Click here to close
Hello! We notice that you are using Internet Explorer, which is not supported by Xenbase and may cause the site to display incorrectly.
We suggest using a current version of Chrome,
FireFox, or Safari.
Gen Comp Endocrinol
1999 Sep 01;1153:309-22. doi: 10.1006/gcen.1999.7335.
Show Gene links
Show Anatomy links
Adrenomedullin in nonmammalian vertebrate pancreas: an immunocytochemical study.
López J, Cuesta N, Cuttitta F, Martínez A.
???displayArticle.abstract???
Adrenomedullin (AM) immunoreactive cells have been identified, by immunocytochemical methods, in the endocrine pancreas of seven nonmammalian vertebrate species, belonging to the cartilaginous and bony fish, amphibian, reptilian, and bird classes. The frequency and distribution of the pancreatic AM cells vary among the different animals. In most species, these cells are found scattered mainly among the exocrine component, with a few present in the islet-like structures. The distribution of AM cells in both fish species and Xenopus shows an inverse pattern, since almost every AM cell is located in the islets. In addition, the colocalization of AM with other classical pancreatic peptide immunoreactivities has been analyzed. In numerous cells, AM immunoreactivity did not colocalize with the other hormones, suggesting that AM-producing cells might constitute a new endocrine cell type in the pancreas of many species. Nevertheless, in other cells a species-specific pattern of colocalizations with insulin, somatostatin, glucagon, and pancreatic polypeptide was found, indicating that complex interactions among all these hormones may occur. In conclusion, AM represents a new regulatory peptide of the endocrine nonmammalian vertebrate pancreas, which is possibly involved in the modulation of insulin secretion and other pancreatic functions.
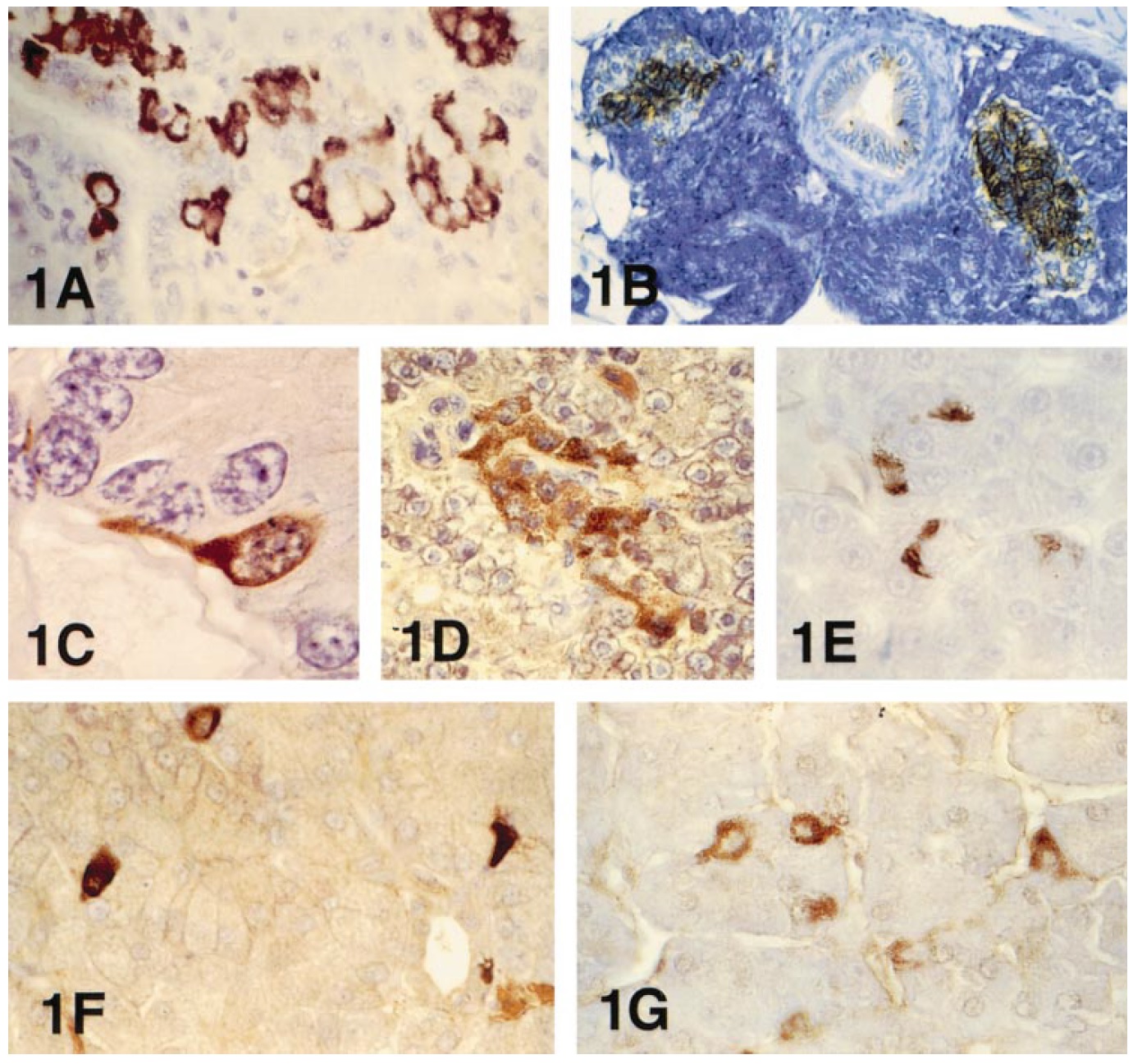
FIG. 1. Immunostaining forAM in pancreas of the seven species used in this study: brown shark (A), rainbow trout (B), Necturus (C), Xenopus
(D), Gecko (E), Anolis (F), and chicken (G). A, 3400; B, 3160; C, D, E, F and G, 3660.
FIG. 2. Examples of laser confocal triple immunofluorescence used to study colocalizations of AM with other pancreatic hormones in the same
slide. Each row represents a different animal: brown shark, rainbow trout, Necturus, Xenopus, Anolis, Gecko, and chicken, respectively. The first
column shows immunostaining for insulin (INS) in purple, the second contains the staining pattern for AM (green), and the third the
immunostaining for one of the monoclonal antibodies shown in red. The fourth column is a composite of the three previous ones. The
colocalization of green and red results in yellow and the colocalization of purple and green renders a white color. Colocalization of the three
colors, as can be seen in the shark, results in pink staining.
FIG. 3. Specificity controls. Serial sections of shark pancreatic tissue showing immunoreactive cells to AM (A) and an absorption control with
P072 (B). Xenopus pancreas after staining for AM (C) and following preabsorption of the AM antiserum with amylin (D). The dark cell at the
bottom is a melanocyte. Anolis pancreas stained with anti-AM (E) and with anti-AM preabsorbed with CGRP (F). 3190.
FIG. 4. (A) Electron micrograph of a Necturus AM cell showing numerous cytoplasmic secretory granules. The arrow points to a large secretory
granule near the nucleus, similar to those present in exocrine cells. 38250. (B) Detail of (A); the granular contents of this AM cell are labeled with
10-nm gold particles bound to the anti-AM antiserum. 341,400. (C) Electron micrograph of an AM cell in the pancreas of Anolis, located between
an alpha (Ac) and a beta (Bc) cell, at the periphery of an islet. The secretory granular contents of the AM cell are labeled with anti-AM bound to
20-nm gold particles. 313,700. (D) Double immunolabeling of a similar cell demonstrating the colocalization ofAM (large gold particles) and PP
(small gold particles) in the Anolis pancreas. 346,000.
FIG. 5. Serial paraffin sections of the dorsal lobe of chicken pancreas showing threeAM immunoreactive cells (A) that are also positive for APP
(B).Aand B,3645. (C) Electron micrograph of twoAMcells located among exocrine acinar cells; the secretory granules are labeled with anti-AM
bound to 20-nm gold particles. In this case, the grid was not stained with lead hydroxide. 36000. (D) AM cell at the periphery of an exocrine
pancreatic unit with secretory granules immunolabeled for AM. 37600. (E) Detail of a serial section of the same cell shown in (D), in which the
20-nm gold particles detect theAM antiserum and the 10-nm particles the APP antiserum. 338,000.