Click here to close
Hello! We notice that you are using Internet Explorer, which is not supported by Xenbase and may cause the site to display incorrectly.
We suggest using a current version of Chrome,
FireFox, or Safari.
???displayArticle.abstract???
In many organisms, proper embryo development depends on the asymmetrical distribution of mRNA in the cytoplasm of the egg. Here we report comprehensive screening of RNA localized in the animal or vegetal hemisphere of the Xenopus egg. Macroarrays including over 40,000 independent embryonic cDNA clones, representing at least 17,000 unigenes, were differentially hybridized with labeled probes synthesized from the mRNA of animal or vegetal blastomeres. After two rounds of screening, we identified 33 clones of transcripts that may be preferentially distributed in the vegetal region of the early stage embryo, but transcripts localized in the animal region were not found. To assess the array results, we performed northern blot and quantitative real-time reverse transcription-polymerase chain reaction analysis. As a result, 21 transcripts of the 33 were confirmed to be localized in the vegetal region of the early stage embryo. Whole-mount in situ hybridization analysis revealed that 11 transcripts, including 7 previously reported genes, were localized in the vegetal hemisphere of the egg. These 11 transcripts were categorized into three groups according to their expression patterns in the egg. The first group, which contained four transcripts, showed uniform expression in the vegetal hemisphere, similar to VegT. The second group, which contained three transcripts, showed gradual expression from the vegetal pole to the equator, similar to Vg1. The last group, which contained three transcripts, was expressed at the germ plasm, similar to Xdazl. One transcript, Xwnt11, showed both the second and the third expression patterns.
Fig. 1. A dissociated embryo. An 8-cell-stage wild-type embryo
was cultured in calcium-free, magnesium-free medium, and
vitelline membrane was removed. Four animal blastomeres are
pigmented on the left, and the vegetal blastomeres are on the
right. Animal view. Bar, approximately 400 μm.
Fig. 2. Hybridized mini-array filter
images. The amplified cDNA was
blotted as duplicated spots on a
nylon membrane (EF1-α cDNA
was blotted as a control at the four
corners), and hybridized with the
probe prepared from RNA of animal
(A) or vegetal (V) blastomeres
in the 8-cell-stage embryo, as
represented in the upper two
panels. The lower left two panels
(a) and (v), are magnifications of
the spots in the upper panels. For
each clone, a schematic representation
of the orientation of that
spot paired within the image is
provided at the lower right.
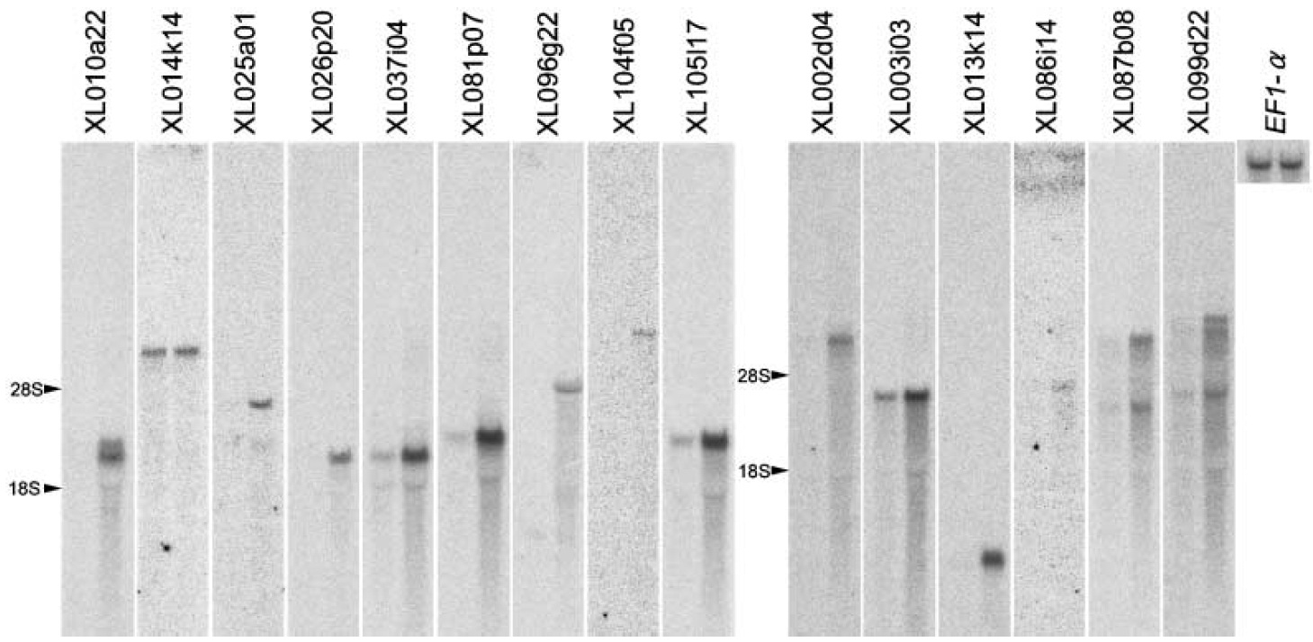
Fig. 3. Differential hybridization analysis by northern blots. To confirm the reliability of the array analysis, 20 selected genes out of
33 positive ones were subjected to the differential hybridization by northern blot. 10 μg of total RNA from animal or vegetal
blastomeres was loaded at each membrane (animal, left lane; vegetal, right lane). Fourteen transcripts were abundant in the vegetal
blastomeres of the 8-cell-stage embryo, while one, XL014k14, was not. Signals of five other genes were not detected in this analysis.
The upper end of each image, except for EF1-α, coincides with the loading start level. The arrowheads represent 28S and 18S
ribosomal RNA. XL087b08 and XL099d22 hybridized with transcripts of at least two different sizes. EF1-α was the internal control for
these RNA.
Fig. 4. In situ hybridization showing vegetally localized genes. Unfertilized eggs were obtained from albino (AâK) and wild-type (Eâ²â
Kâ²) Xenopus laevis. XL002d04 (A), XL003i03 (B), XL099d22 (C), and XL105l17 (VegT) (D) were expressed uniformly in the vegetal
hemisphere. XL037i04 (Xotx1) (E, Eâ²), XL087b08 (XNIF) (F, Fâ²), and XL081p07 (Vg1) (G, Gâ²) were gradually expressed with the most
condensed staining at the vegetal pole. XL13k14 (I, Iâ²), XL026p20 (Xdazl) (J, Jâ²), and XL096g22 (Xpat) (K, Kâ²) were expressed in the
germ plasm. XL010a22 (Xwnt11) (H, Hâ²) was gradually expressed with the most condensed staining at the vegetal pole, and also
expressed in the germ plasm (arrows). (AâG) Lateral view of unpigmented eggs with the animal pole on the top, and (HâK) Vegetal
view. (Eâ²âKâ²) Cut face of the egg, which was bisected along animal-vegetal axis, with the pigmented animal pole on the top. Lowest panels
were higher magnification view of Hâ²âKâ². Scale bar in AâK, approximately 200 μm.