Click here to close
Hello! We notice that you are using Internet Explorer, which is not supported by Xenbase and may cause the site to display incorrectly.
We suggest using a current version of Chrome,
FireFox, or Safari.
???displayArticle.abstract???
Several lines of evidence implicate zinc finger proteins of the Gli family in the final steps of Hedgehog signaling in normal development and disease. C-terminally truncated mutant GLI3 proteins are also associated with human syndromes, but it is not clear whether these C-terminally truncated Gli proteins fulfil the same function as full-length ones. Here, structure-function analyses of Gli proteins have been performed using floor plate and neuronal induction assays in frog embryos, as well as induction of alkaline phosphatase (AP) in SHH-responsive mouse C3H10T1/2 (10T1/2) cells. These assays show that C-terminal sequences are required for positive inducing activity and cytoplasmic localization, whereas N-terminal sequences determine dominant negative function and nuclear localization. Analyses of nuclear targeted Gli1 and Gli2 proteins suggest that both activator and dominant negative proteins are modified forms. In embryos and COS cells, tagged Gli cDNAs yield C-terminally deleted forms similar to that of Ci. These results thus provide a molecular basis for the human Polydactyly type A and Pallister-Hall Syndrome phenotypes, derived from the deregulated production of C-terminally truncated GLI3 proteins. Analyses of full-length Gli function in 10T1/2 cells suggest that nuclear localization of activating forms is a regulated event and show that only Gli1 mimics SHH in inducing AP activity. Moreover, full-length Gli3 and all C-terminally truncated forms act antagonistically whereas Gli2 is inactive in this assay. In 10T1/2 cells, protein kinase A (PKA), a known inhibitor of Hh signaling, promotes Gli3 repressor formation and inhibits Gli1 function. Together, these findings suggest a context-dependent functional divergence of Gli protein function, in which a cell represses Gli3 and activates Gli1/2 prevents the formation of repressor Gli forms to respond to Shh. Interpretation of Hh signals by Gli proteins therefore appears to involve a fine balance of divergent functions within each and among different Gli proteins, the misregulation of which has profound biological consequences.
Fig. 1. Intracellular localization of Gli proteins and C-terminally deleted forms.
(A,D,G) Expression and intracellular localization of myc-tagged proteins produced from
full-length Gli1 (A), Gli2 (D) or Gli3 (G) cDNAs in injected frog embryos.
(B,C) Intracellular localization of N- (B) and C-terminal (C) deletions of Gli1.
(E,F) Nuclear localization of an NLS-tagged Gli2 protein (E) and a C-terminal deletion of
Gli2 (F). (H,I) Intracellular localization of N- (H) and C-terminal (I) deletions of Gli3. The
deletion constructs used are noted in each panel and are according to Fig. 2. Arrows denote
the cytoskeletal-like distribution of Gli proteins in the cytoplasm or membrane. Labeling is
in ectodermal cells.
Fig. 2. Diagram of full-length and deletion
forms of Gli proteins and summary of
intracellular localization and functional
assays. The name of the constructs is given
to the left. The bar diagrams show the
structure of the different Gli proteins in the
middle. The zinc finger domain is shown in
black and all proteins are aligned according
to this domain. Sizes and sites of truncation
are indicated by amino acid numbers.
Conserved domains are depicted above the
protein bar diagrams as dashes with their
appropriate number according to Ruppert
et al. (1990). Region 2 (not shown)
includes the zinc finger domain.
Localization (Loc) of protein products is
also indicated as nuclear (N) and/or
cytoplasmic (C). Presence (+) or absence
(-) of activity in activation (Act) or
repression (Rep) of HNF-3b or N-tubulin
(N-tub) of the different constructs is also
shown in the right columns. Absence of a
symbol means that the experiments were
not done.
Fig. 3. Quantitation of
results of functional assays.
Injected embryos analyzed
in assays depicted on the top
were scored and the results
are presented as percentages
in horizontal histograms.
The total number of
embryos assayed in each
case is given in brackets
next to the histogram.
Activation assays are shown
to the right and repression
assays are shown to the left.
The injected RNAs are
shown on the left column.
Control embryos are
uninjected embryos.
Fig. 4. Floor plate and neuronal induction assays. Normal (A) and
ectopic (B) expression of HNF-3b protein in control uninjected (A)
and Gli1-injected (B) approx. stage 34 tadpoles. The embryo shown
in B is an example of the floor-plate-induction assay used in this
study (see Lee et al., 1997; Ruiz i Altaba, 1998). Arrows in B point
to sites of ectopic expression anterior and dorsal to the floor plate
(fp). The panels show side views of cleared whole-mount-labeled
specimens with anterior to the top in A and to the left in B.
(C-F) Ectopic neurogenesis marked by the ectopic expression of Ntubulin
in neurulae (approx. stage 14) injected unilaterally with Gli2
(C), NLSGli2 (D), Gli3 (E) of an N-terminal deletion of Gli3. In (F),
N-tub expression is restricted ventrally. (C) Dorsal view with anterior
end to the top. Endogenous labeling in primary neuronal stripes is
evident in the non-injected sides. (D,E) Dorso-lateral views with
anterior end to the top. (F) Ventral views. Arrows point to sites of
ectopic expression and the myc label depicts the localization of Myctagged
Gli proteins, coincident with the sites of ectopic N-tub
expression. (G,H) Gli3C¢æCla (H), but not Gli1C¢æPstI (G), inhibits
ectopic and endogenous neurogenesis. The region inheriting the
injected protein is labeled (myc) and arrows in H point to absence of
N-tub expression in the injected side. The motor neuron (m),
interneuron (i) and sensory neuron (s) stripes are identified. Dashed
lines depict axes of bilateral symmetry.
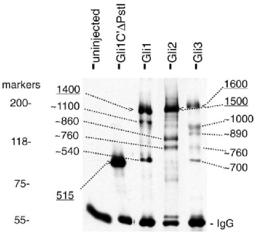
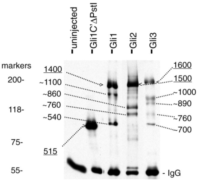
Fig. 5. IP analysis of Gli proteins in injected frog embryos. Myctagged
products of Gli1, Gli2 and Gli3 proteins produced in injected
frog cells. Full-length Gli products from a variety of injected plasmid
DNAs are depicted by arrows with dashed lines and their length,
given in amino acids, is underlined. These include the full-length Gli
proteins as well as a product from the truncated cDNA Gli1C¢æPstI.
The known sizes of several other truncated products were used to
determine the approximate sizes of shorter bands (not shown). For
Gli1, smaller bands were approx. 1100 aa and a smaller form of
approx. 540 aa. For Gli2, a major band was seen of approx. 860 aa
and a minor one at approx. 760 aa (Fig. 5). For Gli3, bands were seen
of approx. 1000, 890, 760 and 700 aa in length at similar abundance.
All sizes are approximate to ±30 aa. Each lane is labeled on top with
the injected pDNA. The sizes of full-length and of smaller products
(depicted by dashed lines and their length, given in amino acids) are
shown on the sides. The positions of standard markers are also
shown to the left. Immunoglobulins (IgG) are also indicated. All
lanes in each panel were loaded with immunoprecipitated proteins
from the same number of embryos. Deletions are as in Fig. 2.
Fig. 6. Gli proteins in transfected COS-7 and C3H1-T1/2 cells.
(A-C) Localization of Gli1 (A), Gli2 (B) and Gli3(C) in transfected
COS cells. Arrows point to cytoskeleton-like, cytoplasmic labeling.
(D) IB analysis of Myc-tagged proteins made by transfected COS
cells. Gli1, Gli2 and Gli3 refer to transfection with full-length cDNA
constructs. The proteins made from two engineered C-terminal
deletions, Gli1C¢æPatI and Gli3C¢æClaI, are shown. Note the
presence of smaller than full-length forms denoted by asterisks.
(E-G) In transfected 10T1/2 cells, Gli1 is cytoplasmic (E), whereas
Gli2 (F) and Gli3 (G) are nuclear. (H) Profile of proteins produced by
transfected 10T1/2 cells with Gli1, Gli2, Gli3 and NLSGli2. The
panel shows IB analyses of cell extracts using anti-Myc antibodies.
Note that only full-length or near full-length proteins are present. As
in injected embryos and COS cells (not shown), NLSGli1 and
NLSGli2 yield apparently larger proteins than Gli1 or Gli2,
respectively. All nuclei are counterstained with DAPI (blue). Size
standards for D and H (kDa) are shown to the left.
Fig. 7. Induction of alkaline phosphatase activity in 10T1/2 cells by
Gli proteins. (A) Quantification of induction of AP activity by
transfected Gli proteins. The top part shows the result of single
transfections and the bottom part shows double transfections
compared to Gli1 alone. Horizontal histograms show percentages
representing the ratio of AP+ cells to the total number of AP+ + Myc+
cells. n, the total number of cells counted in each case. The results of
three independent experiments are shown. (B,C) Expression of AP as
detected histochemically (B) and Myc-tagged Gli1 as detected by
immunocytochemistry (C). (D,E) SDS-PAGE analyses of transfected
Gli proteins showing the presence of full-length proteins in single and
double-transfected cells. The constructs expressed in each case are
given on top of each lane. For protein sizes refer to Figs 2, 5 and 6.
Fig. 8. Effects of PKA on Gli protein structure and function in
10T1/2 cells. (A) IB analysis of Gli1, Gli2 and Gli3 proteins
transfected into 10T1/2 cells along with constitutively active (PKAca)
or dominant negative (PKA-dn) subunits of PKA. No effect is
detected for Gli1 or Gli2. For Gli3, only PKA-ca induces the
appearance of a short form of similar size to that seen in transfected
COS cells and injected blastomeres as well as Gli3C¢æClaI, which
acts as a repressor. PKA-dn has no effect on Gli3 (not shown).
Compare the relative levels of the full-length and the shorter forms in
Gli3+PKA-ca versus Gli3 lanes. Twice the amount of Gli3 plasmid
was transfected in cells that received Gli3 alone versus Gli3+PKAca.
(B) Quantification of the number of AP+ cells detected in
different transfection experiments shown as percentage relative to the
number observed in Gli1-transfections. Note that only Gli1+PKA-ca
shows a difference from single transfections with the Gli genes.