Click here to close
Hello! We notice that you are using Internet Explorer, which is not supported by Xenbase and may cause the site to display incorrectly.
We suggest using a current version of Chrome,
FireFox, or Safari.
A Meis family protein caudalizes neural cell fates in Xenopus.
Salzberg A, Elias S, Nachaliel N, Bonstein L, Henig C, Frank D.
???displayArticle.abstract???
A homologue of the Drosophila homothorax (hth) gene, Xenopus Meis3 (XMeis3), was cloned from Xenopus laevis. XMeis3 is expressed in a single stripe of cells in the early neural plate stage. By late neurula, the gene is expressed predominantly in rhombomeres two, three and four, and in the anterior spinal cord. Ectopic expression of RNA encoding XMeis3 protein causes anterior neural truncations with a concomitant expansion of hindbrain and spinal cord. Ectopic XMeis3 expression inhibits anterior neural induction in neuralized animal cap ectoderm explants without perturbing induction of pan-neural markers. In naive animal cap ectoderm, ectopic XMeis3 expression activates transcription of the posteriorly expressed neural markers, but not pan-neural markers. These results suggest that caudalizing proteins, such as XMeis3, can alter A-P patterning in the nervous system in the absence of neural induction. Regionally expressed proteins like XMeis3 could be required to overcome anterior signals and to specify posterior cell fates along the A-P axis.
???displayArticle.pubmedLink???
10096059 ???displayArticle.link???Mech Dev
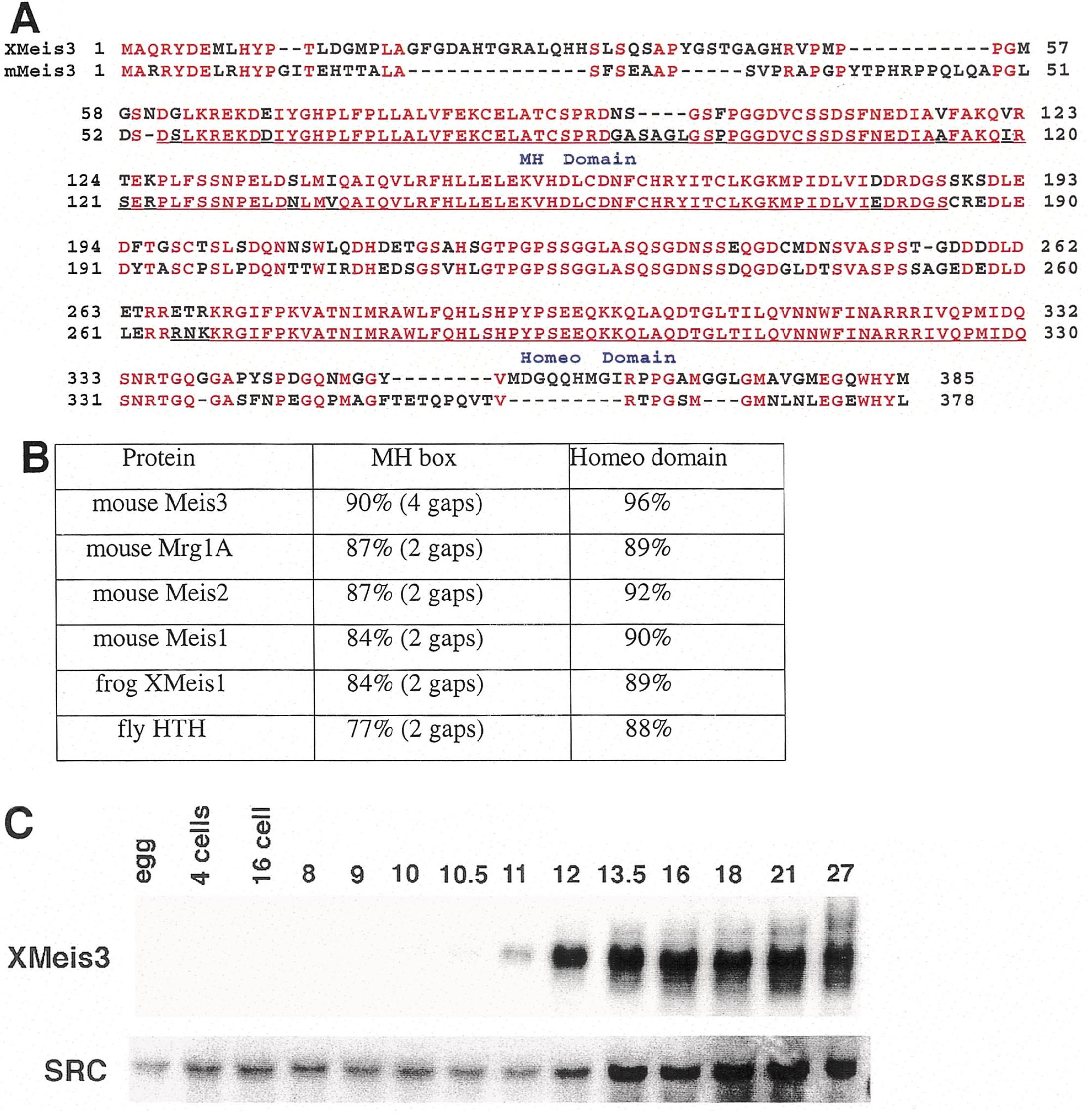
Fig. 1. Cloning and expression of the Xenopus Meis3 during development. (A) Comparison of the amino acid sequences of the Xenopus Meis3 and mouse Meis3 proteins. Identical amino acids are depicted in red. The Meis-homology (MH) box and homeodomain regions are underlined. (B) Similarity of XMeis3 to other Meis family proteins. The percent of identity in the MH box and homeodomain regions is shown for the mouse Meis3 (#MMU57344), mouse Mrg1A (#MMU68383), mouse Meis2 (#MMU57343), mouse Meis1 (#MMU33629), Xenopus Meis1 (#XLU68386), and Drosophila HTH (#AFO32865) proteins. The accession number for XMeis3 is AF072895. (C) Expression of XMeis3 mRNA during Xenopus development. Total RNA was isolated from eggs and developing embryos through stage 27. One-embryo equivalent of total RNA was loaded per well for Northern analysis. The filter was sequentially hybridized with Xenopus cDNA probes for XMeis3 and SRC. SRC is used as a positive control of RNA levels loaded per well.
Fig. 2. Expression pattern of XMeis3. (A) Whole-mount in situ hybridization with XMeis3 was performed on early neurula stage embryos (see Section 4). All embryos are oriented anterior to posterior, left to right. A single stripe of expression is seen in the neural plate (dorsal-lateral view). (B) XMeis3 expression in neurula stage embryos, dorsal view. Expression is observed in a patch of cells in the anteriorhindbrain (corresponding to rhombomeres 2), followed by a gap; expression continues in the anterior spinal cord. (C,D) A dorsal-lateral (C) and lateral view (D) of late neurula - early tailbud stage embryos. The arrow (D) marks the ventral expression in the posteriorhindbrain. (E) Double in situ hybridization with Krox-20 and XMeis3. XMeis3 is expressed anterior to the r3 Krox-20 stripe, but not posterior to the r5 stripe. Asterisks mark XMeis3 expression in r2 and r4. Arrows mark Krox-20 expression in r3 and r5. (F). Double in situ hybridization with En-2 and XMeis3. The arrow marks En-2 expression. XMeis3 is expressed posterior to the En-2 stripe at the midbrain-hindbrain junction. XMeis3 is not expressed in r1 as seen by the gap between the En-2 and XMeis3 expression domains.
Fig. 3. Ectopic expression of XMeis3 or hth RNAs causes anterior truncations in Xenopus embryos. (A) Embryos at the one-cell stage were injected with 2 ng of in vitro transcribed Xenopus DXMeis3 RNA. Embryos developed until stages 380; the embryos appear normal like uninjected controls. (B) Embryos at the one-cell stage were injected with 2 ng of in vitro transcribed Xenopus Meis3 RNA. Embryos developed until stages 38 - 40; the embryos exhibit anterior truncations. (C) Embryos at the one-cell stage were injected with 2 ng of in vitro transcribed Drosophila hth RNA. Embryos developed until stages 380; the embryos exhibit anterior truncations. (D) Expression of neural markers in embryos injected with XMeis3 RNA. Embryos at the one-cell stage were injected in the animal hemisphere with 1.4.6 ng of XMeis3 RNA. Total RNA was isolated from control and XMeis3 injected embryos at stage 18. RT-PCR analysis was performed with the markers: XAG-1, otx2, En-2, Krox-20, and HoxB9. EF1a served as a positive control for quantitating RNA levels in the different samples. As a control, -RT-PCR was performed on total embryo RNA.
Fig. 4. Spatial expression pattern of neural markers in embryos injected with XMeis3 RNA. Two-cell albino embryos were injected unilaterally into the animal hemisphere of one blastomere with 0.7.8 ng of XMeis3 RNA. In parallel experiments, XMeis3 was coinjected with 50 ng of b-galactosidase (b-gal) mRNA which served as a lineage tracer (see experimental procedures). In situ hybridization was performed in late neurula stage embryos. The perturbations seen in the embryos were always seen on the red stained b-gal/XMeis3 injected side (not shown). (A) In situ hybridization with Krox-20; expression is expanded on the XMeis3 injected side. (B) In situ hybridization with En-2; expression is reduced on the XMeis3 injected side. (C) Double in situ hybridization with Krox-20 and HoxB9; HoxB9 and Krox-20 expression is expanded on the XMeis3 injected side (the right side of the shown embryos). The large white arrow denotes the dorsal midline. The white arrowheads denote the lateral extent of HoxB9 expression.
Fig. 5. Ectopic XMeis3 expression inhibits anterior neural induction but activates expression of posterior neural markers in animal cap ectoderm explants. (A) One-cell stage embryos were injected in the animal hemisphere with 1.0 and 2.0 ng of XMeis3 RNA. Thirty-six animal cap explants were removed from uninjected and injected groups of blastula embryos (stage 8). Eighteen explants from each group were treated with noggin until stage 12.53 and eighteen untreated explants served as controls. Explants from each group were grown to stage 20 and total RNA was isolated. Total RNA was also isolated from pools of five embryos from both the control and the two XMeis3 injected groups. For northern analysis, one embryo equivalent of RNA was loaded per well and all explant RNA was loaded. Filters were sequentially hybridized with Xenopus cDNA probes for XAG-1, nrp-1 and SRC. SRC is used as a positive control to compare RNA levels loaded per well. (B) One-cell stage embryos were injected in the animal hemisphere with 1.4 ng of XMeis3 and/or 0.4 ng of BMP DN receptor RNA. Eighteen animal cap explants were removed from uninjected and injected groups of blastula embryos (stage 8). Explants from each group were grown to stage 20 and total RNA was isolated. RT-PCR analysis was performed with the markers: XAG-1, otx2, Krox-20, HoxD1, RARa2.2, XE10, HoxB9 and nrp-1. EF1a served as a positive control for quantitating RNA levels in the different samples. For controls, RT-PCR and -RT-PCR was performed on total RNA isolated from normal embryos.