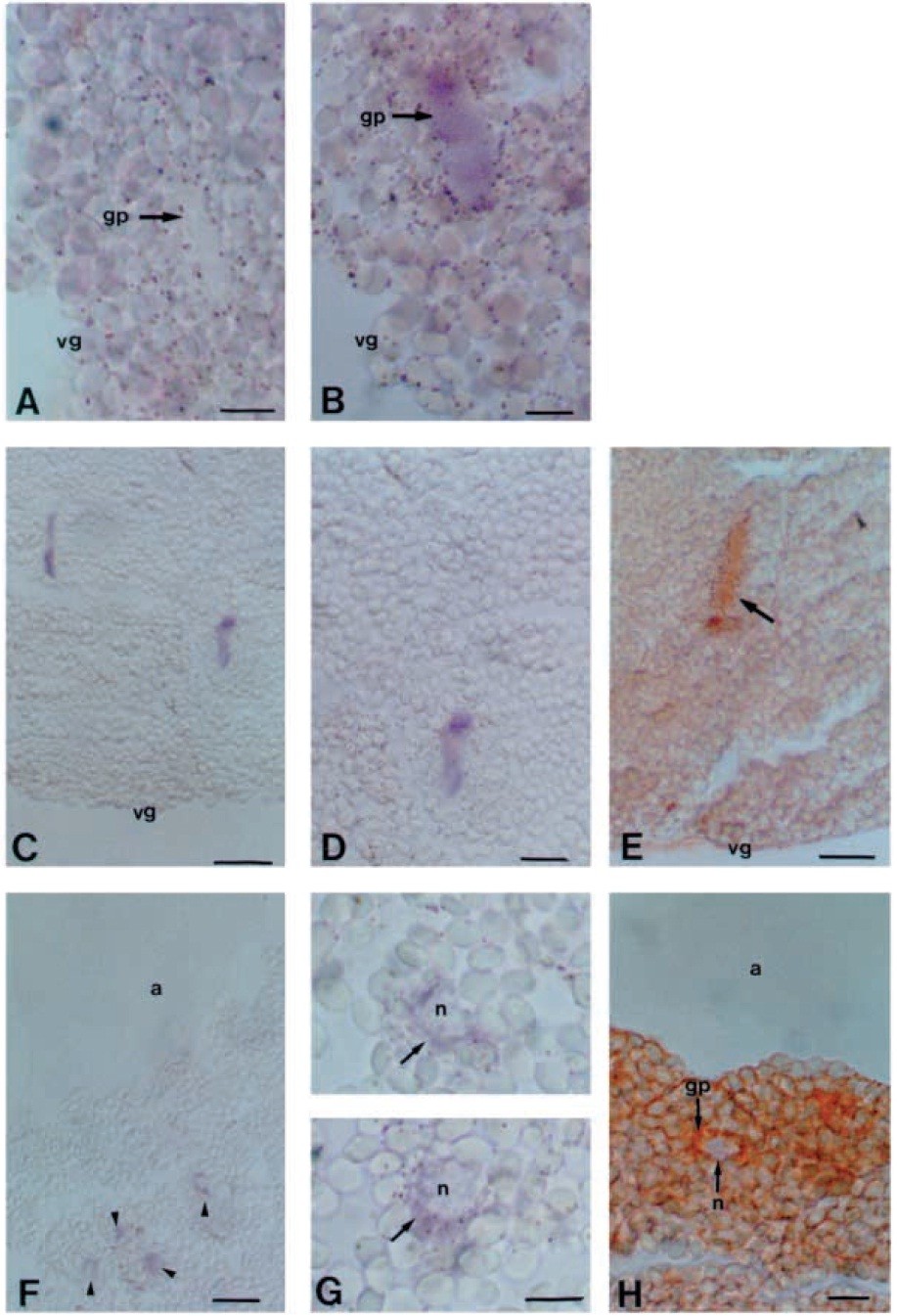
Fig. 5. Expression of Xdazl mRNA during embryogenesis analyzed by in situ
hybridization to sectioned material. (A) 8-cell embryo hybridized with Xdazl sense
probes. The region of the germ plasm (gp) is shown by the arrow. The vegetal pole
(vg) of the embryo is to the lower left. (B) Another section from the same embryo as
(A) probed with antisense Xdazl probes. The yolk-free region of the germ plasm is
stained. The vegetal pole (vg) is to the lower left. (C) Section from a stage 7 embryo
hybridized with Xdazl antisense probes. Staining is seen in streaks near the vegetal
pole. (D) Higher magnification of (C). (E) Control stage 7 section immunostained
with anti-vimentin antibody Z10. The arrow indicates the vimentin-stained germ
plasm. (F) Low power view of a section from a stage 10 embryo hybridized with
Xdazl antisense probes. Staining reveals a number of pPGCs near the archenteron
(a), indicated individually by arrowheads. (G) The upper panel shows a higher power
view of one of the pPGCs in (F), showing perinuclear Xdazl staining (arrow). The
lower panel is a section from a different embryo showing a similar staining pattern
(arrow). (H) Control stage 10 section immunostained
with Z10. The germ plasm is indicated (arrow) and
surrounds a nucleus along the floor of the archenteron.
Scale bars, 250 mm (C, F), 160 mm (D), 125 mm (E),
62.5 mm (A,B,G,H). n, nucleus.
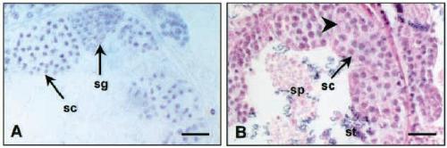
Fig. 6. Xdazl expression in the testis. (A) Section
of an adult testis stained with antisense Xdazl
probes. Spermatogonia (sg) and spermatocytes (sc)
are shown by the arrows. (B) Section from the
same testis stained with hematoxylin and eosin.
Locations of the sperm (sp), spermatids (st) and
spermatocytes (sc) are shown (arrows). This
staining also revealed meiotic cell division in one
of the spermatocyte cysts (arrowhead). This was
confirmed at higher magnification (not shown).
Scale bar, 160 mm.
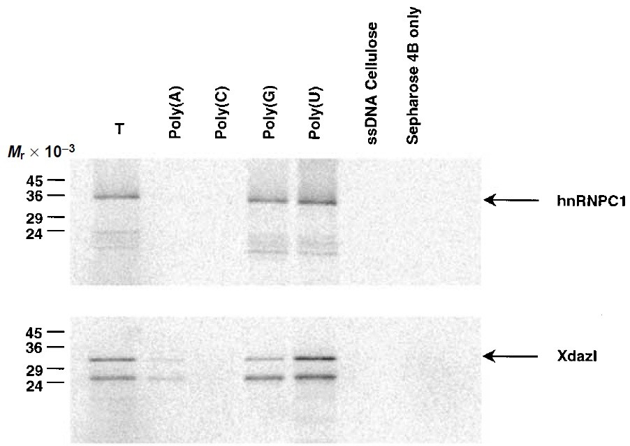
Fig. 7. Xdazl protein can bind RNA. In vitro translated
hnRNPC1, a previously characterized RNA-binding protein,
(top panel) or Xdazl (lower panel) were incubated with
various homopolymeric RNA or control beads (ssDNA,
Sepharose 4B). After washing, eluted proteins were
separated by SDS-PAGE and visualized by Phosphorimager
exposure. Mr is shown at the left. (T), aliquot of the initial
translation corresponding to 20% of the input per binding
reaction. A lower Mr Xdazl translation product was
consistently generated when uncapped RNAs were used.
This product was most likely the result of translation
initiation at an alternate methionine and bound
homopolymeric RNAs with the same specificity as the fulllength
protein.
Fig. 8. Xdazl expression rescues meiotic entry in boule mutant testes.
Photographs of squashed, fixed testis contents from newly eclosed
boule homozygotes carrying the Xdazl transgene (A-C) or boule
alone (D,E). (A) Metaphase of meiosis I. Appearance of the meiotic
spindle (green) and phospho histone H3-positive chromosomes
(orange) indicates that meiotic entry and the metaphase transition
have occurred. (B) Prophase of meiosis I. Assembly of a bipolar
spindle (green) and the appearance of condensed DNA labeled with
Hoechst (blue) indicates that meiotic entry is beginning.
(C) Cytokinesis of meiosis I. Meiotic spindle constriction is evident
with daughter nuclei (DNA, blue) segregating to two new cells.
(D) Late primary spermatocyte in boule homozygotes. Cytoplasmic
array of microtubules (green) is evident while no bipolar spindles are
detected. (E) Late primary spermatocyte in boule homozygote.
Phospho histone staining coincident with the chromosomes is not
evident. Rare phosphohistone-positive chromosomes have been
observed in boule mutant spermatocytes, but bipolar spindle
formation and cytokinesis has not been observed in boule mutants
lacking the Xdazl transgene.