Click here to close
Hello! We notice that you are using Internet Explorer, which is not supported by Xenbase and may cause the site to display incorrectly.
We suggest using a current version of Chrome,
FireFox, or Safari.
???displayArticle.abstract???
BACKGROUND: The assembly of complex tissues during embryonic development is thought to depend on differential cell adhesion, mediated in part by the cadherin family of cell-adhesion molecules. The protocadherins are a new subfamily of cadherins; their extracellular domains comprise cadherin-like repeats but their intracellular domains differ significantly from those of classical cadherins. Little is known about the ability of protocadherins to mediate the adhesion of embryonic cells, or whether they play a role in the formation of embryonic tissues.
RESULTS: We report the isolation and characterization of a novel protocadherin, termed NF-protocadherin (NFPC), that is expressed in Xenopus embryos. NFPC showed a striking pattern of expression in early embryos, displaying predominant expression within the deep, sensorial layer of the embryonic ectoderm and in a restricted group of cells in the neural folds, but was largely absent from the neural plate and surrounding placodal regions. Ectopic expression in embryos demonstrated that NFPC could mediate cell adhesion within the embryonic ectoderm. In addition, expression of a dominant-negative form of NFPC disrupted the integrity of embryonic ectoderm, causing cells in the deep layer to dissociate, though leaving the outer layer relatively intact.
CONCLUSIONS: Our results indicate that NFPC is required as a cell-adhesion molecule during embryonic development, and its function is distinct from that of classical cadherins in governing the formation of a two-layer ectoderm. These results suggest that NFPC, and protocadherins in general, are involved in novel cell-cell adhesion mechanisms that play important roles in tissue histogenesis.
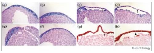
Fig. 3. NFPC is expressed in embryonic ectoderm. Embryos at (a,e) stage 14, (b,f) stage 16, (c,g) stage 18 and (d,h) stage 28 were stained by in situ hybridization for NFPC and viewed (a-d) in whole mount or (e-h) in cross-section. (a,e) At stage 14 (early neural plate), NFPC was restricted to the ventralectoderm and was not expressed in the neural plate (np). In (e), the right-hand side of the np dorsal side of the embryo is shown. (b,f) As nc the neural plate folds to become the neural tube (stage 16), NFPC was expressed in the prospective epidermis and at the tips of the neural folds (arrow), and this pattern continued as the neural folds meet in the dorsal midline (c,g). (f,g) Transverse sections through stained embryos revealed that, within the ectoderm, NFPC was more highly expressed in the inner layer (arrowhead). (d,h) At tailbud stages, NFPC was expressed in the epidermis, branchial arches (ba), lens, otic vesicle (ov), and also within presumptive motor neurons (white arrow in h) in the caudal neural tube (nt) and in the dorsal fin. Other abbreviations: nc, notochord; psm, pre-somitic mesoderm.
Fig. 4. Comparison of NFPC expression with known ectodermal markers. Stage 18 embryos were analyzed by in situ hybridization for expression of (a,e) NFPC, (b) Xslug, (c) E-cadherin, or (d,f) epidermal keratin. NFPC, E-cadherin and epidermal keratin showed similar expression patterns in whole mount, expression being restricted to the ventralectoderm and excluded from the neural plate and placodal region, as marked by expression of Xslug (b). NFPC was also uniquely expressed within the neural folds, however; arrow in (a). Transverse sections revealed that, within the ectoderm, NFPC was most highly expressed in the sensorial layer whereas epidermal keratin was most highly expressed in the outer layer; arrowheads in (e,f).
Fig 5. Ectopic expression of NFPC can inhibit ectodermal cell mixing. Embryos were injected with RNA encoding NFPC-HT or with various mutant constructs, fixed at stage 14, and examined by immunohistochemistry for the His or Myc epitope tag. (a,e,g) Embryos injected with NFPC-HT showed a cohesive cluster of expressing cells, indicating little cell mixing between progeny of injected and uninjected blastomeres. In contrast, embryos injected with (b,f,h) NFâE-HT, and (c,i) NFâC-MT showed extensive cell mixing with neighboring, non-expressing cells, in a similar way as (d,j) control embryos injected with RNA encoding cytoplasmic β galactosidase. Only embryos injected with NFâE-HT exhibited ectodermal blistering (b,f). (g-j) High-power photomicrographs of the same embryos showed that whereas NFPC-HT (g), NFâE-HT (h), and NFâC-MT (i) were all correctly expressed at the cell membrane, only NFPC-HT and to a lesser extent NFâC-MT were concentrated at sites of cell-cell contact-compare site indicated in (g) and (i) to the one in (h) - suggesting that NFPC acts as a homophilic adhesion molecule.
Ectopic expression of NFPC and NFâE in ectoderm. Embryos were co-injected with RNA encoding either (a) NFPC, (b) NFâC-MT or (c,d) NFâE-HT together with nlacz RNA, fixed at stage 14, stained for β-galactosidase activity and sectioned. Compared to (f) control embryos injected with nlacZ RNA, embryos injected with (a) NFPC and (b) NFâC-MT were relatively normal, with occasional thickening of the ectoderm observed with NFPC (a). In contrast, NFâE-HT-injected embryos had ectodermal blisters, with the ectodermal inner- layer cells reduced or missing; arrow in (c) and (d). (e) NFâE-HT-injected embryos in which ectopic expression was targeted to the neural plate region were relatively normal, with no ectodermal blistering nor loss of inner-layer cells observed, demonstrating that the lesions observed with NFâE are restricted to the ectodermal region that normally expresses NFPC. To rescue NFâE-induced blisters, embryos were (g) injected with RNA encoding NFâE-HT or (h) co-injected with RNA encoding NFPC and NFâE-HT, immunostained for the His epitope and sectioned. Co-expression of NFPC with NFâE-HT resulted in rescue of the inner cell layer over much of the ectoderm; arrow in (g) compared with arrowhead in (h). Abbreviations: np, neural plate, nc, notochord.