Click here to close
Hello! We notice that you are using Internet Explorer, which is not supported by Xenbase and may cause the site to display incorrectly.
We suggest using a current version of Chrome,
FireFox, or Safari.
J Cell Biol
1998 Aug 10;1423:775-86. doi: 10.1083/jcb.142.3.775.
Show Gene links
Show Anatomy links
Recruitment of the gamma-tubulin ring complex to Drosophila salt-stripped centrosome scaffolds.
Moritz M, Zheng Y, Alberts BM, Oegema K.
???displayArticle.abstract???
Extracting isolated Drosophila centrosomes with 2 M KI generates salt-resistant scaffolds that lack the centrosomal proteins CP190, CP60, centrosomin, and gamma-tubulin. To clarify the role of these proteins in microtubule nucleation by centrosomes and to identify additional centrosome components required for nucleation, we have developed an in vitro complementation assay for centrosome function. Centrosome aster formation is reconstituted when these inactive, salt-stripped centrosome scaffolds are supplemented with a soluble fraction of a Drosophila embryo extract. The CP60 and CP190 can be removed from this extract without effect, whereas removing the gamma-tubulin destroys the complementing activity. Consistent with these results, we find no evidence that these three proteins form a complex together. Instead, gamma-tubulin is found in two distinct protein complexes of 240,000 and approximately 3,000,000 D. The larger complex, which is analogous to the Xenopus gamma-tubulin ring complex (gammaTuRC) (Zheng, Y., M.L. Wong, B. Alberts, and T. Mitchison. 1995. Nature. 378:578-583), is necessary but not sufficient for complementation. An additional factor found in the extract is required. These results provide the first evidence that the gammaTuRC is required for microtubule nucleation at the centrosome.
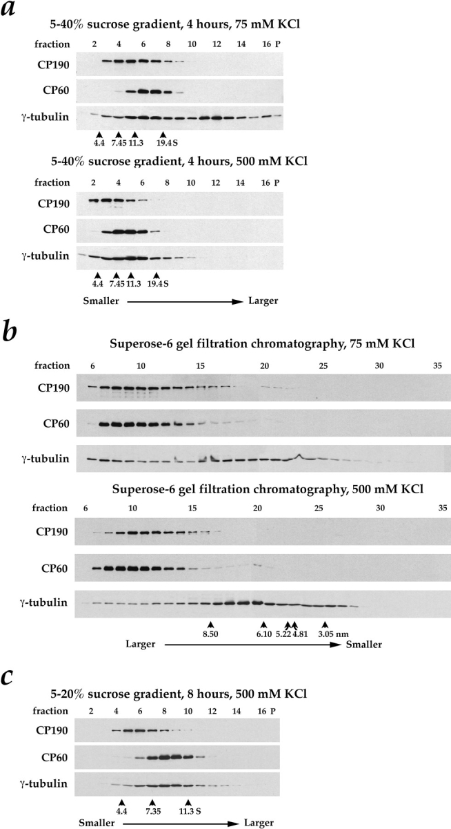
Figure 5. Behavior of CP60, CP190, and γ-tubulin during sucrose gradient sedimentation and Superose-6 gel filtration of concentrated Drosophila embryo extracts. Each fraction was immunoblotted for CP190, CP60, and γ-tubulin after separation by SDS-PAGE on an 11% gel. A single extract was first buffer exchanged using spin columns into column buffer containing either 75 mM or 500 mM KCl. An aliquot was then sedimented through 5–40% sucrose gradients for 4 h (a)or fractionated by Superose-6 gel filtration chromatography (b)in buffers containing 75 mM or 500 mM KCl. In c, a separate extract was sedimented on a 5–20% sucrose gradient for 8 h in 500 mM KCl to increase the separation between the smaller complexes present in the high salt. Sucrose gradient fractions were collected from the top of the gradient; gradient pellets are also shown (P). Standards were run in parallel with the extract over identical sucrose gradients. The location of the peak for each standard is indicated with an arrowhead above its S value (see Materials and Methods for determination of peak fractions). The sucrose gradient standards used were BSA (4.4 S), rabbit muscle aldolase (7.35 S), bovine liver catalase (11.3 S), and porcine thyroglobulin (19.4 S). The Superose-6 column was calibrated with bovine thyroglobulin (Stokes radius = 8.5 nm), horse spleen ferritin (6.1 nm), bovine liver catalase (5.22 nm), rabbit muscle aldolase (4.81 nm), and hen egg ovalbumin (30.5 nm). The location of the peak for each standard is indicated with an arrowhead above its Stokes radius in b.
Figure 6. A graphical representation of the sucrose gradient (a)and gel filtration data (b and c) in Fig. 5. The γ-tubulin is present in two distinct complexes; CP190 and CP60 are not components of either complex. For each fraction, standard curves were used to determine the corresponding S value and the relative concentrations of CP190, CP60, and γ-tubulin (see Materials and Methods).
Figure 1. Complementation assay. Centrosomes isolated from Drosophila embryos are inactivated by incubation with 2 M KI. The KI-treated centrosomes are allowed to bind to a glass coverslip. The coverslip is washed and blocked with a low-salt, BSA-containing buffer, and then incubated with the extract or fraction to be tested. The extract/fraction is washed away and the coverslip is incubated with rhodamine-labeled tubulin. Any resulting asters are fixed sequentially with glutaraldehyde and methanol. The number of asters per 50 microscope fields (100× objective) is determined by counting samples while viewing through a fluorescence microscope. See Materials and Methods for details.
Figure 2. Examples of complementation of KI-treated centrosomes. The complementation assay was carried out as outlined in Fig. 1 and Materials and Methods. (a) Microtubule asters regrew on buffer-treated centrosomes that were incubated with rhodamine-labeled tubulin at 30°C. (b and c) Microtubules, but no asters, formed when a 228,000 g supernatant from a 0–2 h embryo extract was incubated at 30°C (b) or 0°C (c) on coverslips in the absence of centrosomes, followed by a 30°C incubation with rhodamine-tubulin. (d) When KI-treated centrosomes were incubated with buffer instead of extract, followed by rhodamine-tubulin, few microtubules and no asters formed. (e and f) Asters formed when KI-treated centrosomes were first incubated with extract at 30°C (e) or 0°C (f) and then with rhodamine-tubulin at 30°C. (g) KI- and buffer-treated centrosomes bind consistently to coverslips. The number of centrosomes bound to coverslips under the typical experimental conditions used throughout this study was determined by counting structures that were stained with antibodies against α- and/or γ-tubulin. The average number counted in 50 and 100× microscope fields is shown. Three to five separate experiments were counted for each condition. Bar, 10 μm.
Figure 8. The γTuRC is necessary, but not sufficient for complementation of salt-stripped centrosomes. Complementation tests were carried out as described in Fig. 1 and Materials and Methods. (a) Asters formed when KI-treated centrosomes were incubated with the partially purified large γ-tubulin complex from a Superose-6 column followed by rhodamine-tubulin. (b) Some free microtubules, but no asters formed when the same fraction was incubated without KI-treated centrosomes. (c) KI-treated centrosomes were not complemented by γ-tubulin–depleted extract. (4 asters were counted in 50 100× microscope fields). (d)KI-treated centrosomes were not complemented by immunoaffinity-purified γTuRC, although microtubules could form (6 asters/50 microscope fields). (e) Asters formed after incubation of KI-treated centrosomes with a 1:1 mixture of immunoaffinity-purified γTuRC and γ-tubulin–depleted extract (151 asters/50 fields). (Other ratios of extract to γTuRC were tested; although some activity is still detectable at a 20:1 ratio of extract to γTuRC (data not shown). (f) Microtubules, but no asters formed when a 1:1 mixture of immunoaffinity-purified γTuRC and γ-tubulin–depleted extract were incubated in the absence of centrosomes. Bar, 10 μm.
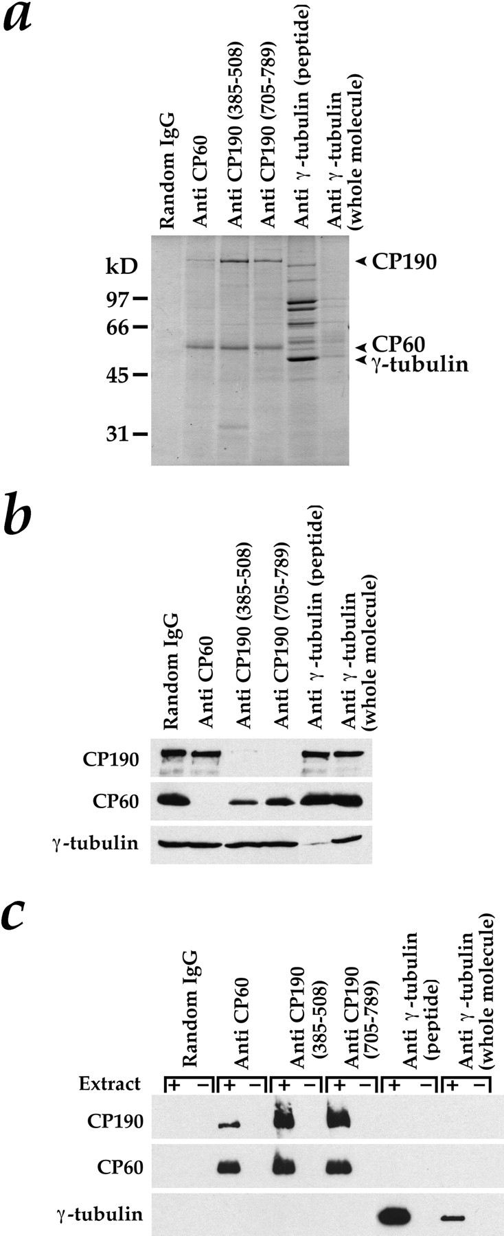
Figure 4. Tests for complex formation by immunoprecipitation. Since Drosophila γ-tubulin is the same size as IgG heavy chain, the immunoprecipitations in a–c were carried out with special care to avoid any IgG contamination in the pellets (see Materials and Methods). (a) Immunoprecipitation pellets after separation by SDS-PAGE on an 11% gel and staining with Coomassie blue. Anti-CP60 immunoprecipitated CP60 and a small fraction of the CP190. Both anti-CP190 antibodies immunoprecipitated CP190 and a large percentage of the CP60. Antibodies to γ-tubulin immunoprecipitated γ-tubulin and a group of γ-tubulin–associated proteins that are components of the Drosophila γTuRC. The anti-γ–tubulin COOH-terminal peptide antibody was much more effective in immunoprecipitations than the antibody made to the whole γ-tubulin molecule. (b and c) Western blots to detect CP190, CP60, and γ-tubulin in immunoprecipitation supernatants (b) and pellets (c). In c, beads were incubated in the presence (+) or absence (−) of extract to control for antibody contamination in the pellets.
Figure 7. (a) The γTuRC partially purified on a 5–40% sucrose gradient complements KI-treated centrosomes. The small γ-tubulin complex does not. 100 μl of the extract that complements KI-treated centrosomes was loaded on a 5-ml 5–40% gradient made in column buffer + 100 mM KCl. See Materials and Methods for details on running and fractionating gradients. Top, immunoblot showing that two γ-tubulin–containing complexes can be separated on a 5–40% sucrose gradient. Bottom, sucrose gradient fractions were tested (Fig. 1) for their ability to complement KI-treated centrosomes and the number of asters that formed in 50 microscope fields was counted. Fractions 11–14, which contain the γTuRC were able to complement KI-treated centrosomes. (b) The γTuRC partially purified by FPLC on a Superose-6 gel-filtration column run in Column buffer + 100 mM KCl complements KI-treated centrosomes. Top, immunoblot showing that two γ-tubulin–containing complexes can be separated by gel filtration. The γTuRC elutes just after the void volume. 50 μl of the extract that complements KI-treated centrosomes was loaded on a 24 ml Superose-6 column. 0.5-ml fractions were collected. The column load (L) and fractions 1–22 are shown. Bottom, column fractions were tested for their ability to complement KI-treated centrosomes (Fig. 1). Fractions containing the γTuRC were able to complement.
Buendia,
Regulation of the microtubule nucleating activity of centrosomes in Xenopus egg extracts: role of cyclin A-associated protein kinase.
1992, Pubmed,
Xenbase
Buendia,
Regulation of the microtubule nucleating activity of centrosomes in Xenopus egg extracts: role of cyclin A-associated protein kinase.
1992,
Pubmed
,
Xenbase Dictenberg,
Pericentrin and gamma-tubulin form a protein complex and are organized into a novel lattice at the centrosome.
1998,
Pubmed
,
Xenbase Doxsey,
Pericentrin, a highly conserved centrosome protein involved in microtubule organization.
1994,
Pubmed
,
Xenbase Félix,
Centrosome assembly in vitro: role of gamma-tubulin recruitment in Xenopus sperm aster formation.
1994,
Pubmed
,
Xenbase Frasch,
Nuclear antigens follow different pathways into daughter nuclei during mitosis in early Drosophila embryos.
1986,
Pubmed Hyman,
Preparation of modified tubulins.
1991,
Pubmed Joshi,
Gamma-tubulin is a centrosomal protein required for cell cycle-dependent microtubule nucleation.
1992,
Pubmed Kalt,
Molecular components of the centrosome.
1993,
Pubmed Kellogg,
CP60: a microtubule-associated protein that is localized to the centrosome in a cell cycle-specific manner.
1995,
Pubmed
,
Xenbase Kellogg,
Identification of microtubule-associated proteins in the centrosome, spindle, and kinetochore of the early Drosophila embryo.
1989,
Pubmed Kellogg,
Purification of a multiprotein complex containing centrosomal proteins from the Drosophila embryo by chromatography with low-affinity polyclonal antibodies.
1992,
Pubmed Kellogg,
The centrosome and cellular organization.
1994,
Pubmed Keryer,
Centriole distribution during tripolar mitosis in Chinese hamster ovary cells.
1984,
Pubmed Klotz,
Parthenogenesis in Xenopus eggs requires centrosomal integrity.
1990,
Pubmed
,
Xenbase Kuntz,
Hydration of macromolecules. IV. Polypeptide conformation in frozen solutions.
1971,
Pubmed Li,
The homeotic target gene centrosomin encodes an essential centrosomal component.
1996,
Pubmed MARTIN,
A method for determining the sedimentation behavior of enzymes: application to protein mixtures.
1961,
Pubmed Mazia,
The chromosome cycle and the centrosome cycle in the mitotic cycle.
1987,
Pubmed Mitchison,
Microtubule assembly nucleated by isolated centrosomes.
,
Pubmed Moritz,
Three-dimensional structural characterization of centrosomes from early Drosophila embryos.
1995,
Pubmed Moritz,
Isolation of centrosomes from Drosophila embryos.
1999,
Pubmed Moritz,
Microtubule nucleation by gamma-tubulin-containing rings in the centrosome.
1995,
Pubmed Oakley,
Gamma-tubulin is a component of the spindle pole body that is essential for microtubule function in Aspergillus nidulans.
1990,
Pubmed Oakley,
Identification of gamma-tubulin, a new member of the tubulin superfamily encoded by mipA gene of Aspergillus nidulans.
1989,
Pubmed Oegema,
The cell cycle-dependent localization of the CP190 centrosomal protein is determined by the coordinate action of two separable domains.
1995,
Pubmed Oegema,
Two proteins that cycle asynchronously between centrosomes and nuclear structures: Drosophila CP60 and CP190.
1997,
Pubmed Raff,
Drosophila gamma-tubulin is part of a complex containing two previously identified centrosomal MAPs.
1993,
Pubmed Siegel,
Determination of molecular weights and frictional ratios of proteins in impure systems by use of gel filtration and density gradient centrifugation. Application to crude preparations of sulfite and hydroxylamine reductases.
1966,
Pubmed Stearns,
Gamma-tubulin is a highly conserved component of the centrosome.
1991,
Pubmed
,
Xenbase Stearns,
In vitro reconstitution of centrosome assembly and function: the central role of gamma-tubulin.
1994,
Pubmed
,
Xenbase Vogel,
Centrosomes isolated from Spisula solidissima oocytes contain rings and an unusual stoichiometric ratio of alpha/beta tubulin.
1997,
Pubmed Vorobjev,
Centrioles in the cell cycle. I. Epithelial cells.
1982,
Pubmed Vorobjev,
The centrosome and its role in the organization of microtubules.
1987,
Pubmed Whitfield,
Cloning of a gene encoding an antigen associated with the centrosome in Drosophila.
1988,
Pubmed Whitfield,
The 190 kDa centrosome-associated protein of Drosophila melanogaster contains four zinc finger motifs and binds to specific sites on polytene chromosomes.
1995,
Pubmed Zheng,
Gamma-tubulin is present in Drosophila melanogaster and Homo sapiens and is associated with the centrosome.
1991,
Pubmed Zheng,
Nucleation of microtubule assembly by a gamma-tubulin-containing ring complex.
1995,
Pubmed
,
Xenbase