XB-ART-10869
J Cell Biol
2000 Jun 12;1496:1179-92. doi: 10.1083/jcb.149.6.1179.
Show Gene links
Show Anatomy links
Disruption of nuclear lamin organization blocks the elongation phase of DNA replication.
Moir RD, Spann TP, Herrmann H, Goldman RD.
???displayArticle.abstract???
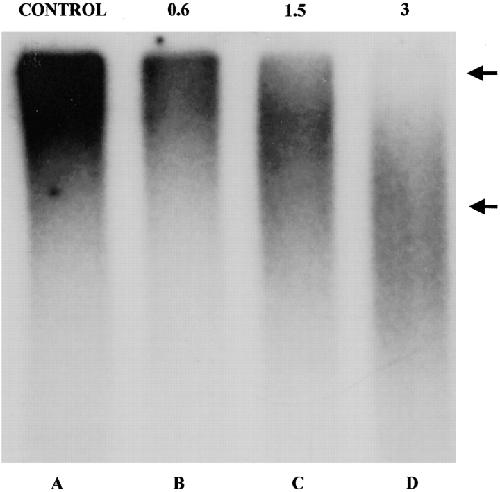
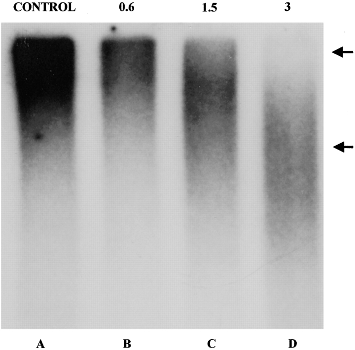
The role of nuclear lamins in DNA replication is unclear. To address this, nuclei were assembled in Xenopus extracts containing AraC, a reversible inhibitor that blocks near the onset of the elongation phase of replication. Dominant-negative lamin mutants lacking their NH(2)-terminal domains were added to assembled nuclei to disrupt lamin organization. This prevented the resumption of DNA replication after the release of the AraC block. This inhibition of replication was not due to gross disruption of nuclear envelope structure and function. The organization of initiation factors was not altered by lamin disruption, and nuclei resumed replication when transferred to extracts treated with CIP, an inhibitor of the cyclin-dependent kinase (cdk) 2-dependent step of initiation. This suggests that alteration of lamin organization does not affect the initiation phase of DNA replication. Instead, we find that disruption of lamin organization inhibited chain elongation in a dose-dependent fashion. Furthermore, the established organization of two elongation factors, proliferating cell nuclear antigen, and replication factor complex, was disrupted by DeltaNLA. These findings demonstrate that lamin organization must be maintained in nuclei for the elongation phase of DNA replication to proceed.
???displayArticle.pubmedLink??? 10851016
???displayArticle.pmcLink??? PMC2175110
???displayArticle.link??? J Cell Biol
???displayArticle.grants??? [+]
Species referenced: Xenopus
Genes referenced: alb cdk2 igf2bp3 lmna lmnb3 pcna slc19a1 vim
???attribute.lit??? ???displayArticles.show???
References [+] :
Aaronson,
Isolation of nuclear pore complexes in association with a lamina.
1975, Pubmed
Aaronson, Isolation of nuclear pore complexes in association with a lamina. 1975, Pubmed
Adachi, Identification of nuclear pre-replication centers poised for DNA synthesis in Xenopus egg extracts: immunolocalization study of replication protein A. 1992, Pubmed , Xenbase
Aebi, The nuclear lamina is a meshwork of intermediate-type filaments. , Pubmed , Xenbase
Blow, A role for the nuclear envelope in controlling DNA replication within the cell cycle. 1988, Pubmed , Xenbase
Bunz, cDNAs encoding the large subunit of human replication factor C. 1993, Pubmed
Carpenter, Role for a Xenopus Orc2-related protein in controlling DNA replication. 1996, Pubmed , Xenbase
Chong, Purification of an MCM-containing complex as a component of the DNA replication licensing system. 1995, Pubmed , Xenbase
COGGESHALL, THE FINE STRUCTURE OF THE CENTRAL NERVOUS SYSTEM OF THE LEECH, HIRUDO MEDICINALIS. 1964, Pubmed
Compton, Primary structure of NuMA, an intranuclear protein that defines a novel pathway for segregation of proteins at mitosis. 1992, Pubmed
Dabauvalle, Spontaneous assembly of pore complex-containing membranes ("annulate lamellae") in Xenopus egg extract in the absence of chromatin. 1991, Pubmed , Xenbase
Dasso, Completion of DNA replication is monitored by a feedback system that controls the initiation of mitosis in vitro: studies in Xenopus. 1990, Pubmed , Xenbase
Ellis, GST-lamin fusion proteins act as dominant negative mutants in Xenopus egg extract and reveal the function of the lamina in DNA replication. 1997, Pubmed , Xenbase
Fawcett, On the occurrence of a fibrous lamina on the inner aspect of the nuclear envelope in certain cells of vertebrates. 1966, Pubmed
Fisher, cDNA sequencing of nuclear lamins A and C reveals primary and secondary structural homology to intermediate filament proteins. 1986, Pubmed
Gerace, Immunocytochemical localization of the major polypeptides of the nuclear pore complex-lamina fraction. Interphase and mitotic distribution. 1978, Pubmed
Goldberg, Xenopus lamin B3 has a direct role in the assembly of a replication competent nucleus: evidence from cell-free egg extracts. 1995, Pubmed , Xenbase
Goldman, Keratin-like proteins that coisolate with intermediate filaments of BHK-21 cells are nuclear lamins. 1986, Pubmed
Goldman, Pathway of incorporation of microinjected lamin A into the nuclear envelope. 1992, Pubmed
Hadlaczky, Direct evidence for the non-random localization of mammalian chromosomes in the interphase nucleus. 1986, Pubmed
Harper, The p21 Cdk-interacting protein Cip1 is a potent inhibitor of G1 cyclin-dependent kinases. 1993, Pubmed
Höger, Interaction of Xenopus lamins A and LII with chromatin in vitro mediated by a sequence element in the carboxyterminal domain. 1991, Pubmed , Xenbase
Hozák, Visualization of replication factories attached to nucleoskeleton. 1993, Pubmed
Hozák, Replication factories and nuclear bodies: the ultrastructural characterization of replication sites during the cell cycle. 1994, Pubmed
Hozák, Lamin proteins form an internal nucleoskeleton as well as a peripheral lamina in human cells. 1995, Pubmed
Hutchison, DNA replication and cell cycle control in Xenopus egg extracts. 1989, Pubmed , Xenbase
Jackson, Visualization of a filamentous nucleoskeleton with a 23 nm axial repeat. 1988, Pubmed
Jenkins, Nuclei that lack a lamina accumulate karyophilic proteins and assemble a nuclear matrix. 1993, Pubmed , Xenbase
Jiménez-García, In vivo evidence that transcription and splicing are coordinated by a recruiting mechanism. 1993, Pubmed
Krohne, Localization of a nuclear envelope-associated protein by indirect immunofluorescence microscopy using antibodies against a major polypeptide from rat liver fractions enriched in nuclear envelope-associated material. 1978, Pubmed
Kubota, Identification of the yeast MCM3-related protein as a component of Xenopus DNA replication licensing factor. 1995, Pubmed , Xenbase
Laemmli, Cleavage of structural proteins during the assembly of the head of bacteriophage T4. 1970, Pubmed
Lenz-Böhme, Insertional mutation of the Drosophila nuclear lamin Dm0 gene results in defective nuclear envelopes, clustering of nuclear pore complexes, and accumulation of annulate lamellae. 1997, Pubmed
Lohka, Formation in vitro of sperm pronuclei and mitotic chromosomes induced by amphibian ooplasmic components. 1983, Pubmed , Xenbase
Lourim, Membrane-associated lamins in Xenopus egg extracts: identification of two vesicle populations. 1993, Pubmed , Xenbase
Madine, MCM3 complex required for cell cycle regulation of DNA replication in vertebrate cells. 1995, Pubmed , Xenbase
McKeon, Homologies in both primary and secondary structure between nuclear envelope and intermediate filament proteins. , Pubmed
Méchali, DNA synthesis in a cell-free system from Xenopus eggs: priming and elongation on single-stranded DNA in vitro. 1982, Pubmed , Xenbase
Meier, The role of lamin LIII in nuclear assembly and DNA replication, in cell-free extracts of Xenopus eggs. 1991, Pubmed , Xenbase
Mills, Replication occurs at discrete foci spaced throughout nuclei replicating in vitro. 1989, Pubmed , Xenbase
Moir, Dynamic properties of nuclear lamins: lamin B is associated with sites of DNA replication. 1994, Pubmed
Moir, The dynamic properties and possible functions of nuclear lamins. 1995, Pubmed
Nakamura, Structural organizations of replicon domains during DNA synthetic phase in the mammalian nucleus. 1986, Pubmed
Nakayasu, Mapping replicational sites in the eucaryotic cell nucleus. 1989, Pubmed
Neri, Lamin A is part of the internal nucleoskeleton of human erythroleukemia cells. 1999, Pubmed
Newmeyer, Egg extracts for nuclear import and nuclear assembly reactions. 1991, Pubmed , Xenbase
Newmeyer, Nuclear import can be separated into distinct steps in vitro: nuclear pore binding and translocation. 1988, Pubmed , Xenbase
Newport, A lamin-independent pathway for nuclear envelope assembly. 1990, Pubmed , Xenbase
Newport, Nuclear reconstitution in vitro: stages of assembly around protein-free DNA. 1987, Pubmed , Xenbase
O'Keefe, Dynamic organization of DNA replication in mammalian cell nuclei: spatially and temporally defined replication of chromosome-specific alpha-satellite DNA sequences. 1992, Pubmed
Paddy, Interphase nuclear envelope lamins form a discontinuous network that interacts with only a fraction of the chromatin in the nuclear periphery. 1990, Pubmed
Powers, Reconstituted nuclei depleted of a vertebrate GLFG nuclear pore protein, p97, import but are defective in nuclear growth and replication. 1995, Pubmed , Xenbase
Prahlad, Rapid movements of vimentin on microtubule tracks: kinesin-dependent assembly of intermediate filament networks. 1998, Pubmed
Reichenzeller, In vivo observation of a nuclear channel-like system: evidence for a distinct interchromosomal domain compartment in interphase cells. 2000, Pubmed , Xenbase
Schardin, Specific staining of human chromosomes in Chinese hamster x man hybrid cell lines demonstrates interphase chromosome territories. 1985, Pubmed
Sheehan, Steps in the assembly of replication-competent nuclei in a cell-free system from Xenopus eggs. 1988, Pubmed , Xenbase
Spann, Disruption of nuclear lamin organization alters the distribution of replication factors and inhibits DNA synthesis. 1997, Pubmed , Xenbase
Spector, Macromolecular domains within the cell nucleus. 1993, Pubmed
Stick, cDNA cloning of the developmentally regulated lamin LIII of Xenopus laevis. 1988, Pubmed , Xenbase
Stillman, Smart machines at the DNA replication fork. 1994, Pubmed
Strausfeld, Cip1 blocks the initiation of DNA replication in Xenopus extracts by inhibition of cyclin-dependent kinases. 1994, Pubmed , Xenbase
Walter, Regulated chromosomal DNA replication in the absence of a nucleus. 1998, Pubmed , Xenbase
Walter, Regulation of replicon size in Xenopus egg extracts. 1997, Pubmed , Xenbase
Wansink, Fluorescent labeling of nascent RNA reveals transcription by RNA polymerase II in domains scattered throughout the nucleus. 1993, Pubmed
Yan, FFA-1, a protein that promotes the formation of replication centers within nuclei. 1995, Pubmed , Xenbase
Yan, An analysis of the regulation of DNA synthesis by cdk2, Cip1, and licensing factor. 1995, Pubmed , Xenbase
Zimowska, A Drosophila Tpr protein homolog is localized both in the extrachromosomal channel network and to nuclear pore complexes. 1997, Pubmed
Zink, Structure and dynamics of human interphase chromosome territories in vivo. 1998, Pubmed
