Click here to close Hello! We notice that you are using Internet Explorer, which is not supported by Xenbase and may cause the site to display incorrectly. We suggest using a current version of Chrome, FireFox, or Safari.
XB-ART-11193
J Cell Biol 2000 Apr 17;1492:357-68.
Show Gene links Show Anatomy links

MEK and Cdc2 kinase are sequentially required for Golgi disassembly in MDCK cells by the mitotic Xenopus extracts.

Kano F, Takenaka K, Yamamoto A, Nagayama K, Nishida E, Murata M.


???displayArticle.abstract???
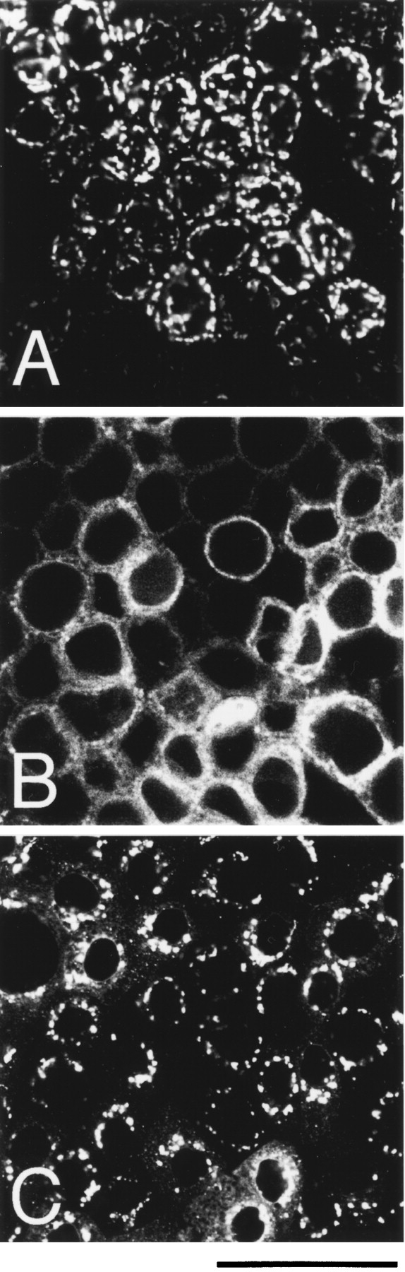
At the onset of mitosis, the Golgi apparatus, which consists of several cisternae, disperses throughout the cell to be partitioned into daughter cells. The molecular mechanisms of this process are now beginning to be understood. To investigate the biochemical requirements and kinetics of mitotic Golgi membrane dynamics in polarized cells, we have reconstituted the disassembly of the Golgi apparatus by introducing Xenopus egg extracts into permeabilized Mardin-Darby canine kidney (MDCK) cells. We used green fluorescence protein (GFP)-tagged galactosyltransferase-expressing MDCK cells to analyze the morphological changes of the Golgi membrane in the semi-intact system. Analyses by fluorescence and electron microscopies showed that the Golgi disassembly can be dissected into two elementary processes morphologically. In the first process, the perinuclear Golgi stacks break into punctate structures, intermediates, which are comprised of mini-stacks of cisternae associating with apical microtubule networks. In the second process, the structures fragment more thoroughly or substantially relocate to the ER. Our analyses further showed that cdc2 kinase and mitogen-activated protein kinase kinase (MAPKK = MEK) are differently involved in these two processes: the first process is mainly regulated by MEK and the second mainly by cdc2.

???displayArticle.pubmedLink??? 10769028
???displayArticle.pmcLink??? PMC2175170



Species referenced: Xenopus laevis
Genes referenced: cdk1 kcnma1 pdia2 pold1


???attribute.lit??? ???displayArticles.show???
References [+] :
Acharya, Signaling via mitogen-activated protein kinase kinase (MEK1) is required for Golgi fragmentation during mitosis. 1998, Pubmed