Click here to close
Hello! We notice that you are using Internet Explorer, which is not supported by Xenbase and may cause the site to display incorrectly.
We suggest using a current version of Chrome,
FireFox, or Safari.
Dev Growth Differ
2000 Aug 01;424:419-27. doi: 10.1046/j.1440-169x.2000.00526.x.
Show Gene links
Show Anatomy links
Egg envelope glycoprotein gp37 as a Xenopus homolog of mammalian ZP1, based on cDNA cloning.
Kubo H, Kawano T, Tsubuki S, Kotani M, Kawasaki H, Kawashima S.
???displayArticle.abstract???
The egg envelope is a kind of extracellular matrix, which surrounds growing oocytes, ovulated eggs and early embryos. Among the glycoprotein components of the Xenopus laevis egg envelope, gp43/gp41 and gp69/64 have already been shown to be frog homologs of the mammalian zona pellucida components ZP3 and ZP2, respectively. To determine the structure of another major component of egg envelope, gp37, the peptides isolated from the lysyl endopeptidase digests of gp37 were sequenced for amino acids to design degenerate primers for polymerase chain reaction. By reverse transcription-polymerase chain reaction with a poly(A)+ RNA from the ovary of a postovulated female Xenopus, a specifically amplified band was obtained and sequenced. The upstream and downstream sequences of the sequenced region were completed by 5'- and 3'-rapid amplification of cDNA ends, respectively. The gp37 cDNA comprises 1674 bp and contains one open reading frame encoding a polypeptide with 543 amino acids. The predicted amino acid sequence of the gp37 cDNA has a close similarity to that of mammalian ZP1. Northern blot and in situ hybridization studies indicated that the transcript (1.8 kb) is exclusively expressed in the oocytes, particularly in the previtellogenic young oocytes, just like the expression pattern of gp43 mRNA, suggesting a coordinate transcription of the gp43 and gp37 genes in Xenopus.
Fig. 1. Nucleotide sequence of gp37 cDNA and its deduced
amino acid sequence. The cDNA comprises 1674 bp, containing
one open reading frame that encodes a polypeptide with
543 amino acids. The sequence in the thicker box indicates
the poly(A)+ signal (AATAAA) overlapping the stop codon TGA
(asterisk). Solid underlines indicate sequences of the peptides
17p (Ala151–Cys163) and 16p (Asp320–Tyr332) from the
digestion of gp37 with lysyl endopeptidase. Amino acids
adjacent to the N-terminus of these peptides are Lys150 and
Arg319, indicating that the peptides were indeed released
by lysyl endopeptidase digestion. The N-terminal sequence
analysis of gp37 from vitelline envelope (VE) and coelomic
envelope (CE) gave an identical sequence of 15 amino acids
(Asp130–Asp144) as indicated in the box with thinner lines. The
deduced sequence includes a ZP domain (Gln183–Met462) and
a transmembrane domain (Gly510–Ile529), as indicated by
dotted underline and italicized letters in the thinner box, respectively.
Broken underlines show putative N-glycosylation sites.
Single and double arrowheads indicate putative digestion sites
with a signal peptidase and a furin-like processing protease,
respectively. The encircled Thr457 indicates the putative Cterminal
amino acid deduced from the generation process of the
C-terminus of gp43. The sequence data will appear in the DDBJ,
EMBL and GenBank nucleotide sequence databases with the
accession number AB037700.
Fig. 2. Multiple alignment of the
amino acid sequences of gp37
and mammalian ZP1 homologs.
huZPB indicates human ZP1.
piZP3a and ra55K denote pig
ZP3a and rabbit rc55, respectively,
both of which are ZP1
homologs. Solid boxes show
amino acids common to the
ZP1 homologs. Cysteine residues
are hatched, and 20 of 21 of
the residues present in gp37
occupy a conserved position in
the mammalian ZP1. The line
from Gln183 to Met462 indicates
the ZP domain of gp37.
Fig. 3. Northern blot analysis of gp37. All the organs except
testis were from Xenopus females. Ovary was from a female
2 days after ovulation. Total RNA (10 μg) and poly(A)+ RNA
(1 μg) were electrophoresed on a formaldehyde-denaturing
agarose gel and blotted onto a nylon membrane. They were
hybridized with a digoxigenin (DIG)-labeled antisense riboprobe
(nucleotides 200â570). The signal was detected with an alkaline
phosphatase-conjugated anti-DIG antibody and a chemiluminescent
substrate. The transcript was present exclusively in the
ovary with a length of 1.8 kb. The lower panel shows 18S and
28S rRNA.
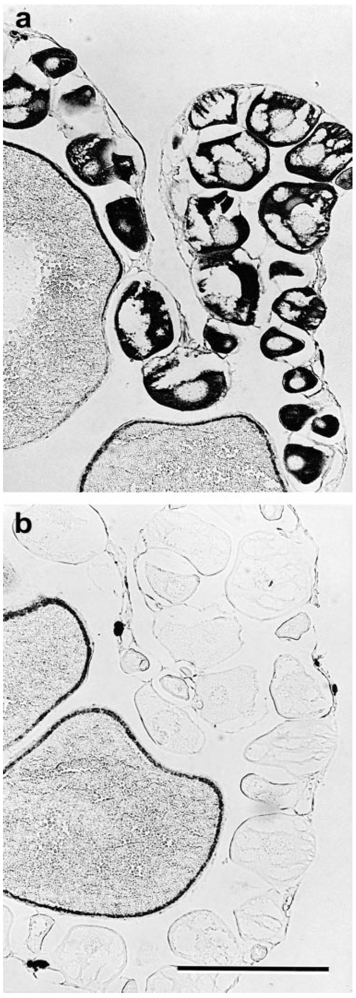
Fig. 4. Distribution of gp37 transcripts in the ovary by in situ
hybridization. Paraffin sections of Xenopus ovary were hybridized
with digoxigenin (DIG)-labeled antisense (a) or sense (b)
riboprobes (nucleotides 200â570). The specifically hybridized
probe was visualized with an alkaline phosphatase-coupled
anti-DIG antibody. The signal was only detected in the cytoplasm
of previtellogenic young oocytes, not in the somatic cells. A black
pigment layer is visible on the peripheral zone of the vitellogenic
oocytes. (b) Bar, 300 μm.