Click here to close Hello! We notice that you are using Internet Explorer, which is not supported by Xenbase and may cause the site to display incorrectly. We suggest using a current version of Chrome, FireFox, or Safari.
XB-ART-1361
Dev Biol 2005 Oct 15;2862:483-92. doi: 10.1016/j.ydbio.2005.08.020.
Show Gene links Show Anatomy links

Uroplakin III, a novel Src substrate in Xenopus egg rafts, is a target for sperm protease essential for fertilization.

Mahbub Hasan AK, Sato K, Sakakibara K, Ou Z, Iwasaki T, Ueda Y, Fukami Y.


???displayArticle.abstract???
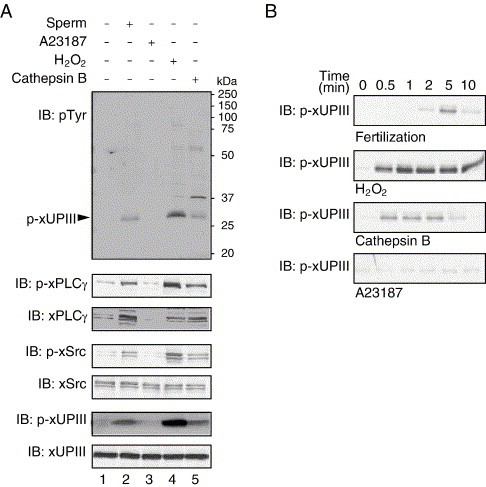
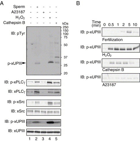
In a previous study, we identified Xenopus egg uroplakin III (xUPIII), a single-transmembrane protein that localized to lipid/membrane rafts and was tyrosine-phosphorylated upon fertilization. An antibody against the xUPIII extracellular domain abolishes fertilization, suggesting that xUPIII acts not only as tyrosine kinase substrate but also as a receptor for sperm. Previously, it has been shown that the protease cathepsin B can promote a transient Ca2+ release and egg activation as seen in fertilized eggs (Mizote, A., Okamoto, S., Iwao, Y., 1999. Activation of Xenopus eggs by proteases: possible involvement of a sperm protease in fertilization. Dev. Biol. 208, 79-92). Here, we show that activation of Xenopus eggs by cathepsin B is accompanied by tyrosine phosphorylation of egg-raft-associated Src, phospholipase Cgamma, and xUPIII. Cathepsin B also promotes a partial digestion of xUPIII both in vitro and in vivo. A synthetic xUPIII-GRR peptide, which contains a potential proteolytic site, inhibits the cathepsin-B-mediated proteolysis and tyrosine phosphorylation of xUPIII and egg activation. Importantly, this peptide also inhibits sperm-induced tyrosine phosphorylation of xUPIII and egg activation. Protease activity that digests xUPIII in an xUPIII-GRR peptide-sensitive manner is present in Xenopus sperm. Several protease inhibitors, which have been identified to be inhibitory toward Xenopus fertilization, are shown to inhibit sperm-induced tyrosine phosphorylation of xUPIII. Uroplakin Ib, a tetraspanin UP member, is found to be associated with xUPIII in egg rafts. Our results highlight novel mechanisms of fertilization signaling by which xUPIII serves as a potential target for sperm protease essential for fertilization.

???displayArticle.pubmedLink??? 16168405
???displayArticle.link??? Dev Biol


Species referenced: Xenopus
Genes referenced: cdk20 ctsb mapk1 src upk3a


???attribute.lit??? ???displayArticles.show???