|
FIG. 1. 3D modelling of the tadpole head region. The notochord provides an appropriate reference structure for 3D reconstruction of the
developing heart. (A) Whole-mount immunostaining with MZ15 polyclonal antibody demonstrates that the notochord (N) forms an
approximately linear rod above the heart region of the stage 34 tadpole. Episcopic images from a stage 35 embryo yield 3D models (B and
C) which accurately reproduce organ morphology. Brain (magenta), notochord (yellow), eyes (white), heart tube (red), liver primordium
(cyan). Note the spiral shape of the looping heart tube and its extension (as the sinus venosus) over the dorsal surface of the liver. Posterior
bifurcation of the sinus venosus into the Cuverian ducts is also evident.
FIG. 2. Myocardial gene expression precedes overt morphological differentiation. Lateral and ventral views of late tail bud embryos (stage
26/27) after whole-mount in situ hybridisation to detect Nkx2-5 (A), XMLC2a (B), and XMHCa (C) gene expression. Transcripts are
localised in bilateral domains, clearly separated on the ventral midline. Sections through the heart-forming region show bilateral domains
of Nkx2-5 (D) and XMLC2a (E) expression, separated by the ventralmost nonexpressing cells (arrows). Normal, triple-stained sections
through the same region (F) demonstrate that the cardiac mesoderm (m) forms a contiguous layer across the ventral midline, clearly distinct
from the adjacent endoderm (e). |
|
FIG. 1. 3D modelling of the tadpole head region. The notochord provides an appropriate reference structure for 3D reconstruction of the
developing heart. (A) Whole-mount immunostaining with MZ15 polyclonal antibody demonstrates that the notochord (N) forms an
approximately linear rod above the heart region of the stage 34 tadpole. Episcopic images from a stage 35 embryo yield 3D models (B and
C) which accurately reproduce organ morphology. Brain (magenta), notochord (yellow), eyes (white), heart tube (red), liver primordium
(cyan). Note the spiral shape of the looping heart tube and its extension (as the sinus venosus) over the dorsal surface of the liver. Posterior
bifurcation of the sinus venosus into the Cuverian ducts is also evident. |
|
FIG. 2. Myocardial gene expression precedes overt morphological differentiation. Lateral and ventral views of late tail bud embryos (stage
26/27) after whole-mount in situ hybridisation to detect Nkx2-5 (A), XMLC2a (B), and XMHCa (C) gene expression. Transcripts are
localised in bilateral domains, clearly separated on the ventral midline. Sections through the heart-forming region show bilateral domains
of Nkx2-5 (D) and XMLC2a (E) expression, separated by the ventralmost nonexpressing cells (arrows). Normal, triple-stained sections
through the same region (F) demonstrate that the cardiac mesoderm (m) forms a contiguous layer across the ventral midline, clearly distinct
from the adjacent endoderm (e). |
|
FIG. 3. Formation of the linear heart tube (stage 29). Transverse sections through the anteroventral, heart-forming region, showing
endocardial (e), myocardial (m), and pericardial (p) cell layers. Sections (7 mm) are numbered commencing from the anterior end of the
pericardial cavity. 3D models (viewed as indicated) demonstrate that the thickened, myocardial region of the splanchnic mesoderm (red)
forms a trough, within which lies the endocardial tube (yellow). |
|
FIG. 4. Completion of a linear heart tube (stage 32). Transverse sections demonstrate that by this stage, the myocardium has formed a
complete tube surrounding the endocardium in all but the most anterior region (see Fig. 3 legend for labelling details). The most posterior
sections show bifurcation of the endocardial tube into the sinus venosa (sv), dorsal to the liver primordium (liv). 3D models (dorsal view)
show the aortic sac (as) at the anterior end of the endocardial tube, as well as the ventral aorta and first aortic arch (aa). (For clarity, the dorsal
mesocardium and pericardial roof (grey) are omitted from dorsal and ventral views.) |
|
FIG. 5. Spiral looping of the heart tube (stage 35). Transverse sections through the looped heart tube show the medial location of the
truncus arteriosus (ta) and rightward displacement of the adjacent conus region (c) (see Figs. 3 and 4 for further labelling details). 3D models
reveal the anticlockwise spiral formed by the looping heart tube. (For clarity, the dorsal mesocardium and pericardial roof (grey) are omitted
from dorsal and ventral views). |
|
FIG. 6. The onset of chamber formation (stage 40). Transverse sections indicate the complexity of heart morphology by this stage. Anterior
and posterior regions of the outflow tract (truncus arteriosus and conus, respectively) can be identified; ventricular (v) and atrial (a) regions
have formed in an anterior to posterior sequence along the looped tube. Some thickening of the ventricular myocardium is evident, but is
more clearly resolved in plastic sections (see Fig. 7). 3D models of the inner (yellow) and outer (red) surfaces of the myocardium demonstrate
that the atrial region lies both dorsal and posterior to the ventricle. A broad sinus (sv) extends from the atrial region over the developing
liver before bifurcating into the Cuverian ducts. |
|
FIG. 7. Completion of the three-chambered heart (stage 46). Transverse sections are numbered in cranialâcaudal sequence, beginning with
the most anterior portion of the outflow tract. Blood cells (b) are present throughout the heart chambers and are particularly prominent in
the aortic arch (aa), aortic sac (as), and atrial chambers. The spiral valve (sp) can be seen partitioning blood flow from the outflow tract (ot)
to the aortic sac. The ventricular myocardium shows extensive trabeculation and local thickening at the atrioventricular aperture (va). The
atrioventricular valve (av) separates atrial and ventricular chambers. Dorsal to the ventricle (v), a septum (s) incompletely divides the
thin-walled atrial chamber into left (la) and right (ra) atria. In more caudal sections, septation is complete. 3D models reveal the separation
of inflow from the sinus venosus (sv) and pulmonary vein (pv), which supply the right and left atria, respectively. At the stage shown, a small
connection between the left atrium and the sinus venosus can also be seen (section 40, arrowhead; 3D model, left view). This is lost in older
embryos. |
|
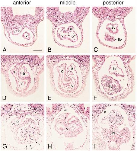
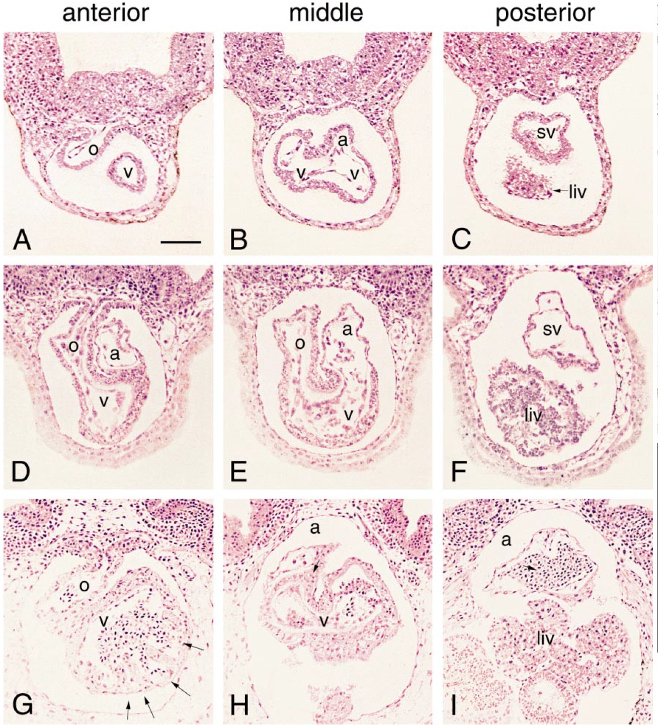
FIG. 8. The acquisition of distinct chamber morphologies is clearly resolved in transverse sections from methacrylate-embedded embryos.
(A–C, D–F, and G–I) Sections through the anterior, middle, and posterior regions of the heart tube at stages 35, 39, and 42, respectively. At
the onset of looping (stage35), the myocardial walls of the outflow tract (o), ventricular (v), atrial (a), and posterior sinus (sv) regions are of
equal thickness. By stage 39, differential thickening is evident in the outflow tract and ventricular region. At stage 42, trabeculae (arrows)
have formed in the lateroventral wall of the ventricular myocardium. (Blood cells are evident throughout the heart at this stage.) Bar
represents 100 mm. |
|
FIG. 9. Expression of Xenopus Hand1 in the heart tube. Hand1 transcripts were visualised by whole-mount RNA in situ hybridisation
(purple) in embryos at the linear (stage 30) and looped (stage 35) heart tube stages (A and B, respectively). Serial 10-mm transverse sections
were numbered from the beginning of the pericardial cavity and representative examples are shown. At the linear tube stage, staining is
absent from the left myocardial wall (arrowheads) in anterior sections and increasingly from the right myocardial wall in more posterior
sections. In the looped heart, little or no staining is detected in the dorsal wall of the ventricle or the atrial myocardium (arrowheads). 3D
models constructed from these data show the Hand1 expression domain (red) superimposed on a model of the myocardium (opaque). (Note
that some distortion has occurred as a result of the whole-mount procedure, resulting in compression of the heart loop in both AP and DV
axes.) |