Click here to close
Hello! We notice that you are using Internet Explorer, which is not supported by Xenbase and may cause the site to display incorrectly.
We suggest using a current version of Chrome,
FireFox, or Safari.
???displayArticle.abstract???
The Xenopus nodal related-1 (Xnr1) gene has a complex expression pattern in embryos, with two temporal phases. In the first phase, transcripts are first detected in perinuclear sites in the vegetal region of the blastula. During gastrulation, this expression disappears and transcripts become localised to the dorsal marginal zone. Expression stops and then restarts in a second phase at neurula and tailbud stages, firstly in two symmetric patches near the posterior end of the notochord, and then asymmetrically in a large domain in the leftlateral plate mesoderm. In this study, we have investigated the regulation of the early phase of expression of Xnr1. We show that the T-box transcription factor VegT can induce Xnr1. It had previously been shown that Xnr1 can induce VegT in ectoderm cells and we show that the early expression of Xnr1 is regulated by an autoregulatory loop. By inspection of the Xnr1 promoter sequence, we have identified two non-palindromic T-box-binding sites, which are 10 bp apart. Using mutational analysis, we have shown that these elements are required for the VegT induction of Xnr1. The Xnr1 promoter shows striking homologies with the Xnr3 promoter. In particular, two elements that are required for Wnt signaling are conserved between these two promoters, but the two T-box sites are not conserved, and Xnr3 is not induced by VegT. A region of the promoter containing the T-box sites and the Wnt sites is sufficient to drive expression of a reporter gene in a dorsal domain in transgenic Xenopus at the gastrula stage. We show that this pattern of expression of the transgene in gastrulae is not dependent on the T-box sites.
Fig. 1. The Xnr1 gene.
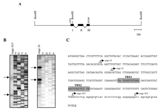
(A) Xnr1 is composed of three exons (I, II and III), separated by two introns of 627 bp and 527 bp. The translation start and stop codons are indicated in the first and third exons, respectively. (B) Transcription initiation of Xnr1. Primer extension assays were performed using stage 10.5 and stage 24 total RNA. The nucleotide ladder was created by sequencing with the extension primer. (C) Sequence of the first 255 nucleotides of the Xnr1 promoter. An overlap with the published cDNA sequence is shown in lower case (GenBank accession number U29447). The translational start codon is underlined. The major transcription initiation sites at stage 10.5 and stage 24 are indicated by arrows. The two half T-box sites (TBX1 and TBX2) are shaded
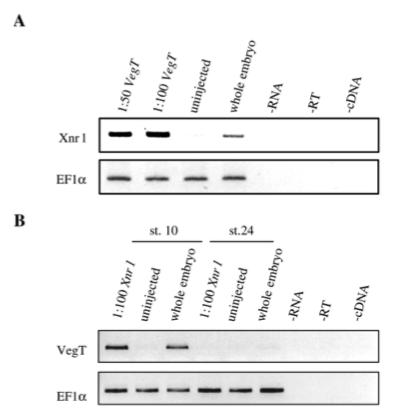
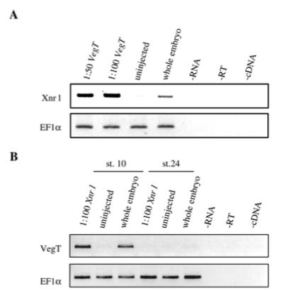
Fig. 2. Mutual induction of Xnr1 and VegT. (A) VegT can induce expression of Xnr1 in ectodermal cells. (B) Xnr1 can induce expression of VegT in ectodermal cells. Approximately 200 pg (1:50 dilution) and 100 pg (1:100 dilution) of VegT mRNA or Xnr1 mRNA was injected into the animal pole of 1-cell Xenopus embryos. Animal caps were dissected at stage 9, and harvested at stage 11 for the VegT-injected embryos, and at stages 10 and 24 for the Xnr1-injected embryos. Expression of Xnr1 and VegT was analysed by RT-PCR. The housekeeping gene EF1α is a loading control.
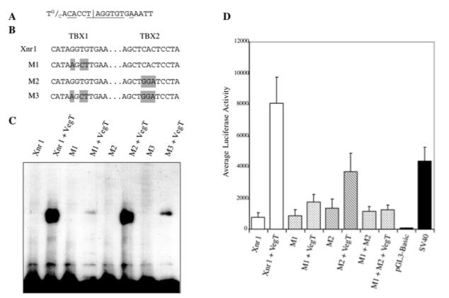
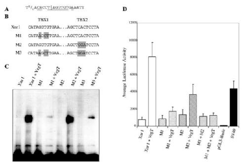
Fig. 3. VegT directly induces Xnr1 expression. (A) The Brachyury consensus binding site (Kispert and Herrmann, 1993). The most conserved nucleotides (>95% in Kispert and Herrmannâs analysis) are underlined. The vertical line indicates the axis of the approximate palindrome. Note that the right half site (12 bases) is more conserved than the left half site (8 bases).
(B) Sequences of the wild-type
and mutant T-box sites.
Mutations were introduced into
TBX1 (Ml), TBX2 (M2) and
both TBX1 and TBX2 (M3)
using PCR mutagenesis by
hybrid overlap extension. The
shaded boxes indicate the
nucleotides which have been
mutated. (C) Electrophoretic
mobility shift assay of VegT
binding to wild-type and
mutant Xnr1 promoter T-box
sites. The radiolabelled DNA
probe containing both of the T-box sites (wild type; single mutations, M1 and M2; or double mutation M3) was incubated either with or without in vitro-synthesized VegT before gel electrophoresis. Mutations in TBX1, but not TBX2, greatly reduced VegT binding in this in vitro assay. (D) VegT directly induces Xnr1 expression in a reporter gene assay. 50-l00 pg of circular DNA was injected unilaterally into 2-cell Xenopus embryos. Embryos were harvested at stage 11 and analysed for luciferase activity. Samples of ten embryos were analysed and each bar represents the average of triplicate samples. The induction by VegT was confirmed with multiple independent experiments, although the extent of the induction varied between individual experiments. The positive control contains luciferase expression driven by the SV40 promoter, and the negative control contains the reporter vector only. Error bars represent standard deviations.
Fig. 4. Autoregulation of
Xnr1. (A) The injected
Xnr1 mRNA can induce
the endogenous Xnr1
transcript in ectodermal
cells. Approximately 100
pg of Xnr1 mRNA, devoid
of its own untranslated
regions, was injected into
the animal pole of one-cell
Xenopus embryos. Animal
caps were dissected at
stage 9 and harvested at
stage 11. Expression of
the endogenous Xnr1
transcript was analysed by
RT-PCR using primers
specific to the 5â² UTR.
The housekeeping gene
EF1α is a loading control.
(B) Interactions between
T-box genes and Xnr1 in
Xenopus. Known regulatory interactions include the autoregulation of Xbra (Isaacs et al., 1994, Schulte-Merker and Smith, 1995; Casey et al., 1998), Xbra induction of VegT (Stennard et al., 1996), VegT induction of Xbra (Stennard et al., 1996; Horb and Thomsen, 1997), Xnr1 induction of Xbra (Jones et al., 1995); Xbra induction of Xnr1, VegT autoinduction (Zhang and King, 1996), Xnr1 induction of VegT (Lustig et al., 1996b), VegT induction of Xnr1 (this work) and Xnr1 autoinduction (this work).
Fig. 5. Xnr1 transgenic embryos. (A) The reporter construct used in the transgenic experiments contains the open reading frame of the nuclear β-galactosidase gene flanked by transcriptional pause sites. Approximately 3.5 kb of Xnr1 promoter sequence was inserted into the NheI restriction site (where â1 indicates the nucleotide immediately 5â² to the ATG translation start codon). (B) Stage 10.25 control embryo (fertilised in vitro using conventional methods), stained for β-galactosidase activiy. Arrow indicates blastopore lip. (C,D) Stage 10.25 embryos expressing the Xnr1::lacZ transgene, stained for β-galactosidase activity, showing expression in the dorsal marginal zone. Arrows indicate blastopore lip. The dotted line in D indicates the plane of sectioning in F. (E) Stage 10.25 embryo expressing the transgene having both T-box sites mutated. Expression is in the dorsal marginal zone. The arrow indicates the blastopore lip. (F) Section through embryo shown in D, showing nuclear expression of the transgene in all layers of the organizer. Deeper expression in the anteriorendomesoderm is indicated by arrows. (G) Vertical section in the dorsal-ventral plane of a stage 10 transgenic embryo expressing the Xnr1::lacZ transgene, stained for β-galactosidase activity. Dorsal is at the right. Expression extends to the animal pole and into deep cells of the anteriorendomesoderm.
Fig. 6. Comparison of the Xnr1 and Xnr3 promoter sequences. (A) The Xnr1 and Xnr3 promoter sequences were aligned using GCG software. Three regions of strong homology have been indicated: Wnt Response Element 1 (WREl) is entirely conserved between the two promoters, the left half of Wnt Response Element 2 (WRE2) is conserved, and the region around the TATA box (3) is also highly conserved. (B) VegT does not induce Xnr3 in ectodermal cells. Approximately 100 pg of VegT mRNA was injected into the animal pole of 1-cell Xenopus embryos. Animal caps were dissected at stage 9 and harvested at stage 11. Expression of Xnr3 was analysed by RT-PCR. The housekeeping gene EF1α is a loading control. (C) Xwnt8 induces the 616 bp promoter::luciferase construct. Embryos were co-injected with Xwnt8 mRNA and the DNA construct consisting of 616 bp of the Xnr1 promoter upstream of the luciferase reporter gene. Luciferase activity was assayed at stage 10.5.