Click here to close
Hello! We notice that you are using Internet Explorer, which is not supported by Xenbase and may cause the site to display incorrectly.
We suggest using a current version of Chrome,
FireFox, or Safari.
J Cell Biol
2000 Aug 07;1503:681-8. doi: 10.1083/jcb.150.3.681.
Show Gene links
Show Anatomy links
The LIS1-related NUDF protein of Aspergillus nidulans interacts with the coiled-coil domain of the NUDE/RO11 protein.
Efimov VP, Morris NR.
???displayArticle.abstract???
The nudF gene of the filamentous fungus Aspergillus nidulans acts in the cytoplasmic dynein/dynactin pathway and is required for distribution of nuclei. NUDF protein, the product of the nudF gene, displays 42% sequence identity with the human protein LIS1 required for neuronal migration. Haploinsufficiency of the LIS1 gene causes a malformation of the human brain known as lissencephaly. We screened for multicopy suppressors of a mutation in the nudF gene. The product of the nudE gene isolated in the screen, NUDE, is a homologue of the nuclear distribution protein RO11 of Neurospora crassa. The highly conserved NH(2)-terminal coiled-coil domain of the NUDE protein suffices for protein function when overexpressed. A similar coiled-coil domain is present in several putative human proteins and in the mitotic phosphoprotein 43 (MP43) of X. laevis. NUDF protein interacts with the Aspergillus NUDE coiled-coil in a yeast two-hybrid system, while human LIS1 interacts with the human homologue of the NUDE/RO11 coiled-coil and also the Xenopus MP43 coiled-coil. In addition, NUDF coprecipitates with an epitope-tagged NUDE. The fact that NUDF and LIS1 interact with the same protein domain strengthens the notion that these two proteins are functionally related.
Figure 1. (A) Suppression of nud mutants by extra copies of the nudE and nudF6 genes. The indicated mutants (all are conditional, temperature sensitive) were transformed with either the empty vector pAid or pAid clones bearing nudE and nudF6 genes (plasmids recovered in the multicopy suppressor screen) and grown at 32°C. Transformants were gridded on YAG plates with or without KCl and incubated at 43°C or 32°C for 2 d. All strains have different color of conidia: yellow for nudF7, green (wild-type) for nudF6, chartreuse for nudA1, and white for nudC3. The intensity of the colony color is proportional to the number of conidia produced. Four independent transformants of the nudF7 mutant are shown for each plasmid to demonstrate reproducibility of phenotypes. (B) Complementation of the nudE deletion and the nudF7 mutant by extra copies of nudE, the nudE NH2-terminal domain, and nudE chimeras carrying coiled-coil regions from human and frog proteins, respectively. Strains were transformed with nudE variants in pAid vector and grown at 43°C. Numbers refer to amino acid residues of NUDE protein expressed by the constructs (see Fig. 3 for detailed amino acid sequences). Due to the presence of a fawn color marker, conidiating and unconidiating ΔnudE colonies have very similar colors at this temperature.
Figure 3. (A) Homology between A. nidulans NUDE protein and N. crassa RO11 protein. Shaded residues are predicted to form a coiled-coil structure. The probabilities of coiled-coil formation are 0.9–1 for the NH2-terminal region and 0.7–0.8 for the central region. Probabilities of coiled-coil formation were calculated using program COILS version 2.1 (MTIDK matrix, unweighted a and d positions, window = 28) at http://www.ch. embnet.org/software/COILS_form.html (Lupas et al. 1991). Assigning 2.5-fold weights to a and d positions slightly changes the probabilities at coiled-coil ends and increases probability for the central coiled-coil to 0.9–1. (B) Alignment between coiled-coil regions of an ORF predicted from human EST with GenBank accession number AA424443, X. laevis MP43 (accession number U95097), A. nidulans NUDE (accession number AF085679), and N. crassa RO11 (accession number AF015560). The underlined residues are predicted to form coiled-coil structure with probabilities >0.9. The regions between arrowheads were used in sequence exchange experiments to test if human or X. laevis coiled-coil regions can substitute for the NUDE coiled-coil. The percentages of identical (similar) residues for the underlined coiled-coil regions are 69% (82%) between NUDE and RO11, 38% (51%) between NUDE and AA424443, 39% (51%) between NUDE and MP43, 72% (83%) between AA424443 and MP43, 40% (52%) between RO11 and MP43, 40% (52%) between RO11 and AA424443.
Figure 2. Extra copies of the nudE gene do not change the level of NUDF protein in the nudF7 mutant. Total protein extracts were prepared from nudF7 and nudA1 mutants carrying indicated plasmids and NUDF protein levels were analyzed by Western blotting with the anti-NUDF antibody. Strains were grown at 43°C in YG medium. A nudA1 mutant was included as a control of the wild-type level of NUDF. The amount of NUDF protein in the nudF6 mutant is less than in nudF7 (Xiang et al. 1995a).
Figure 4. NUDE and NUDF proteins interact in a two-hybrid system. S. cerevisiae strain AH109 was transformed with pairwise combinations of plasmids expressing indicated proteins as fusions with either the Gal4p DNA binding (Gal4pDBD) or Gal4p activating (Gal4pAD) domains. NUDE, AA424443 and MP43 refer to the NH2-terminal domains of A. nidulans NUDE protein (residues 1–195) and corresponding fusions with human and X. laevis homologues, respectively (Fig. 3 B). For each pair of plasmids, growth on three media is shown (from left to right): SD/-Leu/-Trp/-His; SD/-Leu/-Trp/-His with 3 mM 3-AT; SD/-Leu/-Trp/-Ade. The first two media select for the expression of the HIS3 reporter gene, while the third medium selects for the expression of the ADE2 reporter gene. Growth in the absence of histidine or adenine is expected to result from interactions between proteins encoded by plasmids. Note that Gal4pDBD fusions with the coiled-coil domains activate the HIS3 gene expression in the absence of any interactions. 3 mM 3-AT (3-amino-1,2,4,-triazole), a competitive inhibitor of the HIS3 gene product, suppresses the resulting background growth.
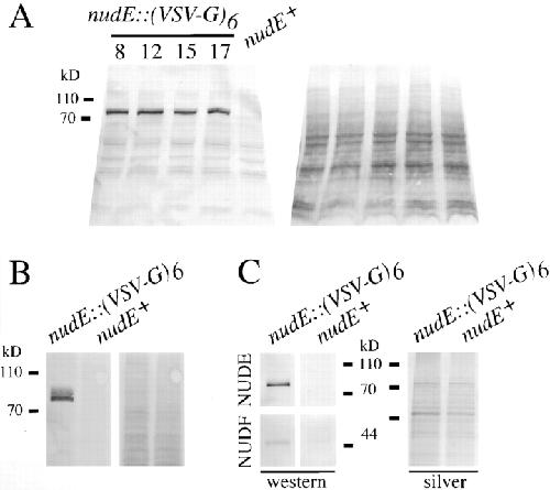
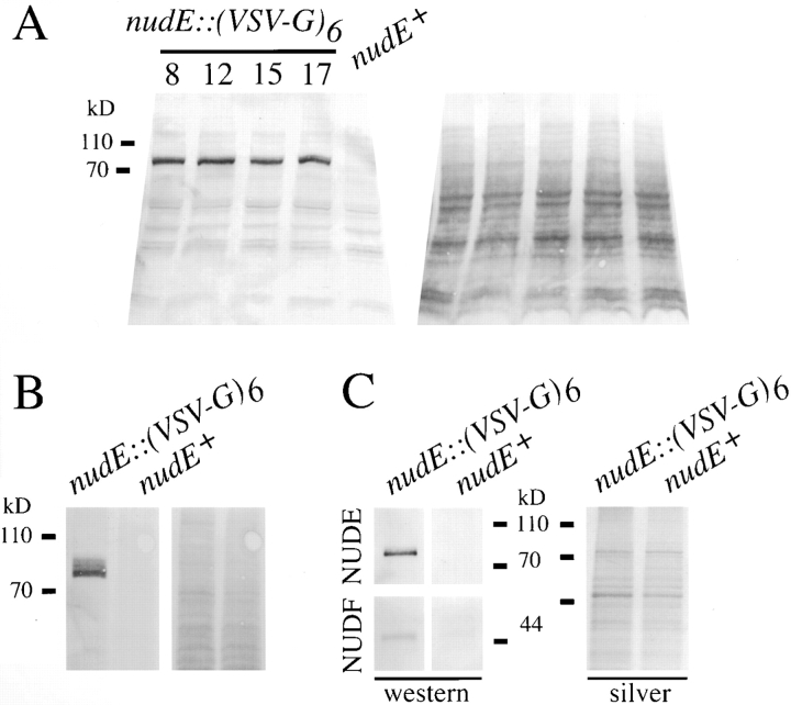
Figure 5. NUDE protein tagged with VSV-G epitopes coprecipitates with NUDF in A. nidulans protein extracts. (A) Total protein extracts from four independently isolated NUDE::(VSV-G)6 strains (#8, 12, 15, 17) and the parent strain with the wild-type nudE gene were analyzed by SDS-PAGE (4–20%) and immunoblotting with P5D4 antibody (left). Ponceau S staining of the membrane after protein transfer is shown on the right. (B) Same samples as in A (tagged strain #17 and untagged control) after better separation on a 10% SDS-PAGE. (C) The left panel shows immunoblotting of proteins precipitated by P5D4 antibodies coupled to Sepharose beads from nudE::(VSV-G)6 and nudE+ extracts with P5D4 and anti-NUDF antibodies. The right panel shows silver staining of the same samples.
Ahmad,
Motor proteins regulate force interactions between microtubules and microfilaments in the axon.
2000, Pubmed
Ahmad,
Motor proteins regulate force interactions between microtubules and microfilaments in the axon.
2000,
Pubmed Aleksenko,
Autonomous plasmid replication in Aspergillus nidulans: AMA1 and MATE elements.
1997,
Pubmed Brunati,
The spleen protein-tyrosine kinase TPK-IIB is highly similar to the catalytic domain of p72syk.
1996,
Pubmed Chiu,
Deletion of nudC, a nuclear migration gene of Aspergillus nidulans, causes morphological and cell wall abnormalities and is lethal.
1997,
Pubmed Efimov,
A screen for dynein synthetic lethals in Aspergillus nidulans identifies spindle assembly checkpoint genes and other genes involved in mitosis.
1998,
Pubmed Fischer,
Aspergillus nidulans apsA (anucleate primary sterigmata) encodes a coiled-coil protein required for nuclear positioning and completion of asexual development.
1995,
Pubmed Fischer,
Nuclear movement in filamentous fungi.
1999,
Pubmed Geiser,
Saccharomyces cerevisiae genes required in the absence of the CIN8-encoded spindle motor act in functionally diverse mitotic pathways.
1997,
Pubmed Gems,
An autonomously replicating plasmid transforms Aspergillus nidulans at high frequency.
1991,
Pubmed Gems,
Co-transformation with autonomously-replicating helper plasmids facilitates gene cloning from an Aspergillus nidulans gene library.
1993,
Pubmed Hattori,
Miller-Dieker lissencephaly gene encodes a subunit of brain platelet-activating factor acetylhydrolase [corrected].
1994,
Pubmed Hayashi,
Molecular and immunochemical evidences demonstrate that endooligopeptidase A is the predominant cytosolic oligopeptidase of rabbit brain.
2000,
Pubmed Hirotsune,
Graded reduction of Pafah1b1 (Lis1) activity results in neuronal migration defects and early embryonic lethality.
1998,
Pubmed Liu,
Lis1, the Drosophila homolog of a human lissencephaly disease gene, is required for germline cell division and oocyte differentiation.
1999,
Pubmed Lupas,
Predicting coiled coils from protein sequences.
1991,
Pubmed Minke,
Neurospora crassa ro-10 and ro-11 genes encode novel proteins required for nuclear distribution.
1999,
Pubmed Morris,
Mitotic mutants of Aspergillus nidulans.
1975,
Pubmed Morris,
The lissencephaly gene product Lis1, a protein involved in neuronal migration, interacts with a nuclear movement protein, NudC.
1998,
Pubmed Morris,
Nuclear migration, nucleokinesis and lissencephaly.
1998,
Pubmed Morris,
A prolactin-inducible T cell gene product is structurally similar to the Aspergillus nidulans nuclear movement protein NUDC.
1997,
Pubmed Niclas,
Cell cycle regulation of dynein association with membranes modulates microtubule-based organelle transport.
1996,
Pubmed
,
Xenbase Oakley,
Nuclear movement is beta--tubulin-dependent in Aspergillus nidulans.
1980,
Pubmed Osmani,
The molecular cloning and identification of a gene product specifically required for nuclear movement in Aspergillus nidulans.
1990,
Pubmed Plamann,
Cytoplasmic dynein and actin-related protein Arp1 are required for normal nuclear distribution in filamentous fungi.
1994,
Pubmed Reiner,
Isolation of a Miller-Dieker lissencephaly gene containing G protein beta-subunit-like repeats.
1993,
Pubmed Sapir,
Reduction of microtubule catastrophe events by LIS1, platelet-activating factor acetylhydrolase subunit.
1997,
Pubmed Soldati,
Intracompartmental sorting of essential myosin light chains: molecular dissection and in vivo monitoring by epitope tagging.
1991,
Pubmed Stukenberg,
Systematic identification of mitotic phosphoproteins.
1997,
Pubmed
,
Xenbase Swan,
Drosophila Lissencephaly-1 functions with Bic-D and dynein in oocyte determination and nuclear positioning.
1999,
Pubmed Tinsley,
p150Glued, the largest subunit of the dynactin complex, is nonessential in Neurospora but required for nuclear distribution.
1996,
Pubmed Vallee,
The role of cytoplasmic dynein in the human brain developmental disease lissencephaly.
2000,
Pubmed Walsh,
Potential mechanisms of mutations that affect neuronal migration in man and mouse.
2000,
Pubmed Walsh,
Genetic malformations of the human cerebral cortex.
1999,
Pubmed Wang,
Binding of pleckstrin homology domains to WD40/beta-transducin repeat containing segments of the protein product of the Lis-1 gene.
1995,
Pubmed Willins,
Mutations in the heavy chain of cytoplasmic dynein suppress the nudF nuclear migration mutation of Aspergillus nidulans.
1997,
Pubmed Willins,
An alpha tubulin mutation suppresses nuclear migration mutations in Aspergillus nidulans.
1995,
Pubmed Xiang,
Characterization and localization of the cytoplasmic dynein heavy chain in Aspergillus nidulans.
1995,
Pubmed Xiang,
NudF, a nuclear migration gene in Aspergillus nidulans, is similar to the human LIS-1 gene required for neuronal migration.
1995,
Pubmed Xiang,
Hyphal tip growth and nuclear migration.
1999,
Pubmed Xiang,
Dynamics of cytoplasmic dynein in living cells and the effect of a mutation in the dynactin complex actin-related protein Arp1.
2000,
Pubmed Xiang,
Cytoplasmic dynein is involved in nuclear migration in Aspergillus nidulans.
1994,
Pubmed Xiang,
Isolation of a new set of Aspergillus nidulans mutants defective in nuclear migration.
1999,
Pubmed