Click here to close
Hello! We notice that you are using Internet Explorer, which is not supported by Xenbase and may cause the site to display incorrectly.
We suggest using a current version of Chrome,
FireFox, or Safari.
???displayArticle.abstract???
The maternal T-box gene VegT, whose transcripts are restricted to the vegetal hemisphere of the Xenopus embryo, plays an essential role in early development. Depletion of maternal VegT transcripts causes embryos to develop with no endoderm, while vegetal blastomeres lose the ability to induce mesoderm (Zhang, J., Houston, D. W., King, M. L., Payne, C., Wylie, C. and Heasman, J. (1998) Cell 94, 515-524). The targets of VegT, a transcription activator, must therefore include genes involved both in the specification of endoderm and in the production of mesoderm-inducing signals. We recently reported that the upstream regulatory region of the homeobox-containing gene Bix4 contains T-box binding sites. Here we show that expression of Bix4 requires maternal VegT and that two T-box binding sites are necessary and sufficient for mesodermal and endodermal expression of reporter genes driven by the Bix4 promoter in transgenic Xenopus embryos. Remarkably, a single T-box binding site is able to act as a mesoderm-specific enhancer when placed upstream of a minimal promoter. Finally, we show that Bix4 rescues the formation of endodermal markers in embryos in which VegT transcripts have been ablated but does not restore the ability of vegetal pole blastomeres to induce mesoderm. These results demonstrate that Bix4 acts directly downstream of VegT to specify endodermal differentiation in Xenopus embryos.
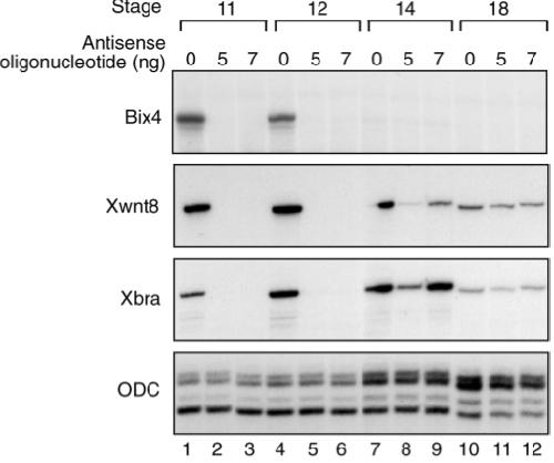
Fig. 1. Bix4 expression is abolished in embryos depleted of maternal VegT RNA. Embryos derived from uninjected oocytes or from oocytes injected with 5 or 7 ng VegT antisense oligonucleotides were analysed by RNAase protection at stages 11, 12, 14 or 18 for expression of Bix4, Xwnt8, Xbra and ODC. Depletion of VegT RNA prevents expression of Bix4 and delays expression of Xwnt8 and Xbra.
Fig. 2. VegT and Xbra induce expression of endogenous Bix4 and of Bix4 reporter constructs. (A) Expression of Bix4 is induced in animal caps in response to Xbra (weakly), VegT, and a combination of both T-box genes. Embryos at the 2-cell stage were injected with the indicated RNAs. Animal pole regions were dissected at stage 8, cultured to stage 10.5, and then assayed by RNAase protection for expression of Bix4, Xwnt11 and ODC. (B) Both VegT and Xbra activate expression of a Bix4 reporter construct. Embryos at the 2- cell stage were injected with 20 pg Bix4-LUC, 10 pg pRLTK and, where indicated, 250 pg Xbra or VegT RNA. Animal caps were dissected at stage 8 and groups of five were assayed in triplicate for Firefly and Renilla luciferase activities 3.5 hours later. Firefly luciferase activities were then normalised to Renilla activities. Error bars indicate standard deviations.
Fig. 3. Three T-box-related binding sites are required for expression of Bix4 reporter constructs in the mesoderm and endoderm of Xenopus early gastrulae. (A) Locations (left) and sequences (right) of three 10 bp sites in the Bix4 promoter that show homology to the T binding site (Tada et al., 1998): Td, the site most distal to the transcription start site (light blue oval); Tm, the middle site (red oval); Tp, the site most proximal to the transcription start site (dark blue oval). The sequence of the Xbra binding site in the eFGF promoter (Casey et al., 1998) (orange oval) is shown for comparison. Purple boxes indicate base pairs that differ between the four sequences and arrows indicate the mutations made in each site.
(B) In situ hybridisation analysis of transgenic Xenopus embryos carrying the indicated reporter gene constructs. X indicates that the site has been mutated as shown in A.
Fig. 4. Mutation of any of the three T-box sites alters the activity of Bix4-LUC in response to VegT in animal caps. Embryos at the 2-cell stage were injected with 20 pg Bix4-LUC, 10 pg pRLTK and, where indicated, 250 pg VegT RNA. Animal caps were dissected at stage 8 and groups of five were assayed in triplicate for Firefly and Renilla luciferase activities 3.5 hours later. Firefly luciferase activities were then normalised to Renilla activities. Each measurement represents the average of three separate experiments; error bars indicate standard errors.
Fig. 5. A 42 bp Bix4 promoter element containing two T-box binding sites (Tm and Tp) drives reporter gene expression in the mesoderm and endoderm of the Xenopus early gastrula. Mutation of either site (represented by Xs) causes loss of expression in the endoderm, with mutation of the Tp site also causing a reduction in mesodermal expression. Mutation of both sites abolishes germlayer-specific expression. A single 10 bp T-box binding site derived from the eFGF promoter is sufficient to drive expression throughout the presumptive mesoderm. Tm, Tp and eFGF T-box binding sequences are shown in Fig. 3A. Yellow box indicates the CSKA minimal promoter.
Fig. 6. Bix4 induces endodermal and some mesodermal markers in animal caps and rescues (albeit belatedly) expression of Xsox17α and Xbra in VegT-depleted embryos. (A) Misexpression of low concentrations of Bix4 elevates expression of Xvent1 in animal caps assayed at stage 10.5, while high concentrations induce goosecoid and Xsox17α. At stage 34, 200 pg Bix4 induces expression of αT4-globin, IFABP and endodermin. Bix4 RNA was injected into Xenopus embryos at the 2-cell stage, and animal caps were dissected at stage 8 and cultured to stages10.5 (early) or 38 (late) when they were analysed by RNAase protection. (B) Bix4 causes belated rescue of mesodermal and endodermal markers in embryos depleted of maternal VegT RNA. Embryos lacking maternal VegT (∆VegT) were injected with the indicated amounts of Bix4 RNA at the 2-cell stage into the vegetal hemisphere. They were allowed to develop to stage 10.5, 12.5 or 20 and were then analysed by RNAase protection for expression of Xsox17α, Xbra and ODC.
Fig. 7. Bix4 does not restore the ability of VegT-depleted vegetal pole regions to induce mesoderm. (A) Unlike VegT, Bix4 cannot restore to VegT-depleted vegetal pole regions the ability to induce animal caps to undergo mesoderm-specific morphological movements (Symes and Smith, 1987). VegT-depleted embryos were left uninjected (∆VegT) or received injections of 200 pg Bix4 or 200 pg VegT RNA. Vegetal pole regions derived from such embryos or from control embryos (Con) were dissected at stage 8 and juxtaposed with animal pole regions from control embryos. They were cultured to stage 16 and photographed. (B) Unlike VegT, Bix4 cannot restore to VegT- depleted vegetal pole regions the ability to induce animal caps to express muscle-specific actin. Animal cap-vegetal pole conjugates were prepared as in (A), but animal pole regions were separated from the vegetal tissue after 2 hours (Zhang et al., 1998) and cultured alone to stage 25 when they were analysed by RNAase protection.