Click here to close
Hello! We notice that you are using Internet Explorer, which is not supported by Xenbase and may cause the site to display incorrectly.
We suggest using a current version of Chrome,
FireFox, or Safari.
???displayArticle.abstract???
The sal (spalt) gene family is characterized by unique double zinc finger motifs and is conserved among various species from Drosophila to humans. Here we report a new Xenopus member of this family, Xsal-3. It is 38% homologous at the amino acid level to the previously reported Xenopus homologue of the spalt gene, Xsal-1. Alternatively spliced Xsal-3 transcripts give rise to RNAs coding either two or three double zinc fingers, and the longer form is expressed maternally. Xsal-3 is expressed in the neural tube, the mandibular, hyoid, and branchial arch, and the pronephric duct, which is different from the expression pattern of Xsal-1. These findings suggest that Xsal-3 may have distinct roles in early Xenopus development.
FIG. 1. Molecular structure of Xsal-3. Location of the cDNA clones isolated (Clones 1, 2, and 3), and the molecular structure of the predicted
complete Xsal-3. The intronic sequences in Clone 2 are shown by in the open boxes, and their absence in Clone 3 is indicated by the V-shaped lines.
The translation start site (ATG), the end of open reading frame (Stop), and the poly A tail [(A)n] are indicated in the diagrams of two synthesized
Xsal-3 sequence (with and without introns). The hatched boxes show the positions of the zinc finger domains. The unnumbered boxes represent
the CC/HC finger domain, while the boxes numbered 1–3 are the three double zinc fingers, and the 2* box is the CC/HH finger domain adjacent
to the second double finger. The region amplified by PCR with Xsal-3 specific primers is indicated by the broken line.
FIG. 2. (A) Amino acid sequences of the long form of XSAL-3. The length of the sequence is 1061 aa (long form of XSAL-3). The short form of
XSAL-3 is shown in the shaded area, and is shorter than the long form, 826 aa, because the stop codon is present in the first intron. The only one
residue in the long form sequence different from the short form, “K,” is marked by an open box, and is replaced by residue, “R” in the short form.
The zinc finger motifs are underlined, the double zinc fingers are numbered 1-3. The CC/HH finger domain adjacent to the second double finger
is marked 2*. (B) Sequence comparison of homologous zinc finger motifs of Xsal-3 (long form), Xsal-1, mouse sal (msal), human sal-1 (Hsal-1),
human sal-2 (Hsal-2), medaka sal, and Drosophila spalt. zinc complexing cysteine (C) and histidine (H) residues are shown in bold print. Identical
amino acid residues are shown as dashes, and the conserved tripeptide “SAL,” the H/C-link, and the SAL-box are shaded. Sequence identity values
correspond to the XSAL-3 fingers respectively. The single N-terminal CC/HC motif is not numbered. The double zinc finger motifs are numbered
from the N- terminal, and the single CC/HH finger motif adjacent to the second double finger is marked 2*.
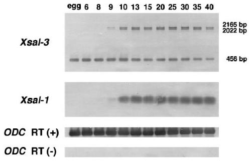
FIG. 3. Expression of Xsal-3 and Xsal-1 during development as
detected by RT-PCR. RNA was extracted from embryos at the stages
indicated. With the Xsal-3 specific primer pair that flanks both
introns, the lengths of the amplification products were 2165, 2022,
and 456 bp. RT-PCR with ornithine decarboxylase (ODC) specific
primers was carried out in parallel to control the amount of input
RNA [RT(1)]. RT(2), RT-PCR without reverse transcriptase. Stages
are shown over each lane. egg, unfertilized egg
FIG. 4. Pattern of expression of Xsal-3 during development shown by whole-mount in situ hybridization and sections of stained embryos.
(A) Lateral view of an unfertilized egg. The animal pole is at the top. (B) Lateral view of a stage 11 embryo. The blastopore site is indicated
by the arrowhead. (C) Vegetal view of a stage 11 embryo. The dorsal side is at the top. (D) A sagittal section of the stage 11 embryo in B. The
blastopore site is indicated by the arrowhead. (E) Anterior view of a stage 16 embryo. (F) Transverse section of the stage 16 embryo in E.
Xsal-3 is expressed in the neural plate (black arrow) along the anteroposterior axis and the neural crest (red arrows). (G) Lateral view of a
stage 25 embryo. Xsal-3 expression appears in the pronephric duct. And the mandibular (ma), hyoid (hy) and branchial (br) (anterior plus
posterior) arches are clearly seen. (H) Lateral view of a stage 30 embryo. The black and red lines indicate the plane of the section shown in
I and J. (I) Transverse section of the stage 30 embryo in H. Expressions is seen in the neural tube and the pronephric duct (arrow). (J)
Horizontal section of the stage 30 embryo. Xsal-3 is expressed only in the neuroectoderm. n-ec, neuroectoderm; en, endoderm; me, mesoderm.