|
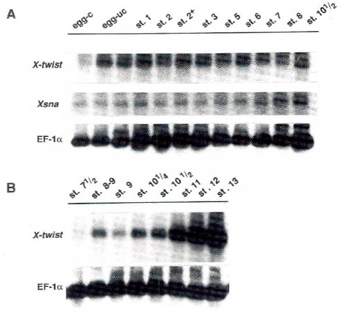
Fig. 1. Temporal early transcript detections of X-twi, Xsna. and EF1-α by RT-PCR amplifications. (A) X-twi transcripts are detected as a 350bp fragment in unfertilized eggs, and then in embryos from early stage 1 (st.1) onwards to gastrula (Sf. 10 1/2) (40 min exposure time). Xsna transcripts are detected as a 450bp fragment almost at constant level throughout all stages tested from unfertilized eggs to stage 7 embryos (20 min exposure time). EF1-α transcript amplification was used as a control for quantification (20 min exposure time). All those experiments were performed in parallel on the same RNA samples. egg-c: RNA extracted from dejellied eggs. egg-uc : RNA extracted from unjellied eggs. (81 Detailed analysis of X-twi expression prior to and just after gastrulation stage confirms that X-twi transcripts are significantly detected prior to gastrulation. EFt--α transcript amplification on the same RNA samples is shown below. |
|
Fig. 2. X-twi expression at stages 6' /2-7 and 11 1/2. (A-1 and A-2) Transverse sections of a stage 6'/} embryo (A-I) and through a stage 7 embryo (A-2) which had been hybridized with the antisense digoxigenin-labeled probe. The X-twi transcripts are detected in bfastomeres from animal region. Notice that the transcripts are restricted towards the ventral part of the outermost animal blastomeres, and in the facing cytoplasm of the blastomeres that form the second row of eel/s. (A-3) Transverse section of a stage 6/7 embryo which had been hybridized in parallel with the sense digoxigenin-Iabeled probe. No meaningful staining could be detected within all the sections. (B.1) On a stage 11' 1/2 whole embryo, Xtwi transcripts are seen in the dorsal/posterior region above the dorsal blastopore (antisense probe: embryo to the left). The control embryo (sense probe) is shown on the right: no signal is detected in it. (B-1') Schematic drawing of the embryo hybridized with the antisense probe, with the plan of the sections. (B-2 and B.2') Sagittal sections show the detectable X-twi RNA in the involuted presumptive chorda-mesoderm cells. ani, animal pole; Arc. F., archenteron floor; Arc. R., archenteron roof. 0, dorsal region; Mes., involuted presumptive chordo-mesodermal cells,- SLN, sensorial layer of the neurectoderm; V, ventral region; veg, vegetative pole. Bar, 100 mm. |
|
Fig. 3. X-twi expression at stage 13/14. IA) Stage 13/14 embryos exhibit an anchor-shaped distribution of X-twi transcripts in their antero-dorsal region. (A') Schematic drawing of the embryo with the plan of different sections. (B-1 to B-4) On serial transverse sections, the most antero-Iateral label is located within the SLN and the prechordal mesoderm (B-1 and B-2); more caudally, the X-twi transcripts are also located within the dorsal layer of the lateral mesoderm (B-3) and finally, within the posterior regions, X-twi RNA are mainly restricted to the forming notochord (B-4). (C-1 to C-6) Higher magnifications of the transverse sections point towards the restricted location of the X-twi transcripts in the prechordal mesoderm and SLN (C~1 and C-2), the forming notochord (C-3 to C-6), the SLN (C-2 and C-3), the lateral plate mesoderm (C-3 to C- 6) and its exclusion from the somitogenic mesoderm (C-3 and C-4). Ant., anterior region; Endo., endodermal cells; lat. Mes., lateral plate mesoderm; Not., notochord; pch. Mes., prechordal mesoderm; so. Mes., somitogenic mesoderm; Post., posterior region; SLN, sensorial layer of the neurectoderm. Bar, 100 mm. |
|
Fig. 4. X-twi expression at stage 16/17. (A)A dorsal-anterior view of two embryos shows massive accumulation of X-twi transcripts within the neural crest cells. (A') Schematic drawing of the embryo, with the plan of different sections (B-1 to B-4) Transverse sections through the embryo (anterior to posterior) show X-twi transcripts in the SLN (B-1), and in the neural crest cells, the Inner layer of the neural floor, in the dorsal part of the notochord and of the somites (B-2 to 8-4), and more weakly in the lateral mesoderm on more caudal sections (B-3 and 8-4). (C-1 to C-4) Serial sections from anterior to posterior regions of another embryo at the same stage illustrate the restricted location of X-twi in the somitogenic mesoderm. Ant., anterior region; so. Mes., somltogenic mesoderm; lat. Mes., lateral plate mesoderm; NC, neural crest ceffs; Not., notochord; Post., posterior region; SLN, sensorial layer of the neurectoderm. Bar, 100 mm. |
|
Fig. 5. X-twi expression at stage 22/23. (A) On a whole-mount lateral view of a stage 22/23 embryo, Xtwi transcripts are located in the migrating neural crest cells in the cephalic region and along the anterior/posterior dorsal axis of the embryo. (A') Schematic drawing of the embryo with the plan of different sections. (1 to 7) Frontal sections show that X-twi transcripts are located within the migrating neural crest cells of the head (1 to 5). The somitic mesoderm contains also X-twi transcripts (6 and 7), with a higher level of transcripts within the dermatome region of the anterior differentiated somites (6). Ant., anterior region; Br. A., branchial arch ceffs. De., dermatome. Mes., mesodermal celfs; so. Mes., somitogenic mesoderm; NC, migrating neural crest celfs; Not., notochord; Pose posterior region. Bar, 100 mm |
|
Fig. 6. X.twi expression at stage 29/30. (A) On a whole-mount lateral view of a stage 29/30 embryo, a high X-twi transcript accumulation is seen within the branchial arches and to a lesser extent along the entire dorsal region. (A') Schematic drawing of the embryo with the plan of different sections. (B-1 to 8.6) Fronta! sections show that X-twi transcripts are located within the branchial arch cells in the head region (B-1 to 8-4), in the dorsal part of the neural tube (B-1 and 8.2), and in the somites (B-1 to B-5). (C., to C-4) Higher magnifications of some sections point towards X-twi accumulation in the first visceral arches (C-1), the anterior somites (C-3)and the posterior mesoderm (C-4). There are very weak amounts of X-twi transcripts in part of the heart anlage (C-2). Br. A., branchial arch cells; Mes., mesodermal cells. Bar, 100 mm. |
|
Fig. 7. X-twi expression at stage 35/36. Frontal serial sections show that X-twi transcripts are abundant within the ventral part of the first visceral arches and the forming heart (A-1 to B-2); they are less abundant in the anterior somites than in the posterior ones (C-1 to C.3); X-twi transcripts are also detected in parts of the otic and optic vesicles (D-1 to D-3) and in parts of the neural tube (D.4). E, schematic drawing of the embryo with the plan of different sections; Ant., anterior region; Br. A., cells of visceral arches II and III; Mes., mesodermal cells; Post., posterior region. Bar, 100 mm. |
|
Fig. 8. X-twi expression in dorsalized and ventralized embryos. (A and B) Whole-mounts of UV ventralized embryos at equivalent stages 23/24 (A) and 32/33 (B) respectively. (C) Whole-mount of a LiCI dorsalized embryo at equivalent stage 29/30. In all cases, X-twi transcripts are restricted to one pole of the embryo. (A-1 to C-3) Transverse sections through ventralized and dorsalized embryos show that X-twi transcripts are in the cell layers that could be equivalent to the SLN and the facing mesodermal layer of normally developing embryos. Sections A-1 to A-3 correspond to embryo A, sections B-1 to B-3 to embryo B. and sections C-l to C-3 to embryo C. On drawings, the plan of different sections are presented. Mes., mesodermal cells; NC, neural crest cells; NT. neural tube; SLN. sensorial layer of the neurectoderm. Bar, 100 mm. |