Click here to close
Hello! We notice that you are using Internet Explorer, which is not supported by Xenbase and may cause the site to display incorrectly.
We suggest using a current version of Chrome,
FireFox, or Safari.
???displayArticle.abstract???
Regulation of beta-catenin stability is essential for Wnt signal transduction during development and tumorigenesis. It is well known that serine-phosphorylation of beta-catenin by the Axin-glycogen synthase kinase (GSK)-3beta complex targets beta-catenin for ubiquitination-degradation, and mutations at critical phosphoserine residues stabilize beta-catenin and cause human cancers. How beta-catenin phosphorylation results in its degradation is undefined. Here we show that phosphorylated beta-catenin is specifically recognized by beta-Trcp, an F-box/WD40-repeat protein that also associates with Skp1, an essential component of the ubiquitination apparatus. beta-catenin harboring mutations at the critical phosphoserine residues escapes recognition by beta-Trcp, thus providing a molecular explanation for why these mutations cause beta-catenin accumulation that leads to cancer. Inhibition of endogenous beta-Trcp function by a dominant negative mutant stabilizes beta-catenin, activates Wnt/beta-catenin signaling, and induces axis formation in Xenopus embryos. Therefore, beta-Trcp plays a central role in recruiting phosphorylated beta-catenin for degradation and in dorsoventral patterning of the Xenopus embryo.
Figure 1
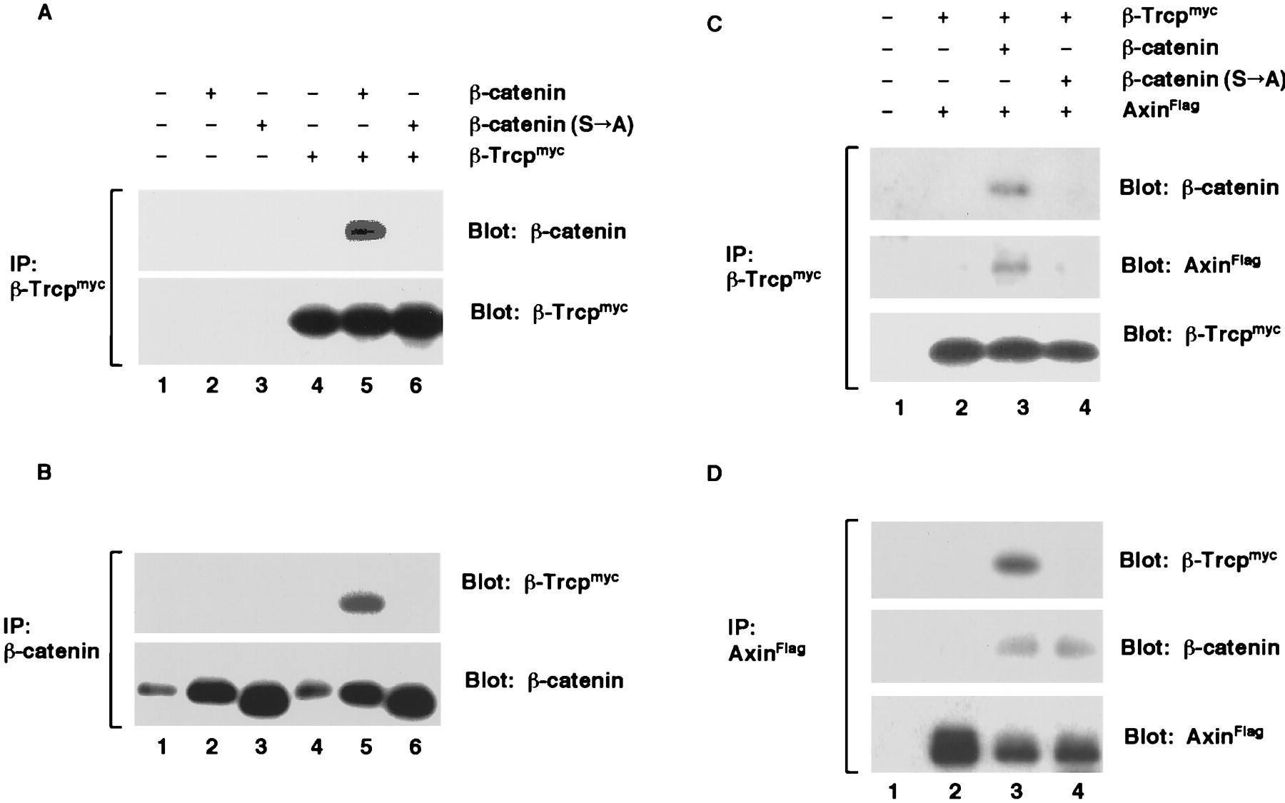
β-Trcp forms a complex with β-catenin and Axin in vivo. (A and B) Association between β-Trcp and β-catenin. (A) Immunoprecipitation of β-Trcpmyc with an anti-myc antibody. Embryo extracts were from stage 9 embryos expressing β-catenin, β-catenin (SâA), or β-Trcpmyc alone or in combination. The precipitates were examined for β-catenin (Upper) and for β-Trcpmyc (Lower). A longer exposure revealed that β-Trcpmyc also coprecipitated endogenous β-catenin (data not shown). (B) Immunoprecipitation of β-catenin using the same embryo extracts as in A. The precipitates were examined for β-Trcpmyc (Upper) and for β-catenin (Lower). Endogenous β-catenin is seen in lanes 1 and 4. RNA injected per embryo: 1 ng each for β-catenin, β-catenin (SâA), and β-Trcpmyc. (C and D) A complex formation between β-Trcp and Axin mediated by β-catenin. (C) Immunoprecipitation of β-Trcpmyc. The extracts were from stage 9 embryos expressing β-Trcpmyc plus AxinFlag in the presence or absence of β-catenin or β-catenin (SâA). The precipitates were examined for β-catenin (Top), AxinFlag (Middle), and β-Trcpmyc (Bottom). (D) Immunoprecipitation of AxinFlag using the same extracts as in C. The precipitates were examined for β-Trcpmyc (Top), β-catenin (Middle), and AxinFlag (Bottom). RNA injected per embryo: same as in A and B except 2 ng for AxinFlag.
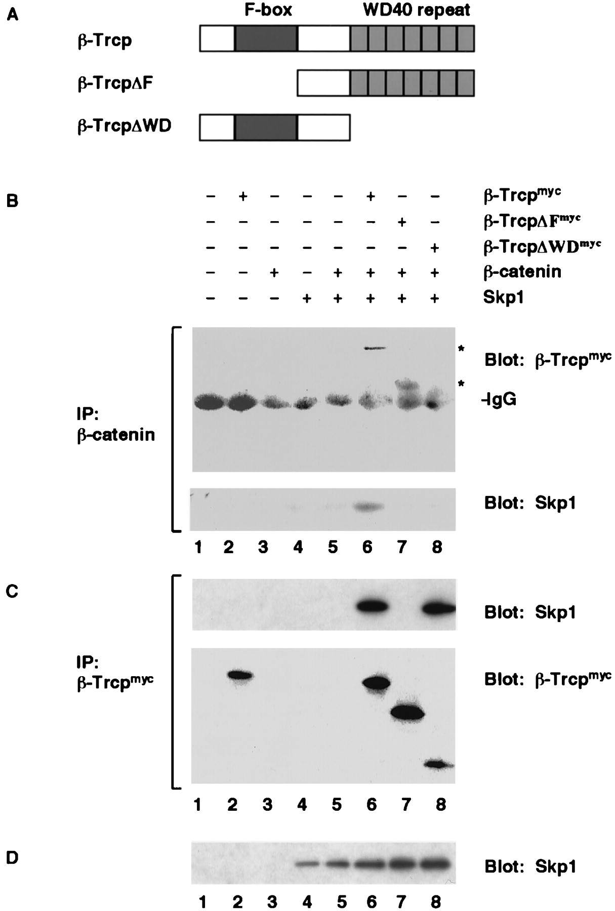
Figure 2
β-Trcp forms a complex with both β-catenin and Skp1. (A) Schematic diagram of wild-type β-Trcp, β-TrcpδF, and β-TrcpδWD. (B) Immunoprecipitation of β-catenin. The precipitates were examined for β-Trcp (Upper) and Skp1 (Lower). A longer exposure revealed that endogenous β-catenin also precipitated β-Trcpmyc (data not shown). (C) Immunoprecipitation of β-Trcpmyc using the same embryo extracts as in B. The precipitates were examined for Skp1 (Upper) and β-Trcp (Lower). (D) Immunoblot of Skp1 in the same embryo extracts as in B. RNA injected per embryo: 1 ng each for β-Trcpmyc and for deletion mutants β-catenin and Skp1.
Figure 3
β-Trcp WD40-repeat domain recognizes GSK-3β-phosphorylated β-catenin in vitro. In this GST-pull-down assay, purified GST or GST-β-catenin was examined for its ability to bind 35S-labeled β-Trcp. GST-β-catenin on beads was either untreated or were treated with purified GSK-3β in the presence or absence of ATP before incubation with β-Trcp. Note that, in this experiment, GSK-3β and ATP were removed from phosphorylated GST-β-catenin by extensively washing the GST-β-catenin on beads after phosphorylation and before incubation with β-Trcp. Lanes 1–3 represent 50% of the input 35S-labeled β-Trcp or β-Trcp mutants used in each GST-pull-down assay.
Figure 4
Phosphorylation of the amino-terminal region of β-catenin is necessary and sufficient for recognition by β-Trcp in vitro. (A) Schematic diagram of the wild-type and mutant derivatives of β-catenin. The four critical serine/threonine residues (S33, S37, T41, and S45), alanine substitutions of these residues in the S→A mutant, and surrounding residues are highlighted. Note that the Arm-repeat region that is required for Axin or TCF binding starts from residue 131. (B) Phosphorylation of β-catenin and its mutant derivatives (as GST-fusion proteins) by purified recombinant GSK-3β. Note that GST was not a substrate for GSK-3β. (C) On phosphorylation, N1, N2, and N3, but not β-catenin (S→A) were effectively recognized by β-Trcp. Lanes 1 and 13 represent 50% input of 35S-labeled β-Trcp in each GST-pull-down assay.
Figure 5
Inhibition of endogenous β-Trcp function by β-TrcpδF induces ectopic Xnr3 expression and dorsal axis duplication. (A) Ventral injection of β-TrcpδF RNA induced Xnr3 expression as examined by whole-mount in situ hybridization. All panels shown were ventral injection except in the control panel (a) (no injection). RNA amount injected per embryo: 1 ng for β-Trcp or β-TrcpδF each, 100 pg for β-catenin, and 500 pg for δNTCF. The numbers of embryos with ectopic Xnr3 expression were 0 of 10 (number of embryos examined) in a; 0 of 8 in b; 10 of 10 for β-catenin (at 500 pg RNA per embryo; data not shown); 0 of 10 in c; 7 of 10 in d; 8 of 8 for β-TrcpδF (at 4 ng RNA per embryo; data not shown); 0 of 10 in e; and 0 of 10 in f. (B and C) Axis duplication by β-TrcpδF or β-catenin plus β-TrcpδF. All shown were ventral injection except the control with no injection. Partial, partial axis duplication, defined as lacking eyes and other anterior structures in the duplicated axis. Full, complete axis duplication, defined as having eyes and other anterior structures in the duplicated axis. Number of injected embryos are indicated above each bar. RNA injected per embryo: β-catenin, 100 pg; β-TrcpδF, 1 ng; GSK-3β, 1 ng; δNTCF, 500 pg.
Figure 6
Inhibition of endogenous β-Trcp function by β-TrcpδF stabilizes β-catenin in vivo. Accumulation of β-cateninFlag or β-catenin (SâA)Flag protein was examined in stage 9 embryo extracts by immunoblotting with an anti-Flag antibody. Immunoblotting of tubulin was used as a protein loading control (Lower). This experiment were performed twice with similar results. RNA injected per embryo: 50 pg for β-cateninFlag or β-catenin (SâA)Flag; 4 ng for β-Trcp or β-TrcpδF.
Aberle,
beta-catenin is a target for the ubiquitin-proteasome pathway.
1997, Pubmed
Aberle,
beta-catenin is a target for the ubiquitin-proteasome pathway.
1997,
Pubmed Bai,
SKP1 connects cell cycle regulators to the ubiquitin proteolysis machinery through a novel motif, the F-box.
1996,
Pubmed Behrens,
Functional interaction of beta-catenin with the transcription factor LEF-1.
1996,
Pubmed
,
Xenbase Behrens,
Functional interaction of an axin homolog, conductin, with beta-catenin, APC, and GSK3beta.
1998,
Pubmed
,
Xenbase Cadigan,
Wnt signaling: a common theme in animal development.
1997,
Pubmed
,
Xenbase Cook,
Wingless inactivates glycogen synthase kinase-3 via an intracellular signalling pathway which involves a protein kinase C.
1996,
Pubmed Feldman,
A complex of Cdc4p, Skp1p, and Cdc53p/cullin catalyzes ubiquitination of the phosphorylated CDK inhibitor Sic1p.
1997,
Pubmed Harland,
In situ hybridization: an improved whole-mount method for Xenopus embryos.
1991,
Pubmed
,
Xenbase Hart,
Downregulation of beta-catenin by human Axin and its association with the APC tumor suppressor, beta-catenin and GSK3 beta.
1998,
Pubmed
,
Xenbase Heasman,
Patterning the Xenopus blastula.
1997,
Pubmed
,
Xenbase Hochstrasser,
Ubiquitin-dependent protein degradation.
1996,
Pubmed Hoyt,
Eliminating all obstacles: regulated proteolysis in the eukaryotic cell cycle.
1997,
Pubmed Huber,
Nuclear localization of beta-catenin by interaction with transcription factor LEF-1.
1996,
Pubmed
,
Xenbase Hudson,
Identification of new localized RNAs in the Xenopus oocyte by differential display PCR.
1996,
Pubmed
,
Xenbase Ikeda,
Axin, a negative regulator of the Wnt signaling pathway, forms a complex with GSK-3beta and beta-catenin and promotes GSK-3beta-dependent phosphorylation of beta-catenin.
1998,
Pubmed Itoh,
Axis determination in Xenopus involves biochemical interactions of axin, glycogen synthase kinase 3 and beta-catenin.
1998,
Pubmed
,
Xenbase Jiang,
Regulation of the Hedgehog and Wingless signalling pathways by the F-box/WD40-repeat protein Slimb.
1998,
Pubmed Kinzler,
Lessons from hereditary colorectal cancer.
1996,
Pubmed Kishida,
Axin, a negative regulator of the wnt signaling pathway, directly interacts with adenomatous polyposis coli and regulates the stabilization of beta-catenin.
1998,
Pubmed Korinek,
Constitutive transcriptional activation by a beta-catenin-Tcf complex in APC-/- colon carcinoma.
1997,
Pubmed Lagna,
Negative regulation of axis formation and Wnt signaling in Xenopus embryos by the F-box/WD40 protein beta TrCP.
1999,
Pubmed
,
Xenbase Margottin,
A novel human WD protein, h-beta TrCp, that interacts with HIV-1 Vpu connects CD4 to the ER degradation pathway through an F-box motif.
1998,
Pubmed Marikawa,
beta-TrCP is a negative regulator of Wnt/beta-catenin signaling pathway and dorsal axis formation in Xenopus embryos.
1998,
Pubmed
,
Xenbase McKendry,
LEF-1/TCF proteins mediate wnt-inducible transcription from the Xenopus nodal-related 3 promoter.
1997,
Pubmed
,
Xenbase Miyoshi,
Activation of the beta-catenin gene in primary hepatocellular carcinomas by somatic alterations involving exon 3.
1998,
Pubmed Molenaar,
XTcf-3 transcription factor mediates beta-catenin-induced axis formation in Xenopus embryos.
1996,
Pubmed
,
Xenbase Moon,
WNTs modulate cell fate and behavior during vertebrate development.
1997,
Pubmed Morin,
Activation of beta-catenin-Tcf signaling in colon cancer by mutations in beta-catenin or APC.
1997,
Pubmed Orford,
Serine phosphorylation-regulated ubiquitination and degradation of beta-catenin.
1997,
Pubmed Papkoff,
Wnt-1 regulates free pools of catenins and stabilizes APC-catenin complexes.
1996,
Pubmed Peifer,
Beta-catenin as oncogene: the smoking gun.
1997,
Pubmed Peifer,
wingless signal and Zeste-white 3 kinase trigger opposing changes in the intracellular distribution of Armadillo.
1994,
Pubmed Rubinfeld,
Stabilization of beta-catenin by genetic defects in melanoma cell lines.
1997,
Pubmed Sakanaka,
Bridging of beta-catenin and glycogen synthase kinase-3beta by axin and inhibition of beta-catenin-mediated transcription.
1998,
Pubmed Skowyra,
F-box proteins are receptors that recruit phosphorylated substrates to the SCF ubiquitin-ligase complex.
1997,
Pubmed Spencer,
Signal-induced ubiquitination of IkappaBalpha by the F-box protein Slimb/beta-TrCP.
1999,
Pubmed Spevak,
Saccharomyces cerevisiae cdc15 mutants arrested at a late stage in anaphase are rescued by Xenopus cDNAs encoding N-ras or a protein with beta-transducin repeats.
1993,
Pubmed
,
Xenbase Theodosiou,
slimb coordinates wg and dpp expression in the dorsal-ventral and anterior-posterior axes during limb development.
1998,
Pubmed van Leeuwen,
Biological activity of soluble wingless protein in cultured Drosophila imaginal disc cells.
1994,
Pubmed Voeller,
Beta-catenin mutations in human prostate cancer.
1998,
Pubmed Winston,
The SCFbeta-TRCP-ubiquitin ligase complex associates specifically with phosphorylated destruction motifs in IkappaBalpha and beta-catenin and stimulates IkappaBalpha ubiquitination in vitro.
1999,
Pubmed Yamamoto,
Axil, a member of the Axin family, interacts with both glycogen synthase kinase 3beta and beta-catenin and inhibits axis formation of Xenopus embryos.
1998,
Pubmed
,
Xenbase Yaron,
Identification of the receptor component of the IkappaBalpha-ubiquitin ligase.
1998,
Pubmed Yost,
The axis-inducing activity, stability, and subcellular distribution of beta-catenin is regulated in Xenopus embryos by glycogen synthase kinase 3.
1996,
Pubmed
,
Xenbase Zeng,
The mouse Fused locus encodes Axin, an inhibitor of the Wnt signaling pathway that regulates embryonic axis formation.
1997,
Pubmed
,
Xenbase Zhang,
Destabilization of beta-catenin by mutations in presenilin-1 potentiates neuronal apoptosis.
1998,
Pubmed Zurawel,
Sporadic medulloblastomas contain oncogenic beta-catenin mutations.
1998,
Pubmed