Click here to close
Hello! We notice that you are using Internet Explorer, which is not supported by Xenbase and may cause the site to display incorrectly.
We suggest using a current version of Chrome,
FireFox, or Safari.
???displayArticle.abstract???
Cortical rotation and concomitant dorsal translocation of cytoplasmic determinants are the earliest events known to be necessary for dorsoventral patterning in Xenopus embryos. The earliest known molecular target is beta-catenin, which is essential for dorsal development and becomes dorsally enriched shortly after cortical rotation. In mammalian cells cytoplasmic accumulation of beta-catenin follows reduction of the specific activity of glycogen synthase kinase 3-beta (GSK3beta). In Xenopus embryos, exogenous GSK3beta) suppresses dorsal development as predicted and GSK3beta dominant negative (kinase dead) mutants cause ectopic axis formation. However, endogenous GSK3beta regulation is poorly characterized. Here we demonstrate two modes of GSK3beta regulation in Xenopus. Endogenous mechanisms cause depletion of GSK3beta protein on the dorsal side of the embryo. The timing, location and magnitude of the depletion correspond to those of endogenous beta-catenin accumulation. UV and D(2)O treatments that abolish and enhance dorsal character of the embryo, respectively, correspondingly abolish and enhance GSK3beta depletion. A candidate regulator of GSK3beta, GSK3-binding protein (GBP), known to be essential for axis formation, also induces depletion of GSK3beta. Depletion of GSK3beta is a previously undescribed mode of regulation of this signal transducer. The other mode of regulation is observed in response to Wnt and dishevelled expression. Neither Wnt nor dishevelled causes depletion but instead they reduce GSK3beta-specific activity. Thus, Wnt/Dsh and GBP appear to effect two biochemically distinct modes of GSK3beta regulation.
Fig. 1. Specificity, calibration and linearity tests for GSK3b
abundance and specific activity assays. (A) The anti-GSK3b
antibody recognizes a single band in western blots of Xenopus
embryonic lysates. (B) In immune-precipitate kinase assays,
substrate peptide (lane 1) is efficiently labelled, while a control
peptide in which a prephosphorylated serine is replaced by an
alanine (lane 2), has no detectable radiolabel (see Methods for
peptide details). Immunoprecipitates made with a control antibody
(anti-myc, 9E10) fail to incorporate label into substrate peptide (lane
3). (C,D) Western blot quantitation was in the linear range. Serial
dilutions of embryonic lysates were assayed by western blot and
scintillation counting of phosphorylated substrate as described in
Methods. Integrated pixel intensity for GSK3b detection on western
blots is plotted against amount loaded for short, medium and long
ECL exposure times (S,M,L) corresponding to maximal raw pixel
values of 170, 190 and 220 for the highest loadings. Linearity is
maintained within the middle loadings for all three exposures (pixel
intensities in the range 90-210). For subsequent assays, 0.25 embryo
equivalents were loaded per lane and film exposures kept within the
linear range. Loss of linearity outside of this range occurs for each of
these exposures and is probably, therefore, a function of western
blotting efficiency rather than the linearity of detection. This linearity
test was repeated twice. In addition, for all experiments, quantitation
was carried out at least two different exposures to eliminate film
densitometry effects. (D) GSK3b kinase activity assays (scintillation
counts) were linear for 32P incorporation versus amount of GSK3b
protein (assayed by quantitative western blotting) showing reliable
measurement of specific activity under the conditions used. This
linearity test was repeated three times.
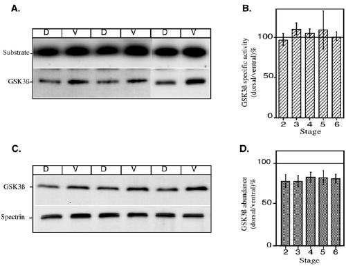
Fig. 2. GSK3b abundance, but not specific
activity, is lower dorsally than ventrally in normal
embryos. (A) Example lanes from typical western
blots of GSK3b immunoprecipitates probed for
GSK3b and the autoradiograph of corresponding
phosphorylated substrate. Pairs of lanes are from
stages 2,3 and 4 read from left to right. Both
western and autoradiograph bands are less intense
in dorsal (D) than ventral (V) lanes. (B) GSK3b-
specific activity expressed as dorsal values relative
to ventral (100%). Values represent the ratio of
activity (counts in substrate bands in A) divided
by corresponding GSK3b protein abundance
(integrated intensity of bands in western blots,
lower bands in A). Loading was normalized to
total protein (Bradford assay). A total of 28 assays
were carried out (2-10 for each stage) on pools of
5 embryo halves from eight different egg batches.
Values are not significantly different from 100%,
i.e. dorsal = ventral. (C) Example of a typical
western blot of unfractionated embryo halves
loaded directly onto SDS gels and probed for
GSK3b and spectrin (loading control). GSK3b
band is less intense in the dorsal sample than in
ventral while the dorsal spectrin band is equal to
or slightly more intense than the ventral band. (D) GSK3b abundance expressed as dorsal values relative to ventral (100%). Values represent the
ratio GSK3b abundance (integrated intensity of upper bands in B) divided by the corresponding spectrin abundance (loading control). GSK3b
abundance is consistently 20-30% lower ventrally than dorsally. The difference is statistically significant (P<0.0001; Wilcoxon Signed Rank
Test). A total of 41 measurements were made from pools of 5 embryo halves from eight different egg batches. Error bars represent s.e.m.
Quantitation using a second anti-GSK3b antibody for western detection that recognizes a different epitope (see Methods) gave
indistinguishable results (not shown).
Fig. 3. Immunostaining of embryos showing cortical depletion of
GSK3b coincident with enrichment of b-catenin. Anti-GSK3b (red
channel, D, H) and anti-b-catenin (blue channel, A,E) antibodies
were used simultaneously. Autofluorescence of yolk protein (green
channel, C,G) serves as a ‘counterstain’ to show cytoplasm.
Horizontal confocal optical sections from two independent egg
batches are shown (A-D,E-H). (A,E) Cortical (peripheral)
enrichment of b-catenin. This enrichment marks the dorsal side of
the embryo (Larabell et al., 1997) and provides a positive control for
stainability of cortex. (B,F) Merged green and red images showing
GSK3b-containing cytoplasm in yellow and GSK3b-depleted
cytoplasm in green (arrows). Images were captured digitally on a
laser scanning (confocal) microscope as optical sections. Contrast
and brightness were adjusted for printing to equalize maximal
intensities in each channel. Controls with transposed secondary
antibodies gave similar results and controls without primary
antibodies showed negligible background fluorescence (data not
shown). Depletion coincides with the most cortical area of b-catenin
enrichment. Scale bars, 100 mm.
Fig. 4. Early dorsal axis perturbations cause corresponding changes
in GSK3b abundance. Diagrams show tadpole stage phenotypes
corresponding to protein measurements made at stage 6. (A) UV
ventralization of embryos abolishes the GSK3b depletion normally
found on the prospective dorsal side (opposite the sperm entry point).
Quantitative western blots of halves of UV-treated and control
embryos show that the GSK3b abundance difference is abolished.
Average dorsoanterior index (DAI) for these experiments was 0.36
(zero is a completely ventralized embryo, 5 is wild type (Kao and
Elinson, 1988)) (n=15). (B) Deuterium (D2O) treatment, which
causes dorsalization of embryos, also causes net depletion of GSK3b
relative to control embryos. Average DAI was 7.0, which indicates
predominantly twinned-axis embryos. GSK3b was depleted on
average by 36% (n=19) in D2O-treated whole embryos.
Fig. 5. XWnt8 and XDsh expression reduce GSK3b-specific activity
but not abundance. RNA encoding XWnt8 or XDsh was injected on
the ventral side of embryos in the minimum amounts sufficient to
generate a complete ectopic axis in 80% of embryos. Diagrams show
tadpole stage phenotypes corresponding to measurements made at
stage 6. Injected RNAâs reduce GSK3b-specific activity (A) and but
do not reduce abundance (B). The endogenous dorsal depletion of
GSK3b protein is matched in magnitude by the induced ventral
reduction in GSK3b-specific activity. D, dorsal; V, ventral.
Fig. 6. Effects of expression of GSK3b-binding protein (GBP) on
GSK3b-specific activity and abundance. RNA encoding GSKbinding
protein (GBP) was injected on the ventral side of embryos in
the minimum amounts sufficient to generate a complete duplicate
axis in 80% of embryos. Diagrams show tadpole-stage phenotypes
corresponding to measurements made at stage 6. (A) Specific activity
of GSK3b is not significantly affected by GBP overexpression.
(B) Abundance of GSK3b is reduced on the ventral (GBP-injected)
side of the embryo such that it is now equal to dorsal abundance.
Injection of a control protein, a mutant form of GBP that does not
bind to GSK3b (Yost et al., 1998) has no effect on GSK3b
abundance. For each data point, n=10 or greater. D, dorsal;
V, ventral.