Click here to close
Hello! We notice that you are using Internet Explorer, which is not supported by Xenbase and may cause the site to display incorrectly.
We suggest using a current version of Chrome,
FireFox, or Safari.
Dev Genet
1999 Jan 01;243-4:208-19. doi: 10.1002/(SICI)1520-6408(1999)24:3/4<208::AID-DVG4>3.0.CO;2-J.
Show Gene links
Show Anatomy links
Xenopus Pax-2/5/8 orthologues: novel insights into Pax gene evolution and identification of Pax-8 as the earliest marker for otic and pronephric cell lineages.
Heller N, Brändli AW.
???displayArticle.abstract???
Pax genes are a family of transcription factors playing fundamental roles during organogenesis. We have recently demonstrated the expression of Pax-2 during Xenopus embryogenesis [Heller N, Brändli AW (1997): Mech Dev 69: 83-104]. Here we report the cloning and characterization of Xenopus Pax-5 and Pax-8, two orthologues of the Pax-2/5/8 gene family. Molecular phylogenetic analysis indicates that the amphibian Pax-2/5/8 genes are close relatives of their mammalian counterparts and that all vertebrate Pax-2/5/8 genes are derived from a single ancestral gene. Xenopus Pax-2/5/8 genes are expressed in spatially and temporally overlapping patterns during development of at least seven distinct tissues. Most strikingly, Xenopus Pax-8 was identified as the earliest marker of the prospective otic placode and of the intermediate mesoderm, indicating that Pax-8 may play a central role in auditory and excretory system development. Comparison of the expression patterns of fish, amphibian, and mammalian Pax-2/5/8 genes revealed that the tissue specificity of Pax-2/5/8 gene family expression is overall evolutionarily conserved. The expression domains of individual orthologues can however vary in a species-specific manner. For example, the thyroid glands of mammals express Pax-8, while in Xenopus Pax-2 is expressed instead. Our findings indicate that differential silencing of Pax-2/5/8 gene expression may have occurred after the different classes of vertebrates began to evolve separately.
Fig. 1. Sequence comparison of vertebrate Pax-5 proteins. Xenopus
Pax-5(1) splice variant has been aligned with various vertebrate Pax-5
proteins. Human and mouse Pax-5 are shown with the alternatively
spliced exon 1B [Busslinger et al., 1996]. GenBank accession numbers
to the human, mouse, and zebrafish Pax-5 sequences are listed in
Figure 4. The paired domain and the partial homeodomain have been
highlighted by shading. The octapeptide domain has been underlined.
Amino acids shared by all four proteins are boxed. Dashes indicate
gaps that were introduced for optimal sequence alignment. Exons are
numbered according to Pfeffer et al. [1998].
Fig. 2. Splice variants of Xenopus Pax-5. A: Xenopus Pax-5(2) is
generated by use of an alternate 5’ splice donor site present in intron 6.
This leads to the introduction of 108 additional nucleotides. The 5’
splice donor normally used is underlined. B: Xenopus Pax-5(3) is
generated by use of an alternate 5’ splice donor site (underlined)
present in exon 1. This leads to a deletion of 30 nucleotides (boxed) and
to the creation of a new stop codon at the splice junction. C,D: Xenopus
Pax-5(4) and Pax-5(5) lack exon 2 or exon 7, respectively. In both cases,
this leads to frame shifts and to truncated proteins. Asterisks represent
stop codons. Newly introduced amino acids are shown in bold.
Fig. 3. Comparison of vertebrate Pax-8 amino acid sequences. The
deduced amino acid sequence of Xenopus Pax-8 was assembled from
overlapping partial cDNA sequences. GenBank accession numbers to
the human, mouse, and zebrafish Pax-8 sequences are listed in Figure
4. The partial homeodomain has been highlighted by shading. Amino
acids shared by all four proteins are boxed. Dashes indicate gaps that
were introduced for optimal sequence alignment. Exons are numbered
according to Pfeffer et al. [1998].
Fig. 4. Phylogenetic analysis of the chordate Pax-2/5/8 gene
family. The phylogenetic tree is based on multiple sequence alignments
of amino acids encoded by the common exons 6 to 10. The scale
bar measures the distance between the sequences. Units indicate the
number of substitution events. The evolutionary distance between any
two sequences is the sum of the horizontal branch length separating
them. Vertical distances are for illustration purposes only. Abbreviations:
a, amphioxus; h, human; m, mouse; X, Xenopus; and z, zebrafish.
The GenBank accession numbers for the Pax sequences used are:
aPax-2/5/8, AF053762; hPax-2, M89470; hPax-5, M96944; hPax-8,
L19606; mPax-2, X55781; mPax-5, M97013; mPax-8, X57487; XPax-
2a, Y10119; XPax-2b, Y10120; zPax-2.1, X63961; zPax-2.2, AF072547;
zPax-5, AF072548; zPax-8, AF072549.
Fig. 5. Expression of Pax-5 during Xenopus embryogenesis and of
Pax-2 in the thyroid anlage. Transcripts for Pax-5 (AâE) and Pax-2
(F,G) were detected by whole-mount in situ hybridization. Sections of
embryos stained in whole mount were cut at 50μm. A-C: Pax-5
expression can be detected at the MHB (arrowhead) and faintly in the
otic vesicle (arrow). Lateral views of stage 24 (A), 30 (B), and 38 (C)
embryos are shown. Horizontal lines (A) indicate the levels of the
sections in D and E. D,E: Horizontal sections through a stage 24
embryo to illustrate Pax-5 expression at the MHB (D) and in the otic
vesicle (E). F,G: Pax-2 expression in the head region of a stage 34
embryo. Arrowheads indicate the stained thyroid anlage. Lateral
(A-C, F) and ventral (G) views with anterior to the left are shown.
Fig. 6. Expression of Pax-8 during Xenopus embryogenesis. Transcripts
for Pax-8 were detected by whole-mount in situ hybridization.
Lateral views are shown with anterior to the left. A: Stage 12/13
embryo. Pax-8 transcripts are detected in the prospective otic region
(arrow) and faintly in the intermediate mesoderm (arrowhead).
B: Stage 17 embryo. Up-regulation of Pax-8 in the pronephric anlage is
evident (arrowhead). C: Stage 22 embryo. Pax-8 expression in the
pronephric tubule (arrow) and pronephric duct anlage (arrowhead) are
indicated. D: Stage 25 embryo. Pax-8 expression in the otic vesicle has
started to cease. E: Stage 31 embryo. Pax-8 expression in the
pronephric duct (arrowhead) gradually decreases. F: Stage 34 embryo.
Pax-8 transcripts are detected in the hindbrain (arrow) and spinal
cord. Strong expression remains with pronephric tubules (arrowhead).
pronephric duct (arrowhead) gradually decreases. F: Stage 34 embryo.
Pax-8 transcripts are detected in the hindbrain (arrow) and spinal
cord. Strong expression remains with pronephric tubules (arrowhead).
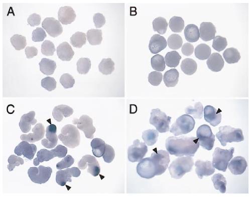
Fig. 7. Induction of Pax-8 expression in explant cultures. Animal
caps were cultured either untreated (A), or with retinoic acid (B),
activin (C), or a combination of activin and retinoic acid (D). Expression
of Pax-8 was assayed by whole-mount in situ hybridization once
reference embryos reached stage 28. Arrowheads indicate patches of
tissues positive for Pax-8 expression.
214 HELLER AND BRA¨ NDLI
Fig. 8. Temporal regulation of gene expression for members of the
Pax-2/5/8 gene family during Xenopus embryogenesis. The duration
of gene expression is schematically shown based on results from
whole-mount in situ hybridization studies. Pax-2a and Pax-2b expression
cannot be resolved into separate patterns [Heller and Bra¨ ndli,
1997]. The numbers shown indicate developmental stages according to
Nieuwkoop and Faber [1994]. n.d., no expression detected.