XB-ART-10545
J Cell Biol
2000 Aug 07;1503:405-16. doi: 10.1083/jcb.150.3.405.
Show Gene links
Show Anatomy links
Identification and characterization of SA/Scc3p subunits in the Xenopus and human cohesin complexes.
Losada A, Yokochi T, Kobayashi R, Hirano T.
???displayArticle.abstract???
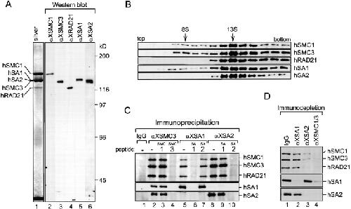
A multisubunit protein complex, termed cohesin, plays an essential role in sister chromatid cohesion in yeast and in Xenopus laevis cell-free extracts. We report here that two distinct cohesin complexes exist in Xenopus egg extracts. A 14S complex (x-cohesin(SA1)) contains XSMC1, XSMC3, XRAD21, and a newly identified subunit, XSA1. In a second 12.5S complex (x-cohesin(SA2)), XSMC1, XSMC3, and XRAD21 associate with a different subunit, XSA2. Both XSA1 and XSA2 belong to the SA family of mammalian proteins and exhibit similarity to Scc3p, a recently identified component of yeast cohesin. In Xenopus egg extracts, x-cohesin(SA1) is predominant, whereas x-cohesin(SA2) constitutes only a very minor population. Human cells have a similar pair of cohesin complexes, but the SA2-type is the dominant form in somatic tissue culture cells. Immunolocalization experiments suggest that chromatin association of cohesin(SA1) and cohesin(SA2) may be differentially regulated. Dissociation of x-cohesin(SA1) from chromatin correlates with phosphorylation of XSA1 in the cell-free extracts. Purified cdc2-cyclin B can phosphorylate XSA1 in vitro and reduce the ability of x-cohesin(SA1) to bind to DNA or chromatin. These results shed light on the mechanism by which sister chromatid cohesion is partially dissolved in early mitosis, far before the onset of anaphase, in vertebrate cells.
???displayArticle.pubmedLink??? 10931856
???displayArticle.pmcLink??? PMC2175199
???displayArticle.link??? J Cell Biol
Species referenced: Xenopus laevis
Genes referenced: ccnb1.2 cdk1 lss rad21 rec8 smc1a smc1b smc3 stag1 stag2 tbx2
???attribute.lit??? ???displayArticles.show???
References [+] :
Bell,
Yeast origin recognition complex functions in transcription silencing and DNA replication.
1993, Pubmed
Bell, Yeast origin recognition complex functions in transcription silencing and DNA replication. 1993, Pubmed
Biggins, Sister chromatid cohesion in mitosis. 1999, Pubmed
Birkenbihl, The rad21 gene product of Schizosaccharomyces pombe is a nuclear, cell cycle-regulated phosphoprotein. 1995, Pubmed
Blat, Cohesins bind to preferential sites along yeast chromosome III, with differential regulation along arms versus the centric region. 1999, Pubmed
Carramolino, SA-1, a nuclear protein encoded by one member of a novel gene family: molecular cloning and detection in hemopoietic organs. 1997, Pubmed
Ciosk, Cohesin's binding to chromosomes depends on a separate complex consisting of Scc2 and Scc4 proteins. 2000, Pubmed
Darwiche, Characterization of the components of the putative mammalian sister chromatid cohesion complex. 1999, Pubmed
Eijpe, Association of mammalian SMC1 and SMC3 proteins with meiotic chromosomes and synaptonemal complexes. 2000, Pubmed
Glotzer, Cyclin is degraded by the ubiquitin pathway. 1991, Pubmed , Xenbase
Guacci, A direct link between sister chromatid cohesion and chromosome condensation revealed through the analysis of MCD1 in S. cerevisiae. 1997, Pubmed
Hassold, Trisomy in man. 1984, Pubmed
Hirano, SMC-mediated chromosome mechanics: a conserved scheme from bacteria to vertebrates? 1999, Pubmed
Hirano, Condensins, chromosome condensation protein complexes containing XCAP-C, XCAP-E and a Xenopus homolog of the Drosophila Barren protein. 1997, Pubmed , Xenbase
Hirano, Chromosome cohesion, condensation, and separation. 2000, Pubmed
Kimura, Phosphorylation and activation of 13S condensin by Cdc2 in vitro. 1998, Pubmed , Xenbase
Kimura, 13S condensin actively reconfigures DNA by introducing global positive writhe: implications for chromosome condensation. 1999, Pubmed , Xenbase
Klein, A central role for cohesins in sister chromatid cohesion, formation of axial elements, and recombination during yeast meiosis. 1999, Pubmed
Koshland, Mitotic chromosome condensation. 1996, Pubmed
Krawchuk, Meiotic chromosome dynamics dependent upon the rec8(+), rec10(+) and rec11(+) genes of the fission yeast Schizosaccharomyces pombe. 1999, Pubmed
LeBlanc, The mitotic centromeric protein MEI-S332 and its role in sister-chromatid cohesion. 1999, Pubmed
Lemaitre, Dynamics of the genome during early Xenopus laevis development: karyomeres as independent units of replication. 1998, Pubmed , Xenbase
Lengauer, Genetic instabilities in human cancers. 1998, Pubmed
Losada, Identification of Xenopus SMC protein complexes required for sister chromatid cohesion. 1998, Pubmed , Xenbase
Mayeda, Preparation of HeLa cell nuclear and cytosolic S100 extracts for in vitro splicing. 1999, Pubmed
McKay, Sequence conservation of the rad21 Schizosaccharomyces pombe DNA double-strand break repair gene in human and mouse. 1996, Pubmed
Megee, The centromeric sister chromatid cohesion site directs Mcd1p binding to adjacent sequences. 1999, Pubmed
Michaelis, Cohesins: chromosomal proteins that prevent premature separation of sister chromatids. 1997, Pubmed
Miyazaki, Sister-chromatid cohesion in mitosis and meiosis. 1994, Pubmed
Molnar, The rec8 gene of Schizosaccharomyces pombe is involved in linear element formation, chromosome pairing and sister-chromatid cohesion during meiosis. 1995, Pubmed
Nasmyth, Separating sister chromatids. 1999, Pubmed
Orr-Weaver, Perspectives: cell cycle. The difficulty in separating sisters. 1999, Pubmed
Parisi, Rec8p, a meiotic recombination and sister chromatid cohesion phosphoprotein of the Rad21p family conserved from fission yeast to humans. 1999, Pubmed
Pezzi, STAG3, a novel gene encoding a protein involved in meiotic chromosome pairing and location of STAG3-related genes flanking the Williams-Beuren syndrome deletion. 2000, Pubmed
Rudolph, Activation of cyclin-dependent kinases by Myc mediates induction of cyclin A, but not apoptosis. 1996, Pubmed
Sandaltzopoulos, A solid-phase approach for the analysis of reconstituted chromatin. 1999, Pubmed , Xenbase
Schmiesing, Identification of two distinct human SMC protein complexes involved in mitotic chromosome dynamics. 1998, Pubmed , Xenbase
Sheehan, Steps in the assembly of replication-competent nuclei in a cell-free system from Xenopus eggs. 1988, Pubmed , Xenbase
Solomon, Role of phosphorylation in p34cdc2 activation: identification of an activating kinase. 1992, Pubmed , Xenbase
Strunnikov, Structural maintenance of chromosomes (SMC) proteins: conserved molecular properties for multiple biological functions. 1999, Pubmed
Stursberg, Cloning and characterization of mammalian SMC1 and SMC3 genes and proteins, components of the DNA recombination complexes RC-1. 1999, Pubmed
Sutani, Fission yeast condensin complex: essential roles of non-SMC subunits for condensation and Cdc2 phosphorylation of Cut3/SMC4. 1999, Pubmed , Xenbase
Tanaka, Identification of cohesin association sites at centromeres and along chromosome arms. 1999, Pubmed
Tóth, Yeast cohesin complex requires a conserved protein, Eco1p(Ctf7), to establish cohesion between sister chromatids during DNA replication. 1999, Pubmed
Uhlmann, Cohesion between sister chromatids must be established during DNA replication. 1998, Pubmed
Uhlmann, Sister-chromatid separation at anaphase onset is promoted by cleavage of the cohesin subunit Scc1. 1999, Pubmed
Watanabe, Cohesin Rec8 is required for reductional chromosome segregation at meiosis. 1999, Pubmed
Yanagida, Cell cycle mechanisms of sister chromatid separation; roles of Cut1/separin and Cut2/securin. 2000, Pubmed
Zou, Identification of a vertebrate sister-chromatid separation inhibitor involved in transformation and tumorigenesis. 1999, Pubmed , Xenbase
