Click here to close
Hello! We notice that you are using Internet Explorer, which is not supported by Xenbase and may cause the site to display incorrectly.
We suggest using a current version of Chrome,
FireFox, or Safari.
???displayArticle.abstract???
We have characterized the cell movements and prospective cell identities as neural folds fuse during neural tube formation in Xenopus laevis. A newly developed whole-mount, two-color fluorescent RNA in situ hybridization method, visualized with confocal microscopy, shows that the dorsal neural tube gene xpax3 and the neural-crest-specific gene xslug are expressed far lateral to the medial site of neural fold fusion and that expression moves medially after fusion. To determine whether cell movements or dynamic changes in gene expression are responsible, we used low-light videomicroscopy followed by fluorescent in situ and confocal microscopy. These methods revealed that populations of prospective neural crest and dorsal neural tube cells near the lateral margin of the neural plate at the start of neurulation move to the dorsal midline using distinctive forms of motility. Before fold fusion, superficial neural cells apically contract, roll the neural plate into a trough and appear to pull the superficial epidermal cell sheet medially. After neural fold fusion, lateraldeep neural cells move medially by radially intercalating between other neural cells using two types of motility. The neural crest cells migrate as individual cells toward the dorsal midline using medially directed monopolar protrusions. These movements combine the two lateral populations of neural crest into a single medial population that form the roof of the neural tube. The remaining cells of the dorsal neural tube extend protrusions both medially and laterally bringing about radial intercalation of deep and superficial cells to form a single-cell-layered, pseudostratified neural tube. While ours is the first description of medially directed cell migration during neural fold fusion and re-establishment of the neural tube, these complex cell behaviors may be involved during cavitation of the zebrafish neural keel and secondary neurulation in the posterior axis of chicken and mouse.
Fig. 1. Transverse confocal sections at the level of the trunk from late gastrula to early tailbud. Embryos labeled at the 1-cell stage with 10 kDa lysinated rhodamine dextran amine and fixed at various stages clearly show tissue morphology. (A) Late gastrula (stage 13) showing the three germ layers (en, endoderm; no, notochord; so, prospective somites; ne, neural ectoderm). (B) Late neural groove stage (stage 17) shows the medial groove has formed and the neural folds are rising. (C) Neural fold apposition (stage 18) shows the lips of the neural fold (arrows) nearly in contact. (D) Shortly after fusion of the neural folds, a slight groove remains in the ectoderm (arrow). Cells above the small incipient lumen (asterisk) are in disarray. Cells in the floorplate region have begun to radially intercalate. (E) The lumen is re- opened as radial intercalation proceeds from the ventral floorplate into more intermediate regions of the neural tube (stage 20/21). (F) Radial intercalation produces a single-cell-layered neural tube by the time the dorsal fin begins to form (stage 24/25). The deep layer of the dorsal epidermis has been re-established over the neural tube (arrowheads).
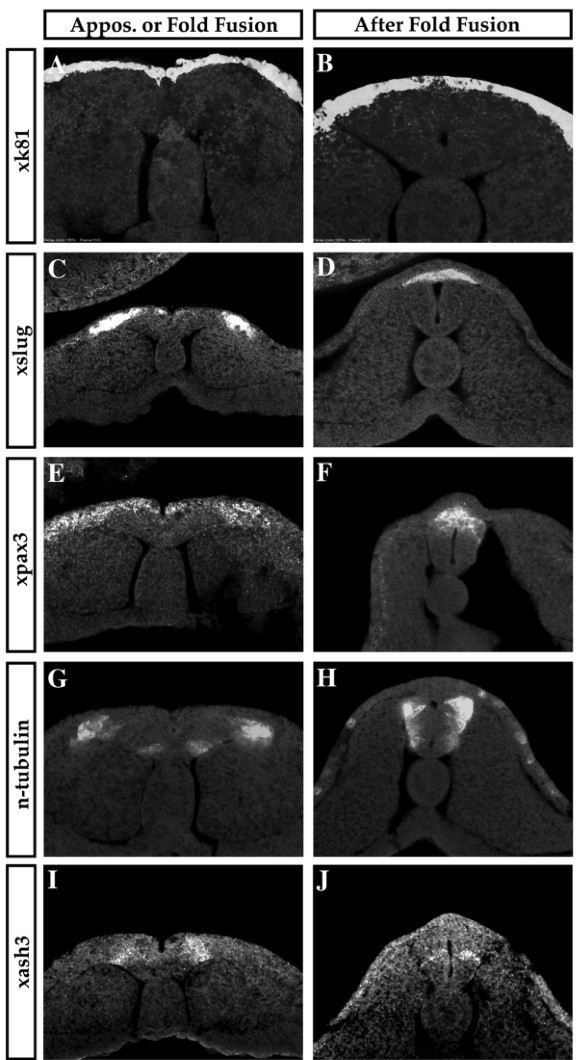
Fig. 2. Dorsal gene expression before and after neural fold fusion. Transverse confocal sections in the trunk region (50- 150 μm posterior of the hindbrain) of fluorescent RNA in situs showing gene expression in the forming neural tube. (A) Epidermal marker xk81 shows the cells at the contacting lips of the neural folds are epidermal. (B) xk81 expression over the neural tube as the lumen reforms. (C) Neural crest marker xslug shows the neural crest is far lateral as the neural folds come into apposition. (D) xslug expression is found medially in the dorsal neural tube after the tube has formed. (E) A dorsal neural tube marker, xpax3, is also found laterally as the folds come into apposition. (F) After the neural tube forms xpax3 is found in the dorsal aspect of the tube. (G) A marker for prospective neurons, n-tubulin, is expressed in two domains, a medial one marking prospective primary motorneurons at the borders of the floorplate and lateral one marking the dorsal primary sensory neurons. Again the prospective dorsal gene expression pattern is found far lateral to the site of apposition. (H) n-tubulin is expressed in a broad domain after the neural tube had formed. (I) A marker for an intermediate position in the neural tube, xash3 is found much closer to the midline.
(J) xash3 is expressed in a narrow stripe midway between the floorplate and the roofplate in the single-cell-layered neural tube.
Fig. 3. Neural crest cells migrate medially and do so as individuals. (A) A series of frames selected at 20 minute intervals from a low-light time-lapse videorecording begun during neural fold fusion. A patch of rhodamine-dextran-labeled cells is seen at the left of the frame (dark cells) against an otherwise unlabeled embryo (light). A dotted line in the :00 frame marks the midline. The solid line in the 1:20 frame marks the confocal section shown in B-D. An arrow in the 1:20 frame marks an individual cell that has migrated away from its labeled neighbors. (B) A confocal section transverse to the axis in the rhodamine channel at the line marked in the 1:20 frame of Aʹ′. The labeled cells are shown in red and an outline of the tissue boundaries of the early neural tube, somites and notochord are shown in blue.
(C) xslug expression in the same confocal section is shown in the fluorescein channel. (D) Dual image showing xslug (green) is expressed by the most medial group of cells whose edges were recorded in the low- light videorecording (red). Scale bar in (A) is 50 μm.
Fig. 4. Neural crest cells migrate with medially directed monopolar protrusive activity. (A) A series of frames selected at 10 minute intervals from a low-light time-lapse videorecording begun shortly after neural fold fusion. A single rhodamine dextran-labeled cell (dark) is visible against an unlabeled background as it migrates to the right toward the midline. (Aʹ′) Drawings of the panels in A showing with the migrating cells (outlined in grey) and the midline (dashed line). Fine structure details of protrusive activity such as filopodia and lamellae are not resolvable when cells are recorded through the epithelium. (B) A plot averaging the directional protrusive activity of nine migratory cells tracked in the xslug-expressing domain.
(C) Transverse confocal section at the trunk region of an embryo labeled in a single blastomere at the 2-cell stage and fixed shortly after fold fusion. Such labeled embryos are labeled in the left or right halves. Labeled cells have crossed over the midline to the opposite unlabeled half (arrows). The juncture between labeled and unlabeled epidermis marks the site of neural fold fusion (arrowhead). Scale bar in (A) is 50 μm.
Fig. 5. Other deep dorsal cells extend protrusions medially but are not monopolar. (A) A series of frames selected at 10 minute intervals from a low-light time-lapse recording begun shortly after neural fold fusion. Two rhodamine dextran-labeled cells in the domain of dorsal sensory neurons extend protrusions medially. (Aʹ′) Drawing of the panels in A outlining the prospective neurons and indicating the direction of the midline (arrow). (B) A plot averaging the protrusive activity of these two cells. (C) Transverse confocal section showing n-tubulin expression and the dorsalmost limit (arrow) of expression. Scale bar in (A) is 50 μm.
Fig. 6. Neural tube lumen reconstruction and radial intercalation progress from ventral to dorsal after neural fold fusion. (A) Several transverse confocal sections in the trunk region showing scattered labeled cells as the neural folds converge over the groove. Ventral cells are interdigitated (arrow and v) while more lateral, prospective dorsal, cells are not (arrow and d). (B) After fold fusion, ventral cells complete radial intercalation (arrow v) while intermediate cells begin radial intercalation and dorsal cells interdigitate (arrow i and arrow d, respectively). (C) As the lumen reaches its full ventral-to-dorsal extent, radial intercalation is complete as all cells span the wall of the neural tube. (D-F) Transverse confocal sections of embryos labeled with RDA as the neural tube lumen is reconstructed. (D) The ventral lumen is the first part of the neural tube lumen to fully reopen after fold fusion. (E) The lumen extends dorsally as intermediate cells intercalate, restoring the lumenal surface. (F) The roofplate forms as the lumen reaches its full extent.
Fig. 7. Neurulation in Xenopus laevis. (A) Medial migration of deep cells shape the early neural plate. Cells exhibit different patterns of motility in the notoplate and lateral neural plate. (B) As neurulation progresses, cells in the superficial neurectoderm apically contract shaping the neural groove. Continued cell shape change in the neural plate, notochord and prospective somites cause the neural folds to rise and come into apposition. Cells in the deep cell layer of the prospective floorplate and adjacent regions interdigitate with cells in the superficial layer. (C) After closure, medial migration and radial intercalation remodel the dorsal tube and establish the lumen. Deep cells in the ventral neural tube are the first to extend completely across the neural tube. Radial intercalation then proceeds dorsally. (D) Neural crest cells take up residence in the dorsal neural tube above the roof plate as medial migration and radial intercalation establish the efinitiveneural tube.