Click here to close
Hello! We notice that you are using Internet Explorer, which is not supported by Xenbase and may cause the site to display incorrectly.
We suggest using a current version of Chrome,
FireFox, or Safari.
???displayArticle.abstract???
Imitation Switch (ISWI) is a member of the SWI2/SNF2 superfamily of ATP-dependent chromatin remodelers, which regulate transcription and maintain chromatin structure by mobilizing nucleosomes using the energy of ATP. Four distinct ISWI complexes have been identified in Xenopus oocytes. The developmental role of Xenopus ISWI, however, has not previously been investigated in vivo. Here we report the tissue specificity, developmental expression, and requirement of ISWI for development of Xenopus embryos. Whole mount in situ hybridization shows ISWI localized in the lateral sides of the neural plate, brain, eye, and in later stages, the spinal cord. Injection of antisense ISWI RNA, morpholino oligonucleotides or dominant-negative ISWI mutant mRNA into fertilized eggs inhibits gastrulation and neural fold closure. Genes involved in neural patterning and development, such as BMP4 and Sonic hedgehog (Shh), are misregulated in the absence of functional ISWI, and ISWI binds to the BMP4 gene in vivo. Developmental and transcriptional defects caused by dominant-negative ISWI are rescued by co-injection of wild-type ISWI mRNA. Inhibition of ISWI function results in aberrant eye development and the formation of cataracts. These data suggest a critical role for ISWI chromatin remodeling complexes in neural development, including eye differentiation, in the Xenopus laevis embryo.
???displayArticle.pubmedLink???
16169710 ???displayArticle.link???Mech Dev ???displayArticle.grants???[+]
Fig. 1. Whole mount in situ hybridization of Xenopus embryos with a 343Â bp ISWI digoxigenen-labeled probe. AâJ: Corresponding dorsal and leftlateral views of stage 18 (AâB), 24 (CâD), 26 (EâF), 28 (GâH) and 33 (IâJ) embryos showing expression of ISWI in regions of the neural tube, brain, and optic vesicles. All embryos are oriented with the anterior end towards the left side of the figure. nf, neural fold; nt, neural tube; ov, optic vesicle; ot, otic vesicle; oc, optic cup; br, brain; ba, brachial arches; hm, hypaxial muscles. Scale bar equals 1Â mm.
Fig. 2. Xenopus laevis embryos injected with antisense ISWI RNA or anti-ISWI morpholino. AâC: Embryos photographed when control-injected embryos reached approximately stage 20â22. Embryos were injected with either 80Â ng control morpholino (A), 4Â ng of antisense ISWI RNA (B; representative of phenotype observed for injection of 2 and 10Â ng as well) or 80Â ng anti-ISWI morpholino (C; also representative of other of 40 and 160Â ng morpholino inections). DâF: Whole mount in situ hybridization of stage 12 (D), 13 (E) and 14 (F) embryos with the ISWI probe described in Fig. 1, showing early differential expression of ISWI. These are dorsal views with the anterior to the left side of the figure. Black dashes indicate the midline for each embryo. GâH: Embryos injected with 80Â ng of either control morpholino (G) or anti-ISWI morpholino (H). The embryo in H represents one of the very few embryos to survive the initial gastrulation defect at high morpholino concentrations. I: Western blot showing reduced levels of ISWI protein in embryos injected with 10Â ng of ISWI antisense RNA (left), or 80Â ng anti-ISWI morpholino (right), compared to control embryos injected with nanopure water or control morpholino (80Â ng), respectively. Antibody against E-cadherin (E-cad) is used as a loading control.
Fig. 3. RT-PCR of tissue-specific genes in anti-ISWI morpholino-injected embryos. Total RNA was collected from embryos at the specified stages and real-time RT-PCR was performed with specific neural gene primers. (A). Products of RT-PCR reactions. EF1α was tested at stages 10, 12, 13, 15, 18 and 20. The stage 13 data is shown and is representative of all stages tested. Other genes shown were analyzed at the following stages: BMP4, stage 10/11; Sox9 and Shh, stage 13; Pax6 and MyoD, stage 15/16; HoxB9, stage 18/20. (B). Quantitative data from real-time RT-PCR, showing the level of expression (as percentages) of each gene compared to the levels in control-injected embryos. Each bar represents the average from a minimum of three injection experiments. Standard errors are shown. (C). Representative slot blots of chromatin immunoprecipitations with anti-ISWI antibody. Chromatin was extracted from stage 12/13 embryos; comparable results were obtained with later stages. Left panel was probed for BMP4, right panel was probed for MyoD. (D). Average enrichment of ISWI at BMP4 in uninjected and anti-ISWI MO-injected embryos (80 ng) (stage 12/13). Standard errors are shown.
Fig. 4. An ATPase mutant of ISWI acts as a dominant negative in vivo. (A). The conserved lysine in the Xenopus ISWI ATPase domain, which is essential for ISWI's catalytic activity, was located and mutated to an alanine. An alignment of Xenopus, human, and Drosophila ISWI homologs shows the relevant region, with the invariant lysine (K) shown in red. (B). Injection of 10 ng DN-ISWI mRNA recapitulates the gastrulation defect observed in antisense- or anti-ISWI morpholino-injected embryos (bottom panel). Top panel shows a control embryo injected with 10 ng GFP mRNA. (C). Failure of brain development in DN-ISWI mRNA-injected embryo (bottom); compare to stage 45 embryo from same egg clutch injected with GFP mRNA (top). (D). Cataract development in stage 43 embryo injected with DN-ISWI mRNA (bottom; gray spot in center of eye); control GFP mRNA-injected embryo is shown above. (E). Quantitative data from real-time RT-PCR, showing the level of expression (as percentages) of each gene compared to the levels in control-injected embryos. The green bars (âDNâ) represent data from embryos injected with 5 ng DN-ISWI mRNA, the blue bars (ârescueâ) represent embryos co-injected with 5 ng each of DN-ISWI and wild-type ISWI mRNA. Genes shown were analyzed at the following stages: BMP4, stage 10/11; Sox9 and Shh, stage 13; Pax6 and MyoD, stage 15/16. Each bar represents the average from three injection experiments. Standard errors are shown.
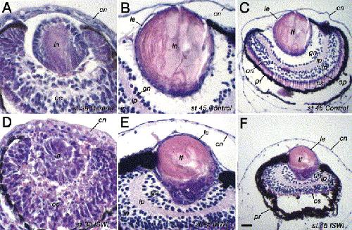
Fig. 5. Cross-sections through normal control and defective eyes in ISWI morpholino knockdown embryos. (A). Normal stage 38 eye showing optic cup, lens and cornea. Note presence of large central, primary lens fiber cell ânucleusâ and additional secondary lens fiber cells at the periphery of the lens. (BâC). Corresponding high and low magnification views of the normal eye in a stage 45 animal. Note large mass of enucleated lens fiber cells and thin nucleated lensepithelium. Also note normal arrangement of differentiated cell layers within the eye cup. D. Stage 38 ISWI morpholino knockdown eye. Note that the lens is more poorly developed compared to (A) and contains a much smaller mass of primary lens fiber cells. Other lens and retinal cells appear to be more highly rounded. EâF. Corresponding high and low magnification views of the stage 45 ISWI morpholino knockdown eye. Note presence of large basophilic, nucleated cell mass (cataract) on the posterior surface of the lens (asterisk). Defects are also apparent in the development of the retinal layers (see text for further details). Cn, cornea; gn, ganglion layer; in, inner nuclear layer; ip, inner plexiform layer; le, lensepithelium; lf lens fiber cells; ln, lens; oc, optic cup; on, outer nuclear layer; op, outer plexiform layer; os, rod and cone outer segments; pr, pigmented retinal epithelium. Scale bar equals 25 μm for AâB and DâE, 50 μm for C and F.