|
Fig. 1. Gross morphologies and histological sections of the normal blastema (AâC), denervated blastema (DâF) and lateral wound healing (GâI). Longitudinal sections at 4 days (Aâ², Dâ², G), 7 days (Bâ², Eâ², H) and 10 days (Câ², Fâ², I) after surgical operations. Panels A, B, D, E and F are high-power views of boxed regions in panels Aâ²âFâ², respectively. (AâF) At 4 days, the normal blastema (A, Aâ², A) and denervated blastema (D, Dâ², D) showed similar morphology, a population of blastemal cells having formed under the thickened WE. At 7 days, although the WE had become thinner and a great mass of blastemal cells had accumulated in the normal blastema (B, Bâ², B), the denervated blastema (E, Eâ², E) still had a thickened WE, and a large number of fibroblast cells were observed. At 10 days, outgrowth of the blastema was observed in the normal limb (C, Câ²), but the morphology of the denervated blastema remained similar to that at 7 days, and a differentiated dermis had formed (F, Fâ², F, compare with E). (GâI) The lateral wound healing had morphology similar to that the denervated blastema. At 4 days (G), a population of mesenchymal cells and an overlying epidermis were observed, but, at 7 days, fibrous tissue had mainly formed (asterisk in panel H). At 10 days, differentiated dermis had covered most of the fibrous tissue as in the denervated blastema. Scale bars = 200 μm. |
|
Fig. 2. Visualization of axons by immunostaining for acetylated tubulin (green) and DAPI (blue) in the normal blastema (AâD), denervated blastema (E, F) and lateral wound healing (G, H) at 4 days (A, B, E, G), 7 days (C, H) and 10 days (D, F). All sections are longitudinal sections. In the normal blastema, several nerve fibers had entered the space beneath the wound epidermis at 4 days (A, B). Arrows in panel A indicate bundles of axons detected in the stump, and images in panel B (DAPI staining in blue is omitted) are high-power views of boxed regions in panel A. Up to 10 days, nerve fibers entering the blastema increased in number (C, D). In the denervated blastema, very few nerve fibers were observed until 10 days (E, F). In lateral wound healing, while few nerve fibers were observed under the newly formed epidermis at 4 days (G), several nerve fibers had entered by 7 days (H). Scale bars = 200 μm. |
|
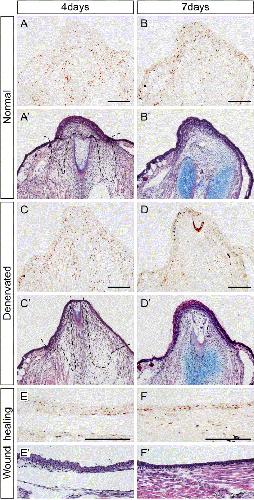
Fig. 3. Detection of proliferative cells in the normal blastema (A, B), denervated blastema (C, D) and lateral wound healing (E, F) by immunostaining for BrdU (red) after 1 h of BrdU incorporation. Panels Aâ²âFâ² are serial sections of panels AâF, stained with hematoxylin, eosin and Alcian blue. Dotted lines in Aâ², Câ² represent the boundary between blastema-like dedifferentiated cells and mature tissues. All sections are longitudinal sections. Scale bars = 200 μm. |
|
Fig. 4. Detection of apoptotic cells in the normal blastema (A, D, G), denervated blastema (B, E, H) and lateral wound healing (C, F, I) by basic TUNEL assay (green). Panels DâF are counterstained with antibodies against MyHC (purple) and DAPI (blue). Note that, at 4 days, a large number of apoptotic cells were largely detected in denervated blastemal cells (B), while a smaller number of localized apoptotic cells were detected in the peripheral region in normal blastema (A) and lateral wound healing (C). All sections are longitudinal sections. Scale bars = 200 μm. |
|
Fig. 5. Expression patterns of Tbx5 and Prx1 in the normal blastema (A, E, I, L), denervated blastema (B, F, J, M, P, Q) and lateral wound healing (C, D, G, H, K, N) at 4 days (AâH) and at 7 days (IâQ). All sections are longitudinal sections. For 4 days lateral wound healing (C, D, G and H), the center of the wound is exhibited in panels C and G and the marginal region in panels D and H. Dotted lines in panels D and H indicate the boundary between the mature skin (left side) and the wound (right side). At 4 days, strong expression of Tbx5 was found in blastemal cells and periosteum both of the normal (A) and the denervated (B) blastemas. However, this Tbx5 expression was considerably reduced in the denervated blastema at 7 days (J, compare to that in the normal blastema at 7 days (I)). In lateral wound healing, Tbx5 was also expressed in mesenchymal cells at the center (C, arrowheads) and margin (D, arrowheads) of the wound at 4 days but was downregulated at 7 days (K). (EâH, LâN) Expression pattern and change in Prx1 are similar to those of Tbx5. (OâQ) High-power views of the expression patterns of Tbx5 and Prx1 in the denervated blastema at 7days. Panel O represents a serial section of panels P, Q, stained with hematoxylin and eosin. Dotted lines in panels OâQ represent the boundary between round cells (arrows) and flattened fibroblastic cells. Scale bars = 100 μm. |
|
Fig. 6. Expression patterns of Fgf8, Fgf10 and Msx1 in the normal blastema (A, B, E, F, I, J) and denervated blastema (C, G, K) and the lateral skin wound (D, H, L) at 4 days (A, E, I) and at 7 days (BâD, FâH, JâL) after operation. In the normal blastema at 4 days post-amputation, Fgf8 (A), Fgf10 (E) or Msx1 (I) expression was not detectable, but, at 7 days, Fgf8 (arrowheads in B) expression in the wound epidermis and Fgf10 (F) and Msx1 expression (J) in the blastemal cells were detected. All of the three genes were undetectable in denervated blastemas (C, G, K) and the lateral skin wound (D, H, L) at 7 days. Scale bars = 200 μm. |
|
Fig. 7. Schematic representations of the early process of blastema formation during limb regeneration and lateral wound healing in X. laevis. (A) Summary of cellular and molecular responses to limb amputation, denervation and wounding in froglet forelimbs. (B) A schematic model for the early process of blastema formation in froglet forelimbs. See text for details. |