Click here to close
Hello! We notice that you are using Internet Explorer, which is not supported by Xenbase and may cause the site to display incorrectly.
We suggest using a current version of Chrome,
FireFox, or Safari.
BMC Neurosci
2005 Nov 23;6:65. doi: 10.1186/1471-2202-6-65.
Show Gene links
Show Anatomy links
A truncated Kv1.1 protein in the brain of the megencephaly mouse: expression and interaction.
Persson AS, Klement G, Almgren M, Sahlholm K, Nilsson J, Petersson S, Arhem P, Schalling M, Lavebratt C.
???displayArticle.abstract???
The megencephaly mouse, mceph/mceph, is epileptic and displays a dramatically increased brain volume and neuronal count. The responsible mutation was recently revealed to be an eleven base pair deletion, leading to a frame shift, in the gene encoding the potassium channel Kv1.1. The predicted MCEPH protein is truncated at amino acid 230 out of 495. Truncated proteins are usually not expressed since nonsense mRNAs are most often degraded. However, high Kv1.1 mRNA levels in mceph/mceph brain indicated that it escaped this control mechanism. Therefore, we hypothesized that the truncated Kv1.1 would be expressed and dysregulate other Kv1 subunits in the mceph/mceph mice. We found that the MCEPH protein is expressed in the brain of mceph/mceph mice. MCEPH was found to lack mature (Golgi) glycosylation, but to be core glycosylated and trapped in the endoplasmic reticulum (ER). Interactions between MCEPH and other Kv1 subunits were studied in cell culture, Xenopus oocytes and the brain. MCEPH can form tetramers with Kv1.1 in cell culture and has a dominant negative effect on Kv1.2 and Kv1.3 currents in oocytes. However, it does not retain Kv1.2 in the ER of neurons. The megencephaly mice express a truncated Kv1.1 in the brain, and constitute a unique tool to study Kv1.1 trafficking relevant for understanding epilepsy, ataxia and pathologic brain overgrowth.
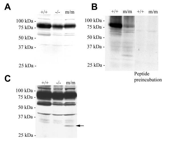
Figure 1. Immunoblot using the Kv1.1 N-terminal antibody on brain lysate from wild type, Kv1.1-null and mceph/mceph. A. Lysate from wild type (+/+), Kv1.1 null (-/-) and mceph/mceph (m/m) brains were loaded on SDS-PAGE and immunoblotted with the polyclonal Kv1.1 N-terminal antibody. In wild type lysate a strong band was detected at 86 kDa, corresponding to Kv1.1. The same band was seen in the Kv1.1 null and mceph/mceph lysates but at a lower intensity. The 86 kDa bands in Kv1.1 null and mceph/mceph lysates are due to antibody cross reactivity since neither Kv1.1 null nor mceph/mceph mice have any full-length Kv1.1 protein. B. The polyclonal Kv1.1 N-terminal antibody was preincubated with the peptide used for immunization. Lysate from wild type (+/+) and mceph/mceph (m/m) brains were loaded on SDS-PAGE and immunoblotted with the Kv1.1 N-terminal antibody without or after preincubation. The preincubation completely blocked the signal. C. A longer exposure of the immunoblot in panel A. In mceph/mceph brain lysate there was a unique band at approximately 30 kDa, which corresponds to the calculated weight of MCEPH (arrow).
Figure 2. Kv1.1 immunohistochemistry in wild type, Kv1.1-null and mceph/mceph hippocampus. Immunohistochemistry on formalin fixed brain sections. Exposure parameters were adjusted to obtain a strong and clear signal. Note exposure times given to relate between panels A. Wild type hippocampus showed the same staining pattern as that previously reported for Kv1.1 [2] (exposure 1100 ms) B. Kv1.1 null mouse hippocampus: some cross reactivity of the antibody was seen. (exposure 2700 ms) C. In the mceph/mceph hippocampus the immunoreactivity surrounded the nuclei of neurons especially in the dentate gyrus hilus (h) (exposure 2500 ms) D. Parietal neocortex in mceph/mceph (left) and wild type (right) brain: the staining of fibers in wild type was absent in mceph/mceph. Scale bar 200 μm; h, dentate gyrus hilus; Gr, dentate gyrus granular cell layer; wt, wild type; -/-, Kv1.1-null; m/m, mceph/mceph
Figure 3. Trafficking of MCEPH. Trafficking of MCEPH in the brain was determined by analyzing glycosylation pattern. Both EndoH and PNGaseF reduced the molecular weight with approximately 3 kDa (arrow). This corresponds to core glycosylation. No unglycosylated MCEPH was detected.
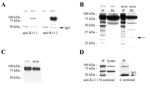
Figure 4. Analysis of interactions between MCEPH and Kv1 subunits. A. Immunoprecipitation was performed using a monoclonal Kv1.1 C-terminal antibody on brain lysate from wild type (+/+) and Kv1.1 null (-/-) mice. In wild type brain both Kv1.1 and Kv1.2 are detected. In Kv1.1 null brain neither Kv1.1 nor Kv1.2 was detected. B. Immunoprecipitation was performed with the anti-Kv1.2 monoclonal antibody on brain lysate from wild type (+/+) and mceph/mceph (m/m) mice. The immunoprecipitation reaction and corresponding brain lysate was loaded on SDS-PAGE. In brain lysate from mceph/mceph (BL) MCEPH was detected using the polyclonal Kv1.1 N-terminal antibody (arrow). However, no MCEPH band was detected in the immunoprecipitate from mceph/mceph (IP). C. Hippocampi were dissected and an equal amount of lysate from wild type and mceph/mceph was loaded on SDS-PAGE and immunoblotted with anti-Kv1.2. Only a very small fraction of the Kv1.2 was core glycosylated (60 kDa). There appeared to be no increase in the amount of core glycosylated Kv1.2 in mceph/mceph hippocampus compared to wild type. D. HEK293 cells were cotransfected with Kv1.1-DsRed and MCEPH-ZsGreen constructs. Both the 85 kDa Kv1.1-DsRed and the 55 kDa MCEPH-ZsGreen fusion proteins were detected with immunoblotting on cell lysate using the polyclonal Kv1.1 N-terminal antibody (lysate). The relative levels of the two fusion proteins in this overepressing cell system cannot be used to quantitate MCEPH expression or stability in brain since regulation and trafficking is known to be different between these two systems. The lysate was immunoprecipitated with the Kv1.1 C-terminal antibody. In the precipitate, both fusion proteins were detected with the Kv1.1 N-terminal antibody (IP). When the Kv1.1 C-terminal antibody was used for immunoblotting only the Kv1.1-DsRed fusion protein was detected.
Figure 5. Electrophysiological recordings demonstrating the interaction between MCEPH and Kv1.2 and Kv1.3 in Xenopus oocytes. A. Currents of Kv1.2 and Kv1.3, when expressed separately and when coexpressed with MCEPH in Xenopus oocytes. Pulse steps from -80 to +50 mV (increment between the steps 10 mV), followed by a step to +30 to enable measurements of the inactivation. B. Activation curves (peak conductance versus voltage) for Kv1.2 and Kv1.3, when expressed separately and when coexpressed with MCEPH. Same stimulation protocols as in A. Error bars mark standard error of mean. C. Inactivation curves (normalized peak conductance, associated with the second pulse, versus voltage of preceding step; see panel A) for Kv1.2 and Kv1.3, when expressed separately and when coexpressed with MCEPH. Same stimulation protocols as in A. Error bars mark standard deviation.
Arroyo,
Myelinating Schwann cells determine the internodal localization of Kv1.1, Kv1.2, Kvbeta2, and Caspr.
1999, Pubmed
Arroyo,
Myelinating Schwann cells determine the internodal localization of Kv1.1, Kv1.2, Kvbeta2, and Caspr.
1999,
Pubmed Babila,
Assembly of mammalian voltage-gated potassium channels: evidence for an important role of the first transmembrane segment.
1994,
Pubmed
,
Xenbase Bekele-Arcuri,
Generation and characterization of subtype-specific monoclonal antibodies to K+ channel alpha- and beta-subunit polypeptides.
1996,
Pubmed Brocke,
The human intronless melanocortin 4-receptor gene is NMD insensitive.
2002,
Pubmed Browne,
Episodic ataxia/myokymia syndrome is associated with point mutations in the human potassium channel gene, KCNA1.
1994,
Pubmed Coleman,
Subunit composition of Kv1 channels in human CNS.
1999,
Pubmed Diez,
MRI and in situ hybridization reveal early disturbances in brain size and gene expression in the megencephalic (mceph/mceph) mouse.
2003,
Pubmed Donahue,
Megencephaly: a new mouse mutation on chromosome 6 that causes hypertrophy of the brain.
1996,
Pubmed Ellgaard,
Quality control in the endoplasmic reticulum.
2003,
Pubmed Eunson,
Clinical, genetic, and expression studies of mutations in the potassium channel gene KCNA1 reveal new phenotypic variability.
2000,
Pubmed Folco,
A cellular model for long QT syndrome. Trapping of heteromultimeric complexes consisting of truncated Kv1.1 potassium channel polypeptides and native Kv1.4 and Kv1.5 channels in the endoplasmic reticulum.
1997,
Pubmed
,
Xenbase Gu,
A conserved domain in axonal targeting of Kv1 (Shaker) voltage-gated potassium channels.
2003,
Pubmed Hentze,
A perfect message: RNA surveillance and nonsense-mediated decay.
1999,
Pubmed Isacoff,
Evidence for the formation of heteromultimeric potassium channels in Xenopus oocytes.
1990,
Pubmed
,
Xenbase Koschak,
Subunit composition of brain voltage-gated potassium channels determined by hongotoxin-1, a novel peptide derived from Centruroides limbatus venom.
1998,
Pubmed Manganas,
Episodic ataxia type-1 mutations in the Kv1.1 potassium channel display distinct folding and intracellular trafficking properties.
2001,
Pubmed Manganas,
Subunit composition determines Kv1 potassium channel surface expression.
2000,
Pubmed Manganas,
Identification of a trafficking determinant localized to the Kv1 potassium channel pore.
2001,
Pubmed McCormack,
Genetic analysis of the mammalian K+ channel beta subunit Kvbeta 2 (Kcnab2).
2002,
Pubmed
,
Xenbase Misonou,
Determinants of voltage-gated potassium channel surface expression and localization in Mammalian neurons.
2004,
Pubmed O'Grady,
Molecular diversity and function of voltage-gated (Kv) potassium channels in epithelial cells.
2005,
Pubmed Petersson,
Truncation of the Shaker-like voltage-gated potassium channel, Kv1.1, causes megencephaly.
2003,
Pubmed Rea,
Variable K(+) channel subunit dysfunction in inherited mutations of KCNA1.
2002,
Pubmed
,
Xenbase Rosenberg,
Cell-free expression of functional Shaker potassium channels.
1992,
Pubmed
,
Xenbase Ruppersberg,
Heteromultimeric channels formed by rat brain potassium-channel proteins.
1990,
Pubmed
,
Xenbase Sewing,
Kv beta 1 subunit binding specific for shaker-related potassium channel alpha subunits.
1996,
Pubmed Shi,
Differential asparagine-linked glycosylation of voltage-gated K+ channels in mammalian brain and in transfected cells.
1999,
Pubmed Smart,
Deletion of the K(V)1.1 potassium channel causes epilepsy in mice.
1998,
Pubmed Trouet,
Use of a bicistronic GFP-expression vector to characterise ion channels after transfection in mammalian cells.
1997,
Pubmed Wang,
alpha subunit compositions of Kv1.1-containing K+ channel subtypes fractionated from rat brain using dendrotoxins.
1999,
Pubmed Yu,
NAB domain is essential for the subunit assembly of both alpha-alpha and alpha-beta complexes of shaker-like potassium channels.
1996,
Pubmed Yu,
The VGL-chanome: a protein superfamily specialized for electrical signaling and ionic homeostasis.
2004,
Pubmed