Click here to close
Hello! We notice that you are using Internet Explorer, which is not supported by Xenbase and may cause the site to display incorrectly.
We suggest using a current version of Chrome,
FireFox, or Safari.
Distinct domains of mouse dishevelled are responsible for the c-Jun N-terminal kinase/stress-activated protein kinase activation and the axis formation in vertebrates.
???displayArticle.abstract???
Recent studies have shown that Drosophila Dishevelled (Dsh), an essential component of the wingless signal transduction, is also involved in planar polarity signaling through the c-Jun N-terminal kinase (JNK)/stress-activated protein kinase (SAPK) pathway in Drosophila. Here, we show that expression of a mouse homolog of Dsh (mDvl-1) in NIH3T3 cells activates JNK/SAPK, and its activator MKK7. A C-terminal half of mDvl-1 which contains the DEP domain was sufficient for the activation of JNK/SAPK, whereas an N-terminal half of mDvl-1 as well as the DEP domain is required for stimulation of the TCF/LEF-1-dependent transcriptional activation, a beta-catenin-dependent process. A single amino acid substitution (Met for Lys) within the DEP domain (mDvl-1 (KM)) abolished the JNK/SAPK-activating activity of mDvl-1, but did not affect the activity to activate the LEF-1-dependent transcription. Ectopic expression of mDvl-1 (KM) or an N-terminal half of mDvl-1, but not the C-terminal, was able to induce secondary axis in Xenopus embryos. Because the secondary axis formation is dependent on the Wnt/beta-catenin signaling pathway, these results suggest that distinct domains of mDvl-1 are responsible for the two downstream signaling pathways, the beta-catenin pathway and the JNK/SAPK pathway in vertebrates.
Figure 1
Activation of the JNK/SAPK pathway by overexpression of mDvl-1. A, an expression plasmid of an HA-tagged MAPK family molecule (1.0 μg of pSRαHA-MAPK, -SAPKα, -p38α, or -ERK5) was transiently cotransfected with indicated amounts of a Myc-tagged mDvl-1 expression plasmid (Myc-mDvl-1) into NIH3T3 cells. The empty vector was used to achieve equal amounts of each vector in each transfection. 15 h after transfection, HA-tagged proteins were immunoprecipitated by mouse anti-HA antibody. The immunoprecipitates were subjected to kinase assays as described under “Experimental Procedures.” Samples were analyzed by SDS-polyacrylamide gel electrophoresis and molecular imager system (Bio-Rad). The amounts of immunoprecipitated HA-tagged proteins were detected by immunoblotting with rabbit anti-HA antibody (αHA). The presence of mDvl-1 in the lysates was verified by immunoblotting with anti-Myc antibody (αMyc). Similar results were obtained in three different experiments. B, an expression plasmid of an HA-tagged MAPKK family molecule (1.0 μg of pSRαHA-MAPKK, -MKK3b, -SEK1, -MEK5, -MKK6, and -MKK7) was transiently cotransfected with indicated amounts of a Myc-tagged mDvl-1 expression plasmid into NIH3T3 cells. 15 h after transfection, the kinase activity of HA-tagged proteins was measured by the immune complex kinase assay as described under “Experimental Procedures.” The amounts of immunoprecipitated HA-tagged proteins (αHA) and the presence of mDvl-1 in the lysates (αMyc) were detected by immunoblot- ting. Similar results were obtained in three different experiments. C, NIH3T3 cells were transfected with pSRαHA-SAPKα and CS4-Myc-mDvl-1 together with an expression vector encoding Ha-RasN17, Rac1N17, Cdc42N17, or RhoAN19. The kinase activity of JNK/SAPK was measured by the immune complex kinase assay, and the amounts of immunoprecipitated HA-SAPKα (αHA) and the presence of mDvl-1 in the lysates (αMyc) were detected by immunoblotting. Similar results were obtained in three different experiments.
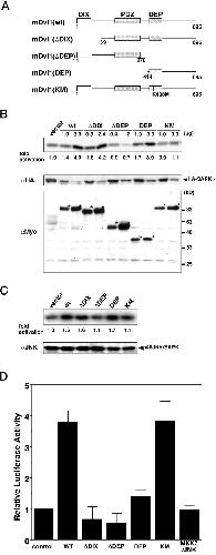
Figure 2
The DEP domain of mDvl-1 is essential for JNK/SAPK activation. A, schematic representation of wild-type and mutant mDvl-1 proteins. B, pSRαHA-SAPKα (1.0 μg) was transiently cotransfected into NIH3T3 cells with indicated amounts of an expression plasmid for a Myc-tagged wild-type (wt) or mutant mDvl-1 (ΔDIX, ΔDEP,DEP, or KM; see panel A). The expression level of mDvl-1 mutants was determined by immunoblotting of cell lysates (αMyc). Asterisks indicate the position of the mutants. The kinase activity of JNK/SAPK was measured by the immune complex kinase assay (upper panel), and the amounts of immunoprecipitated HA-SAPKα were detected by immunoblotting (αHA). Similar results were obtained in three different experiments. C, NIH3T3 cells were transfected with an expression plasmid for each of various mDvl-1 mutants (3.0 μg of wt, DEP, or KM, 2.4 μg of ΔDIX, and 1.2 μg of ΔDEP). The endogenous JNK/SAPK kinase activity was measured by an immune complex kinase assay (upper panel). The amount of endogenous JNK/SAPK in each immune complex was determined by immunoblotting with anti-JNK1 antibody (αJNK). Similar results were obtained in four different experiments. D, NIH3T3 cells were transfected with pHA-LEF1 (0.03 μg) and the reporter plasmid pTOPFLASH (0.3 μg) together with an expression plasmid (0.5 μg) for various mDvl-1 proteins (empty vector (control), WT, ΔDIX, ΔDEP, DEP, or KM) or together with expression plasmids for MKK7(DE) and JNK (0.3 μg each), as indicated. The total amount of the DNA was adjusted to 1.2 μg/35-mm dish with CS2 vector plasmid. 10 h after transfection, the cells were harvested, and the luciferase activity was measured as described under “Experimental Procedures.” Average relative luciferase activities from three independent experiments were calculated relative to the activity of the control, which was set at 1. Error bars represent mean ± S.D.
Figure 3
Effect of the addition of CAAX-motif to mDvl-1 on the JNK/SAPK activation and the TCF/LEF-1-dependent transcription. A, NIH3T3 cells were transfected with an expression plasmid for Myc-tagged mDvl proteins; wild-type (wt), ΔDEP, KM, DEP, and some of their derivatives fused to CAAX-motif at their C terminus (wt-CAAX, ΔDEP-CAAX, andKM-CAAX). 15 h after transfection, cell lysates were obtained and fractionated into the cytosol (lane C) and membrane (lane M) fractions, and the amounts of Myc-tagged proteins were determined by immunoblotting. B, NIH3T3 cells were transfected with an expression plasmid for Myc-tagged mDvl-1(KM) or mDvl-1(KM)-CAAX. 15 h after transfection, cells were fixed and stained with anti-Myc antibody. Bar, 10 μm. C, pSRαHA-SAPK (1.0 μg) was transiently cotransfected into NIH3T3 cells with 3 μg of an expression plasmid for Myc-tagged mDvl-1 proteins indicated. HA-SAPKα was immunoprecipitated with anti-HA antibody and assayed for kinase activity. Similar results were obtained in three different experiments. D, NIH3T3 cells were transfected with pHA-LEF1 (0.03 μg) and the reporter plasmid pTOPFLASH (0.3 μg) together with an expression plasmid (0.5 μg) for various mDvl-1 proteins (empty vector (control),WT, WT-CAAX, ΔDEP, ΔDEP-CAAX, KM, orKM-CAAX) as in Fig. 2 D. 10 h after transfection, the cells were harvested and the luciferase activity was measured as described under “Experimental Procedures.” Average relative luciferase activities from three independent experiments were calculated relative to the activity of the control, which was set at 1. Error bars represent mean ± S.D.
Figure 4
The bifurcate signaling pathways from mDvl-1 in Xenopus embryos. A, the activity of exogenously expressed JNK/SAPK in Xenopus embryos was determined by an immune complex kinase assay (upper panel). The expression level of HA-tagged mDvl-1 proteins was determined by immunoblotting of cell lysates (αHA), and the amounts of immunoprecipitated Myc-SAPKα were detected by rabbit anti-SAPKα antibody (αSAPK). Similar results were obtained in four different experiments. B, mRNA-injected embryos.Cont. represents no injection. Wild-type mDvl-1- or mDvl-1(KM)-injected embryos showed the duplicate axis, as indicated bywhite arrowheads.