Click here to close
Hello! We notice that you are using Internet Explorer, which is not supported by Xenbase and may cause the site to display incorrectly.
We suggest using a current version of Chrome,
FireFox, or Safari.
Pax-6 and Prox 1 expression during lens regeneration from Cynops iris and Xenopus cornea: evidence for a genetic program common to embryonic lens development.
???displayArticle.abstract??? Lens regeneration from non-lens ocular tissues has been well documented in amphibians, from the dorsal iris in the newt and from the outer cornea in Xenopus. To understand the early molecular events which govern lens regeneration, we examined the expression of two early marker genes of normal lens development, Pax-6 and Prox 1. In both Cynops (newt) iris and Xenopus cornea, Pax-6 is expressed soon after lentectomy in a region broader than that giving rise to the regenerating lens, indicative of an important role for Pax-6 in determination of the regeneration potential. Then Prox 1 expression begins within the Pax-6-expressing tissue, and these Prox 1-expressing cells give rise to the regenerating lens. This sequence of events also takes place in the lens placode of the embryo, indicating that the presence of the same genetic program operates in both embryonic lens development and lens regeneration, at least partly. In the Cynops iris, Pax-6 expression occurs initially in the entire marginal region of the iris after lentectomy but then becomes restricted to the dorsal region. Further studies are expected to elucidate the mechanism of this long-standing problem of the dorsal-restriction of lens regeneration from the newt iris.
Fig. 1 Deduced amino acid sequences
of Prox 1 of NEWT
and XENOPUS compared with
amino acid sequences of
CHICKEN and MOUSE. The
homeodomains are boxed
Fig. 2A–J Pax-6 and Prox 1
expression at different stages of
lens development in Cynops
embryos. Whole mount and
section in situ hybridization of
Pax-6 (A–E) and Prox 1 (F–J),
lp lens placode, lv lens vesicle,
oc optic cup, ov optic vesicle,
se surface ectoderm, bars
50 μm
Fig. 3AâL Pax-6 and Prox 1
expression at different stages of
lens development in Xenopus
embryos. Whole mount and
section in situ hybridization of
Pax-6 (AâF) and Prox 1
(GâL). Arrows in A indicate
Pax-6 expression in the presumptive
lens area of the head
ectoderm. Arrowheads in D indicate
the border between surface
ectoderm and optic vesicle;
lr lens rudiment, bars 50 μm
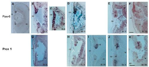
Fig. 4A–K Pax-6 and Prox 1 expression during lens regeneration
of Cynops. Section in situ hybridization of Pax-6 (A–F) and Prox
1 (G–K). C Section through the lateral part of the eye in B showing
Pax-6 expression in the entire margin of the iris. The approximate
times to reach each stage after lentectomy is as follows:
stage II, 2–5 days; stage III, 4–7 days; stage IV, 6–9 days; stage V,
8–11 days; stage VII, 13–15 days. co cornea, di dorsal iris, i iris,
l lens, nr neural retina, vi ventral iris, bars 50 μm
Fig. 5AâN Pax-6 and Prox 1 expression during lens regeneration
of Xenopus. Photos of section in situ hybridization of Pax-6 (AâJ)
and Prox 1 (KâN) are arranged to show comparison of the Pax-6
and Prox 1 expression at the same stages. Arrowheads indicate
Pax-6 expression in the inner layer of the outer cornea. A, B Before
lentectomy. I, J Incision was made in the cornea without lentectomy,
resulting in no Pax-6 expression in the cornea. Approximate
times to reach each stage after lentectomy is as follows:
stage 1, 1â2 days; stage 2, 2â4 days; stage 3, 4â7 days; stage 4,
8â10 days; ca cell aggregate, co cornea, ico inner cornea, oco outer
cornea, bars 50 μm. Apparent expression of neural retina in
Figs. 4 and 5 should be examined by more precise observation in
future