Click here to close
Hello! We notice that you are using Internet Explorer, which is not supported by Xenbase and may cause the site to display incorrectly.
We suggest using a current version of Chrome,
FireFox, or Safari.
???displayArticle.abstract???
Expression of genes up-regulated by thyroid hormone (TH) during amphibian tail resorption was localized by in situ hybridization. The constitutive thyroid hormone receptor (TRalpha) and its heterodimeric partners (RXRalpha and RXRbeta) are expressed ubiquitously in the resorbing tail. A group of early response genes, including those encoding transcription factors, are expressed at greatest levels within tissues whose cells attempt to grow and differentiate in the tail, but eventually succumb to the resorption program. The TH-inducible TR isoform, TRbeta, is expressed ubiquitously in the tail, but especially high in fibroblasts. Similarly, a group of delayed response genes including two proteolytic enzymes that appear to execute the tail resorption program, is expressed specifically in fibroblasts that line and surround the notochord and lie beneath the epidermal lamella (subepidermal fibroblasts). During active tail resorption these fibroblasts invade their neighboring epidermal and notochordlamellae as part of the resorption process. Expression analysis implicates the single layer of invasive subepidermal fibroblasts as crucial in tail resorption. Stromelysin-3 is up-regulated by TH with early kinetics, and is expressed most actively in fibroblasts within the tail fins. None of the proteases are expressed in the tadpoleepidermis, which will be replaced entirely during metamorphosis. While very few TH response genes are expressed in tadpolemuscle, many are activated in fibroblasts that surround muscle and could induce muscle cell death by proteolysis of the extracellular matrix. These distinct localization patterns suggest that the common fate of all cell types within the tail is the result of multiple genetic programs.
FIG. 1. Morphological changes during tail resorption. Wild-type tadpoletail cross sections stained with hematoxylin and eosin. (A) Stage
62, (B) late stage 63, (C) late stage 64. Black dots, especially in C are melanocytes of the wild-type tadpole. In B, boxes surround the interior
(I) and exterior (E) regions from which higher magnification images are taken for subsequent figures. Scale bars, 1 mm. Higher magnification
(375) shows (I) the fibroblasts comprising the notochord sheath (NcS) that surround the notochord, and (E) the single cell layer of
subepidermal fibroblasts (SEF). Abbreviations: CT, connective tissue of the fins; SC, spinal cord; M, muscle; Ep, epidermis; Nc, notochord.
FIG. 2. In situ hybridization with antisense probes of TRa (AâC) and TRb (DâF) demonstrates their ubiquitous expression in stage 63
tadpole tail cross sections. (A, D) Exterior section showing epidermis (Ep), epidermal collagen lamella (ECL), subepidermal fibroblasts (SEF),
and underlying muscle (M). (B, E) Interior section showing notochord (NC), notochord collagen lamella (NcL), notochord sheath (NcS) and
adjacent tissue. (C, F) Interior section showing spinal cord (SC). Scale bars, 50 mm.
FIG. 3. Genes of the early response class are expressed in all cell types except differentiated muscle as demonstrated by in situ
hybridization of antisense xBTEB in stage 63 tail cross sections. (A) Composite of entire tail cross section. Scale bar, 200 mm. (B) Exterior
section. (C) Interior section. Scale bars, 100 mm in B and C.
FIG. 4. BrdU labeling detects proliferating cells in (A) the epidermis,
subepidermal fibroblasts and cells between the muscle and in
(B) the spinal cord, but not in the notochord and notochord sheath
in a stage 63 cross section. Scale bars, 100 mm.
FIG. 5. Genes of the delayed response gene class are expressed in fibroblasts as demonstrated by in situ hybridization of collagenase-3
antisense probe in stage 63 tail cross sections. (A) Composite of entire tail cross section. Scale bar, 400 mm. (B) Exterior section. (C) Interior
section taken with Nomarski optics. Scale bars, 100 mm in B and C.
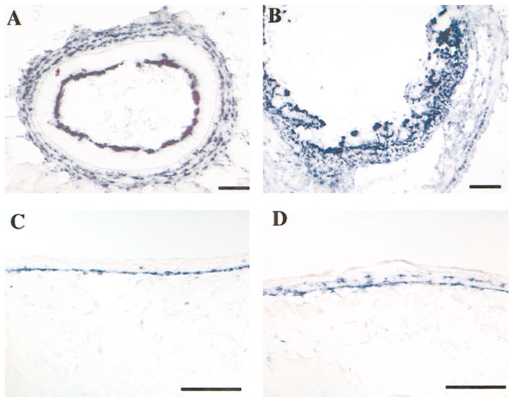
FIG. 6. Invasion of proteolytic enzyme expressing fibroblasts into their neighboring lamellae. (A, B) In situ hybridization of tail cross sections
with collagenase-3 antisense probe. (A) Stage 63 notochord. (B) Stage 64 notochord. (C, D) Late stage 63/early stage 64 subepidermal fibroblasts
and overlying epidermal lamella hybridized with integrin a-1 antisense probe. (C) Side muscle flank which has not yet been invaded; (D) dorsal
fin where the invasion of the epidermal lamella begins. Scale bars, 100 mm. Images in C and D were taken with Nomarski optics.
FIG. 7. In situ hybridization of tadpoletail cross sections. (A) Composite with stromelysin-3 antisense probe at late stage 62, just
preceding fin resorption. Scale bar, 200 mm. (B) Composite of gene B antisense probe at stage 63. Arrowheads delineate myosepta. Scale bar,
400 mm. (C, D) Peak expression of deiodinase at stage 61 in tissues that will subsequently up-regulate the delayed response genes as
deiodinase levels drop. (C) Exterior section, (D) interior section. Scale bars, 100 mm in C and D.
FIG. 8. (A, B) In situ hybridization of stage 63 cross sections. (A) Exterior section showing expression of gene 5 exclusively in subepidermal
fibroblasts. (B) Interior section demonstrating the absence of gene 5 expression. Sketch of stage 62 tadpole (Nieuwkoop and Faber, 1956)
showing the locations (CâE) in the tadpole where the three planar images were photographed. (CâE) In situ hybridization with a mixture
of antisense probes of both adult keratin and gene 5 in stage 62 planar sections across the body and tail, arrows point out adult keratin (AK)
and gene 5 expression. Sections in CâE are oriented anterior to posterior from left to right. Scale bars, 100 mm.