Click here to close
Hello! We notice that you are using Internet Explorer, which is not supported by Xenbase and may cause the site to display incorrectly.
We suggest using a current version of Chrome,
FireFox, or Safari.
Dev Biol
1999 Nov 15;2152:375-87. doi: 10.1006/dbio.1999.9473.
Show Gene links
Show Anatomy links
Misexpression of Polycomb-group proteins in Xenopus alters anterior neural development and represses neural target genes.
Yoshitake Y, Howard TL, Christian JL, Hollenberg SM.
???displayArticle.abstract???
In Drosophila, the Polycomb-group constitutes a set of structurally diverse proteins that act together to silence target genes. Many mammalian Polycomb-group proteins have also been identified and show functional similarities with their invertebrate counterparts. To begin to analyze the function of Polycomb-group proteins in Xenopus development, we have cloned a Xenopus homolog of Drosophila Polycomblike, XPcl1. XPcl1 mRNA is present both maternally and zygotically, with prominent zygotic expression in the anteriorcentral nervous system. Misexpression of Pcl1 by RNA injection into embryos produces defects in the anteriorcentral nervous system. The forebrain and midbrain contain excess neural tissue at the expense of the ventricle and include greatly thickened floor and roof plates. The eye fields are present but Rx2A, an eye-specific marker, is completely repressed. Overexpression of Pcl1 in Xenopus embryos alters two hindbrain markers, repressing En-2 and shifting it and Krox-20 in a posterior direction. Similar neural phenotypes and effects on the En-2 expression pattern were produced by overexpression of three other structurally unrelated Polycomb-group proteins: M33, XBmi-1, and mPh2. These observations indicate an important role for the Polycomb-group in regulating gene expression in the developing anteriorcentral nervous system.
FIG. 1. XPcl1 sequence comparison and expression pattern. XPcl1 is compared (A) to mouse Pcl1 (TLH and SMH, unpublished results),
M96A (Inouye et al., 1994), and Drosophila Pcl (Lonie et al., 1994). Percentages are amino acid sequence identity of the indicated region
relative to XPcl1. The conserved Cys4-His-Cys3 PHD1 and PHD2 domains (Aasland et al., 1995), homology regions II and III, and the region
of microheterogeneity in XPcl1 (*) are indicated. GenBank accession numbers are XPcl1 (AF130453) and mPcl1 (U81490). XPcl1 mRNA
levels were quantified during Xenopus embryogenesis using reverse transcription followed by PCR with gene-specific primers (B). Primers
specific for Xenopus ornithine decarboxylase (ODC) were used as control to correct for differences in RNA levels and reverse transcription
efficiency. Developmental stage is indicated (Nieuwkoop and Faber, 1967). Cycle number and product sizes are XPcl1 (27 cycles, 436 bp)
and ODC (32 cycles, 234 bp). XPcl1 antisense probe was used for whole-mount RNA in situ hybridization (CâH). XPcl1 expression is
restricted to the brain (white arrowhead), eyes (white arrow), and otic vesicles (black arrow) as shown at Stage 33, lateral view (C, E), and
in a dorsal view (D) at Stage 26. Inset of (C) shows an embryo hybridized with sense XPcl1 probe. The embryo in (E) has been cleared and
shows apparent gaps of expression in the brain. Transverse sections of stage 37 embryos after XPcl1 detection are also shown (F, G, H).
Signal is present in the brain, eyes (e), and otic vesicles (o).
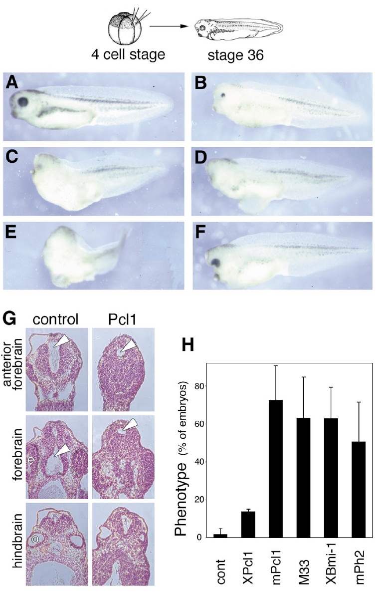
FIG. 2. Phenotypic consequences of Pcl1 and other Polycombgroup
overexpression. Embryos were symmetrically injected in
both blastomeres near the dorsal marginal zone at the four-cell
stage with 0.4 ng RNA (AâF). Control (A) and mPcl1 (BâF)
embryos are shown at stage 40. Eyes are small (B, C), absent (D,
E), and occasionally fused (F) and embryos show characteristic
changes in head shape relative to controls. Four-cell embryos
were bilaterally injected with control (b-galactosidase) or mPcl1
RNA, sectioned at Stage 36 (transverse), and stained with
hematoxylinâ eosin (G). Note how Pcl1 markedly decreases the
size of the ventricle (v) and expands the surrounding neural
tissue. The positions of the eye (e) and otic vesicle (o) are
indicated. PcG proteins produce similar anterior neural defects
(H). Embryos were injected bilaterally at the four-cell stage with
1 ng of each RNA. At Stages 36â42 embryos were scored (H) for
the distinctive changes in head morphology and eye size shown
in (BâF). At least 30 embryos were analyzed for every condition
in each experiment. Values are the average of three or more
separate experiments. Error bars show SEM. Injected RNAs are
control (b-galactosidase), Xenopus and mouse Pcl1, M33 (mouse
Polycomb1), XBmi-1, and mPh2 (mouse polyhomeotic 2).
FIG. 3. Pcl1 effects on brain and eye markers. Control (b-galactosidase) or mPcl1 RNA was injected bilaterally into the dorsal marginal
zone of four-cell-stage embryos. Expression of N-CAM (pan-neural), Rx2A (eye), Xotx2 (eye, forebrain, midbrain), X-dll3 (forebrain, otic
vesicle, branchial arches, cement gland), and Xwnt8-b (forebrainâmidbrain boundary) was assayed by whole-mount RNA in situ
hybridization. Representative embryos are shown from Stage 19â22 (left) and Stage 26 (right). Developing eye field is denoted by
arrowheads, and forebrain-specific gene expression is denoted by arrows. Note that neural patterning is unchanged at Stage 19â22, even
when eye markers are completely absent.
FIG. 4. Pcl1 and other PcG alter expression of En-2 and Krox-20. Expression of En-2 (midbrainâhindbrain boundary) and Krox-20 (hindbrain;
rhombomeres 3 and 5) were assayed by whole-mount RNA in situ hybridization at stage 19. Embryos were injected unilaterally at the four-cell
stage with either control (GFP; A, D, G) or mPcl1 RNA, plus RNA encoding N-b-galactosidase. b-Galactosidase assay with Red-gal (red product)
marks the side of injection (on the left in each panel). Repression of En-2 is dependent upon Pcl1 (B), but uncoupled from repression of Krox-20
(E,H). Posterior shifts of En-2 are also Pcl1-dependent (C), but either coincident with (F) or uncoupled from (I) shifts in Krox-20. PcGs produce
similar effects on En-2 expression (J, K). Embryos were injected unilaterally and assayed for En-2 repression (J) and position shift (K) as in (AâI).
The percentage of embryos that show the effect and the standard error are given. At least 50 embryos were analyzed in each experiment for every
condition. Values are the average of three or more separate experiments. Error bars show SEM. All analyses of En-2 expression changes were
performed blind to avoid bias.
phf1 (PHD finger protein 1) gene expression in Xenopus laevis embryo, assayed via in situ hybridization, NF stage 33, lateral view, anteriorleft, dorsal up.