Click here to close
Hello! We notice that you are using Internet Explorer, which is not supported by Xenbase and may cause the site to display incorrectly.
We suggest using a current version of Chrome,
FireFox, or Safari.
???displayArticle.abstract???
Neurotransmitters regulate neuronal function in the nervous system and modulation of their synthesis, release, and binding by immature neurons and their targets is a major part of nervous system development. We propose that the neurotransmitter noradrenaline regulates neuronal fate during neurulation, before neurons have differentiated. The ability of noradrenaline to induce a neural fate was tested in naive ectoderm caps cut from late blastula stage Xenopus embryos. Noradrenaline (10(-6) M) did not switch on otx-2 or NCAM and did not induce the formation of cement glands. We conclude that noradrenaline cannot induce a neural fate. By contrast, 10(-8) M noradrenaline activated N-tubulin in ectoderm caps expressing the neural inducing molecule noggin by the time intact siblings had become mid-neurulae. Methoxamine, a specific alpha-adrenergic receptor agonist, also activated N-tubulin in noggin-expressing caps. The alpha-adrenergic receptor blocker prazosin inhibited both noradrenaline- and methoxamine-induced activation of N-tubulin. The neurotransmitters dopamine and 5-HT did not activate expression of N-tubulin. XA-1, Otx-2, X-Delta, and Xotch transcripts were not sensitive to noradrenaline. HoxB9, which indicates posteriorization, was not activated by noradrenaline. When intact siblings were at stage 27, many cells in noggin-expressing, noradrenaline-treated caps were stained by the neuron-specific mcAb3A10. We propose that noradrenaline is an important endogenous modulator of neuronal fate, driving noggin-expressing cells to become neurons by binding to alpha-adrenergic receptors and activating a cascade that culminates in the expression of the neuronal markers N-tubulin and 3A10.
FIG. 1. Noradrenaline is not a primary neural inducer. Ectoderm caps from late blastula stage embryos treated with noradrenaline and
assayed at stage 17 (A) or stage 12/13 (B, C). E, intact embryos. C, ectoderm caps. NA, ectoderm caps treated with noradrenaline. n,
noggin-expressing caps. n/NA, noggin caps treated with noradrenaline. (A) Noradrenaline does not induce expression of NCAM in naive
ectoderm caps. (B) NA induces XA-1, but this is not prevented by prazosin. (C) NA does not induce Otx-2.
FIG. 2. Noradrenaline induction of N-tubulin in noggin-expressing caps is prevented by the a-adrenergic receptor blocker prazosin. NA
(102 6 M): (A) stage 30, (B) stage 17. (C) NA (1027 M), stage 17. (D) Dose–response relationship for induction of N-tubulin by noradrenaline.
Note that 1028 MNA is sufficient.
FIG. 3. 5-HT (A) and dopamine (B) do not induce N- tubulin. The
a-adrenergic agonist methoxamine (M) induces N-tubulin and this
induction is blocked by prazosin (C).
FIG. 4. Noradrenaline does not influence expression of Xotch (A),
X-Delta (B), or HoxB9 (C).
FIG. 5. At stage 17, N-tubulin-expressing cells are not uniformly distributed in noggin-expressing, noradrenaline-treated ectoderm
caps. (A) noggin-expressing ectoderm caps do not express N-tubulin. (B, C) Noradrenaline (1026 M) induces expression of N-tubulin. Cells
in the outer layer do not express N-tubulin and N-tubulin-expressing cells are not distributed uniformly. The high-power image in C shows
that N-tubulin-expressing cells are interspersed with nonexpressing cells. Bar 5 160 mm for A and B and 480 mm for C.
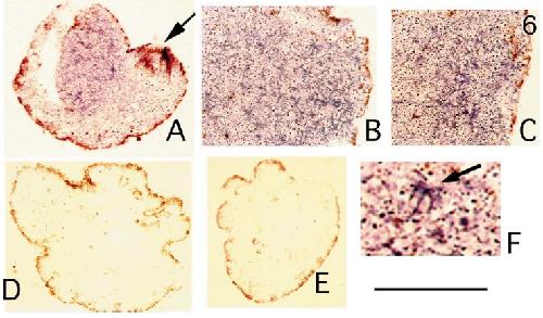
FIG. 6. At stage 27, noradrenaline-treated noggin caps contain many N-tubulin-expressing cells. (A–C) noggin caps treated with 1026 M
noradrenaline. (A) Low-power image to show typical internal organization of Na-treated caps. The N-tubulin-expressing cells are concentrated
in one region of the cap. The cement gland (arrowed) lies to one side, in a region where the majority of cells do not express N-tubulin. (B, C)
Sections through two other 1026 MNa-treated noggin caps photographed at higher power to show the organization of N-tubulin-expressing cells.
Note that even in regions where N-tubulin-expressing cells are at high density, not all cells express N-tubulin. (D) noggin cap treated with 1026
MNA and prazosin. This is an example of a cap where prazosin abolished completely the ability ofNAto induce N-tubulin expression. (E) noggin
cap that had not been treated with NA. Untreated noggin caps never contained N-tubulin-positive cells. The scattered dark cells apparent in D
and E are pigmented. (F) High-power image to show the stellate shape of N-tubulin-expressing cells (arrow) within the noradrenaline-treated cap.
Bar 5 200 mm for A, D, and E, 125 mm for B and C, and 40 mm for F.
FIG. 7. mcAb3A10 staining reveals that by stage 27 noradrenalinetreated,
noggin-expressing caps contain neurons. (A, B, C) noggin caps
treated with 1026 M noradrenaline. 3A10-positive cells are present at
high density with many short neurites. In A and C the region
containing most neurites lies between the arrows. (D) noggin cap
treated with 1027 Mnoradrenaline. The density of 3A10-positive cells
is reduced, although neurites are clearly visible (arrow). A substantial
proportion of the cap does not contain 3A10-positive cells. (E) Part of
noggin cap treated with 1026 M noradrenaline and prazosin. The only
3A10-positive cells are present in a small part of the cap (arrows). (F)
A noggin-expressing cap that had not been treated with noradrenaline.
3A10-positive cells are absent. Each image shows a projection through
the frozen section constructed from six stacked 2-mmoptical sections.
Bar 5 100 mm. (G) Neural tubemarginal zone in an intact Xenopus
embryo stained with 3A10. Note dense neurite staining with some
neurites coursing into surrounding tissues (e.g., arrows). Single 4-mm
optical section. Bar 5 50 mm.