Click here to close
Hello! We notice that you are using Internet Explorer, which is not supported by Xenbase and may cause the site to display incorrectly.
We suggest using a current version of Chrome,
FireFox, or Safari.
???displayArticle.abstract???
The homeobox gene Otx2 is expressed during gastrulation in the anterior domain of the vertebrate embryo and is involved in neural and head induction during Xenopus early development. It also prevents convergent extension movements in trunk and posteriormesoderm. Insulin-like growth factors (IGFs) were shown to have similar function. However, whether they interact and the mechanism by which they affect convergent extension remain unclear. We show that IGF pathway specifically induces the expression of Otx2 in the early gastrula and blocks convergent extension of neuroectoderm and mesoderm through the transcriptional activation of Otx2 gene. Otx2 represses the expression of Xbra and Xwnt-11, and the effects of IGF on gastrulation movements can be partially rescued by antisense Otx2 morpholino oligonucleotide. These indicate that IGF pathway interacts with Otx2 to restrict Xbra and Xwnt-11 expression in the trunk and posterior regions. Consistent with this, we show that inhibition of IGF signaling or Otx2 function induces Xbra and Xwnt11 expression and convergent extension in ectodermal cells. Furthermore, the blockade of convergent extension by IGF-I and Otx2 can be rescued by coexpression of Xwnt-11 or a constitutively active Jun N-terminal kinase (JNK). Because Xbra and Xwnt-11 are required for convergent extension movements and Xwnt-11 activates the non-canonical Wnt-11/JNK pathway, our results reveal a mutually exclusive function between IGF and Wnt-11/JNK pathways in regulating cell behaviours during vertebrate head and trunk development.
???displayArticle.pubmedLink???
16169711 ???displayArticle.link???Mech Dev
Fig. 2. IGF-I and Otx2 specifically block expression of Xbra and Xwnt-11 in vivo. Embryos at 4-cell stage were injected with synthetic mRNAs corresponding to IGF-I and Otx2 in the two dorsal blastomeres near the equatorial region. They were cultured to early gastrula (AâL) or late gastrula (MâR) stage for whole-mount in situ hybridization. (A) Xbra is expressed in the entire marginal zone mesoderm in the control embryo. (B) Dorsal injection of IGF-I blocked Xbra expression near injection sites. (C) Dorsal overexpression of Otx2 also blocked Xbra expression. Coinjection with Lac Z mRNA (red-stained cells) shows cell autonomous inhibtion of Xbra expression. (D) Xwnt-11 is expressed in the entire marginal zone in a control early gastrula. (E) Dorsal injection of IGF-I blocks Xwnt-11 expression. (F) Overexpression of Otx2 also blocked Xwnt-11 expression (red staining indicates cells coinjected with Lac Z and Otx2 mRNAs). (GâL) Dorsal injection of IGF-I or Otx2 had no effect on chordin (GâI) and Xnot (JâL) expression. (MâO) At late gastrula stage, the notochordal expression of Xbra was blocked by overexpression of IGF-I and Otx2. (PâR) Overexpression of IGF-I and Otx2 does not block Xnot expression at late gastrula stage, but prevents elongation of notochord and results in delayed gastrulation.
Fig. 4. Induction of Xbra and Xwnt11 expression and convergent extension through inhibition of IGF signaling and Otx2 activity. (AâF) Otx2-EnR, Otx2-VP16 or dnIGFR mRNA was injected in the animal pole region at 4-cell stage. Ectodermal explants were dissected at blastula stage and cultured to early gastrula for RT-PCR analysis (A) or to late neurula stage for analysis of explant elongation (BâF). (A) RT-PCR analysis showing that Otx2-VP16 and dnIGFR induce Xbra and Xwnt11 expression in ectodermal explants similarly as bFGF. At late neurula stage, uninjected (B) or Otx2-EnR-injected (F) explants remain rounded, while Otx2-VP16-injected (C) and dnIGFR-injected (D) explants exhibit elongation similarly as bFGF-treated explants (E). (GâL) Embryos at 8-cell stage were injected with dnIGFR or Otx2-VP16 mRNA in the two dorso-animal blastomeres either alone or coinjected with Lac Z mRNA. Injected embryos at early gastrula stage were either prepared for in situ hybridization (GâI) or for âKeller sandwich explantsâ (JâL). (GâI) Dorsal injection of dnIGFR (H) or Otx2-VP16 (I) mRNA expands the expression of Xwnt11. (JâL) Both dnIGFR (K) and Otx2-VP16 (L) potentiate elongation in âKeller sandwich explantsâ.
Fig. 5. Antisense Otx2 morpholino oligonucleotide rescues convergent extension and Xbra expression blocked by IGF-I and Otx2. Embryos at 4-cell stage were dorsaly-injected with IGF-I or Otx2-Myc mRNA alone or co-injected with Otx2 morpholino. They were either allowed to develop to various stages for phenotypes or fixed at stage 10.5 for in situ hybridization. (A) An uninjected embryo at stage 14 showing correct neural plate formation. (B) An Otx2-Myc-injected embryo with gastrulation defect and open blastopore. (C) Otx2 morpholino rescues blastopore closure and neural plate formation in Otx2-Myc-injected embryo. (D) Western blot showing that Otx2 morpholino specifically blocks translation of Otx2-Myc mRNA. (E) A control embryo at stage 38. (F) An Otx2-Myc-injected embryo at equivalent stage with dorsal development defect and shortened trunk and posterior region. (G) Otx2 morpholino rescues trunk and posterior development. (HâL) Otx2 morpholino rescues Xbra and Xwnt11 expression. (H) An uninjected stage 10.5 gastrula showing Xbra expression. (I) An IGF-I-injected early gastrula with absence of Xbra expression at injected site. (J) Rescue of Xbra expression by Otx2 morpholino in IGF-I-injected early gastrula. (K) An Otx2-Myc-injected early gastrula with a gap in Xbra expression in the marginal zone. (L) Rescue by Otx2 morpholino of Xbra expression. (M) An uninjected early gastrula showing Xwnt11 expression. (N) Dorsal injection of IGF-I mRNA inhibits Xwnt11 expression. (O) Rescue by Otx2 morpholino of Xwnt11 expression.
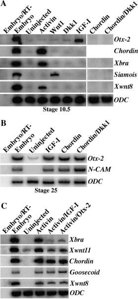
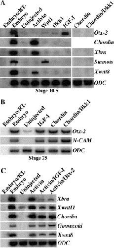
Fig. 1. Induction of Otx2 expression in ectodermal explants by IGF-I. (A) IGF pathway specifically activates Otx2 transcription. Synthetic mRNAs corresponding to Wnt-1, Dkk-1, chordin and IGF-I were injected near the animal pole region at 2-cell stage. Ectodermal explants from uninjected and injected embryos were dissected at blastula stage, explants from uninjected embryos were also treated with activin. RT-PCR was performed at early gastrula stage. Strong Otx2 expression was detected in explants expressing IGF-I, while activin, Wnt-1, chordin and Dkk-1 or a combination of chordin and Dkk1 had no effect on Otx2 expression. (B) Explants expressing indicated mRNA cultured to stage 25 express neural markers like Otx2 and N-CAM. (C) Specific inhibition of Xbra and Xwnt11 expression by IGF-I and Otx2 in activin-treated explants. IGF-I and Otx2 had no effect on the expression of chordin, goosecoid and Xwnt8 induced by activin
Fig. 3. Cell lineage tracing of convergent extension movements during gastrulation in dorsally-injected embryos with IGF-I or Otx2 mRNA. (A) An embryo at stage 11 injected with Lac Z mRNA alone shows convergent extension of Ã-gal-stained cells. (B) An IGF-I-injected embryo at the same stage shows delayed gastrulation and uniform distribution of Ã-gal-stained cells in the dorsal region. (C) An Otx2-injected embryo with similar phenotype. (D) In an early neurula injected with Lac Z mRNA alone, Ã-gal-stained cells are distributed in the narrowed trunk and posterior neural plate, indicating convergent extension movements. (E,F) Early neurula injected with IGF-I (E) or Otx2 (F) mRNA show open blastopore and uniform staining of Ã-gal in the neural plate. (G) Longitudinal section of a stage 15 control embryo showing the elongation of neuroectoderm and mesoderm (mes). (H) Longitudinal section of an Otx2-injected stage 15 embryo with a reduced elongation of neuroectoderm and underlying mesoderm (mes).
Fig. 6. Interaction between IGF-I/Otx2 and Wnt-11/JNK in the regulation of convergent extension. Embryos were injected with indicated synthetic mRNAs near the animal pole region at 2-cell stage. Ectodermal explants were dissected at early blastula stage and treated with activin. Control and treated explants were cultured to mid-neurula stage for analysis of explant elongation. (A) Activin-treated explants from uninjected embryos show extensive elongation, which mimics convergent extension. (B, C) Untreated explants from uninjected embryos (B) or caJNK1-injected embryos (C) do not show elongation. (D) IGF-I blocked convergent extension induced by activin. (EâG) Coinjection of IGF-I mRNA with Xbra (E), Xwnt-11 (F) or caJNK1 (G) mRNA significantly rescued activin-induced explant elongation. (H) A dominant Dsh mutant Xdd1 blocks explant elongation induced by activin. (I) caJNK1 rescues explant elongation blocked by Xdd1. (J) Otx2 blocked convergent extension induced by activin. (KâM) Coinjection of Otx2 mRNA with Xbra (K), Xwnt-11 (L) or caJNK1 (M) mRNA significantly rescued activin-induced explant elongation. (N) Otx2-EnR blocks explant elongation induced by activin. (O) caJNK1 rescues explant elongation blocked by Otx2-EnR in activin-treated explants.
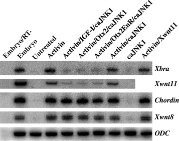
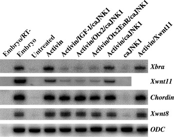
Fig. 7. Xwnt11 and caJNK1 do not modify gene expression in activin-treated explants expressing IGF-I, Otx2 or Otx2-EnR. Embryos at 4-cell stage were injected with indicated mRNA at the animal pole region and ectodermal explants were dissected at stage 8. They were treated with activin and cultured to stage 10.5 for RT-PCR analysis. Notice that caJNK1 does not induce the expression of mesoderm markers, and that expression of Xbra, Xwnt11, chordin and Xwnt8 was not modified by caJNK1 and Xwnt11 in activin-treated explants expressing IGF-I, Otx2 or Otx2-EnR.
Fig. 8. IGF-I and Otx2 blocks neural and mesodermal convergent extension in âKeller sandwich explantsâ. Embryos at 8-cell stage were coinjected with IGF-I or Otx2 mRNA with Lac Z mRNA in the animal pole region or equatorial region of the two dorso-animal blastomeres. âKeller sandwich explantsâ were made at early gastrula stage and cultured to late neurula stage. (AâC) Both IGF-I and Otx2 strongly block convergent extension of neuroectoderm and mesoderm when targeted to the neuroectoderm. (DâF) IGF-I and Otx2 inhibit convergent extension of neuroectoderm and mesoderm to a lesser extent when targeted to the mesoderm. (G) Rescue of Otx2-inhibited convergent extension of neuroectoderm by caJNK1. (H) A stage 15 control embryo injected with Lac Z mRNA alone. Ã-gal-stained cells are limited to the anterior neural fold. (I) A stage 15 embryo co-injected with Lac Z mRNA and Otx2Mo. Ã-gal-stained cells extend more ventrally. (J) A stage 30 control embryo. (K) A stage 30 embryo injected with Otx2Mo shows anterior deficiency. (L) RT-PCR analysis shows the inhibition of Xwnt5A expression by IGF-I and Otx2 in activin-treated explants at neurula stage.