XB-ART-13336
J Cell Biol
1999 Mar 08;1445:1033-45.
Show Gene links
Show Anatomy links
Dissection of the molecular basis of pp60(v-src) induced gating of connexin 43 gap junction channels.
Zhou L, Kasperek EM, Nicholson BJ.
???displayArticle.abstract???
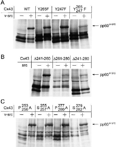
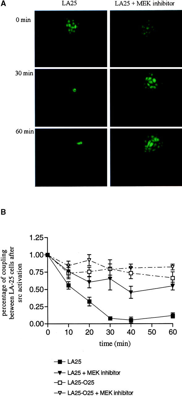
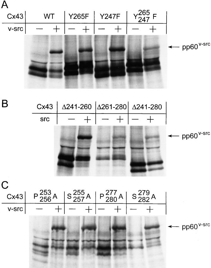
Suppression of gap-junctional communication by various protein kinases, growth factors, and oncogenes frequently correlates with enhanced mitogenesis. The oncogene v-src appears to cause acute closure of gap junction channels. Tyr265 in the COOH-terminal tail of connexin 43 (Cx43) has been implicated as a potential target of v-src, although v-src action has also been associated with changes in serine phosphorylation. We have investigated the mechanism of this acute regulation through mutagenesis of Cx43 expressed in Xenopus laevis oocyte pairs. Truncations of the COOH-terminal domain led to an almost complete loss of response of Cx43 to v-src, but this was restored by coexpression of the independent COOH-terminal polypeptide. This suggests a ball and chain gating mechanism, similar to the mechanism proposed for pH gating of Cx43, and K+ channel inactivation. Surprisingly, we found that v-src mediated gating of Cx43 did not require the tyrosine site, but did seem to depend on the presence of two potential SH3 binding domains and the mitogen-activated protein (MAP) kinase phosphorylation sites within them. Further point mutagenesis and pharmacological studies in normal rat kidney (NRK) cells implicated MAP kinase in the gating response to v-src, while the stable binding of v-src to Cx43 (in part mediated by SH3 domains) did not correlate with its ability to mediate channel closure. This suggests a common link between closure of gap junctions by v-src and other mitogens, such as EGF and lysophosphatidic acid (LPA).
???displayArticle.pubmedLink??? 10085299
???displayArticle.pmcLink??? PMC2148195
???displayArticle.grants??? [+]
Species referenced: Xenopus laevis
Genes referenced: egf gja1 gjb1 mapk1 nrk
???attribute.lit??? ???displayArticles.show???
References [+] :
Atkinson,
Rapid and reversible reduction of junctional permeability in cells infected with a temperature-sensitive mutant of avian sarcoma virus.
1981, Pubmed
Atkinson, Rapid and reversible reduction of junctional permeability in cells infected with a temperature-sensitive mutant of avian sarcoma virus. 1981, Pubmed
Azarnia, The cellular src gene product regulates junctional cell-to-cell communication. 1988, Pubmed
Barrio, Gap junctions formed by connexins 26 and 32 alone and in combination are differently affected by applied voltage. 1991, Pubmed , Xenbase
Behrens, Loss of epithelial differentiation and gain of invasiveness correlates with tyrosine phosphorylation of the E-cadherin/beta-catenin complex in cells transformed with a temperature-sensitive v-SRC gene. 1993, Pubmed
Bennett, Biophysics of gap junctions. 1992, Pubmed
Berthoud, Connexin43 in MDCK cells: regulation by a tumor-promoting phorbol ester and Ca2+. 1992, Pubmed
Beyer, Connexin family of gap junction proteins. 1990, Pubmed
Chang, Potential role of the src gene product in inhibition of gap-junctional communication in NIH/3T3 cells. 1985, Pubmed
Crow, Phosphorylation of connexin43 gap junction protein in uninfected and Rous sarcoma virus-transformed mammalian fibroblasts. 1990, Pubmed
Crow, Phosphorylation of connexin43 in cells containing mutant src oncogenes. 1992, Pubmed
Eghbali, Involvement of gap junctions in tumorigenesis: transfection of tumor cells with connexin 32 cDNA retards growth in vivo. 1991, Pubmed
Ek-Vitorín, PH regulation of connexin43: molecular analysis of the gating particle. 1996, Pubmed , Xenbase
Elvira, Phosphorylation of connexin-32 by protein kinase C prevents its proteolysis by mu-calpain and m-calpain. 1993, Pubmed
Fallon, Five-hour half-life of mouse liver gap-junction protein. 1981, Pubmed
Filson, Tyrosine phosphorylation of a gap junction protein correlates with inhibition of cell-to-cell communication. 1990, Pubmed
Goldberg, Direct isolation and analysis of endogenous transjunctional ADP from Cx43 transfected C6 glioma cells. 1998, Pubmed
Goldberg, Dynamics of connexin43 phosphorylation in pp60v-src-transformed cells. 1993, Pubmed
Gong, Disruption of alpha3 connexin gene leads to proteolysis and cataractogenesis in mice. 1997, Pubmed
Goodenough, Connexins, connexons, and intercellular communication. 1996, Pubmed
Guerrero, Slow ventricular conduction in mice heterozygous for a connexin43 null mutation. 1997, Pubmed
Hamaguchi, p60v-src causes tyrosine phosphorylation and inactivation of the N-cadherin-catenin cell adhesion system. 1993, Pubmed
Hanks, Signaling through focal adhesion kinase. 1997, Pubmed
Harris, Kinetic properties of a voltage-dependent junctional conductance. 1981, Pubmed
Haubrich, Incompatibility of connexin 40 and 43 Hemichannels in gap junctions between mammalian cells is determined by intracellular domains. 1996, Pubmed
Hill, Lysophosphatidic acid inhibits gap-junctional communication and stimulates phosphorylation of connexin-43 in WB cells: possible involvement of the mitogen-activated protein kinase cascade. 1994, Pubmed
Homma, A particle-receptor model for the insulin-induced closure of connexin43 channels. 1998, Pubmed , Xenbase
Hoshi, Biophysical and molecular mechanisms of Shaker potassium channel inactivation. 1990, Pubmed , Xenbase
Hossain, Rapid disruption of gap junctional communication and phosphorylation of connexin43 by platelet-derived growth factor in T51B rat liver epithelial cells expressing platelet-derived growth factor receptor. 1998, Pubmed
Husøy, Effects of five phorbol esters on gap junctional intercellular communication, morphological transformation and epidermal growth factor binding in Syrian hamster embryo cells. 1993, Pubmed
Jongen, Regulation of connexin 43-mediated gap junctional intercellular communication by Ca2+ in mouse epidermal cells is controlled by E-cadherin. 1991, Pubmed
Kadle, Tissue-specific distribution of differentially phosphorylated forms of Cx43. 1991, Pubmed
Kanemitsu, Tyrosine phosphorylation of connexin 43 by v-Src is mediated by SH2 and SH3 domain interactions. 1997, Pubmed
Kanemitsu, Epidermal growth factor stimulates the disruption of gap junctional communication and connexin43 phosphorylation independent of 12-0-tetradecanoylphorbol 13-acetate-sensitive protein kinase C: the possible involvement of mitogen-activated protein kinase. 1993, Pubmed
Keane, Neural differentiation, NCAM-mediated adhesion, and gap junctional communication in neuroectoderm. A study in vitro. 1988, Pubmed
Kirchhoff, Reduced cardiac conduction velocity and predisposition to arrhythmias in connexin40-deficient mice. 1998, Pubmed
Klaunig, Gap junctional intercellular communication in hepatic carcinogenesis. 1990, Pubmed
Kozak, Point mutations define a sequence flanking the AUG initiator codon that modulates translation by eukaryotic ribosomes. 1986, Pubmed
Kurata, p130gag-fps disrupts gap junctional communication and induces phosphorylation of connexin43 in a manner similar to that of pp60v-src. 1994, Pubmed
Laemmli, Cleavage of structural proteins during the assembly of the head of bacteriophage T4. 1970, Pubmed
Lampe, Analyzing phorbol ester effects on gap junctional communication: a dramatic inhibition of assembly. 1994, Pubmed
Lau, Epidermal growth factor disrupts gap-junctional communication and induces phosphorylation of connexin43 on serine. 1992, Pubmed
Lau, Regulation of connexin43 function by activated tyrosine protein kinases. 1996, Pubmed
Lim, Critical residues in an SH3 domain from Sem-5 suggest a mechanism for proline-rich peptide recognition. 1994, Pubmed
Liu, A structural basis for the unequal sensitivity of the major cardiac and liver gap junctions to intracellular acidification: the carboxyl tail length. 1993, Pubmed , Xenbase
Loewenstein, Junctional intercellular communication: the cell-to-cell membrane channel. 1981, Pubmed
Loewenstein, Junctional intercellular communication and the control of growth. 1979, Pubmed
Loewenstein, Intercellular communication and the control of tissue growth: lack of communication between cancer cells. 1966, Pubmed
Loo, pp60src-mediated phosphorylation of connexin 43, a gap junction protein. 1995, Pubmed
Luttrell, Augmented mitogenic responsiveness to epidermal growth factor in murine fibroblasts that overexpress pp60c-src. 1988, Pubmed
Maldonado, Growth factors modulate junctional cell-to-cell communication. 1988, Pubmed
Matsuyoshi, Cadherin-mediated cell-cell adhesion is perturbed by v-src tyrosine phosphorylation in metastatic fibroblasts. 1992, Pubmed
Matus-Leibovitch, Kinetics of the functional loss of different muscarinic receptor isoforms in Xenopus oocytes. 1992, Pubmed , Xenbase
Mehta, Incorporation of the gene for a cell-cell channel protein into transformed cells leads to normalization of growth. 1991, Pubmed
Mehta, Growth inhibition of transformed cells correlates with their junctional communication with normal cells. 1986, Pubmed
Mensink, Modulation of intercellular communication between smooth muscle cells by growth factors and cytokines. 1996, Pubmed
Mesnil, Negative growth control of HeLa cells by connexin genes: connexin species specificity. 1995, Pubmed
Moreno, Human connexin43 gap junction channels. Regulation of unitary conductances by phosphorylation. 1994, Pubmed
Morley, Intramolecular interactions mediate pH regulation of connexin43 channels. 1996, Pubmed , Xenbase
Musil, Biochemical analysis of connexin43 intracellular transport, phosphorylation, and assembly into gap junctional plaques. 1991, Pubmed
Musil, Differential phosphorylation of the gap junction protein connexin43 in junctional communication-competent and -deficient cell lines. 1990, Pubmed
Naus, In vivo growth of C6 glioma cells transfected with connexin43 cDNA. 1992, Pubmed
Nelles, Defective propagation of signals generated by sympathetic nerve stimulation in the liver of connexin32-deficient mice. 1996, Pubmed
Oh, Epidermal growth factor inhibits gap junctional communication and stimulates serine-phosphorylation of connexin43 in WB cells by a protein kinase C-independent mechanism. 1993, Pubmed
Oh, Phorbol ester induces phosphorylation and down-regulation of connexin 43 in WB cells. 1991, Pubmed
Pelicci, A novel transforming protein (SHC) with an SH2 domain is implicated in mitogenic signal transduction. 1992, Pubmed
Pelletier, Dissociation of PDGF receptor tyrosine kinase activity from PDGF-mediated inhibition of gap junctional communication. 1994, Pubmed
Postma, Acute loss of cell-cell communication caused by G protein-coupled receptors: a critical role for c-Src. 1998, Pubmed
Reaume, Cardiac malformation in neonatal mice lacking connexin43. 1995, Pubmed
Richter, Adenovirus E1A requires synthesis of a cellular protein to establish a stable transcription complex in injected Xenopus laevis oocytes. 1987, Pubmed , Xenbase
Rose, Gap-junction protein gene suppresses tumorigenicity. 1993, Pubmed
Rozakis-Adcock, Association of the Shc and Grb2/Sem5 SH2-containing proteins is implicated in activation of the Ras pathway by tyrosine kinases. 1992, Pubmed
Sáez, Gap junctions. Multiplicity of controls in differentiated and undifferentiated cells and possible functional implications. 1993, Pubmed
Simon, Female infertility in mice lacking connexin 37. 1997, Pubmed
Simon, Mice lacking connexin40 have cardiac conduction abnormalities characteristic of atrioventricular block and bundle branch block. 1998, Pubmed
Spray, Gap junctional conductance is a simple and sensitive function of intracellular pH. 1981, Pubmed
Stagg, The hormone-induced regulation of contact-dependent cell-cell communication by phosphorylation. 1990, Pubmed
Suchyna, Identification of a proline residue as a transduction element involved in voltage gating of gap junctions. 1993, Pubmed , Xenbase
Swenson, Tyrosine phosphorylation of the gap junction protein connexin43 is required for the pp60v-src-induced inhibition of communication. 1990, Pubmed , Xenbase
Takeda, V-src kinase shifts the cadherin-based cell adhesion from the strong to the weak state and beta catenin is not required for the shift. 1995, Pubmed
Turin, Carbon dioxide reversibly abolishes ionic communication between cells of early amphibian embryo. 1977, Pubmed , Xenbase
Twamley-Stein, The Src family tyrosine kinases are required for platelet-derived growth factor-mediated signal transduction in NIH 3T3 cells. 1993, Pubmed
Verselis, Opposite voltage gating polarities of two closely related connexins. 1994, Pubmed , Xenbase
Warn-Cramer, Characterization of the mitogen-activated protein kinase phosphorylation sites on the connexin-43 gap junction protein. 1996, Pubmed
Warner, The gap junction. 1988, Pubmed
White, Targeted ablation of connexin50 in mice results in microphthalmia and zonular pulverulent cataracts. 1998, Pubmed
Wilson, pp60c-src tyrosine kinase, myristylation, and modulatory domains are required for enhanced mitogenic responsiveness to epidermal growth factor seen in cells overexpressing c-src. 1989, Pubmed
Xie, A mitosis-specific phosphorylation of the gap junction protein connexin43 in human vascular cells: biochemical characterization and localization. 1997, Pubmed
Xing, Direct interaction of v-Src with the focal adhesion kinase mediated by the Src SH2 domain. 1994, Pubmed
Yu, Structural basis for the binding of proline-rich peptides to SH3 domains. 1994, Pubmed
