|
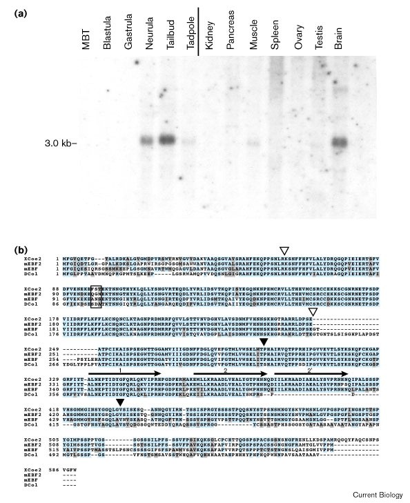
Figure 1. (a) A profile of Xcoe2 transcript accumulation during development and in adult tissues. A northern blot containing RNA from different developmental stages was probed with labelled 2.2 kb Xcoe2 cDNA. The developmental stage of each embryonic RNA is indicated. No hybridisation signal was detected with RNA from oocytes at any stage of oogenesis (data not shown). A 3 kb Xcoe2 transcript is present in embryos starting at the neural plate stage. A transcript of the same size is detected in specific adult tissues and is most abundant in muscle, testis and brain. Each lane contains 10 μg total RNA. We used ribosomal RNA, visualised by ethidium bromide staining, as an internal standard for quantification of deposited RNA (data not shown). MBT, mid-blastula transition. (b) Amino-acid sequence alignment of Xenopus XCoe2 with other members of the EBF/Col family; mouse EBF and EBF2 and Drosophila Col. Identical and similar amino acids are indicated by blue and grey shading, respectively. The DNA-binding domain, framed by open arrowheads, extends from EBF/Olf-1 amino acids 50 to 251 and includes a zinc-binding motif (amino acids 15177). The second highly conserved domain is framed by black arrowheads. The horizontal arrows indicate the positions of helix 1 and helix 2 of a predicted HLH motif which is conserved in all four proteins; a duplicated helix 2 (labelled 2′) is present in the vertebrate proteins. A stretch of two ro three amino acids specific to each protein is boxed. Dashes represent spaces to optimise the alignment. |
|
Figure 2. Xcoe2 mRNA expression during Xenopus development, revealed by whole-mount in situ hybridisation. Embryos at stages (a) 14, (b) 17, (c,d) 28 and (e) 32 are shown. Anterior is to the left; (a,b) dorsal view; (d,e) lateral view. The three stripes of primary neuron precursors, medial (m), intermediate (i) and lateral (l) and the trigeminal ganglia (tg), are indicated. In (b), the positions of nascent olfactory placodes (op; arrowhead) and anterior neural crest cells (nc) are also indicated. (c) Transverse section at the level of the spinal cord (sc). Xcoe2 expression is restricted to differentiating neurons in the marginal zone. This expression is still observed at stage 28 (d) but no longer at stage 32 (e). Other abbreviations: c, cartilage; ha, hyoid arch; ms, mesencephalon; mz, marginal zone; n, notocord; rh, rhombencephalon; vz, ventricular zone. |
|
Figure 3. X-Dl1, Xcoe2 and N-tubulin are activated sequentially in prospective primary neurons. (a) Expression of X-Dl1, Xcoe2 and N-tubulin during early Xenopus embryogenesis was analysed by whole-mount in situ hybridisation. Probes and stages of embryonic development are indicated. All embryos are shown in a dorsal view, with the anterior to the top. The three stripes of primary neurons, medial (m), intermediate (i) and lateral (l), are indicated. (b) One cell (inj) of an embryo at the two-cell stage was injected with synthetic X-ngnr-1 (10 pg) and lacZ (50 pg) mRNAs. In situ hybridisation to a stage 14 embryo with a probe to Xcoe2 shows the ectopic activation of Xcoe2 by X-Ngnr-1. |
|
Figure 4. Xcoe2 is required for the differentiation of primary neurons in the Xenopus embryo. (a) The epitope-tagged deletion mutant Xcoe2ΔDBD was constructed by removing the region encoding the DNA-binding domain (grey) almost entirely and leaving the homodimerisation domain (blue) intact [14]. The c-Myc epitope tag of XCoe2ΔDBD is indicated (black) at the amino terminus. Embryos were microinjected with the following mRNAs: (b)lacZ (500 pg) or (c)lac Z (50 pg) and Xcoe2ΔDBD (500 pg), followed by in situ hybridisation of embryos at stage 13.54 with either (b,c) N-tubulin probe, or (d) X-NeuroD probe; embryos at (e) stage 11.5 and (f) stage 13 with X-ngnr-1 probe; and (g) embryos at stage 12 with a 5′ Xcoe2 probe, indicated in (a), that does not hybridise to Xcoe2ΔDBD mRNA. All embryos are shown in a dorsal view with the injected side on the right.
|
|
Figure 5. Induction of ectopic neurogenesis by injection of Xcoe2 mRNA. Ectopic neurogenesis was visualised by whole-mount in situ hybridisation using either (a,c)XNeuroD or (b)X-ngnr-1 probes on embryos at (a,b) stage 15 and (c) stage 25 or (d,e) immunostaining stage 30 embryos with anti-N-CAM antibodies. Embryos were microinjected with Xcoe2 (400 pg) and lacZ (50 pg) mRNAs on one side (inj), and the other side was used as a control. An enlargement of the box in (d) is shown in (e). |
|
Figure 6. Xcoe2 ectopically activates, and is regulated by, lateral inhibition. One cell of a Xenopus embryo at the two-cell or four-cell stage was injected with (a)XCoe2 (400 pg) and lacZ (50 pg) mRNAs; a combination of (e)XCoe2 (10 pg), X-Dl1dn (400 pg) and lacZ (50 pg) mRNAs; or (f)X-Dl1dn (400 pg) and lacZ (50 pg) mRNAs, as indicated. Injected embryos at (a) stage 12.5, (b,c) stage 17 or (d) stage 13.54 were hybridised with (a,b) X-Dl1 probe, (c) a combination of X-Dl1 and N-tubulin probes or (d) N-tubulin probe alone as indicated. (a) Lateral view, the injected side is shown. (d) Dorso-lateral view, the injected side is indicated (inj). Ectopic X-Dl1 expression is fairly uniform at stage 12.5 on the injected side, inj (a), and concentrates in patches of cells at stage 17 (b). At stage 17 (c), ectopic N-tubulin expression (dark blue staining) occurs specifically at the periphery of X-Dl1 positive patches (red staining). |
|
Figure 7. Model for the transcriptional interactions controlling the specification of primary neurons in Xenopus. X-ngnr-1, Xcoe2 and XNeuroD are sequentially activated in primary neuron progenitors. Expression of X-ngnr-1 renders cells competent to adopt a neural fate [10]. Expression of X-Ngnr-1 above a certain threshold leads to activation of Xcoe2 in selected progenitor cells. XCoe2 activity is required for stable commitment of these cells to a neural fate via the maintenance of Deltaotch signalling and a positive-feedback regulation of X-ngnr-1 expression. XCoe2 is also required for the expression of differentiation genes such as XNeuroD. Whether this activation is direct or is through the maintenance of high levels of X-ngnr-1 expression, or both, remains to be determined. The time window between activation of Xcoe2 and XNeuroD, at stages 12 and 13.5, respectively, during which the majority of primary neurons are in the last G2 phase preceding their exit from the mitotic cycle [1], might allow neuron progenitors to respond to spatially and temporally regulated environmental cues.
|