Click here to close
Hello! We notice that you are using Internet Explorer, which is not supported by Xenbase and may cause the site to display incorrectly.
We suggest using a current version of Chrome,
FireFox, or Safari.
???displayArticle.abstract???
We examined the spatial and temporal control of actin assembly in living Xenopus eggs. Within minutes of egg activation, dynamic actin-rich comet tails appeared on a subset of cytoplasmic vesicles that were enriched in protein kinase C (PKC), causing the vesicles to move through the cytoplasm. Actin comet tail formation in vivo was stimulated by the PKC activator phorbol myristate acetate (PMA), and this process could be reconstituted in a cell-free system. We used this system to define the characteristics that distinguish vesicles associated with actin comet tails from other vesicles in the extract. We found that the protein, N-WASP, was recruited to the surface of every vesicle associated with an actin comet tail, suggesting that vesicle movement results from actin assembly nucleated by the Arp2/3 complex, the immediate downstream target of N-WASP. The motile vesicles accumulated the dye acridine orange, a marker for endosomes and lysosomes. Furthermore, vesicles associated with actin comet tails had the morphological features of multivesicular endosomes as revealed by electron microscopy. Endosomes and lysosomes from mammalian cells preferentially nucleated actin assembly and moved in the Xenopus egg extract system. These results define endosomes and lysosomes as recruitment sites for the actin nucleation machinery and demonstrate that actin assembly contributes to organelle movement. Conversely, by nucleating actin assembly, intracellular membranes may contribute to the dynamic organization of the actin cytoskeleton.
Figure 1. Actin comet tail formation in an activated Xenopus egg. (A) Vegetal pole of an egg, 2 min after activating the animal hemisphere by pricking with a glass micropipet. This region of the egg, viewed with a scanning laser confocal microscope, has not yet undergone activation-induced modifications. A diffuse distribution of rhodamine-actin and XPKCα-GFP is seen amidst the secretory cortical granules (1–3-μm-diam circular shadows) just beneath the plasma membrane. (B) Same region of the egg, 4 min after activation. The cortical secretory granules have undergone exocytosis and larger vesicles enriched in XPKCα-GFP (3–5-μm-diam) are now visible. As the egg reaches maximal contraction, large spherical accumulations of rhodamine-actin form amidst the field of vesicles. (C) A similar region of the egg after contraction (8 min after activation) showing numerous rhodamine-actin comet tails in a field of XPKCα-GFP vesicles of varying sizes. This is a tangential optical section, with the far right edge of the image showing microvillar tips on the egg surface and deeper regions of the egg cortex revealed on the left. (D) Time-lapse sequence (3.5-s intervals) showing the birth of rhodamine-actin comet tails. Actin assembly appears to be initiated by a PKC-enriched vesicle and ultimately effects a 10-μm displacement of that vesicle. See Online Supplemental Material, Video 1 (http://www.jcb. org/cgi/content/full/148/3/519/ DC1). Bars: (A–C) 10 μm; (D) 5 μm.
Figure 2. Comet tail formation in vivo induced by fertilization and PMA treatment. (A) Gallery of confocal images showing actin comet tails in eggs fixed 8 min after fertilization. F-actin was visualized by fluorescein-phalloidin staining. (B) In vivo time-lapse sequence (16-s intervals) showing rhodamine-actin comet tails (indicated by arrowheads) 20 min after treatment with 2 μM PMA. See Online Supplemental Material, Video 2 (http://www.jcb.org/cgi/content/full/148/3/519/DC1). Bars, 10 μm.
Figure 3. Reconstitution of PMA-stimulated actin assembly in vitro. (A) Time-lapse sequences showing actin comet tails in Xenopus egg extracts. Cytosol was supplemented with a crude membrane fraction, rhodamine-actin, and 1 μM PMA. After incubating at room temperature for 20 min, samples were viewed by fluorescence (left) or phase contrast (right; note higher magnification) microscopy. Arrowheads (left) indicate a moving comet tail. Arrow (bottom right) indicates a phase dense particle at the tip of the comet tail. (B) In vitro actin assembly reactions as in (A) performed in the presence or absence of the PKC inhibitor, BIM-I (40 μM). Fluorescence images from a control reaction without PMA are also presented. Low magnification (20× objective) images were acquired from ten random fields, two of which are depicted for each condition. (C) Quantitation of data presented in B. The total number of pixels with fluorescence intensities above the background were summed over 10 random fields. Data (mean ± SD) from three experiments are presented. Bars: (A) 10 μm; (B) 20 μm.
Figure 4. PMA stimulates the recruitment of N-WASP to vesicles associated with actin comet tails. Cell-free vesicle motility assays containing Xenopus cytosol, membranes, and 1 μM PMA were fixed in perfusion chambers and immunolabeled with affinity-purified anti–N-WASP antibodies followed by Texas red secondary antibodies and FITC-phalloidin. N-WASP and F-actin recruitment occurred in the presence of 75 μM latrunculin A, but comet tails were not observed. ToxB treatment prevented both N-WASP and F-actin recruitment, although nonspecific labeling of fixed membranes could be observed with long exposure times. Bar, 5 μm.
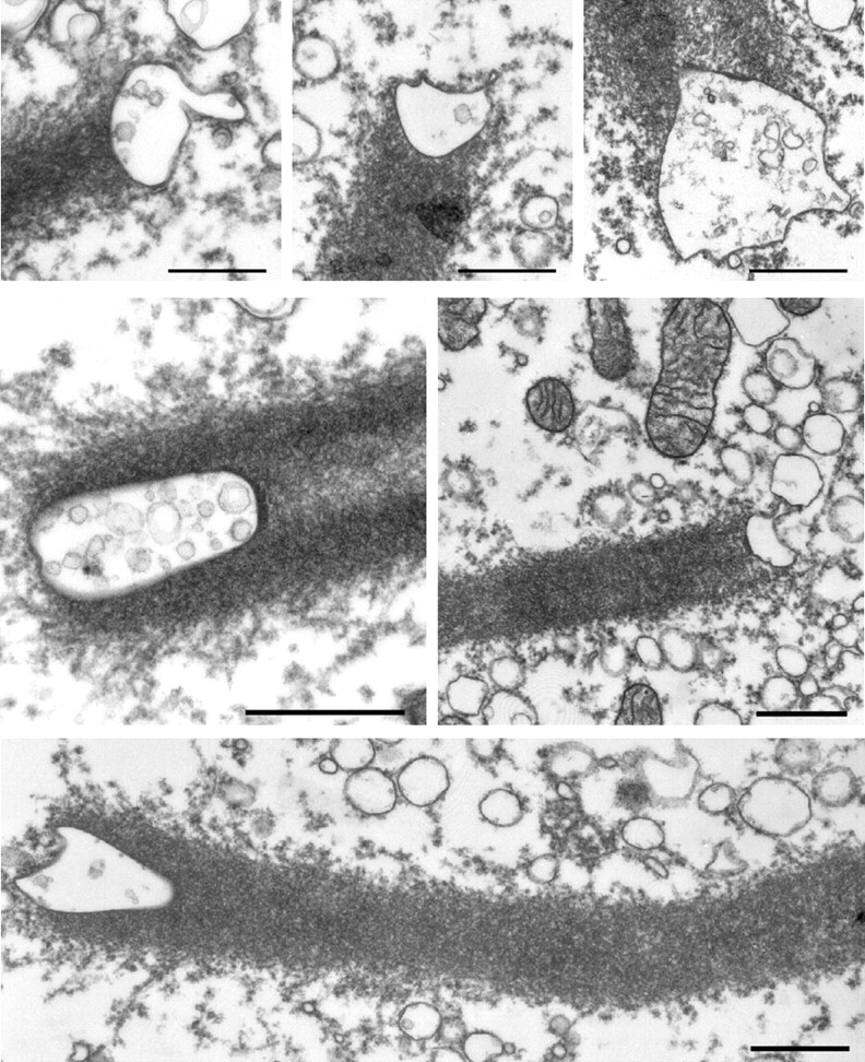
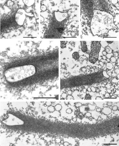
Figure 6. Thin-section electron microscopy analysis of vesicles associated with comet tails. Cell-free reactions were fixed in perfusion chambers and processed for electron microscopy (see Materials and Methods). A gallery of representative images was assembled to highlight the odd shapes, tubular processes, and multivesicular lumens of vesicles associated with tails. Note the clear circular profiles and mitochondria, none of which are associated with comet tails. Bars, 500 nm.
Figure 5. Accumulation of acridine orange, a marker for endosomes and lysosomes, in motile vesicles. Cell-free reactions (without rhodamine-actin) were monitored by phase contrast and fluorescence microscopy in the presence of 20 μg/ml acridine orange. A gallery of merged images (phase contrast and Texas red filter set) from three experiments is presented. 80% of the vesicles associated with comet tails strongly accumulated acridine orange (n = 417 comet tails). Bar, 10 μm.
Figure 7. Actin-dependent propulsion of exogenous endosomes in Xenopus egg cytosol. HeLa cells were treated with Texas red transferrin (40 μg/ml) for 20 min at 37°C, and a postnuclear supernatant (PNS) was prepared. The PNS was diluted 60-fold with Xenopus egg cytosol containing 0.5 μM Alexa(488)-actin and 1 μM PMA. Alexa(488) and Texas red epifluorescence images were acquired every 10 s. Approximately half of the vesicles associated with actin comet tails contained internalized Texas red transferrin. Bar, 5 μm.
Figure 8. Endosomes and lysosomes preferentially nucleate actin assembly and move in vitro. HeLa postnuclear supernatants were prepared identically from unlabeled cells (A and D) and cells that had been treated with Texas red transferrin at 37°C (B) or 4°C (C). Cell-free motility reactions were fixed and processed for epifluorescence detection of organelle markers (red). F-actin (green, A–D) was detected with FITC-phalloidin. (A) ER membranes were immunodetected with affinity-purified anti-Sec61β antibodies followed by Texas red secondary antibodies. (B) Early and recycling endosomes were detected by labeling cells with Texas red transferrin for 20 min at 37°C. (C) Plasma membranes were detected by labeling cells with Texas red transferrin for 20 min at 4°C. (D) Lysosomes were immunodetected with anti–Lamp-1 H4A3 mAb followed by Texas red secondary antibodies. Bar, 5 μm. (E) Quantitation of comet tails associated with a labeled vesicle in the experiments described in A–D. The n value refers to the total number of actin comet tails counted under each condition from 8–10 random fields.
Figure 9. Gallery of electron micrographs depicting N-WASP immunogold-labeled HeLa vesicles associated with actin comet tails. Cell-free motility reactions containing unlabeled HeLa membranes were fixed in perfusion chambers, immunolabeled with affinity-purified N-WASP antibodies followed by 15 nm protein A–gold, and processed for electron microscopy. Gold particles are occasionally visible in the comet tails, but the vast majority are associated with the membrane. Note the similarity in vesicle morphology to the Xenopus egg vesicles shown in Fig. 6. Bar, 200 nm.
Barois,
Actin microfilaments control the MHC class II antigen presentation pathway in B cells.
1998, Pubmed
Barois,
Actin microfilaments control the MHC class II antigen presentation pathway in B cells.
1998,
Pubmed Bement,
Parallel pathways of cell cycle control during Xenopus egg activation.
1991,
Pubmed
,
Xenbase Bement,
Activators of protein kinase C trigger cortical granule exocytosis, cortical contraction, and cleavage furrow formation in Xenopus laevis oocytes and eggs.
1989,
Pubmed
,
Xenbase Boyles,
A new fixative for the preservation of actin filaments: fixation of pure actin filament pellets.
1985,
Pubmed Chen,
Molecular cloning and sequence analysis of two distinct types of Xenopus laevis protein kinase C.
,
Pubmed
,
Xenbase Conner,
rab3 mediates cortical granule exocytosis in the sea urchin egg.
1998,
Pubmed Egile,
Activation of the CDC42 effector N-WASP by the Shigella flexneri IcsA protein promotes actin nucleation by Arp2/3 complex and bacterial actin-based motility.
1999,
Pubmed Futter,
Multivesicular endosomes containing internalized EGF-EGF receptor complexes mature and then fuse directly with lysosomes.
1996,
Pubmed Goodson,
Motors and membrane traffic.
1997,
Pubmed Görlich,
A mammalian homolog of SEC61p and SECYp is associated with ribosomes and nascent polypeptides during translocation.
1992,
Pubmed Heim,
Improved green fluorescence.
1995,
Pubmed Higley,
Actin and cell pathogenesis.
1997,
Pubmed Hofmann,
Localization of the glucosyltransferase activity of Clostridium difficile toxin B to the N-terminal part of the holotoxin.
1997,
Pubmed Kellogg,
Behaviour of microtubules and actin filaments in living Drosophila embryos.
1988,
Pubmed Kroschewski,
Cdc42 controls secretory and endocytic transport to the basolateral plasma membrane of MDCK cells.
1999,
Pubmed Larabell,
Confocal microscopy of live Xenopus oocytes, eggs, and embryos.
2000,
Pubmed
,
Xenbase Liu,
Cytoskeletal protein ABP-280 directs the intracellular trafficking of furin and modulates proprotein processing in the endocytic pathway.
1997,
Pubmed Loisel,
Reconstitution of actin-based motility of Listeria and Shigella using pure proteins.
1999,
Pubmed Ma,
Corequirement of specific phosphoinositides and small GTP-binding protein Cdc42 in inducing actin assembly in Xenopus egg extracts.
1998,
Pubmed
,
Xenbase Marchand,
Actin-based movement of Listeria monocytogenes: actin assembly results from the local maintenance of uncapped filament barbed ends at the bacterium surface.
1995,
Pubmed
,
Xenbase Matteoni,
Translocation and clustering of endosomes and lysosomes depends on microtubules.
1987,
Pubmed Merrifield,
Endocytic vesicles move at the tips of actin tails in cultured mast cells.
1999,
Pubmed Miki,
Induction of filopodium formation by a WASP-related actin-depolymerizing protein N-WASP.
1998,
Pubmed Moreau,
Cdc42 is required for membrane dependent actin polymerization in vitro.
1998,
Pubmed
,
Xenbase Mounier,
Rho family GTPases control entry of Shigella flexneri into epithelial cells but not intracellular motility.
1999,
Pubmed
,
Xenbase Murray,
Cyclin synthesis drives the early embryonic cell cycle.
1989,
Pubmed
,
Xenbase Rohatgi,
The interaction between N-WASP and the Arp2/3 complex links Cdc42-dependent signals to actin assembly.
1999,
Pubmed
,
Xenbase Rowning,
Microtubule-mediated transport of organelles and localization of beta-catenin to the future dorsal side of Xenopus eggs.
1997,
Pubmed
,
Xenbase Sheff,
The receptor recycling pathway contains two distinct populations of early endosomes with different sorting functions.
1999,
Pubmed Sheldahl,
Protein kinase C is differentially stimulated by Wnt and Frizzled homologs in a G-protein-dependent manner.
1999,
Pubmed
,
Xenbase Shurety,
Fluid-phase markers in the basolateral endocytic pathway accumulate in response to the actin assembly-promoting drug Jasplakinolide.
1998,
Pubmed Stith,
sn-1,2-diacylglycerol and choline increase after fertilization in Xenopus laevis.
1997,
Pubmed
,
Xenbase Suzuki,
Neural Wiskott-Aldrich syndrome protein is implicated in the actin-based motility of Shigella flexneri.
1998,
Pubmed
,
Xenbase Symons,
Wiskott-Aldrich syndrome protein, a novel effector for the GTPase CDC42Hs, is implicated in actin polymerization.
1996,
Pubmed Toullec,
The bisindolylmaleimide GF 109203X is a potent and selective inhibitor of protein kinase C.
1991,
Pubmed van Deurs,
Delivery to lysosomes in the human carcinoma cell line HEp-2 involves an actin filament-facilitated fusion between mature endosomes and preexisting lysosomes.
1995,
Pubmed Wall,
Multivesicular bodies play a key role in vitellogenin endocytosis by Xenopus oocytes.
1987,
Pubmed
,
Xenbase Whalley,
Direct membrane retrieval into large vesicles after exocytosis in sea urchin eggs.
1995,
Pubmed