Click here to close
Hello! We notice that you are using Internet Explorer, which is not supported by Xenbase and may cause the site to display incorrectly.
We suggest using a current version of Chrome,
FireFox, or Safari.
???displayArticle.abstract???
Genetic circuits responsible for the development of photoreceptive organs appear to be evolutionarily conserved. Here, the Xenopus homologue Xtll of the Drosophila gene tailless (tll), which we find to be expressed during early eye development, is characterized with respect to its relationship to vertebrate regulators of eye morphogenesis, such as Pax6 and Rx. Expression of all three genes is first detected in the area corresponding to the eye anlagen within the open neural plate in partially overlapping, but not identical, patterns. During the evagination of the optic vesicle, Xtll expression is most prominent in the optic stalk, as well as in the distal tip of the forming vesicle. In tadpole-stage embryos, Xtll gene transcription is most prominent in the ciliary margin of the optic cup. Inhibition of Xtll function in Xenopus embryos interferes specifically with the evagination of the eye vesicle and, in consequence, Xpax6 gene expression is severely reduced in such manipulated embryos. These findings suggest that Xtll serves an important regulatory function in the earliest phases of vertebrate eye development.
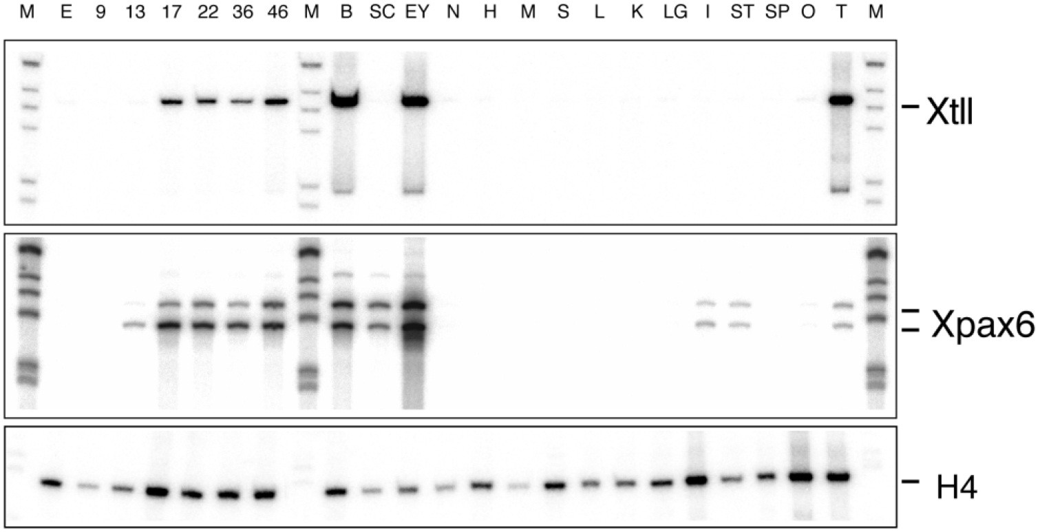
Fig. 1. Xtll and Xpax6 mRNA levels during Xenopus embryogenesis and in adult tissues. Quantitative reverse transcriptase-PCR analysis was
performed with total RNA preparations from staged embryos (as indicated by numbers) and from adult tissues. Tissues were: B, brain; SC,
spinal cord; EY, eye; N, nerves; H, heart; M, skeletal muscle; S, skin; LI, liver; K, kidney; L, lung; I, intestine; ST, stomach; SP, spleen; O,
ovary; T, testis. The two different PCR products obtained with primers specific for Xpax6 reflect differential splicing within the region encoding
the Paired box (data not shown), as also found in other vertebrates (Epstein et al., 1994). Transcription of both genes is activated during
neurulation; Xpax6 starts to be expressed earlier than Xtll.
Fig. 2. Comparative analysis of the spatial
expression patterns of genes expressed in
the context of early eye development in
Xenopus. Whole-mount in situ hybridization
experiments were performed with staged
embryos (as indicated by numbers).
Hybridization reactions were either specific
for Xtll (E-H) and Xpax6 (M-P),
respectively, or a combination of Xtll
(purple) and Sox3 (red) (D), or a
combination of Xtll (purple) with engrailed
(red) (I), or with Xrx (red) (A-C), or with
Xpax6 (red) (J-L). All embryos are shown
in a dorso-anterior view. En-2 demarcates
the midbrain-hindbrain boundary
(Hemmati-Brivanlou et al., 1991), Sox3 is
expressed in the entire neural plate as well
as in the lens anlage (R. Grainger, personal
communication). Horizontal sections were
prepared at the level of the eye from stage-
17 and stage-23 embryos which had been
stained for Xtll and Xpax6 expression (Q-T).
Xtll and Xpax6 are expressed in the early
eye as well as in the developing central
nervous system. ar, archenteron; ev, eye
vesicle; fb, forebrain; os, optic stalk.
Fig. 3. Comparative analysis of Xtll and Xpax6
expression in Xenopus tadpoles. Stage-34 Xenopus
tadpoles or isolated brain, eye and spinal cord from
the same stage were stained for either Xtll (A,B) or
Xpax6 mRNA (D,E). Xtll expression (purple) was
also compared with en2 (red, C) and Xpax6 (red,
F). Both genes are transcribed in forebrain,
midbrain and in the eye. Transverse sections from
stage-36 embryos at the level of the eye define
differentially regulated Xtll (G, purple in H) and
Xpax6 (I, red in H) expression domains. In the eye,
Xtll expression is specific to the distal tips of the
eye cup, whereas Xpax6 is strongly expressed in
the neural retina as well as in the lens. Sections
corresponding to a more anterior position reveal
expression of both genes in the olfactory placodes
(data not shown). cm, cilary margin; dt, dorsal
thalamus; ey, eye; gu, gut; hy, hypothalamus; lp,
lens epithelium; le, lens; mb, midbrain; mhb,
midbrain hindbrain boundary; nr, neural retina; np,
nasal placode; ov, otic vesicle.
Fig. 4. Inhibition of Xtll function in Xenopus embryos specifically
interferes with the eye development. Xenopus embryos were injected
with a mRNA encoding the Xtll-ZF-engR construct and allowed to
develop to stage 34 (A,B) or stage 50 (C,D). The injected side of
these embryos is shown in B and D. The fact that disturbed eye
development was indeed exclusive to the injected side of the embryo
was established by coinjection of mRNA encoding b-galactosidase
and staining of tadpole-stage embryos for enzymatic activity (data
not shown). A schematic representation of the Xtll-ZF-engR
construct in relation to the wild-type version of Xtll is shown in E.
Fig. 5. Inhibition of Xtll function specifically interferes with the
evagination of the eye vesicle during early embryogenesis.
Transverse sections from stage-34 Xenopus embryos that had been
injected with a mRNA encoding the Xtll-ZF-engR construct and
which were stained for Xpax6 expression reveal the complete
absence (B) or severe reduction (A) of the eye structure in the
injected half of the embryo. Ectopic Xpax6 expression is denoted by
an arrow in B. Analysis of Xpax6 expression in microinjected
embryos grown to either stage 19 (C) or stage 23 (E), as well as of
horizontal sections at the level of the eye prepared from the same
embryos (D and F, respectively) reveals that counteracting Xtll
function in the embryo results in the inhibition of eye vesicle
evagination. The lines in C and E indicate the approximate plane of
section. ev, eye evagination; eym, endodermal yolk mass; fg, forgut;
nc, notochord; pev; prosencephalic ventricle.