Click here to close
Hello! We notice that you are using Internet Explorer, which is not supported by Xenbase and may cause the site to display incorrectly.
We suggest using a current version of Chrome,
FireFox, or Safari.
Regulation of melanosome movement in the cell cycle by reversible association with myosin V.
Rogers SL, Karcher RL, Roland JT, Minin AA, Steffen W, Gelfand VI.
???displayArticle.abstract???
Previously, we have shown that melanosomes of Xenopus laevis melanophores are transported along both microtubules and actin filaments in a coordinated manner, and that myosin V is bound to purified melanosomes (Rogers, S., and V.I. Gelfand. 1998. Curr. Biol. 8:161-164). In the present study, we have demonstrated that myosin V is the actin-based motor responsible for melanosome transport. To examine whether myosin V was regulated in a cell cycle-dependent manner, purified melanosomes were treated with interphase- or metaphase-arrested Xenopus egg extracts and assayed for in vitro motility along Nitella actin filaments. Motility of organelles treated with mitotic extract was found to decrease dramatically, as compared with untreated or interphase extract-treated melanosomes. This mitotic inhibition of motility correlated with the dissociation of myosin V from melanosomes, but the activity of soluble motor remained unaffected. Furthermore, we find that myosin V heavy chain is highly phosphorylated in metaphase extracts versus interphase extracts. We conclude that organelle transport by myosin V is controlled by a cell cycle-regulated association of this motor to organelles, and that this binding is likely regulated by phosphorylation of myosin V during mitosis.
Figure 1. Expression of the dominant-negative MST construct induces uninduced pigment aggregation in melanophores. A, Transfected cell stained with an mAb against the myc epitope-tag to verify expression of MST. Expressed MST is present throughout the cytoplasm, but staining in the center of the cell is obscured by the pigment mass. B, This is a bright-field image of the cell in A, demonstrating that its pigment is aggregated to the center of the cell. C, Control cells transfected with GFP grow in culture with dispersed pigment (D). Bar, 20 μm.
Figure 2. Phase-contrast microscopy of an amelanotic melanophore possessing numerous vesicles that aggregate to the center of the cell upon treatment with melatonin (A) and disperse following treatment with MSH (B). In these cells, myosin V immunolocalizes to unmelanized melanosomes and comigrates with these organelles during aggregation (C) and dispersion (D). Bar, 20 μm.
Figure 3. Treatment of melanosomes with metaphase-, but not interphase-arrested frog egg extracts inhibits actin-based motility along Nitella actin filaments in vitro. The histogram shows the numbers of motile (black bar) and immotile (white bar) melanosomes treated with interphase extracts (I), metaphase extracts (M), or untreated control organelles (MS). Treatment with mitotic extracts inhibited motility ∼10-fold, compared with the other two treatments. The results of two independent experiments are shown.
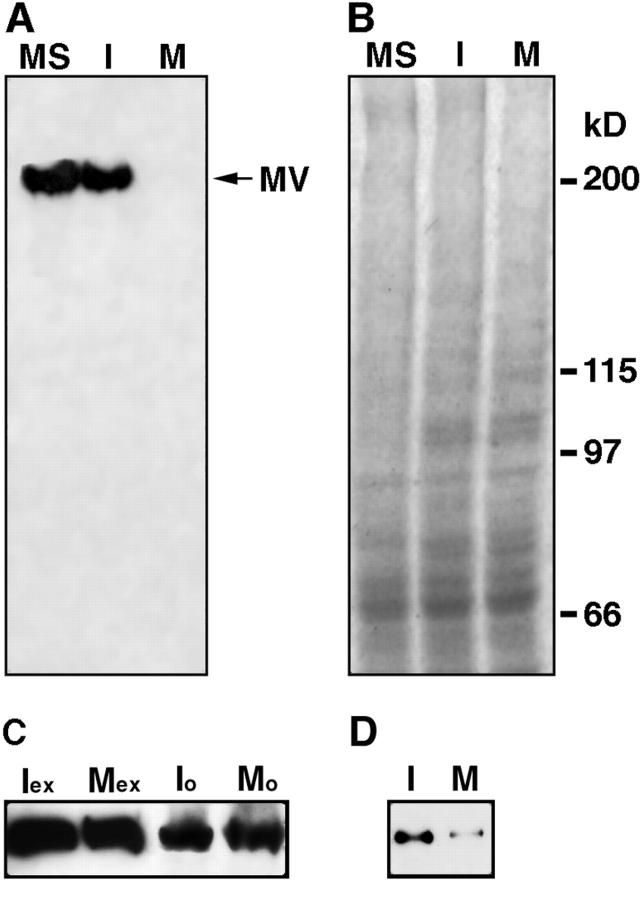
Figure 4. A, Immunoblot for myosin V of melanosome fractions treated with mitotic extracts (M), interphase extracts (I), or untreated organelles (MS). Myosin V is absent from metaphase treated organelles. The samples for each lane were normalized to load equivalent numbers of melanosomes by measuring the absorbance of melanin at 550 nm. Myosin V is designated by MV. B, Coomassie blue stained gel of the samples shown for A, demonstrating that the protein loaded in each lane is approximately equal. C, Immunoblot for myosin V in interphase extracts (Iex), metaphase extracts (Mex), interphase organelles (Io), and metaphase organelles (Mo) from frog extracts. Equal amounts of protein were loaded for each sample. D, Immunoblot for myosin V on melanosomes treated with interphase (I) and metaphase (M) high-speed supernatants prepared from egg extracts.
Figure 5. Immunoblots of microtubule motors present on metaphase-treated (M), interphase-treated (I), or untreated (MS) melanosomes. A, Detection of cytoplasmic dynein by immunoblotting for dynein intermediate chain (DIC) with the m74-1 mAb. Dynein is dissociated from melanosomes in mitotic frog egg extract. B, Kinesin-II (KII) was detected in similarly treated melanosomes with an antibody against the motor's 85-kD motor subunit, the monoclonal K2.4. The amounts of this motor on melanosomes are unaffected by treatment with extracts. The load for each lane was equalized for the number of melanosomes by absorbance.
Figure 6. Immunoadsorbed myosin V from interphase (A) or metaphase (B) extracts is able to transport Sepharose beads in the Nitella motility assay. The beads appear as large, refractile spheres, whereas the smaller oval objects are the underlying Nitella chloroplasts. The centers of three beads in each panel were tracked over 30 min; each white dot overlaid on the video frames represents the position of the beads in 1 min increments. Bar, 20 μm.
Figure 7. Phosphorylation of myosin V in cell cycle-arrested frog egg extracts. A, Extracts were 32P-labeled, and myosin V was immunoprecipitated from interphase- and metaphase-arrested extracts using affinity-purified DIL2 antibody (I and M, respectively), separated by SDS-PAGE, and analyzed by autoradiography. Myosin V (MV) is more highly phosphorylated in metaphase extracts. B, Coomassie blue stained gel as in A, to demonstrate approximately equal protein load for both treatments.
Adams,
Propulsion of organelles isolated from Acanthamoeba along actin filaments by myosin-I.
, Pubmed
Adams,
Propulsion of organelles isolated from Acanthamoeba along actin filaments by myosin-I.
,
Pubmed Allan,
Cell cycle control of microtubule-based membrane transport and tubule formation in vitro.
1991,
Pubmed
,
Xenbase Allan,
Assay of membrane motility in interphase and metaphase Xenopus extracts.
1993,
Pubmed
,
Xenbase Amaratunga,
Inhibition of kinesin synthesis and rapid anterograde axonal transport in vivo by an antisense oligonucleotide.
1993,
Pubmed Bearer,
Evidence for myosin motors on organelles in squid axoplasm.
1993,
Pubmed Bement,
TEDS rule: a molecular rationale for differential regulation of myosins by phosphorylation of the heavy chain head.
1995,
Pubmed Bomsel,
Microtubule- and motor-dependent fusion in vitro between apical and basolateral endocytic vesicles from MDCK cells.
1990,
Pubmed Brzeska,
Regulation of class I and class II myosins by heavy chain phosphorylation.
1996,
Pubmed Burkhardt,
Overexpression of the dynamitin (p50) subunit of the dynactin complex disrupts dynein-dependent maintenance of membrane organelle distribution.
1997,
Pubmed Carragher,
Structural invariance of constitutively active and inactive mutants of acanthamoeba myosin IC bound to F-actin in the rigor and ADP-bound states.
1998,
Pubmed Cheney,
Brain myosin-V is a two-headed unconventional myosin with motor activity.
1993,
Pubmed Cole,
Novel heterotrimeric kinesin-related protein purified from sea urchin eggs.
1993,
Pubmed
,
Xenbase Corthésy-Theulaz,
Cytoplasmic dynein participates in the centrosomal localization of the Golgi complex.
1992,
Pubmed Daniolos,
Action of light on frog pigment cells in culture.
1990,
Pubmed
,
Xenbase Desai,
The use of Xenopus egg extracts to study mitotic spindle assembly and function in vitro.
1999,
Pubmed
,
Xenbase Espreafico,
Localization of myosin-V in the centrosome.
1998,
Pubmed Evan,
Isolation of monoclonal antibodies specific for human c-myc proto-oncogene product.
1985,
Pubmed
,
Xenbase Feiguin,
Kinesin-mediated organelle translocation revealed by specific cellular manipulations.
1994,
Pubmed Glotzer,
Cyclin is degraded by the ubiquitin pathway.
1991,
Pubmed
,
Xenbase Grieco,
A role for cAMP-dependent protein kinase in early embryonic divisions.
1994,
Pubmed
,
Xenbase Grieco,
Requirement for cAMP-PKA pathway activation by M phase-promoting factor in the transition from mitosis to interphase.
1996,
Pubmed
,
Xenbase Huang,
M phase phosphorylation of cytoplasmic dynein intermediate chain and p150(Glued).
1999,
Pubmed
,
Xenbase Krendel,
Disassembly of actin filaments leads to increased rate and frequency of mitochondrial movement along microtubules.
1998,
Pubmed Kuznetsov,
Actin-dependent organelle movement in squid axoplasm.
1992,
Pubmed Laemmli,
Cleavage of structural proteins during the assembly of the head of bacteriophage T4.
1970,
Pubmed Lane,
Microtubule-based endoplasmic reticulum motility in Xenopus laevis: activation of membrane-associated kinesin during development.
1999,
Pubmed
,
Xenbase Larson,
A novel 190 kDa calmodulin-binding protein associated with brain actomyosin.
1988,
Pubmed Larson,
Calmodulin-binding proteins and calcium/calmodulin-regulated enzyme activities associated with brain actomyosin.
1990,
Pubmed Mermall,
Transport of cytoplasmic particles catalysed by an unconventional myosin in living Drosophila embryos.
1994,
Pubmed Morris,
Axonal transport of mitochondria along microtubules and F-actin in living vertebrate neurons.
1995,
Pubmed Murray,
Cell cycle extracts.
1991,
Pubmed Nangaku,
KIF1B, a novel microtubule plus end-directed monomeric motor protein for transport of mitochondria.
1994,
Pubmed Nascimento,
Enzymatic characterization and functional domain mapping of brain myosin-V.
1996,
Pubmed Niclas,
Cell cycle regulation of dynein association with membranes modulates microtubule-based organelle transport.
1996,
Pubmed
,
Xenbase Nilsson,
Evidence for several roles of dynein in pigment transport in melanophores.
1997,
Pubmed Palazzo,
Dynein is required for spindle assembly in cytoplasmic extracts of Spisula solidissima oocytes.
1999,
Pubmed Prekeris,
Brain myosin V is a synaptic vesicle-associated motor protein: evidence for a Ca2+-dependent interaction with the synaptobrevin-synaptophysin complex.
1997,
Pubmed Reilein,
Regulation of organelle movement in melanophores by protein kinase A (PKA), protein kinase C (PKC), and protein phosphatase 2A (PP2A).
1998,
Pubmed
,
Xenbase Rodionov,
Functional coordination of microtubule-based and actin-based motility in melanophores.
1998,
Pubmed Rogers,
Myosin cooperates with microtubule motors during organelle transport in melanophores.
1998,
Pubmed
,
Xenbase Rogers,
In vitro motility assay for melanophore pigment organelles.
1998,
Pubmed
,
Xenbase Rogers,
Regulated bidirectional motility of melanophore pigment granules along microtubules in vitro.
1997,
Pubmed
,
Xenbase Sarna,
Properties and function of the ocular melanin--a photobiophysical view.
1992,
Pubmed Seperack,
Retroviral sequences located within an intron of the dilute gene alter dilute expression in a tissue-specific manner.
1995,
Pubmed Sheetz,
Myosin movement in vitro: a quantitative assay using oriented actin cables from Nitella.
1986,
Pubmed Shima,
Partitioning of the Golgi apparatus during mitosis in living HeLa cells.
1997,
Pubmed Shima,
An ordered inheritance strategy for the Golgi apparatus: visualization of mitotic disassembly reveals a role for the mitotic spindle.
1998,
Pubmed Spector,
Latrunculins--novel marine macrolides that disrupt microfilament organization and affect cell growth: I. Comparison with cytochalasin D.
1989,
Pubmed Starodubov,
[Pigment migration in the dermal melanophores of amphibian larvae in the interphase and during mitosis].
1988,
Pubmed Steffen,
The involvement of the intermediate chain of cytoplasmic dynein in binding the motor complex to membranous organelles of Xenopus oocytes.
1997,
Pubmed
,
Xenbase Towbin,
Electrophoretic transfer of proteins from polyacrylamide gels to nitrocellulose sheets: procedure and some applications.
1979,
Pubmed Tuma,
Heterotrimeric kinesin II is the microtubule motor protein responsible for pigment dispersion in Xenopus melanophores.
1998,
Pubmed
,
Xenbase Warren,
Membrane partitioning during cell division.
1993,
Pubmed Warren,
Organelle inheritance.
1996,
Pubmed Waterman-Storer,
Dynamics of organelles in the mitotic spindles of living cells: membrane and microtubule interactions.
1993,
Pubmed Waters,
Pathways of spindle assembly.
1997,
Pubmed Wiemer,
Visualization of the peroxisomal compartment in living mammalian cells: dynamic behavior and association with microtubules.
1997,
Pubmed Wu,
Visualization of melanosome dynamics within wild-type and dilute melanocytes suggests a paradigm for myosin V function In vivo.
1998,
Pubmed Wu,
Myosin V associates with melanosomes in mouse melanocytes: evidence that myosin V is an organelle motor.
1997,
Pubmed Wu,
Myosin Va associates with microtubule-rich domains in both interphase and dividing cells.
1998,
Pubmed