Click here to close
Hello! We notice that you are using Internet Explorer, which is not supported by Xenbase and may cause the site to display incorrectly.
We suggest using a current version of Chrome,
FireFox, or Safari.
???displayArticle.abstract??? gamma-Tubulin is a universal component of microtubule organizing centers where it is believed to play an important role in the nucleation of microtubule polymerization. gamma-Tubulin also exists as part of a cytoplasmic complex whose size and complexity varies in different organisms. To investigate the composition of the cytoplasmic gamma-tubulin complex in mammalian cells, cell lines stably expressing epitope-tagged versions of human gamma-tubulin were made. The epitope-tagged gamma-tubulins expressed in these cells localize to the centrosome and are incorporated into the cytoplasmic gamma-tubulin complex. Immunoprecipitation of this complex identifies at least seven proteins, with calculated molecular weights of 48, 71, 76, 100, 101, 128, and 211 kD. We have identified the 100- and 101-kD components of the gamma-tubulin complex as homologues of the yeast spindle pole body proteins Spc97p and Spc98p, and named the corresponding human proteins hGCP2 and hGCP3. Sequence analysis revealed that these proteins are not only related to their respective homologues, but are also related to each other. GCP2 and GCP3 colocalize with gamma-tubulin at the centrosome, cosediment with gamma-tubulin in sucrose gradients, and coimmunoprecipitate with gamma-tubulin, indicating that they are part of the gamma-tubulin complex. The conservation of a complex involving gamma-tubulin, GCP2, and GCP3 from yeast to mammals suggests that structurally diverse microtubule organizing centers such as the yeast spindle pole body and the animal centrosome share a common molecular mechanism for microtubule nucleation.
Figure 5. GCP2 and GCP3 are localized to the centrosome. (A) CHO cells were fixed and co-stained with anti-hGCP2 and either anti–α-tubulin or anti–γ-tubulin antibodies as indicated. (B) CHO cells were fixed and co-stained with anti-hGCP3 and either anti–α-tubulin or anti–γ-tubulin as indicated. Examples of cells in interphase and mitosis are shown.
Figure 7. GCP2 and GCP3 are components of the cytoplasmic γ-tubulin complex. Epitope-tagged γ-tubulin was immunoprecipitated from cytoplasmic extracts of the indicated cell lines, with the indicated antibody in the presence or absence of competing antigenic peptide. Immunoprecipitates were immunoblotted with either anti–γ-tubulin, anti-hGCP2, or anti-hGCP3 antibodies. The positions of the 45- and 97-kD molecular weight markers are indicated.
Figure 9. Epitope-tagged hGCP3 localizes to the centrosome and incorporates into the cytoplasmic γ-tubulin complex. (A) A31 cells stably expressing hGCP3MycHis were fixed and co-stained with anti-Myc and either anti–α-tubulin or anti–γ-tubulin, as indicated. Examples of both mitotic and interphase cells are shown. (B) Cell lysates made from A31-hGCP3MycHis were run on a sucrose gradient and fractions from this gradient were immunoblotted with anti-hGCP3 and anti-Myc antibodies. Note that epitope-tagged hGCP3 migrates more slowly than endogenous GCP3. (C) Cell lysates made from A31 or A31-hGCP3MycHis cells were subjected to immunoprecipitation with anti-Myc antibodies in the presence or absence of competing antigenic peptide. The resulting immunoprecipitates were analyzed on 7.5% SDS–polyacrylamide gels and immunoblotted with anti-hGCP2, anti-hGCP3, and anti–γ-tubulin as indicated. The positions of the 97- and 45-kD molecular weight markers are indicated.
Figure 6. GCP2 and GCP3 cosediment with γ-tubulin in sucrose gradients. The sedimentation velocity of cytoplasmic γ-tubulin, GCP2, and GCP3 from human 293 cells was examined by sucrose gradient velocity sedimentation. Gradient fractions were immunoblotted with either anti–γ-tubulin, anti-hGCP2, or anti-hGCP3 antibodies. The position of thyroglobulin (19S) in a gradient run in parallel is indicated, as is the migration of the 45- and 97-kD molecular weight markers.
Figure 10. GCP2 and GCP3 associate with microtubules. Equal amounts of cytoplasmic lysate from A31 cells were incubated with varying concentrations of taxol-stabilized microtubules (0– 500 pM microtubules). The highest concentration of microtubules was approximately equal to the predicted concentration of γ-tubulin complexes in these lysates. The samples were centrifuged to sediment microtubules and associated proteins. The pellets were then stained with Coomassie blue to visualize α- and β-tubulin, and immunoblotted with anti-hGCP2, anti-hGCP3, and anti–γ-tubulin antibodies. The positions of the 97- and 45-kD molecular weight markers are indicated.
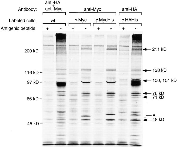
Figure 2. The composition of the mouse γ-tubulin complex. A31 (wt), and A31-derived cell lines expressing γ-tubulinMyc, γ-tubulinMycHis, and γ-tubulinHAHis were metabolically labeled with [35S]methionine and [35S]cysteine. Cytoplasmic extracts from these cells were sedimented through sucrose gradients and the epitope-tagged γ-tubulins were immunoprecipitated from fractions containing the γ-tubulin complex with the indicated antibody in the presence (+) or absence (−) of competing antigenic peptide. The resulting immunoprecipitates were analyzed on 7.5% SDS–polyacrylamide gel and visualized by fluorography. Molecular weight markers are indicated on the left. The arrows and numbers on the right indicate the position and calculated molecular weight of proteins that specifically coimmunoprecipitate with γ-tubulin. The position of the epitope-tagged γ-tubulins is indicated by the asterisk. The migration of the 100-, 101-kD doublet is altered when the anti-Myc antibody is used because the heavy chains of this antibody migrate at ∼100 kD (see Materials and Methods).
Figure 3. There are multiple γ-tubulin molecules in the γ-tubulin complex. Epitope-tagged γ-tubulin was immunoprecipitated from cytoplasmic extracts of the indicated cell lines in the presence and absence of antigenic peptide. These immunoprecipitates were analyzed on a 7.5% SDS–polyacrylamide gel, transferred to nitrocellulose, and then immunoblotted with anti–γ-tubulin antibodies. The migration of a 45-kD molecular weight marker is indicated.
Figure 4. hGCP3, Spc98p, hGCP2, and Spc97p are related proteins. (A) Pair-wise comparison of hGCP2, Spc97p, hGCP3, and Spc98p. The numbers represent the percent similarity using the following groupings of amino acids: N and Q; R and K; S and T; D and E; Y, F, and W; I, L, M, and V; H; P; C; G; and A. (B) A schematic diagram of the hGCP2, Spc97p, hGCP3, and Spc98p proteins. The boxes representing the proteins are drawn to scale, with the dashed segments representing gaps of 10 amino acids or more that were introduced to align the proteins. The shaded regions represent regions that show significant homology. (C) The amino acid sequences of the shaded regions of homology indicated in (B). Amino acid positions that are either identical (black shading) or similar (gray) in at least three of the proteins are indicated. These sequence data are available from GenBank/ EMBL/DDBJ under accession numbers AF042379 (hGCP2) and AF042378 (hGCP3).
Figure 8. hGCP2 and hGCP3 migrate with the same electrophoretic mobility as the 100-, 101-kD doublet of the γ-tubulin complex. hGCP2 and hGCP3 were produced in insect cells using the baculovirus system. hGCP2 and hGCP3 were purified as insoluble proteins and analyzed on a 7.5% SDS–polyacrylamide gel, as follows: MW, molecular weight markers; 1, hGCP2; 2, hGCP3; and 3, hGCP2 plus hGCP3. The gel was stained with Coomassie blue to visualize the proteins. The molecular weights of the markers are indicated.
Akashi,
Characterization of gamma-tubulin complexes in Aspergillus nidulans and detection of putative gamma-tubulin interacting proteins.
1997, Pubmed
Akashi,
Characterization of gamma-tubulin complexes in Aspergillus nidulans and detection of putative gamma-tubulin interacting proteins.
1997,
Pubmed Blose,
10-nm filaments are induced to collapse in living cells microinjected with monoclonal and polyclonal antibodies against tubulin.
1984,
Pubmed Detraves,
Protein complexes containing gamma-tubulin are present in mammalian brain microtubule protein preparations.
1997,
Pubmed
,
Xenbase Dieckmann,
Assembly of the mitochondrial membrane system. CBP6, a yeast nuclear gene necessary for synthesis of cytochrome b.
1985,
Pubmed Durfee,
The retinoblastoma protein associates with the protein phosphatase type 1 catalytic subunit.
1993,
Pubmed Erickson,
Protofilaments and rings, two conformations of the tubulin family conserved from bacterial FtsZ to alpha/beta and gamma tubulin.
1996,
Pubmed Evan,
Isolation of monoclonal antibodies specific for human c-myc proto-oncogene product.
1985,
Pubmed
,
Xenbase Evans,
Influence of the centrosome on the structure of nucleated microtubules.
1985,
Pubmed Félix,
Centrosome assembly in vitro: role of gamma-tubulin recruitment in Xenopus sperm aster formation.
1994,
Pubmed
,
Xenbase Geissler,
The spindle pole body component Spc98p interacts with the gamma-tubulin-like Tub4p of Saccharomyces cerevisiae at the sites of microtubule attachment.
1996,
Pubmed Green,
Immunogenic structure of the influenza virus hemagglutinin.
1982,
Pubmed Horio,
Human gamma-tubulin functions in fission yeast.
1994,
Pubmed Horio,
The fission yeast gamma-tubulin is essential for mitosis and is localized at microtubule organizing centers.
1991,
Pubmed Hyman,
Preparation of modified tubulins.
1991,
Pubmed Keating,
Microtubule release from the centrosome.
1997,
Pubmed Kilmartin,
A spacer protein in the Saccharomyces cerevisiae spindle poly body whose transcript is cell cycle-regulated.
1993,
Pubmed Knop,
The spindle pole body component Spc97p interacts with the gamma-tubulin of Saccharomyces cerevisiae and functions in microtubule organization and spindle pole body duplication.
1997,
Pubmed Knop,
Spc98p and Spc97p of the yeast gamma-tubulin complex mediate binding to the spindle pole body via their interaction with Spc110p.
1997,
Pubmed Lajoie-Mazenc,
Recruitment of antigenic gamma-tubulin during mitosis in animal cells: presence of gamma-tubulin in the mitotic spindle.
1994,
Pubmed
,
Xenbase Li,
gamma-tubulin is a minus end-specific microtubule binding protein.
1995,
Pubmed Liu,
A gamma-tubulin-related protein associated with the microtubule arrays of higher plants in a cell cycle-dependent manner.
1993,
Pubmed Liu,
gamma-Tubulin in Arabidopsis: gene sequence, immunoblot, and immunofluorescence studies.
1994,
Pubmed Marschall,
Analysis of Tub4p, a yeast gamma-tubulin-like protein: implications for microtubule-organizing center function.
1996,
Pubmed Martin,
The role of gamma-tubulin in mitotic spindle formation and cell cycle progression in Aspergillus nidulans.
1997,
Pubmed Martin,
Xgrip109: a gamma tubulin-associated protein with an essential role in gamma tubulin ring complex (gammaTuRC) assembly and centrosome function.
1998,
Pubmed
,
Xenbase McLeod,
The product of the mei3+ gene, expressed under control of the mating-type locus, induces meiosis and sporulation in fission yeast.
1987,
Pubmed Meads,
Polarity and nucleation of microtubules in polarized epithelial cells.
1995,
Pubmed Moreno,
Molecular genetic analysis of fission yeast Schizosaccharomyces pombe.
1991,
Pubmed Morgan,
Production of p60c-src by baculovirus expression and immunoaffinity purification.
1991,
Pubmed Moritz,
Microtubule nucleation by gamma-tubulin-containing rings in the centrosome.
1995,
Pubmed Moudjou,
gamma-Tubulin in mammalian cells: the centrosomal and the cytosolic forms.
1996,
Pubmed Oakley,
Identification of gamma-tubulin, a new member of the tubulin superfamily encoded by mipA gene of Aspergillus nidulans.
1989,
Pubmed Oakley,
Gamma-tubulin is a component of the spindle pole body that is essential for microtubule function in Aspergillus nidulans.
1990,
Pubmed Schild,
Cloning of three human multifunctional de novo purine biosynthetic genes by functional complementation of yeast mutations.
1990,
Pubmed Shu,
Gamma-tubulin can both nucleate microtubule assembly and self-assemble into novel tubular structures in mammalian cells.
1995,
Pubmed Sobel,
A highly divergent gamma-tubulin gene is essential for cell growth and proper microtubule organization in Saccharomyces cerevisiae.
1995,
Pubmed Spang,
gamma-Tubulin-like Tub4p of Saccharomyces cerevisiae is associated with the spindle pole body substructures that organize microtubules and is required for mitotic spindle formation.
1996,
Pubmed
,
Xenbase Stearns,
In vitro reconstitution of centrosome assembly and function: the central role of gamma-tubulin.
1994,
Pubmed
,
Xenbase Stearns,
Gamma-tubulin is a highly conserved component of the centrosome.
1991,
Pubmed
,
Xenbase Tassin,
Identification of an Spc110p-related protein in vertebrates.
1997,
Pubmed
,
Xenbase Vogel,
Centrosomes isolated from Spisula solidissima oocytes contain rings and an unusual stoichiometric ratio of alpha/beta tubulin.
1997,
Pubmed Vorobjev,
Cytoplasmic assembly of microtubules in cultured cells.
1997,
Pubmed Zheng,
Gamma-tubulin is present in Drosophila melanogaster and Homo sapiens and is associated with the centrosome.
1991,
Pubmed Zheng,
Nucleation of microtubule assembly by a gamma-tubulin-containing ring complex.
1995,
Pubmed
,
Xenbase