Click here to close
Hello! We notice that you are using Internet Explorer, which is not supported by Xenbase and may cause the site to display incorrectly.
We suggest using a current version of Chrome,
FireFox, or Safari.
???displayArticle.abstract???
Double-stranded RNA (dsRNA) interferes with gene expression in various species, a phenomenon known as RNA interference (RNAi). We show here that RNAi is also effective in modifying gene expression in Xenopus embryos. First, expression of an exogenous luciferase gene as a reporter in embryos was reduced by coinjection with dsRNA corresponding to the luciferase gene. Next, injection of dsRNA for Xlim-1, a homeobox gene suggested to be involved in Spemann organizer functions, reduced the endogenous level of Xlim-1 mRNA and produced embryos with reduced eyes or anterior truncation at high efficiency. In addition, injection of an antisense expression construct of Xlim-1 elicited phenotypes very similar to those of Xlim-1 dsRNA-injected embryos. These results indicate the effectiveness of RNAi for loss of function studies in Xenopus embryos, and the importance of Xlim-1 in head formation.
FIG. 1. dsRNA for luciferase reduces expression of an exogenous
luciferase gene in Xenopus embryos. Five pg of pCS2Luc was coinjected
with or without 3 ng of dsRNA into two blastomeres at the
4-cell stage in the dorsal equatorial region. uninj., uninjected control;
pCS2Luc, luciferase gene driven by a CMV promoter; none, no
dsRNA; dsXbm, dsRNA for the b-globin gene as negative control;
dsLuc1 and dsLuc2, dsRNAs for the entire or partial coding region of
luciferase gene, respectively (see Materials and Methods). Ordinate,
arbitrary units of luciferase activity. Mean and standard error of 5
independent samples are shown.
FIG. 2. Injection of dsXlim-1 causes defects in anterior structures. Embryos with nb-gal staining in the anterior region of the notochord
and the prechordal plate, such as in A, were counted as data in Tables 1 and 2. Anterior region of the middle embryo in A is magnified in
the right panel. Some dsXlim-1-injected embryos had normal anterior structures (B). Others had various anterior defects such as reduced eye
(C), one eye (D), no eye but with a cement gland (E), and no eye nor cement gland (F). Two embryos out of 111 dsXlim-1-injected embryos
showed duplicated head structures (G, H). Anterior part of the embryo in the left is magnified in the right panel for G and H. Black arrows
indicate cement glands.
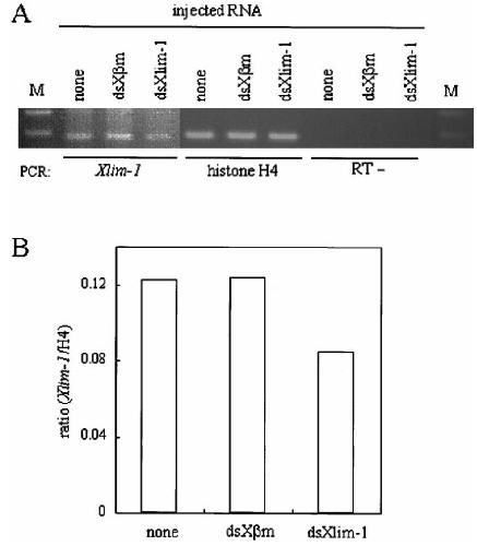
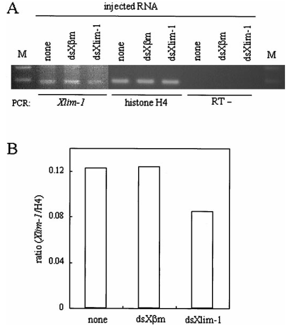
FIG. 3. Reduction of the endogenous Xlim-1 mRNA by dsXlim-1
injection. (A) RT-PCR. Embryos were injected with RNA as indicated,
and collected at the gastrula stage (stage 11). RT-PCR was
carried out with Xlim-1-specific primers, histone H4 primers, or
without reverse transcriptase (RT2) as indicated. M, size markers.
Histone H4 was used as an internal standard for amounts of template
cDNA. (B) Relative amounts of Xlim-1 mRNA compared to
those of H4 mRNA. Each band in A was quantified to calculate ratio
(Xlim-1/H4).