|
Fig. 1. MT mRNA expression during Xenopus development. RNA was
fractionated on 1.2% agarose composite gels (0.6% agarose, 0.6% NuSieve
GTG) and hybridized with 32P-labeled X. laevis probes coding for MT (a, XL2-
MT cDNA, Muller et al., 1993) and 18S rDNA (b, control for RNA loading).
Total RNA, 20 mg/lane: 1, ovary; 2, early cleavage; 3, blastula; 4, early
gastrula; 5, late gastrula; 6, neurula; 7, early tailbud [stage 22]; 8, tailbud
[stage 28]. A 0.8 kb MT transcript is detected only in ovary and late tailbud
stage embryos. |
|
Fig. 2. MT expression in tailbud stage embryos (whole-mount).
Embryos [(a) stage 35, (b) stage 33, (c,d) stage 37] were fixed and
processed for whole-mount in situ hybridization using digoxigenin labeled
sense (a) and antisense (b-d) MT riboprobes. The enlargement in (d)
shows a strong internal labeling including all anterior endoderm. ae,
anterior endoderm; bpe, bucco-pharyngeal epithelium; le, lens; p, pronephros;
wd, wolffian duct. |
|
Fig. 3. MT expression in tailbud stage embryos (whole-mount sections).
Transversal sections of whole-mount hybridized embryos: (a)
sense probe, head level, stage 33, (b) antisense probe, head level, stage
33, (c) antisense probe, trunk level, stage 37. bpe, bucco-pharyngeal
epithelium; eym, endodermal yolk mass; le, lens; mes, mesencephalon; nt,
neural tube; p, pronephros. |
|
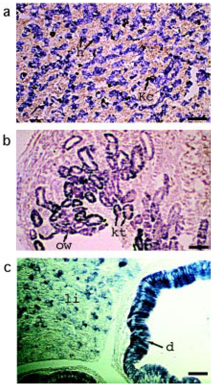
Fig. 4. MT expression in larval and adult organs. Tissue sections of larval
and adult organs embedded in Paraplast were hybridized with antisense
MT digoxigenin labeled probes without additional staining. (a) Adult liver,
(b) adult kidney, (c) larval liver and intestine, early climax [stage 60]. d,
duodenum; h, hepatocytes; Kc, Kuppfer cells; kt, kidney tubule; li, liver; ow,
outer wall. Bars, (a) 300 mm, (b,c) 100 mm. |
|
Fig. 5. MT expression in larval and adult brain. (a,b) Hybridization of brain sections with radioactive antisense probes. Sections were counterstained with 0.1% toluidine blue and examined under brightfield optics. (a) Parasagittal section of adult brain. Bar, 400 mm (b) Horizontal section of larval brain [stage 62, climax]. Bar, 300 mm. Arrowheads point to the main labeling sites at the level of periventricular areas. (c,d) Hybridization with digoxigenin labeled antisense probes. These sections, which are not counterstained, correspond to brain regions indicated by stars in (a). (c) Enlargement of the periventricular neuroepithelium of the mesencephalon. Bar, 120 mm. (d) Enlargement of the pituitary gland and infundibulum. Bar, 120 mm. hy, hypophysis; in, infundibulum; mes, mesencephalon; met, metencephalon; pg, pituitary gland (infundibulum and hypophysis); tel,
telencephalon. |
|
mt4 (metallothionein 4) gene expression in a Xenopus laevis embyro as assayed by in situ hybridization, NF stage 37. Lateral view: dorsal up, anterior left |