|
Figure 2. Gremlin Is Expressed in the Neural Crest(A) Stage 27 embryo showing Gremlin expression in the nascent pronephric duct ([pn], arrowhead), midtrunk neural crest, and tailbud.(B) At stage 35/36, Gremlin expression expands rostrocaudally to include neural crest cells in the head, the trunk, and the fin.(C) Stage 40 embryo showing Gremlin expression following fin elongation. For (A) (C), an embryo probed with a sense control is on the bottom of each panel.(D) Section through the posterior trunk of a stage 30 embryo shows Gremlin expression in the roofplate of the neural tube and the overlying epithelium (open arrow).(E) Section through the head of a stage 38 embryo showing Gremlin expression in the mandibular mesenchymal neural crest surrounding the eye (arrow).(F) Fin section through a stage 38 embryo showing expression in mesenchymal cells.(G) Midtrunk section through a stage 38 embryo. Gremlin expression reveals the ventral migration pathways of trunk neural crest cells as they pass medially and laterally to the somite ([45, 31 and 10]). The subepithelial migration accounts for the chevron-shaped stripes of staining seen in whole mounts; Nomarski analysis of whole mounts in conjunction with horizontal sections shows that these cells migrate in the immediate vicinity of the boundaries between individual somites. Open arrowhead indicates the birthplace of neural crest cells. Closed arrowheads indicate staining of cells lining the pronephros. (rp) = roofplate, (nt) = neural tube, (no) = notochord, (so) = somite. Scale BAR= 50 um. |
|
|
|
Figure 1.
Secondary Axis Induction by Gremlin
(A and B) Embryos injected in the marginal zone of a single ventral blastomere with 50 pg of synthetic Gremlin mRNA (A) develop a secondary neural axis, whereas embryos injected with water (B) do not.
(C) Lineage tracing of Gremlin-induced secondary axes. Four-cell embryos were ventrally injected with 50 pg of Gremlin and 80 pg of CS2+Nucβ-Gal mRNA (a gift of David Turner) and stained with X-Gal ( Smith and Harland 1991). Not all cells in the induced axis stain, showing that Gremlin-expressing cells can recruit neighboring cells into the secondary axis.
(D) Control injection with LacZ alone.
(EâG) Antibody staining with monoclonal antibodies that detect muscle (12/101), notochord (Tor70), or neural tissue (6F11) show that the composition and patterning of the Gremlin-induced axis is similar to that seen in the primary axis. Secondary axes are marked with closed arrowheads. Open arrowheads point to patches of notochord staining. |
|
Figure 3.
Gremlin Identifies a Family of Secreted Proteins with Axial Patterning Activities
(A) Gremlin is highly conserved in vertebrates. A sequence alignment of Gremlin sequences identified in Xenopus (x), chick (c), mouse (m), and human (h) shows that they are >80% identical. Identical amino acids are shaded. The predicted signal sequence is in bold. A single N-linked glycosylation site is underlined. The nine cysteines in the carboxy-terminal domain are marked with asterisks.
(B) Sequence alignment of the cysteine-rich domain shared by Gremlin, Cerberus, mouse DAN (mDAN), Xenopus DAN (xDAN), and C. elegans Gremlin-related-1 (ceGR-1). Conserved cysteines are marked with asterisks and shaded. Other conserved residues are shaded.
(C) DAN-family members are secreted. Oocytes were injected with 50 ng of synthetic Gremlin, DAN, or Cerberus mRNA and cultured in media containing 35S-methionine. Supernatants were analyzed by SDS–PAGE and fluorography. Gremlin and DAN expression results in accumulation of major secreted products of ∼28 kDa and ∼27 kDa, respectively. Cerberus-injected oocytes express a heterogeneous product centered around 40 kDa.
(D) DAN expression hyperdorsalizes embryos. Ventral injection of 100 pg of DAN mRNA reduces ventral and posterior structures.
(E) Staining of DAN-injected embryos with the muscle-specific antibody 12/101 shows that muscle is present, but that it is poorly patterned. The bottom of the panel shows a wild-type embryo for comparison. |
|
(C) DAN-family members are secreted. Oocytes were injected with 50 ng of synthetic Gremlin, DAN, or Cerberus mRNA and cultured in media containing 35S-methionine. Supernatants were analyzed by SDS–PAGE and fluorography. Gremlin and DAN expression results in accumulation of major secreted products of ∼28 kDa and ∼27 kDa, respectively. Cerberus-injected oocytes express a heterogeneous product centered around 40 kDa.
(D) DAN expression hyperdorsalizes embryos. Ventral injection of 100 pg of DAN mRNA reduces ventral and posterior structures.
(E) Staining of DAN-injected embryos with the muscle-specific antibody 12/101 shows that muscle is present, but that it is poorly patterned. The bottom of the panel shows a wild-type embryo for comparison. |
|
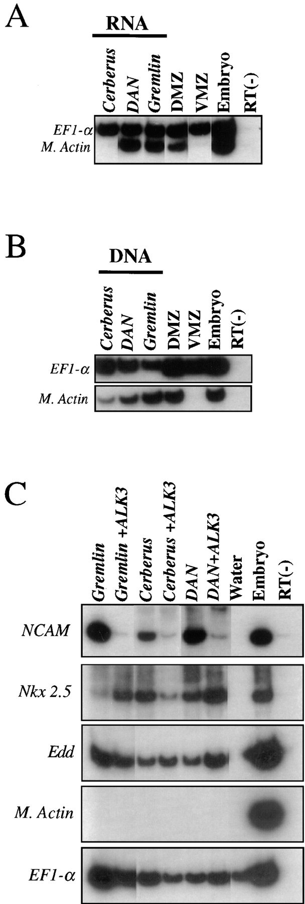
Figure 4.
DAN-Family Members Act as BMP Antagonists in Embryonic Explants
(A) Expression of Gremlin and DAN but not Cerberus synthetic mRNA dorsalizes ventral mesoderm. A VMZ assay shows that the dorsal mesoderm marker muscle actin (M. actin) is induced by injection of 100 pg of Gremlin or DAN mRNA into ventral blastomeres. M. actin is also expressed in dorsal marginal zones (DMZ) and whole embryos.
(B) When expression is directed to blastula stages by injecting each family member as a DNA construct, Cerberus, Gremlin, and DAN all induce M. actin.
(C) DAN-family members have similar activities in animal cap explants. Unless noted, 100 pg of Gremlin, Cerberus, or DAN with or without 1 ng of the constitutively activated type I BMP receptor ALK3(Q233D) was injected into the animal poles of one-cell embryos. For analysis of NCAM induction only, 1 ng of Cerberus or 10 ng of DAN was injected. RTâPCR analysis of explants shows that all three family members induce NCAM. The degree of induction between different family members cannot be directly compared because these data are from independent experiments. The lack of M. actin shows that neural induction occurs without a mesodermal intermediary. For all three family members, neural induction is blocked by constitutively activated ALK3(Q233D), suggesting that they induce neural tissue by antagonizing BMP signaling. In addition, all three DAN-family members induce the cardiac marker Nkx 2.5 and the endodermal marker Edd. This induction is unaffected by constitutive activation of the BMP signaling pathway. |
|
Figure 5. Gremlin Blocks the Activity of Purified BMP2. (A) Induction of alkaline phosphatase activity in W-20-17 murine bone marrow stromal cells. BMP2 at 78 pM, 156 pM, 313 pM, 625 pM, 1.25 nM, 2.5 nM, or 5 nM was preincubated with a Gremlin COS supernatant at final concentration of 83 nM or 21 nM Gremlin, mock-transfected media, or fresh DMEM prior to addition to cells. Alkaline phosphatase activity was assayed 24 hr later. â¼83 nM Gremlin completely blocks BMP2 activity. â¼21 nM Gremlin partially blocks BMP2 doses tested. |
|
Figure 6.
DAN-Family Members Bind BMP2
(A) Coimmunoprecipitation of DAN-family members with BMP2. COS-cell supernatants containing human Cerberus (hCer), mouse DAN (mDAN), or Xenopus Gremlin (xGrem) were incubated with anti-BMP2,4 protein G beads in the presence or absence of 1 μg of BMP2. Beads were processed and analyzed by Western blot for the presence of coprecipitating hCer, mDAN, or xGrem. Each DAN-family member precipitates in a BMP2-dependent fashion (lanes 1 and 4, 5 and 8, 9 and 12). Addition of 2 μg of Noggin eliminates hCer binding (lane 2), but not binding of mDAN (lane 6) or xGrem (lane 10). Addition of 10 μg of Noggin prevents all three family members from binding BMP2 (lanes 3, 7, and 11). Open arrowheads indicate immunoglobulin heavy and light chains.
(B) In reciprocal immunoprecipitation experiments, BMP2 coprecipitates with DAN-family members. hCer, mDAN, or hGrem were incubated with BMP2 in the presence of protein G beads bound to anti-hCer polyclonal antibodies, or a monoclonal antibody against the C-terminal triple MYC epitope added to mDAN and hGrem. Western blots show that BMP2 precipitates in the presence of hCer (lanes 1 and 3), mDAN (lanes 4 and 6), or hGrem (lanes 7 and 9). Binding is abolished with the addition of Noggin (lanes 2, 5, and 8). |
|
Figure 7.
Cerberus Antagonizes Signaling by Activin- or Nodal-like Ligands
Animal cap assays on explants isolated from embryos expressing Activin (1 pg), BVg1 (100 pg), Xnr2 (100 pg), or Smad2(C) (100 pg) mRNA with or without 1 ng of Cerberus, Gremlin, or DAN mRNA. Animal caps were harvested at stage 10.5–11, and expression of the mesodermal marker Xbra and the loading control Ef1α assessed by RT–PCR. Coexpression with Cerberus specifically blocks the mesoderm-inducing activities of Activin and Xnr2, but not BVg1 or Smad-2(C). Gremlin and DAN do not block mesoderm induction by any activities tested. |